Fibroblast Activation Protein alpha/FAP Antibody (FAP/4851) - Azide and BSA Free

Images

 
Protein Array: Fibroblast Activation Protein alpha/FAP Antibody (FAP/4851) - Azide and BSA Free [NBP3-14219] - Analysis of Protein Array containing more than 19,000 full-length human proteins using Fibroblast Activation ...read more
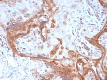
Formalin-fixed, paraffin-embedded human placenta stained with Fibroblast Activation Protein alpha/FAP Antibody (FAP/4851) - Azide and BSA Free. Inset: PBS instead of primary antibody, secondary only negative control.

Product Details

Summary
Reactivity HuSpecies Glossary
Applications IHC, MA
Clone
FAP/4851
Clonality
Monoclonal
Host
Mouse
Conjugate
Unconjugated
Format
Azide and BSA Free
Concentration
1 mg/ml

Order Details

Fibroblast Activation Protein alpha/FAP Antibody (FAP/4851) - Azide and BSA Free Summary

Description
1.0 mg/ml of antibody purified from Bioreactor Concentrate by Protein A/G. Prepared in 10mM PBS WITHOUT BSA & azide. Also available at 200 ug/ml WITH BSA & azide (NBP3-13883).

Antibody with azide - store at 2 to 8C. Antibody without azide - store at -20 to -80 C.
Immunogen
Recombinant fragment (around aa 1-200) of human Fibroblast Activation Protein alpha/FAP protein (exact sequence is proprietary) (Uniprot: Q12884)
Localization
Cell surface, Cell membrane
Isotype
IgG2c Kappa
Clonality
Monoclonal
Host
Mouse
Gene
FAP
Purity
Protein A or G purified
Innovator's Reward
Test in a species/application not listed above to receive a full credit towards a future purchase.

Applications/Dilutions

Dilutions
  • Immunohistochemistry-Paraffin 1-2 ug/ml
  • Protein Array
Application Notes
Immunohistochemistry (Formalin-fixed): 1-2ug/ml for 30 minutes at RT. Staining of formalin-fixed tissues requires heating tissue sections in 10mM Tris with 1mM EDTA, pH 9.0, for 45 min at 95C followed by cooling at RT for 20 minutes
Theoretical MW
88 kDa.
Disclaimer note: The observed molecular weight of the protein may vary from the listed predicted molecular weight due to post translational modifications, post translation cleavages, relative charges, and other experimental factors.

Packaging, Storage & Formulations

Storage
Store at -20 to -80C. Avoid freeze-thaw cycles.
Buffer
10mM PBS
Preservative
No Preservative
Concentration
1 mg/ml
Purity
Protein A or G purified

Alternate Names for Fibroblast Activation Protein alpha/FAP Antibody (FAP/4851) - Azide and BSA Free

  • 170 kDa melanoma membrane-bound gelatinase
  • DKFZp686G13158
  • DPPIV
  • EC 3.4.21.-
  • FAP
  • FAPA
  • Fibroblast Activation Protein alpha
  • fibroblast activation protein, alpha
  • Integral membrane serine protease
  • Seprase
  • vibronectin

Limitations

This product is for research use only and is not approved for use in humans or in clinical diagnosis. Primary Antibodies are guaranteed for 1 year from date of receipt.

Customers Who Viewed This Item Also Viewed...

AF1180
Species: Hu
Applications: ICC, IHC, Simple Western, WB
NB100-91662
Species: Hu, Mu, Rt
Applications: Flow, ICC/IF, IHC,  IHC-P, Simple Western, WB
NBP2-52575
Species: Hu
Applications: CyTOF-ready, ELISA, Flow, ICC/IF, IHC,  IHC-P, WB
AF4885
Species: Mu
Applications: IP, WB
NBP3-07211
Species: Ca, Hu
Applications: Flow, ICC/IF, IHC,  IHC-P, Simple Western, WB
NBP2-67381
Species: Hu, Mu, Rt
Applications: Flow, ICC/IF, IHC,  IHC-P, IP, KO, WB
AF2335
Species: Mu
Applications: CyTOF-ready, Flow, ICC, IHC, IP, WB
NBP1-87404
Species: Hu, Mu, Rt
Applications: Flow, ICC/IF, IHC,  IHC-P, KD, WB
AF1329
Species: Hu, Mu, Rt
Applications: ChIP, CyTOF-ready, ICC, IHC, ICFlow, Simple Western, WB
NB100-689
Species: Hu, Rt
Applications: IHC, IHC-Fr,  IHC-P, Simple Western, WB
NBP2-01830
Species: Ca, Hu, Mu, Rt
Applications: IHC,  IHC-P, WB
NBP1-46535
Species: Hu, Mu, Rb, Rt, Xp
Applications: ICC/IF, IHC-FrFl, IHC, IHC-Fr,  IHC-P, WB
NBP2-01521
Species: Hu, Mu, Rt
Applications: Flow, IHC,  IHC-P, WB
AF1329
Species: Hu, Mu, Rt
Applications: ChIP, CyTOF-ready, ICC, IHC, ICFlow, Simple Western, WB
H00004595-M01
Species: Hu, Mu
Applications: ELISA, ICC/IF, IHC,  IHC-P, IP, KD, WB
NBP2-33950
Species: Hu, Mu
Applications: ICC/IF, IHC,  IHC-P, WB

Publications for Fibroblast Activation Protein alpha/FAP Antibody (NBP3-14219) (0)

There are no publications for Fibroblast Activation Protein alpha/FAP Antibody (NBP3-14219).
By submitting your publication information earn gift cards and discounts for future purchases.

Reviews for Fibroblast Activation Protein alpha/FAP Antibody (NBP3-14219) (0)

There are no reviews for Fibroblast Activation Protein alpha/FAP Antibody (NBP3-14219). By submitting a review you will receive an Amazon e-Gift Card or Novus Product Discount.
  • Review with no image -- $10/€7/£6/$10 CAD/¥70 Yuan/¥1110 Yen
  • Review with an image -- $25/€18/£15/$25 CAD/¥150 Yuan/¥2500 Yen

Product General Protocols

Find general support by application which include: protocols, troubleshooting, illustrated assays, videos and webinars.

FAQs for Fibroblast Activation Protein alpha/FAP Antibody (NBP3-14219) (0)

There are no specific FAQs related to this product. Read our general customer & technical service FAQs.

Secondary Antibodies

 

Isotype Controls

Additional Fibroblast Activation Protein alpha/FAP Products

Research Areas for Fibroblast Activation Protein alpha/FAP Antibody (NBP3-14219)

Find related products by research area.

Blogs on Fibroblast Activation Protein alpha/FAP

There are no specific blogs for Fibroblast Activation Protein alpha/FAP, but you can read our latest blog posts.

Customers Who Bought This Also Bought

Contact Information

Product PDFs

Calculators

Concentration Calculator

The concentration calculator allows you to quickly calculate the volume, mass or concentration of your vial. Simply enter your mass, volume, or concentration values for your reagent and the calculator will determine the rest.

=
÷

Review this Product

Be the first to review our Fibroblast Activation Protein alpha/FAP Antibody (FAP/4851) - Azide and BSA Free and receive a gift card or discount.

Bioinformatics

Gene Symbol FAP