GPR151 Antibody

Images

 
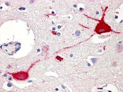
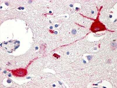
Immunohistochemistry-Paraffin: GPR151 Antibody [NLS419] - IHC analysis of Brain, Thalamus using NLS419 at 26 ug/ ml.

Product Details

Summary
Product Discontinued
View other related GPR151 Primary Antibodies

Order Details


    • Catalog Number
      NLS419
    • Availability
      Product Discontinued

    Can't find what you are looking for? Use our Antibody Concierge Service & we will help you locate your antibody!

    Or feel free to contact us for alternative products.

GPR151 Antibody Summary

Immunogen
Synthetic 20 amino acid peptide from C-terminus of human GPR151.
Epitope
C-terminal domain of human
Specificity
Human GPR151. BLAST analysis of the peptide immunogen showed no homology with other human proteins, except FAM120A (40%).
Isotype
IgG
Clonality
Polyclonal
Host
Rabbit
Gene
GPR151
Purity
Immunogen affinity purified
Innovator's Reward
Test in a species/application not listed above to receive a full credit towards a future purchase.

Applications/Dilutions

Dilutions
  • Immunohistochemistry
  • Immunohistochemistry-Paraffin 3 ug/ml to 13 ug/ml

Reactivity Notes

Gorilla, Gibbon, Marmoset. Predicted cross-reactivity based on sequence identity: Elephant (90%), Hamster (85%), Bovine (85%), Rabbit (85%), Mouse (80%), Rat (80%), Panda (80%), Equine (80%), Platypus (80%).

Packaging, Storage & Formulations

Storage
Store at 4C short term. Aliquot and store at -20C long term. Avoid freeze-thaw cycles.
Buffer
PBS
Preservative
0.1% Sodium Azide
Concentration
1.0 mg/ml
Purity
Immunogen affinity purified

Alternate Names for GPR151 Antibody

  • G protein-coupled receptor 151
  • galanin receptor 4
  • GALR4
  • GALRL
  • Gpcr 2037
  • GPCR-2037
  • GPR151
  • G-protein coupled receptor PGR7
  • nGPCR-2037
  • PGR7
  • PGR7GPCR
  • probable G-protein coupled receptor 151
  • putative G-protein coupled receptor

Background

GPCR-2037 is an Orphan-U GPCR with an unknown ligand. In rat brain, in situ hybridization showed that expression of GPCR-2037 mRNA was localized exclusively to neurons of the habenular complex.

Limitations

This product is for research use only and is not approved for use in humans or in clinical diagnosis. Primary Antibodies are guaranteed for 1 year from date of receipt.

Customers Who Viewed This Item Also Viewed...

NBP2-25160
Species: Bv, Ca, Eq, Hu, Mu, Po, Rt
Applications: ICC/IF, IHC, WB
DYC1825-2
Species: Hu, Mu, Rt
Applications: ELISA
AF231
Species: Hu
Applications: CyTOF-ready, Dual ISH-IHC, ELISA(Cap), ELISA(Det), ELISA(Sta), Flow, ICC, IHC, IP, Simple Western, WB
AF1230
Species: Hu, Mu, Rt
Applications: IHC, KO, WB
AF4339
Species: Hu, Mu, Rt
Applications: IHC, KO, WB
NBP1-32728
Species: Hu, Mu, Rt
Applications: ICC/IF, IHC,  IHC-P, IP, WB
AF887
Species: Hu, Mu, Rt
Applications: CyTOF-ready, IHC, ICFlow, Simple Western, WB
AF467
Species: Hu, Mu
Applications: CyTOF-ready, Flow, ICC, IHC, Simple Western, WB
236-EG
Species: Hu
Applications: BA
NBP2-37477
Species: Hu
Applications: ELISA, ICC/IF, IHC,  IHC-P, WB
NBP2-15071
Species: Hu, Mu, Rt
Applications: ICC/IF, IHC,  IHC-P, KO, WB
NBP1-30027
Species: Hu, Mu, Rt
Applications: ICC/IF, IHC,  IHC-P, WB
NB100-56603
Species: Ca, Hu, Mu, Pm, Rt
Applications: IHC,  IHC-P, WB
AF262
Species: Hu
Applications: ICC, IHC, Neut, WB
AF2685
Species: Hu
Applications: IHC, Simple Western, WB
NBP1-89146
Species: Hu
Applications: ICC/IF, IHC,  IHC-P
NBP2-38530
Species: Hu
Applications: ICC/IF, IHC,  IHC-P, WB
NLS419
Species: Hu, Pm, Pm
Applications: IHC

Publications for GPR151 Antibody (NLS419) (0)

There are no publications for GPR151 Antibody (NLS419).
By submitting your publication information earn gift cards and discounts for future purchases.

Reviews for GPR151 Antibody (NLS419) (0)

There are no reviews for GPR151 Antibody (NLS419). By submitting a review you will receive an Amazon e-Gift Card or Novus Product Discount.
  • Review with no image -- $10/€7/£6/$10 CAD/¥70 Yuan/¥1110 Yen
  • Review with an image -- $25/€18/£15/$25 CAD/¥150 Yuan/¥2500 Yen

Product General Protocols

View specific protocols for GPR151 Antibody (NLS419): Find general support by application which include: protocols, troubleshooting, illustrated assays, videos and webinars.

FAQs for GPR151 Antibody (NLS419) (0)

There are no specific FAQs related to this product. Read our general customer & technical service FAQs.

Secondary Antibodies

 

Isotype Controls

Additional GPR151 Products

Research Areas for GPR151 Antibody (NLS419)

Find related products by research area.

Blogs on GPR151

There are no specific blogs for GPR151, but you can read our latest blog posts.

Contact Information

Product PDFs

Calculators

Concentration Calculator

The concentration calculator allows you to quickly calculate the volume, mass or concentration of your vial. Simply enter your mass, volume, or concentration values for your reagent and the calculator will determine the rest.

=
÷

Review this Product

Be the first to review our GPR151 Antibody and receive a gift card or discount.

Bioinformatics

Gene Symbol GPR151
Entrez