Glutathione S-Transferase pi 1/GSTP1 Antibody (RM347)

Images

 
Western Blot: Glutathione S-Transferase pi 1/GSTP1 Antibody (RM347) [NBP2-77420] - Western Blot of HeLa cell lysate using NBP2-77420).
Immunohistochemistry: Glutathione S-Transferase pi 1/GSTP1 Antibody (RM347) [NBP2-77420] - Immunohistochemical staining of formalin fixed and paraffin embedded human Liver tissue section using NBP2-77420.
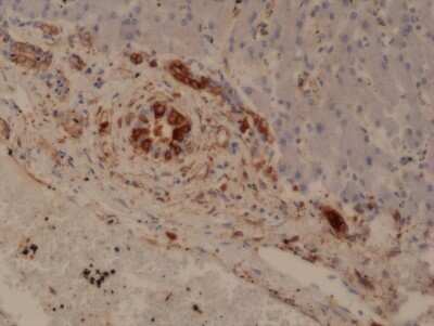
Immunohistochemistry: Glutathione S-Transferase pi 1/GSTP1 Antibody (RM347) [NBP2-77420] - Immunohistochemical staining of formalin fixed and paraffin embedded human Brain tissue section using NBP2-77420.

Order Details


    • Catalog Number
      NBP2-77420
    • Availability
      Product Discontinued

    Can't find what you are looking for? Use our Antibody Concierge Service & we will help you locate your antibody!

    Or feel free to contact us for alternative products.

Glutathione S-Transferase pi 1/GSTP1 Antibody (RM347) Summary

Additional Information
Recombinant Monoclonal Antibody.
Immunogen
A peptide corresponding to the C-terminus of human Glutathione S-Transferase pi 1/GSTP1
Isotype
IgG
Clonality
Monoclonal
Host
Rabbit
Gene
GSTP1
Purity
Protein A purified
Innovator's Reward
Test in a species/application not listed above to receive a full credit towards a future purchase.

Applications/Dilutions

Dilutions
  • Immunohistochemistry 1:1000 - 1:20000
  • Western Blot 1:1000 - 1:2000

Packaging, Storage & Formulations

Storage
Store at -20C. Avoid freeze-thaw cycles.
Buffer
50% Glycerol/PBS with 1% BSA
Preservative
0.09% Sodium Azide
Purity
Protein A purified

Alternate Names for Glutathione S-Transferase pi 1/GSTP1 Antibody (RM347)

  • deafness, X-linked 7
  • DFN7
  • EC 2.5.1.18
  • FAEES3
  • fatty acid ethyl ester synthase III
  • glutathione S-transferase P
  • Glutathione STransferase pi 1
  • Glutathione S-Transferase pi 1
  • GST class-pi
  • GST3DFN7
  • GSTP
  • GSTP1
  • GSTP1-1
  • PI

Background

GSTP1 (glutathione-S-transferase, pi 1), also called GST3/DFN7, which is located on chromosome 11q13 , is a family of enzymes that play an important role in detoxification by catalyzing the conjugation of many hydrophobic and electrophilic compounds with reduced glutathione. GSTP1 act like a tumor suppressor gene, which when inactivated leads to tumor growth, and the -class glutathione S-transferase is commonly inactivated by somatic CpGisland hypermethylation in cancers of the prostate, liver, and breast. Methylation of regulatory sequences at the GSTP1 gene locus is found in the vast majority (>90%) of prostate carcinomas and is associated with transcriptional down-regulation.

Limitations

This product is for research use only and is not approved for use in humans or in clinical diagnosis. Primary Antibodies are guaranteed for 1 year from date of receipt.

Customers Who Viewed This Item Also Viewed...

NB600-326
Species: ET
Applications: ELISA, ICC/IF, IHC,  IHC-P, IP, Simple Western, WB
NBP2-16686
Species: Hu
Applications: ICC/IF, IHC,  IHC-P, KO, WB
NBP2-49118
Species: Hu
Applications: IHC,  IHC-P
NBP1-32733
Species: Hu, Mu, Rt
Applications: IHC,  IHC-P, IP, WB
H00002946-M03
Species: Hu, Mu
Applications: ELISA, ICC/IF, IHC,  IHC-P, S-ELISA, WB
NBP1-62583
Species: Hu
Applications: WB
NBP2-44520
Species: Ca(-), Hu, Rt(-)
Applications: Flow-IC, Flow, ICC/IF, IF, IHC,  IHC-P, MI, WB
NBP1-97512
Species: Mu
Applications: ICC/IF, IHC, IHC-Fr,  IHC-P, IP, WB
NBP2-30949
Species: Hu
Applications: IHC,  IHC-P
NBP1-81293
Species: Hu
Applications: ICC/IF, IHC,  IHC-P, KD, WB
NBP3-47902
Species: Hu, Mu, Rt
Applications: ELISA, IHC, WB
NB100-74635
Species: Hu
Applications: IHC,  IHC-P, IP, WB (-)
MAB7665
Species: Hu
Applications: IHC, WB
NB200-106
Species: Mu, Rt
Applications: ELISA, ICC/IF, IHC, IHC-Fr,  IHC-P, WB
NB100-74398
Species: Hu, Mu, Pm, Rt
Applications: ICC/IF, IHC,  IHC-P, WB
MAB4470
Species: All-Multi
Applications: Flow, ICC, IHC, WB
NB100-91662
Species: Hu, Mu, Rt
Applications: Flow, ICC/IF, IHC,  IHC-P, Simple Western, WB
NBP1-32233
Species: Hu, Mu
Applications: ICC/IF, IHC,  IHC-P, WB

Publications for Glutathione S-Transferase pi 1/GSTP1 Antibody (NBP2-77420) (0)

There are no publications for Glutathione S-Transferase pi 1/GSTP1 Antibody (NBP2-77420).
By submitting your publication information earn gift cards and discounts for future purchases.

Reviews for Glutathione S-Transferase pi 1/GSTP1 Antibody (NBP2-77420) (0)

There are no reviews for Glutathione S-Transferase pi 1/GSTP1 Antibody (NBP2-77420). By submitting a review you will receive an Amazon e-Gift Card or Novus Product Discount.
  • Review with no image -- $10/€7/£6/$10 CAD/¥70 Yuan/¥1110 Yen
  • Review with an image -- $25/€18/£15/$25 CAD/¥150 Yuan/¥2500 Yen

Product General Protocols

Find general support by application which include: protocols, troubleshooting, illustrated assays, videos and webinars.

Video Protocols

WB Video Protocol

FAQs for Glutathione S-Transferase pi 1/GSTP1 Antibody (NBP2-77420) (0)

There are no specific FAQs related to this product. Read our general customer & technical service FAQs.

Secondary Antibodies

 

Isotype Controls

Additional Glutathione S-Transferase pi 1/GSTP1 Products

Research Areas for Glutathione S-Transferase pi 1/GSTP1 Antibody (NBP2-77420)

Find related products by research area.

Blogs on Glutathione S-Transferase pi 1/GSTP1

There are no specific blogs for Glutathione S-Transferase pi 1/GSTP1, but you can read our latest blog posts.

Contact Information

Product PDFs

Calculators

Concentration Calculator

The concentration calculator allows you to quickly calculate the volume, mass or concentration of your vial. Simply enter your mass, volume, or concentration values for your reagent and the calculator will determine the rest.

=
÷

Review this Product

Be the first to review our Glutathione S-Transferase pi 1/GSTP1 Antibody (RM347) and receive a gift card or discount.

Bioinformatics

Gene Symbol GSTP1