Furin Antibody (JB35-53)

Images

 
Western Blot: Furin Antibody (JB35-53) [NBP2-75495] - Analysis of Furin on different lysates with Rabbit anti-Furin antibody at 1/500 dilution. Lane 1: HepG2 cell lysate Lane 2: Hela cell lysate Lysates/proteins at 10 ...read more
Immunohistochemistry-Paraffin: Furin Antibody (JB35-53) [NBP2-75495] - Analysis of paraffin-embedded mouse brain tissue using anti-Furin antibody. Counter stained with hematoxylin.
Western Blot: Furin Antibody (JB35-53) [NBP2-75495] - Analysis of Furin on different cell lysates using anti-Furin antibody at 1/500 dilution.Positive control:Lane 1: HepG2 Lane 2: HelaLane 3: Hela Lane 4: ...read more
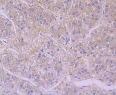
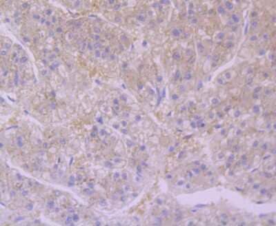
Immunohistochemistry-Paraffin: Furin Antibody (JB35-53) [NBP2-75495] - Analysis of paraffin-embedded human liver tissue using anti-Furin antibody. Counter stained with hematoxylin.
Immunohistochemistry-Paraffin: Furin Antibody (JB35-53) [NBP2-75495] - Analysis of paraffin-embedded human colon tissue using anti-Furin antibody. Counter stained with hematoxylin.
Immunohistochemistry-Paraffin: Furin Antibody (JB35-53) [NBP2-75495] - Analysis of paraffin-embedded human placenta tissue using anti-Furin antibody. Counter stained with hematoxylin.

Product Details

Summary
Product Discontinued
View other related Furin Primary Antibodies

Order Details


    • Catalog Number
      NBP2-75495
    • Availability
      Product Discontinued

    Can't find what you are looking for? Use our Antibody Concierge Service & we will help you locate your antibody!

    Or feel free to contact us for alternative products.

Furin Antibody (JB35-53) Summary

Additional Information
Recombinant Monoclonal Antibody.
Immunogen
Recombinant protein within Human Furin aa 261-310 / 794. (SwissProt: P09958 Human)
Localization
Secreted. Plasma membrane. Golgi apparatus. Endosome.
Isotype
IgG
Clonality
Monoclonal
Host
Rabbit
Gene
FURIN
Purity
Protein A purified
Innovator's Reward
Test in a species/application not listed above to receive a full credit towards a future purchase.

Applications/Dilutions

Dilutions
  • Immunohistochemistry
  • Immunohistochemistry-Paraffin 1:50-1:100
  • Western Blot 1:500-1:1000
Theoretical MW
87 kDa.
Disclaimer note: The observed molecular weight of the protein may vary from the listed predicted molecular weight due to post translational modifications, post translation cleavages, relative charges, and other experimental factors.

Packaging, Storage & Formulations

Storage
Store at 4C short term. Aliquot and store at -20C long term. Avoid freeze-thaw cycles.
Buffer
TBS (pH7.4), 0.05% BSA, 40% Glycerol
Preservative
0.05% Sodium Azide
Concentration
1 mg/ml
Purity
Protein A purified

Alternate Names for Furin Antibody (JB35-53)

  • Dibasic-processing enzyme
  • EC 3.4.21
  • EC 3.4.21.75
  • FUR
  • FURdibasic processing enzyme
  • furin (paired basic amino acid cleaving enzyme)
  • Furin
  • furin, membrane associated receptor protein
  • PACE
  • PACEFES upstream region
  • paired basic amino acid cleaving enzyme (furin, membrane associated receptorprotein)
  • Paired basic amino acid residue-cleaving enzyme
  • PCSK3
  • PCSK3furin
  • proprotein convertase subtilisin/kexin type 3
  • SPC1

Background

Furin (also known as FUR, PACE, PCSK3, and SCP1) is a ubiquity expressed, calcium-dependent serine protease that belongs to the subtilisin-like proprotein convertase (PC) family (1). Furin is synthesized as a 794-amino acid type-I transmembrane protein (1). Like other PC family members, furin shares structural similarity which includes a heterogeneous ~10 kDa amino terminal proregion, a ~55 kDa highly conserved subtilisin-like catalytic domain, and a carboxylterminal domain that is heterogeneous and varies in length and sequence between different PC family members (2). Furin plays an important role in embryogenesis and assists in the maturation of proprotein substrates (1,3). As a protease, furin cleaves and activates over 150 mammalian, viral, and bacterial substrates (3). These substrates include growth factors, receptors, hormones, cytokines, and adhesion molecules (1, 3). Furin processes these proproteins in secretory pathway compartments by cleaving at the carboxyl-terminus of the consensus sequence RX(K/R)R (where X is any amino acid) (1). Furin is localized to the trans-Golgi-network by the acidic peptide sequence C771PSDSEEDEG780 where phosphorylation of the serine residues regulates the intracellular trafficking. Another unique signaling domain is the hydrophobic motif Y759KGL762 that modulates endocytosis from the cell surface. The theoretical molecular weight of furin is 87 kDa; however, the observed molecular weight may vary as post-translational modifications, like glycosylation, cause the pre-pro furin to run at 110-104 kDa, the mature furin at 98-95 kDa, and the shed furin at 90 kDa (4).

Proteolytic cleavage regulates several physiological processes in both health and disease (3). Abnormal activity or mutations in proteases, including furin, is associated with pathologies and diseases including cancer, cardiovascular disorders, diabetes, inflammation, neurological diseases, and autoimmune diseases (3). As mentioned above, furin also acts upon bacterial substrates, including anthrax and Shiga toxin, and many virus families such as Herpes-, Flavi-, and Corona-, leading to host infections. Furthermore, the novel coronavirus disease 2019 (COVID-19) is caused by severe acute respiratory syndrome coronavirus-2 (SARS-CoV-2) present with a S-spike protein that is cleaved by PCs, including furin, at the S1/S2 cleavage site (5, 6). The cleavage allows the SARS-CoV-2 to then attach to the angiotensin-converting enzyme 2 (ACE2) receptor via the S1 domain and the cellular membrane via the S2 domain (5, 6). Although COVID-19 patients mostly present with respiratory symptoms, a variety of other systems are affected including cardiovascular, gastrointestinal (GI), and the liver (5-7). It is suggested that the S1/furin/ACE2 interaction promotes SARS-CoV-2 infection leading to the harmful symptoms and reactions in patients (5, 6). Cardiovascular disease is a common comorbidity in patients, along with hypertension, myocardial damage, and heart palpitations (Ming). Further evidence of furin being a risk factor for infection is the high levels of furin present in the blood of heart failure patients (5). Similarly, the small bowel may be another interaction site for infection as it is rich in furin and the intestinal enterocytes have many ACE2 receptors (6). Furin is also highly expressed in the liver and hepatocytes and cholangiocytes of the liver present ACE2 receptors (3, 7). Studies have shown that up one-third of COVID-19 patients experience GI symptoms which range from diarrhea and loss of appetite to abdominal cramping and bloody stool (6, 7). Additionally, some patients displayed abnormal liver enzyme levels (7). It has been suggested that a possible therapeutic strategy for treating those infected with SARS-CoV-2 is pharmacologically or immunologically modulating furin or ACE2 binding sites to combat COVID-19 infection (3, 5).

References

1. Thomas, G. (2002). Furin at the cutting edge: from protein traffic to emryogenesis and disease. Nature Rev. Mol. Cell Biol. https://doi.org/10.1038/nrm934

2. Zhou A., Paquet, L., & Mains, R.E. (1995). Structural elements that direct specific processing of different mammalian subtilisin-like prohormone convertases. J Biol Chem. https://doi.org/10.1074/jbc.270.37.21509

3. Braun E., & Sauter, D. (2019). Furin-mediated protein processing in infectious diseases and cancer. Clin Transl Immunology. https://doi:10.1002/cti2.1073

4. Atlas of Genetics and Cytogenetics in Oncology and Haematology, FURIN

5. Ming, Y. & Qiang, L. (2020). Involvement of Spike Protein, Furin, and ACE2 in SARS-CoV-2-Related Cardiovascular Complications. SN Compr. Clin. Med. https://doi.org/10.1007/s42399-020-00400-2

6. Monkemuller, K., Fry, L., & Rickes, S. (2020). COVID-19, coronavirus, SARS-CoV-2 and the small bowel. Rev Esp Enferm Dig. https://doi:10.17235/reed.2020.7137/2020

7. Agarwal, A., Chen, A., Ravindran, N., To, C., & Thuluvath, P.J. (2020). Gastrointestinal and Liver Manifestations of COVID-19. J Clin Exp Hepatol. https://doi:10.1016/j.jceh.2020.03.001

Limitations

This product is for research use only and is not approved for use in humans or in clinical diagnosis. Primary Antibodies are guaranteed for 1 year from date of receipt.

Customers Who Viewed This Item Also Viewed...

H00005122-M02
Species: Hu, Mu, Rt
Applications: ELISA, ICC/IF, IHC,  IHC-P, S-ELISA, WB
NBP1-87354
Species: Hu
Applications: IHC,  IHC-P
AF6018
Species: Hu, Mu
Applications: ICC, IP, WB
NBP2-52432
Species: Hu
Applications: CyTOF-ready, ELISA, Flow, IHC,  IHC-P, WB
NBP2-29421
Species: Bv, Gt, Hu, Po, Rt
Applications: Flow, ICC/IF, IHC, IHC-Fr,  IHC-P, WB
NBP2-14924
Species: Hu, Mu
Applications: ICC/IF, IHC,  IHC-P, WB
NBP1-80944
Species: Hu
Applications: ICC/IF, IHC,  IHC-P
NBP2-27561
Species: Ch, Hu, Rt
Applications: IHC,  IHC-P, PEP-ELISA, WB
2984-SE
Species: Hu
Applications: EnzAct
NBP1-87326
Species: Hu
Applications: ICC/IF, IHC,  IHC-P
MAB1417
Species: Bv, Hu, Mu
Applications: ICC, IHC
NB100-1533
Species: Hu, Mu, Po, Rt, Sh
Applications: Flow, ICC/IF, IHC,  IHC-P, PEP-ELISA, WB
NBP1-32870
Species: Ch, Hu
Applications: IHC,  IHC-P, IP, KD, WB
NBP1-88010
Species: Hu
Applications: IHC,  IHC-P
NBP2-44520
Species: Ca(-), Hu, Rt(-)
Applications: Flow-IC, Flow, ICC/IF, IF, IHC,  IHC-P, MI, WB
NBP2-15275
Species: Hu, Mu
Applications: ICC/IF, IHC,  IHC-P, WB
NBP1-83224
Species: Hu
Applications: ICC/IF, IHC,  IHC-P, WB

Publications for Furin Antibody (NBP2-75495) (0)

There are no publications for Furin Antibody (NBP2-75495).
By submitting your publication information earn gift cards and discounts for future purchases.

Reviews for Furin Antibody (NBP2-75495) (0)

There are no reviews for Furin Antibody (NBP2-75495). By submitting a review you will receive an Amazon e-Gift Card or Novus Product Discount.
  • Review with no image -- $10/€7/£6/$10 CAD/¥70 Yuan/¥1110 Yen
  • Review with an image -- $25/€18/£15/$25 CAD/¥150 Yuan/¥2500 Yen

Product General Protocols

Find general support by application which include: protocols, troubleshooting, illustrated assays, videos and webinars.

Video Protocols

WB Video Protocol

FAQs for Furin Antibody (NBP2-75495) (0)

There are no specific FAQs related to this product. Read our general customer & technical service FAQs.

Contact Information

Product PDFs

Calculators

Concentration Calculator

The concentration calculator allows you to quickly calculate the volume, mass or concentration of your vial. Simply enter your mass, volume, or concentration values for your reagent and the calculator will determine the rest.

=
÷

Review this Product

Be the first to review our Furin Antibody (JB35-53) and receive a gift card or discount.

Bioinformatics

Gene Symbol FURIN