FPRL2/FPR3 Antibody (7D9B4) - BSA Free

Images

 
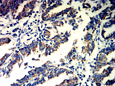
Immunohistochemistry: FPRL2/FPR3 Antibody (7D9B4) [NBP3-27173] - Analysis of paraffin-embedded endometrial cancer tissues using FPRL2/FPR3 mouse mAb with DAB staining.
Western Blot: FPRL2/FPR3 Antibody (7D9B4) [NBP3-27173] - Analysis using FPRL2/FPR3 mAb against HEK293-6e (1) and FPRL2/FPR3-hIgGFc transfected HEK293-6e (2) cell lysate.
Flow Cytometry: FPRL2/FPR3 Antibody (7D9B4) [NBP3-27173] - Analysis of THP-1 cells using FPRL2/FPR3 mouse mAb (green) and negative control (red).
ELISA: FPRL2/FPR3 Antibody (7D9B4) [NBP3-27173] - Black line: Control Antigen (100 ng); Purple line: Antigen (10 ng); Blue line: Antigen (50 ng); Red line: Antigen (100 ng)
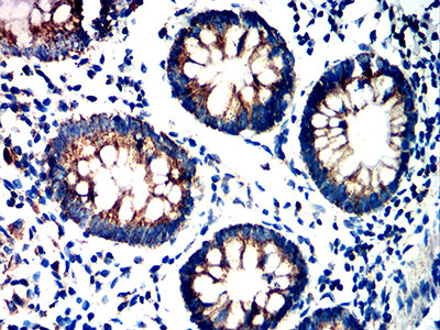
Immunohistochemistry: FPRL2/FPR3 Antibody (7D9B4) [NBP3-27173] - Analysis of paraffin-embedded colon tissues using FPRL2/FPR3 mouse mAb with DAB staining.
Western Blot: FPRL2/FPR3 Antibody (7D9B4) [NBP3-27173] - Analysis using FPRL2/FPR3 mAb against human FPRL2/FPR3 recombinant protein. (Expected MW is 38.4 kDa)

Product Details

Summary
Reactivity HuSpecies Glossary
Applications WB, ELISA, Flow, IHC
Clone
7D9B4
Clonality
Monoclonal
Host
Mouse
Conjugate
Unconjugated
Format
BSA Free
Concentration
1 mg/ml

Order Details

View Available Formulations
Catalog# & Formulation Size Price

FPRL2/FPR3 Antibody (7D9B4) - BSA Free Summary

Description
Novus Biologicals Mouse FPRL2/FPR3 Antibody (7D9B4) - BSA Free (NBP3-27173) is a monoclonal antibody validated for use in IHC, WB, ELISA and Flow. All Novus Biologicals antibodies are covered by our 100% guarantee.
Immunogen
Purified recombinant fragment of human FPRL2/FPR3 expressed in E. Coli.
Isotype
IgG1
Clonality
Monoclonal
Host
Mouse
Gene
FPR3
Purity
Protein G purified
Innovator's Reward
Test in a species/application not listed above to receive a full credit towards a future purchase.

Applications/Dilutions

Dilutions
  • ELISA 1:10000
  • Flow Cytometry 1:200 - 1:400
  • Immunohistochemistry 1:200 - 1:1000
  • Immunohistochemistry-Paraffin 1:200 - 1:1000
  • Western Blot 1:500 - 1:2000
Theoretical MW
39.9 kDa.
Disclaimer note: The observed molecular weight of the protein may vary from the listed predicted molecular weight due to post translational modifications, post translation cleavages, relative charges, and other experimental factors.

Packaging, Storage & Formulations

Storage
Store at 4C short term. Aliquot and store at -20C long term. Avoid freeze-thaw cycles.
Buffer
PBS
Preservative
0.05% Sodium Azide
Concentration
1 mg/ml
Purity
Protein G purified

Alternate Names for FPRL2/FPR3 Antibody (7D9B4) - BSA Free

  • FMLP-R-II
  • FMLPY
  • formyl peptide receptor 3
  • Formyl peptide receptor-like 2FMLP-related receptor II
  • FPR3
  • FPRH1
  • FPRH1FPRH2
  • FPRH2
  • FPRL2
  • FPRL2FML2_HUMAN
  • N-formyl peptide receptor 3
  • RMLP-R-I

Background

FPRL2 is a Chemoattractant Receptor involved in the transduction of signals in myeloid cells. Although it is structurally homologous to FPRL1, human FPRL2 does not recognize the N-formylmethionyl peptides (FMLP) as ligands and is not expressed in neutrophils.

Limitations

This product is for research use only and is not approved for use in humans or in clinical diagnosis. Primary Antibodies are guaranteed for 1 year from date of receipt.

Customers Who Viewed This Item Also Viewed...

NLS1878
Species: Ba, Hu, Mu, Rt
Applications: EM, Flow, ICC/IF, IHC, IHC-Fr,  IHC-P, WB
MAB3744
Species: Hu
Applications: CyTOF-ready, Flow
MAB3648
Species: Hu
Applications: CyTOF-ready, Flow, Neut
DUP00
Species: Hu
Applications: ELISA
MAB4356
Species: Hu, Mu, Rt
Applications: WB
AF1230
Species: Hu, Mu, Rt
Applications: IHC, KO, WB
NB300-917
Species: Hu, Mu
Applications: ICC/IF, IHC,  IHC-P
DHAPG0
Species: Hu
Applications: ELISA
1310-SE
Species: Hu
Applications: EnzAct
NBP1-72042
Species: Hu, Mu, Rt
Applications: ICC/IF, IHC,  IHC-P, PEP-ELISA, WB
NLS418
Species: Hu
Applications: IHC,  IHC-P
NLS2756
Species: Hu, Pm
Applications: ICC, IHC,  IHC-P
MAB8458
Species: Hu
Applications: CyTOF-ready, Flow, ICC
NBP2-22203
Species: Hu, Pm, Mu, Rt
Applications: ELISA, Flow, ICC/IF, IHC,  IHC-P, WB
MAB194
Species: Hu, Mu
Applications: CyTOF-ready, Flow, ICC, WB
NBP3-27173
Species: Hu
Applications: WB, ELISA, Flow, IHC

Publications for FPRL2/FPR3 Antibody (NBP3-27173) (0)

There are no publications for FPRL2/FPR3 Antibody (NBP3-27173).
By submitting your publication information earn gift cards and discounts for future purchases.

Reviews for FPRL2/FPR3 Antibody (NBP3-27173) (0)

There are no reviews for FPRL2/FPR3 Antibody (NBP3-27173). By submitting a review you will receive an Amazon e-Gift Card or Novus Product Discount.
  • Review with no image -- $10/€7/£6/$10 CAD/¥70 Yuan/¥1110 Yen
  • Review with an image -- $25/€18/£15/$25 CAD/¥150 Yuan/¥2500 Yen

Product General Protocols

Find general support by application which include: protocols, troubleshooting, illustrated assays, videos and webinars.

Video Protocols

WB Video Protocol

FAQs for FPRL2/FPR3 Antibody (NBP3-27173) (0)

There are no specific FAQs related to this product. Read our general customer & technical service FAQs.

Secondary Antibodies

 

Isotype Controls

Additional FPRL2/FPR3 Products

Array NBP3-27173

Research Areas for FPRL2/FPR3 Antibody (NBP3-27173)

Find related products by research area.

Blogs on FPRL2/FPR3

There are no specific blogs for FPRL2/FPR3, but you can read our latest blog posts.

Customers Who Bought This Also Bought

Contact Information

Product PDFs

Calculators

Concentration Calculator

The concentration calculator allows you to quickly calculate the volume, mass or concentration of your vial. Simply enter your mass, volume, or concentration values for your reagent and the calculator will determine the rest.

=
÷

Review this Product

Be the first to review our FPRL2/FPR3 Antibody (7D9B4) - BSA Free and receive a gift card or discount.

Bioinformatics

Gene Symbol FPR3