GBAS Antibody (OTI1B8) - Azide and BSA Free

Images

 
Western Blot: GBAS Antibody (OTI1B8) - Azide and BSA Free [NBP2-70804] - Analysis of HEK293T cells were transfected with the pCMV6-ENTRY control (Left lane) or pCMV6-ENTRY GBAS.
Immunocytochemistry/ Immunofluorescence: GBAS Antibody (OTI1B8) - Azide and BSA Free [NBP2-70804] - Analysis of COS7 cells transiently transfected by pCMV6-ENTRY GBAS.
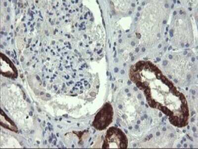
Immunohistochemistry: GBAS Antibody (OTI1B8) - Azide and BSA Free [NBP2-70804] - Analysis of Human Kidney tissue. (Heat-induced epitope retrieval by 10mM citric buffer, pH6.0, 120C for 3min)
Western Blot: GBAS Antibody (OTI1B8) - Azide and BSA Free [NBP2-70804] - Analysis of extracts (10ug) from 8 Human tissue (1: Testis; 2: Uterus; 3: Breast; 4: Brain; 5: Liver; 6: Ovary; 7: Thyroid gland; 8: Colon).
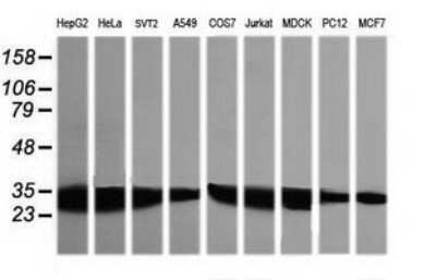
Western Blot: GBAS Antibody (OTI1B8) - Azide and BSA Free [NBP2-70804] - Analysis of extracts (35ug) from 9 different cell lines by using g GBAS monoclonal antibody (HepG2: human; HeLa: human; SVT2: mouse; A549: human; ...read more
Immunocytochemistry/ Immunofluorescence: GBAS Antibody (OTI1B8) - Azide and BSA Free [NBP2-70804] - Analysis of HeLa.
Immunohistochemistry: GBAS Antibody (OTI1B8) - Azide and BSA Free [NBP2-70804] - Analysis of Adenocarcinoma of Human colon tissue. (Heat-induced epitope retrieval by 10mM citric buffer, pH6.0, 120C for 3min)
Immunohistochemistry: GBAS Antibody (OTI1B8) - Azide and BSA Free [NBP2-70804] - Analysis of Adenocarcinoma of Human endometrium tissue. (Heat-induced epitope retrieval by 10mM citric buffer, pH6.0, 120C for 3min)
Immunohistochemistry: GBAS Antibody (OTI1B8) - Azide and BSA Free [NBP2-70804] - Analysis of Adenocarcinoma of Human ovary tissue. (Heat-induced epitope retrieval by 10mM citric buffer, pH6.0, 120C for 3min)

Product Details

Summary
Reactivity Hu, Mu, Rt, Ca, PmSpecies Glossary
Applications WB, ICC/IF, IHC
Clone
OTI1B8
Clonality
Monoclonal
Host
Mouse
Conjugate
Unconjugated
Format
Azide and BSA Free
Concentration
LYOPH

Order Details

GBAS Antibody (OTI1B8) - Azide and BSA Free Summary

Description
Novus Biologicals Mouse GBAS Antibody (OTI1B8) - Azide and BSA Free (NBP2-45730) is a monoclonal antibody validated for use in IHC, WB and ICC/IF. All Novus Biologicals antibodies are covered by our 100% guarantee.
Immunogen
Full length human recombinant protein of human GBAS(NP_001474) produced in E.coli.
Isotype
IgG1
Clonality
Monoclonal
Host
Mouse
Gene
NIPSNAP2
Purity
Immunogen affinity purified
Innovator's Reward
Test in a species/application not listed above to receive a full credit towards a future purchase.

Applications/Dilutions

Dilutions
  • Immunocytochemistry/ Immunofluorescence 1:50-1:100
  • Immunohistochemistry 1:150
  • Immunohistochemistry-Paraffin
  • Western Blot 1:200-1:2000
Theoretical MW
33.6 kDa.
Disclaimer note: The observed molecular weight of the protein may vary from the listed predicted molecular weight due to post translational modifications, post translation cleavages, relative charges, and other experimental factors.

Reactivity Notes

Please note that this antibody is reactive to Mouse and derived from the same host, Mouse. Mouse-On-Mouse blocking reagent may be needed for IHC and ICC experiments to reduce high background signal. You can find these reagents under catalog numbers PK-2200-NB and MP-2400-NB. Please contact Technical Support if you have any questions.

Packaging, Storage & Formulations

Storage
Store at -20C. Avoid freeze-thaw cycles.
Buffer
Lyophilized from PBS (pH 7.3) with 8% Trehalose
Preservative
No Preservative
Concentration
LYOPH
Purity
Immunogen affinity purified
Reconstitution Instructions
we recommend adding 100uL distilled water to a final antibody concentration of about 1 mg/mL. To use this carrier-free antibody for conjugation experiment, we strongly recommend performing another round of desalting process.

Alternate Names for GBAS Antibody (OTI1B8) - Azide and BSA Free

  • glioblastoma amplified sequence
  • Glioblastoma-amplified sequence
  • NIPSNAP2NipSnap2,4-nitrophenylphosphatase domain and non-neuronal SNAP25-like 2
  • protein NipSnap homolog 2

Background

Chromosomal region 7p12, which contains GBAS, is amplified in approximately 40% of glioblastomas, the most common andmalignant form of central nervous system tumor.The predicted 286-amino acid protein contains a signal peptide, atransmembrane domain, and 2 tyrosine phosphorylation sites. The GBAS transcript is expressed most abundantly in heartand skeletal muscle. GBAS protein might be involved in vesicular transport. (provided by RefSeq)

Limitations

This product is for research use only and is not approved for use in humans or in clinical diagnosis. Primary Antibodies are guaranteed for 1 year from date of receipt.

Customers Who Viewed This Item Also Viewed...

NBP1-76888
Species: Hu, Mu, Rt
Applications: ELISA, ICC/IF, IHC,  IHC-P, WB
AF231
Species: Hu
Applications: CyTOF-ready, Dual ISH-IHC, ELISA(Cap), ELISA(Det), ELISA(Sta), Flow, ICC, IHC, IP, Simple Western, WB
NBP1-91169
Species: Hu
Applications: ICC/IF, IHC,  IHC-P, WB
NBP1-33714
Species: Hu, Mu, Rt, Ze
Applications: ICC/IF, IHC-WhMt, IHC, IHC-Fr,  IHC-P, Simple Western, WB
MAB7616
Species: Hu
Applications: CyTOF-ready, Flow, WB
NBP1-19160
Species: Hu, Mu
Applications: IHC,  IHC-P, IP, WB
AF3880
Species: Hu
Applications: ICC, WB
NBP2-67416
Species: Hu, Mu, Rt
Applications: ICC/IF, IHC,  IHC-P, WB
NBP2-54746
Species: Hu
Applications: ICC/IF, IHC,  IHC-P
DYC2510-2
Species: Hu, Mu, Rt
Applications: ELISA
NBP1-88532
Species: Hu
Applications: ICC/IF, IHC,  IHC-P, WB
NBP3-33063
Species: Hu, Mu, Rt
Applications: Flow, ICC/IF, IHC,  IHC-P, WB

Publications for GBAS Antibody (NBP2-70804) (0)

There are no publications for GBAS Antibody (NBP2-70804).
By submitting your publication information earn gift cards and discounts for future purchases.

Reviews for GBAS Antibody (NBP2-70804) (0)

There are no reviews for GBAS Antibody (NBP2-70804). By submitting a review you will receive an Amazon e-Gift Card or Novus Product Discount.
  • Review with no image -- $10/€7/£6/$10 CAD/¥70 Yuan/¥1110 Yen
  • Review with an image -- $25/€18/£15/$25 CAD/¥150 Yuan/¥2500 Yen

Product General Protocols

Find general support by application which include: protocols, troubleshooting, illustrated assays, videos and webinars.

Video Protocols

WB Video Protocol
ICC/IF Video Protocol

FAQs for GBAS Antibody (NBP2-70804) (0)

There are no specific FAQs related to this product. Read our general customer & technical service FAQs.

Secondary Antibodies

 

Isotype Controls

Additional GBAS Products

Research Areas for GBAS Antibody (NBP2-70804)

Find related products by research area.

Blogs on GBAS

There are no specific blogs for GBAS, but you can read our latest blog posts.

Customers Who Bought This Also Bought

Contact Information

Product PDFs

Calculators

Concentration Calculator

The concentration calculator allows you to quickly calculate the volume, mass or concentration of your vial. Simply enter your mass, volume, or concentration values for your reagent and the calculator will determine the rest.

=
÷

Review this Product

Be the first to review our GBAS Antibody (OTI1B8) - Azide and BSA Free and receive a gift card or discount.

Bioinformatics

Gene Symbol NIPSNAP2