FOXO3 [p Ser253] Antibody (ST49-01)

Images

 
Western Blot: FOXO3 [p Ser253] Antibody (ST49-01) [NBP2-67521] - Western blot analysis of FOXO3 on different lysates. Proteins were transferred to a PVDF membrane and blocked with 5% BSA in PBS for 1 hour at room ...read more
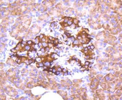
Immunohistochemistry-Paraffin: FOXO3 [p Ser253] Antibody (ST49-01) [NBP2-67521] - Analysis of paraffin-embedded mouse pancreas tissue using anti-Phospho-FOXO3a(S253) antibody. Counter stained with hematoxylin.
Western Blot: FOXO3 [p Ser253] Antibody (ST49-01) [NBP2-67521] - Analysis of Phospho-FOXO3a(S253) on different lysates using anti-Phospho-FOXO3a(S253) antibody at 1/1,000 dilution. Positive control: Lane 1: Hela Lane 2: ...read more
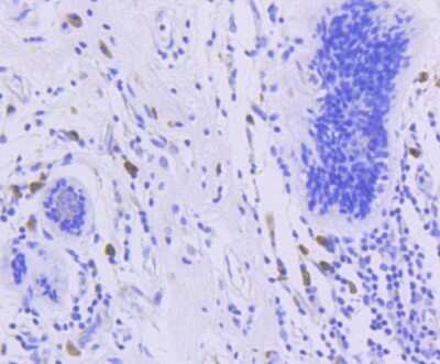
Immunohistochemistry-Paraffin: FOXO3 [p Ser253] Antibody (ST49-01) [NBP2-67521] - Analysis of paraffin-embedded human breast carcinoma tissue using anti-Phospho-FOXO3a(S253) antibody. Counter stained with hematoxylin.
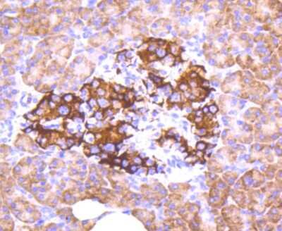
Immunohistochemistry-Paraffin: FOXO3 [p Ser253] Antibody (ST49-01) [NBP2-67521] - Analysis of paraffin-embedded human pancreas tissue using anti-Phospho-FOXO3a(S253) antibody. Counter stained with hematoxylin.
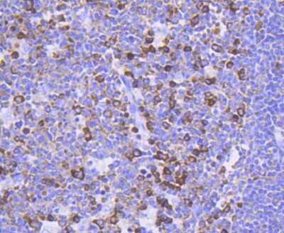
Immunohistochemistry-Paraffin: FOXO3 [p Ser253] Antibody (ST49-01) [NBP2-67521] - Analysis of paraffin-embedded human tonsil tissue using anti-Phospho-FOXO3a(S253) antibody. Counter stained with hematoxylin.

Product Details

Summary
Product Discontinued
View other related FOXO3 Primary Antibodies

Order Details


    • Catalog Number
      NBP2-67521
    • Availability
      Product Discontinued

    Can't find what you are looking for? Use our Antibody Concierge Service & we will help you locate your antibody!

    Or feel free to contact us for alternative products.

FOXO3 [p Ser253] Antibody (ST49-01) Summary

Additional Information
Recombinant Monoclonal Antibody.
Immunogen
Synthetic Human Metabotropic Glutamate Receptor 5 aa 1150 to the C-terminus aa 238-282 / 673. (SwissProt: O43524 Human; SwissProt: Q9WVH4 Mouse; SwissProt: D3ZBQ1 Rat)
Modification
p Ser253
Localization
Cytoplasm, Membrane, Mitochondrion, Mitochondrion outer membrane, Nucleus.
Isotype
IgG
Clonality
Monoclonal
Host
Rabbit
Gene
FOXO3
Purity
Protein A purified
Innovator's Reward
Test in a species/application not listed above to receive a full credit towards a future purchase.

Applications/Dilutions

Dilutions
  • Immunohistochemistry
  • Immunohistochemistry-Paraffin 1:50-1:200
  • Western Blot 1:1000-1:5000
Publications
Read Publications using
NBP2-67521 in the following applications:

  • WB
    2 publications

Packaging, Storage & Formulations

Storage
Store at 4C short term. Aliquot and store at -20C long term. Avoid freeze-thaw cycles.
Buffer
TBS (pH7.4), 0.05% BSA, 40% Glycerol
Preservative
0.05% Sodium Azide
Concentration
1 mg/ml
Purity
Protein A purified

Alternate Names for FOXO3 [p Ser253] Antibody (ST49-01)

  • AF6q21 protein
  • AF6q21
  • DKFZp781A0677
  • FKHRL1
  • FKHRL1MGC31925
  • FKHRL1P2
  • forkhead box O3
  • forkhead box protein O3
  • forkhead homolog (rhabdomyosarcoma) like 1
  • Forkhead in rhabdomyosarcoma-like 1
  • forkhead, Drosophila, homolog of, in rhabdomyosarcoma-like 1
  • FOXO2
  • FoxO3
  • FOXO3A
  • FOXO3Aforkhead box O3A
  • MGC12739

Background

FOX3 probably functions as a trigger for apoptosis through expression of genes necessary for cell death. Translocation of the FOXO3 gene with the MLL gene is associated with secondary acute leukemia.

Limitations

This product is for research use only and is not approved for use in humans or in clinical diagnosis. Primary Antibodies are guaranteed for 1 year from date of receipt.

Customers Who Viewed This Item Also Viewed...

AF887
Species: Hu, Mu, Rt
Applications: CyTOF-ready, IHC, ICFlow, Simple Western, WB
NBP2-31376
Species: Hu, Mu, Rt
Applications: Flow, ICC/IF, IHC,  IHC-P, Simple Western, WB
NBP1-76963
Species: Hu, Mu, Rt
Applications: ELISA, ICC/IF, IHC,  IHC-P, Simple Western, WB
NBP2-19804
Species: Hu, Mu
Applications: ICC/IF, IHC,  IHC-P, WB
NBP2-46404
Species: Hu, Mu, Rt
Applications: IHC,  IHC-P
NBP2-15071
Species: Hu, Mu, Rt
Applications: ICC/IF, IHC,  IHC-P, KO, WB
MAB6210
Species: Hu
Applications: Simple Western, WB
NBP2-32614
Species: Hu
Applications: ChIP-EXO-SEQ, IHC,  IHC-P
AF1555
Species: Hu
Applications: WB
NBP1-51641
Species: Hu, Mu, Pm, Rb, Rt
Applications: ELISA, Flow-IC, Flow, ICC/IF, IHC-FrFl, IHC,  IHC-P, WB
NBP2-76836
Species: Hu, Mu, Rt
Applications: ICC/IF, WB
291-G1
Species: Hu
Applications: BA
NB600-607
Species: Hu, Rt
Applications: ELISA, IHC,  IHC-P, WB
NBP2-29463
Species: Pm, Hu, Pm, Mu
Applications: Flow, ICC/IF, IHC,  IHC-P, WB
MAB1417
Species: Bv, Hu, Mu
Applications: ICC, IHC
NBP2-47561
Species: Hu
Applications: ICC/IF, IHC,  IHC-P, WB
NBP1-90949
Species: Hu
Applications: IHC,  IHC-P, WB
NBP1-80616
Species: Hu, Mu, Rt
Applications: IHC,  IHC-P, WB
NBP2-03198
Species: Hu
Applications: Flow, ICC/IF, IHC,  IHC-P, WB

Publications for FOXO3 Antibody (NBP2-67521)(2)

We have publications tested in 2 confirmed species: Mouse, Rat.

We have publications tested in 1 application: WB.


Filter By Application
WB
(2)
All Applications
Filter By Species
Mouse
(1)
Rat
(1)
All Species

Reviews for FOXO3 Antibody (NBP2-67521) (0)

There are no reviews for FOXO3 Antibody (NBP2-67521). By submitting a review you will receive an Amazon e-Gift Card or Novus Product Discount.
  • Review with no image -- $10/€7/£6/$10 CAD/¥70 Yuan/¥1110 Yen
  • Review with an image -- $25/€18/£15/$25 CAD/¥150 Yuan/¥2500 Yen

Product General Protocols

Find general support by application which include: protocols, troubleshooting, illustrated assays, videos and webinars.

Video Protocols

WB Video Protocol

FAQs for FOXO3 Antibody (NBP2-67521) (0)

There are no specific FAQs related to this product. Read our general customer & technical service FAQs.

Contact Information

Product PDFs

Calculators

Concentration Calculator

The concentration calculator allows you to quickly calculate the volume, mass or concentration of your vial. Simply enter your mass, volume, or concentration values for your reagent and the calculator will determine the rest.

=
÷

Review this Product

Be the first to review our FOXO3 [p Ser253] Antibody (ST49-01) and receive a gift card or discount.

Bioinformatics

Gene Symbol FOXO3