GCN2 Antibody (JA03-83)

Images

 
Western Blot: GCN2 Antibody (JA03-83) [NBP2-66865] - Western blot analysis of GCN2 on SKOV-3 cell lysates. Proteins were transferred to a PVDF membrane and blocked with 5% BSA in PBS for 1 hour at room temperature. The ...read more
Immunocytochemistry/ Immunofluorescence: GCN2 Antibody (JA03-83) [NBP2-66865] - Staining GCN2 in MCF-7 cells (green). The nuclear counter stain is DAPI (blue). Cells were fixed in paraformaldehyde, permeabilised with ...read more
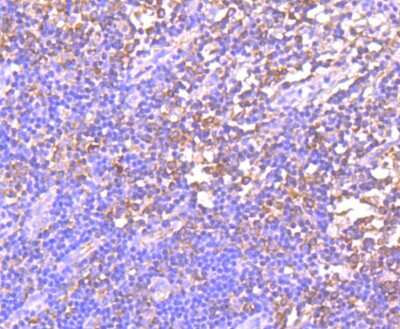
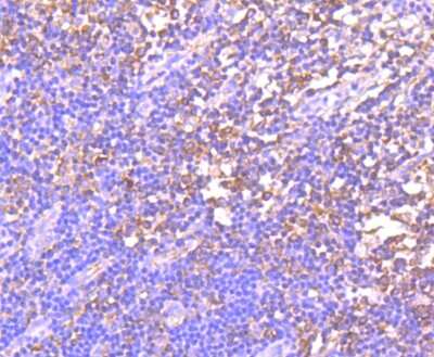
Immunohistochemistry-Paraffin: GCN2 Antibody (JA03-83) [NBP2-66865] - Analysis of paraffin-embedded human tonsil tissue using anti-GCN2 antibody. Counter stained with hematoxylin.
Flow Cytometry: GCN2 Antibody (JA03-83) [NBP2-66865] - Analysis of MCF-7 cells with GCN2 antibody at 1/100 dilution (red) compared with an unlabelled control (cells without incubation with primary antibody; black).
Immunocytochemistry/ Immunofluorescence: GCN2 Antibody (JA03-83) [NBP2-66865] - Staining GCN2 in A549 cells (green). The nuclear counter stain is DAPI (blue). Cells were fixed in paraformaldehyde, permeabilised with ...read more
Immunocytochemistry/ Immunofluorescence: GCN2 Antibody (JA03-83) [NBP2-66865] - Staining GCN2 in Hela cells (green). The nuclear counter stain is DAPI (blue). Cells were fixed in paraformaldehyde, permeabilised with ...read more
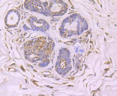
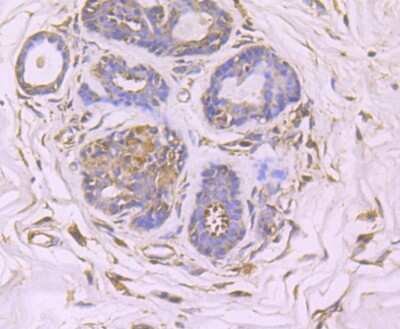
Immunohistochemistry-Paraffin: GCN2 Antibody (JA03-83) [NBP2-66865] - Analysis of paraffin-embedded human breast cancer tissue using anti-GCN2 antibody. Counter stained with hematoxylin.
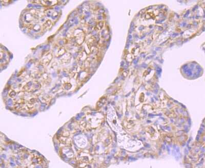
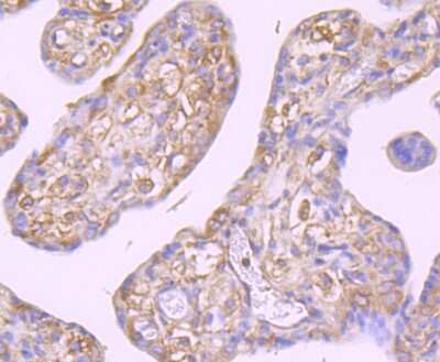
Immunohistochemistry-Paraffin: GCN2 Antibody (JA03-83) [NBP2-66865] - Analysis of paraffin-embedded human placenta tissue using anti-GCN2 antibody. Counter stained with hematoxylin.

Product Details

Summary
Product Discontinued
View other related GCN2 Primary Antibodies

Order Details


    • Catalog Number
      NBP2-66865
    • Availability
      Product Discontinued

    Can't find what you are looking for? Use our Antibody Concierge Service & we will help you locate your antibody!

    Or feel free to contact us for alternative products.

GCN2 Antibody (JA03-83) Summary

Additional Information
Recombinant Monoclonal Antibody.
Immunogen
Synthetic peptide within Human GCN2 aa 1-50 / 1649. (SwissProt: Q9P2K8 Human)
Localization
Cytoplasm.
Isotype
IgG
Clonality
Monoclonal
Host
Rabbit
Gene
EIF2AK4
Purity
Protein A purified
Innovator's Reward
Test in a species/application not listed above to receive a full credit towards a future purchase.

Applications/Dilutions

Dilutions
  • Flow Cytometry 1:50-1:100
  • Immunocytochemistry/ Immunofluorescence 1:50-1:200
  • Immunohistochemistry
  • Immunohistochemistry-Paraffin 1:50-1:200
  • Western Blot 1:500-1:2000

Packaging, Storage & Formulations

Storage
Store at 4C short term. Aliquot and store at -20C long term. Avoid freeze-thaw cycles.
Buffer
TBS (pH7.4), 0.05% BSA, 40% Glycerol
Preservative
0.05% Sodium Azide
Concentration
1 mg/ml
Purity
Protein A purified

Alternate Names for GCN2 Antibody (JA03-83)

  • EIF2AK4
  • eukaryotic translation initiation factor 2 alpha kinase 4
  • eukaryotic translation initiation factor 2-alpha kinase 4
  • GCN2
  • GCN2GCN2 eIF2alpha kinase
  • GCN2-like protein
  • KIAA1338EC 2.7.11.1

Background

GCN2 is a sensor of amino acid deprivation. GCN2 was recently found to regulate lipid metabolism during leucine deprivation in addition to regulating amino acid metabolism.

Limitations

This product is for research use only and is not approved for use in humans or in clinical diagnosis. Primary Antibodies are guaranteed for 1 year from date of receipt.

Customers Who Viewed This Item Also Viewed...

AF3999
Species: Hu
Applications: KO, WB
NBP1-77266
Species: Hu, Mu, Rt
Applications: ELISA, ICC/IF, IHC,  IHC-P, WB
NB600-1335
Species: Hu, Mu, Pm, Rt
Applications: ChIP, ELISA, Flow, GS, ICC/IF, IHC,  IHC-P, IP, KD, Simple Western, WB
NBP1-83210
Species: Hu
Applications: ICC/IF, IHC,  IHC-P, WB
AF8519
Species: Hu, Mu, Rt
Applications: Simple Western, WB
NBP2-67766
Species: Hu, Mu, Rt
Applications: Flow, ICC/IF, IHC,  IHC-P, IP, WB
NB600-607
Species: Hu, Rt
Applications: ELISA, IHC,  IHC-P, WB
NBP1-83383
Species: Hu
Applications: ICC/IF, IHC,  IHC-P
NBP2-02669
Species: Ca, Hu, Pm, Mu, Pm, Rt
Applications: Flow, ICC/IF, IHC,  IHC-P, WB
NBP3-24813
Species: Hu
Applications: ICC/IF, IHC,  IHC-P, WB
NBP1-89490
Species: Hu, Mu, Rt
Applications: ICC/IF, IHC,  IHC-P, KD, WB
NBP1-87702
Species: Hu
Applications: IHC,  IHC-P, Simple Western, WB
NB100-778
Species: Hu
Applications: Flow, ICC/IF, IHC,  IHC-P, PEP-ELISA, WB
NBP1-85816
Species: Fe, Hu, Mu, Rt
Applications: ICC/IF, IHC, IHC-Fr,  IHC-P, KO, WB
NBP1-86221
Species: Hu, Mu
Applications: ICC/IF, IHC,  IHC-P, WB
NBP3-38367
Species: Hu, Mu, Rt
Applications: ELISA, ICC/IF, IHC,  IHC-P, IP, WB
H00008894-M09
Species: Hu, Mu, Rt
Applications: ELISA, ICC/IF, IHC,  IHC-P, WB
NBP2-66865
Species: Hu
Applications: WB, Flow, ICC/IF, IHC

Publications for GCN2 Antibody (NBP2-66865) (0)

There are no publications for GCN2 Antibody (NBP2-66865).
By submitting your publication information earn gift cards and discounts for future purchases.

Reviews for GCN2 Antibody (NBP2-66865) (0)

There are no reviews for GCN2 Antibody (NBP2-66865). By submitting a review you will receive an Amazon e-Gift Card or Novus Product Discount.
  • Review with no image -- $10/€7/£6/$10 CAD/¥70 Yuan/¥1110 Yen
  • Review with an image -- $25/€18/£15/$25 CAD/¥150 Yuan/¥2500 Yen

Product General Protocols

Find general support by application which include: protocols, troubleshooting, illustrated assays, videos and webinars.

Video Protocols

WB Video Protocol
ICC/IF Video Protocol

FAQs for GCN2 Antibody (NBP2-66865) (0)

There are no specific FAQs related to this product. Read our general customer & technical service FAQs.

Secondary Antibodies

 

Isotype Controls

Additional GCN2 Products

Array NBP2-66865

Research Areas for GCN2 Antibody (NBP2-66865)

Find related products by research area.

Blogs on GCN2.

eIF2alpha - a regulator of global translation in response to cellular stress
Eukaryotic initiation factor 2 (eIF2) regulates global protein translation by binding to Met-tRNA and the 40S ribosome to form the pre-initiation complex. eIF2 is a heterotrimer consisting of alpha, beta, and gamma subunits. The 36kDA eIF2a subuni...  Read full blog post.

Contact Information

Product PDFs

Calculators

Concentration Calculator

The concentration calculator allows you to quickly calculate the volume, mass or concentration of your vial. Simply enter your mass, volume, or concentration values for your reagent and the calculator will determine the rest.

=
÷

Review this Product

Be the first to review our GCN2 Antibody (JA03-83) and receive a gift card or discount.

Bioinformatics

Gene Symbol EIF2AK4