FRMPD1 Antibody - BSA Free

Images

 
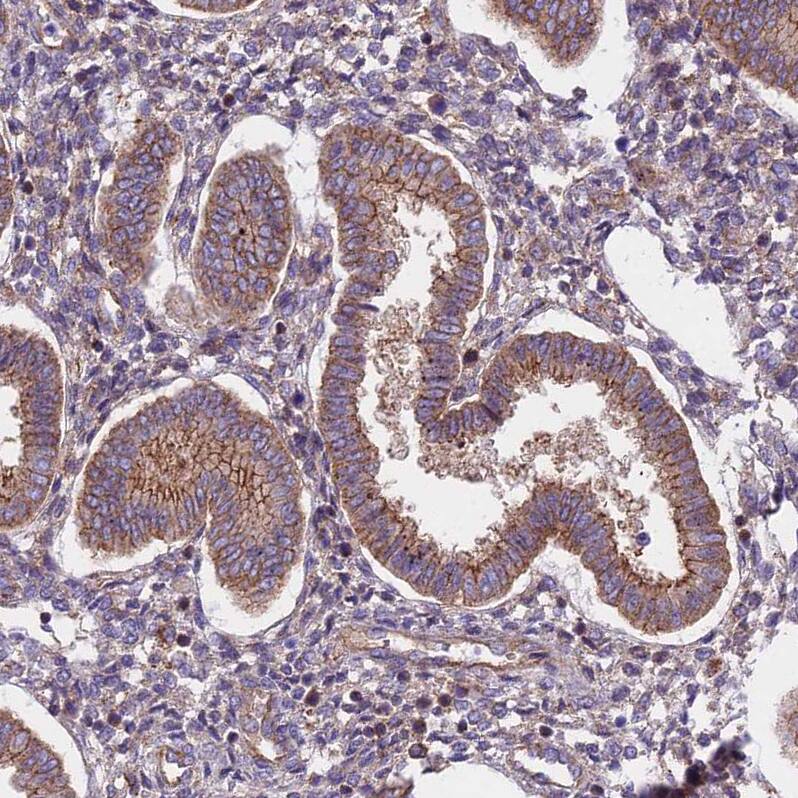
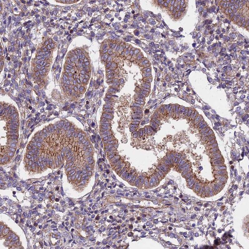
Immunohistochemistry-Paraffin: FRMPD1 Antibody [NBP1-91912] - Staining of human endometrium shows moderate to strong cytoplasmic positivity in glandular cells.
Immunohistochemistry-Paraffin: FRMPD1 Antibody [NBP1-91912] - Staining of human cerebral cortex shows moderate to strong cytoplasmic positivity in neuropil.
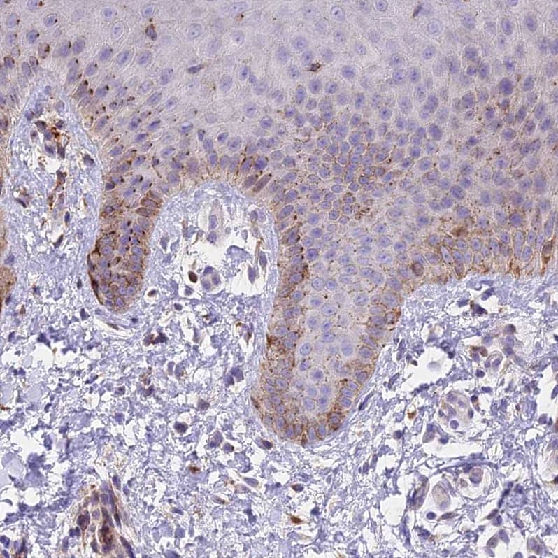
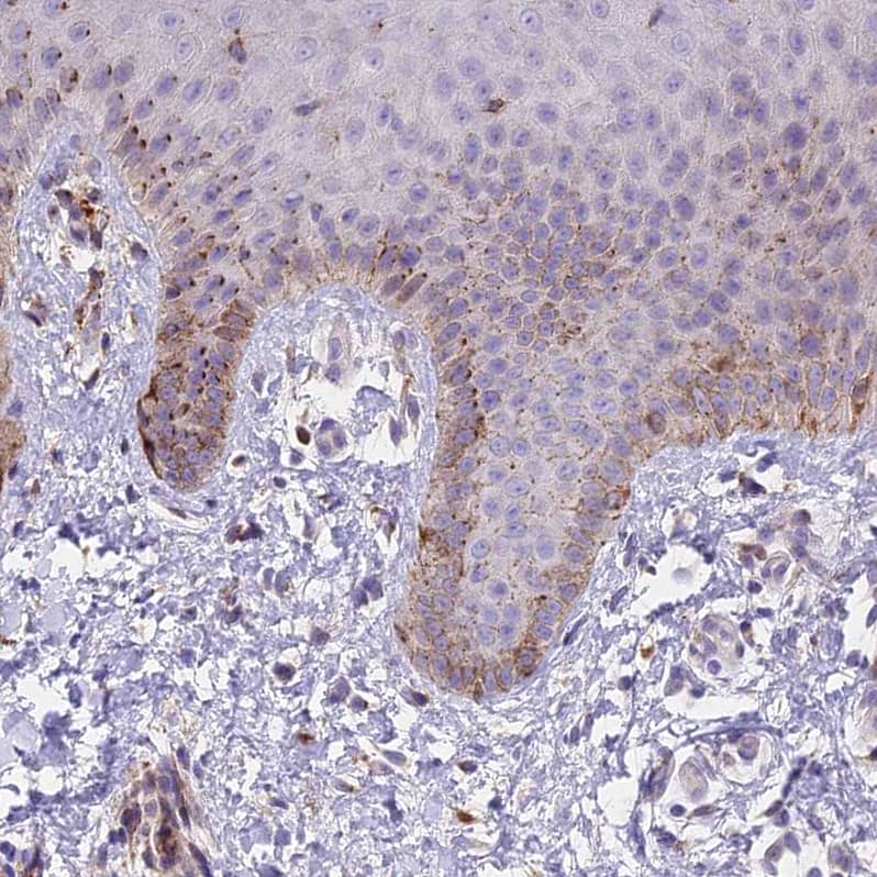
Staining of human skin shows moderate to strong cytoplasmic positivity in basal epidermal cells (keratinocytes).
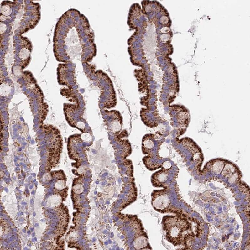
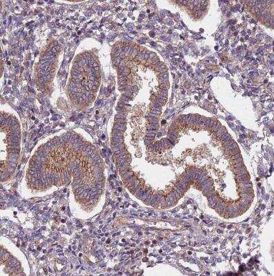
Staining of human small intestine shows moderate to strong granular cytoplasmic positivity in glandular cells.
Staining of human endometrium shows moderate to strong cytoplasmic positivity in glandular cells.
Staining of human cerebral cortex shows moderate to strong cytoplasmic positivity in neuropil.

Product Details

Summary
Reactivity HuSpecies Glossary
Applications IHC
Clonality
Polyclonal
Host
Rabbit
Conjugate
Unconjugated
Format
BSA Free

Order Details

View Available Formulations
Catalog# & Formulation Size Price

FRMPD1 Antibody - BSA Free Summary

Description
Novus Biologicals Rabbit FRMPD1 Antibody - BSA Free (NBP1-91912) is a polyclonal antibody validated for use in IHC. All Novus Biologicals antibodies are covered by our 100% guarantee.
Immunogen
This antibody was developed against Recombinant Protein corresponding to amino acids: RRGGVKKYAKTLRKRRSFLQTDYTSQVSFPLVPSASLESVDDVCYYDREPYLALGAPSPTVSSLQDMQGEPGLLETKALGLLAPLRETKSTNPASRVMEMEPET
Isotype
IgG
Clonality
Polyclonal
Host
Rabbit
Gene
FRMPD1
Purity
Immunogen affinity purified
Innovator's Reward
Test in a species/application not listed above to receive a full credit towards a future purchase.

Applications/Dilutions

Dilutions
  • Immunohistochemistry 1:50 - 1:200
  • Immunohistochemistry-Paraffin 1:50 - 1:200
Application Notes
For IHC-Paraffin, HIER pH 6 retrieval is recommended.
Control Peptide
FRMPD1 Protein (NBP1-91912PEP)

Reactivity Notes

Immunogen displays the following percentage of sequence identity for non-tested species: Mouse (88%), Rat (85%)

Packaging, Storage & Formulations

Storage
Store at 4C short term. Aliquot and store at -20C long term. Avoid freeze-thaw cycles.
Buffer
PBS (pH 7.2) and 40% Glycerol
Preservative
0.02% Sodium Azide
Purity
Immunogen affinity purified

Alternate Names for FRMPD1 Antibody - BSA Free

  • FERM and PDZ domain containing 1
  • FERM and PDZ domain-containing protein 1
  • FRMD2KIAA0967FERM domain-containing protein 2
  • MGC138833

Background

Plasmid: pCMV-FRMPD1 Full length

Limitations

This product is for research use only and is not approved for use in humans or in clinical diagnosis. Primary Antibodies are guaranteed for 1 year from date of receipt.

Customers Who Viewed This Item Also Viewed...

NBP1-91968
Species: Hu
Applications: ICC/IF, IHC,  IHC-P
NBP1-53125
Species: Hu
Applications: ICC/IF, IHC,  IHC-P, WB
H00084153-M02
Species: Hu
Applications: ELISA, ICC/IF, S-ELISA, WB
H00002035-M01
Species: Hu
Applications: ELISA, ICC/IF, IHC,  IHC-P, S-ELISA, WB
NBP2-32875
Species: Hu, Rt
Applications: Flow, ICC/IF, IHC,  IHC-P, Simple Western, WB
H00005962-M06
Species: Ch, Hu, Mu, Rt
Applications: ELISA, ICC/IF, IHC, WB
NBP1-85047
Species: Hu, Mu, Po, Rt
Applications: ICC/IF, IHC,  IHC-P, WB
MAB7676
Species: Hu, Mu
Applications: Simple Western, WB
NBP1-90980
Species: Hu
Applications: IHC,  IHC-P
NB500-174
Species: Hu, Ma, Mar, Mu, Pm, Rt
Applications: ICC/IF, IHC, IHC-Fr,  IHC-P, IP, Simple Western, WB
NBP2-16396
Species: Hu, Mu, Rt, Ze
Applications: ICC/IF, IHC-WhMt, IHC,  IHC-P, WB
NB300-556
Species: Hu, In, Mu, Pm, Rt
Applications: B/N, ChIP, Flow, ICC/IF, IHC, IHC-Fr,  IHC-P, IP, WB
NBP1-79559
Species: Hu
Applications: WB
NBP1-91912
Species: Hu
Applications: IHC

Publications for FRMPD1 Antibody (NBP1-91912) (0)

There are no publications for FRMPD1 Antibody (NBP1-91912).
By submitting your publication information earn gift cards and discounts for future purchases.

Reviews for FRMPD1 Antibody (NBP1-91912) (0)

There are no reviews for FRMPD1 Antibody (NBP1-91912). By submitting a review you will receive an Amazon e-Gift Card or Novus Product Discount.
  • Review with no image -- $10/€7/£6/$10 CAD/¥70 Yuan/¥1110 Yen
  • Review with an image -- $25/€18/£15/$25 CAD/¥150 Yuan/¥2500 Yen

Product General Protocols

Find general support by application which include: protocols, troubleshooting, illustrated assays, videos and webinars.

FAQs for FRMPD1 Antibody (NBP1-91912) (0)

There are no specific FAQs related to this product. Read our general customer & technical service FAQs.

Customers Who Bought This Also Bought

Contact Information

Product PDFs

Calculators

Concentration Calculator

The concentration calculator allows you to quickly calculate the volume, mass or concentration of your vial. Simply enter your mass, volume, or concentration values for your reagent and the calculator will determine the rest.

=
÷

Review this Product

Be the first to review our FRMPD1 Antibody - BSA Free and receive a gift card or discount.

Bioinformatics

Gene Symbol FRMPD1