FAM169A Antibody - BSA Free

Images

 
Orthogonal Strategies: Immunohistochemistry-Paraffin: FAM169A Antibody [NBP1-93616] - Analysis in human cerebral cortex and skeletal muscle tissues using NBP1-93616 antibody. Corresponding FAM169A RNA-seq data ...read more
Western Blot: FAM169A Antibody [NBP1-93616] - Analysis in human cell line BEWO.
Immunohistochemistry-Paraffin: FAM169A Antibody [NBP1-93616] - Staining of human skeletal muscle shows no positivity in myocytes as expected.
Immunohistochemistry-Paraffin: FAM169A Antibody [NBP1-93616] - Staining of human epididymis shows high expression.
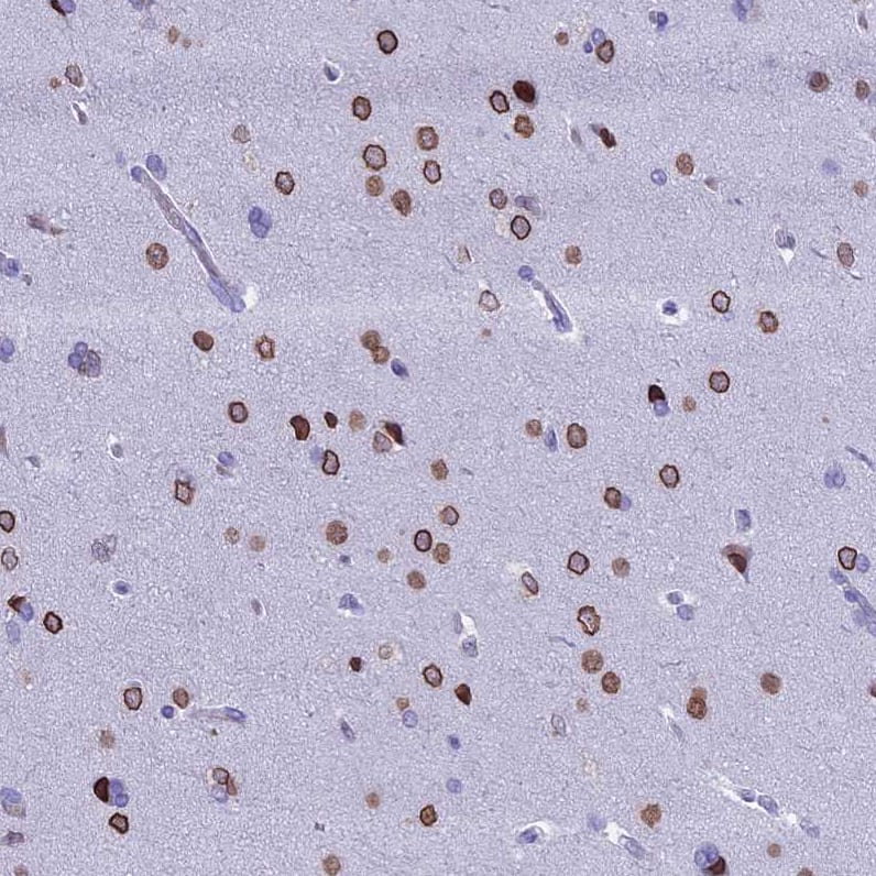
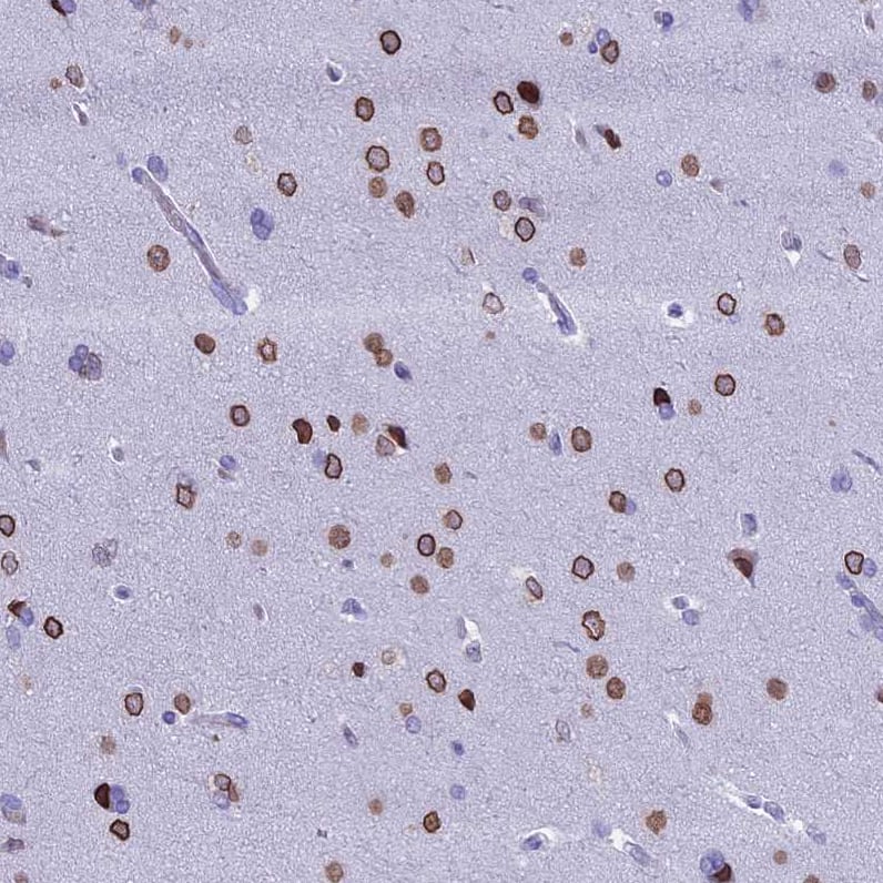
Immunohistochemistry-Paraffin: FAM169A Antibody [NBP1-93616] - Staining of human cerebral cortex shows strong nuclear membrane positivity in neuronal cells.
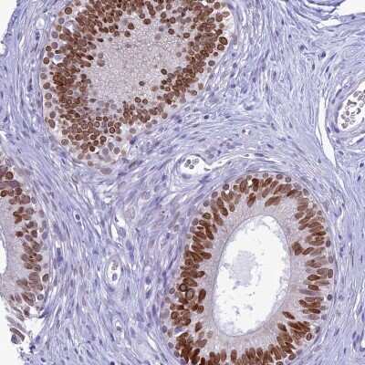
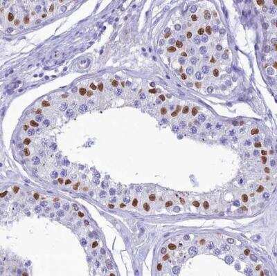
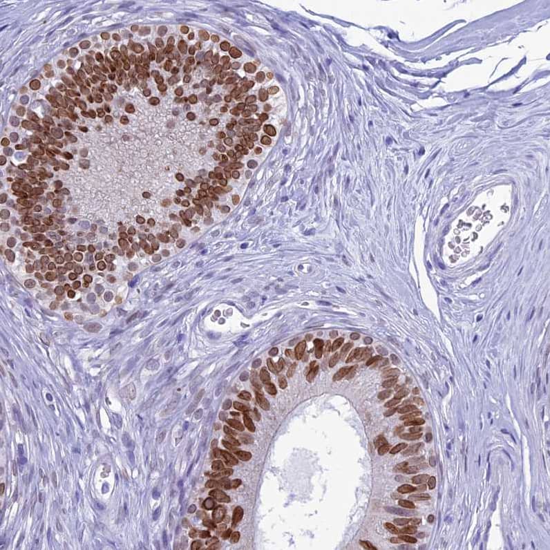
Immunohistochemistry-Paraffin: FAM169A Antibody [NBP1-93616] - Staining of human testis shows strong nuclear positivity in seminiferous ducts.
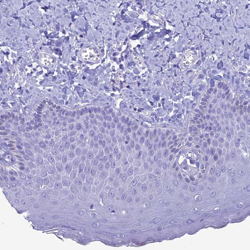
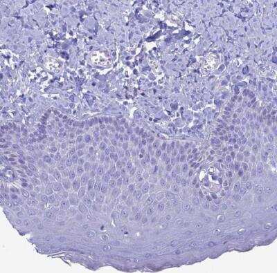
Immunohistochemistry-Paraffin: FAM169A Antibody [NBP1-93616] - Staining of human skin shows no positivity in squmaous epithelial cells as expected.
Staining of human cerebral cortex shows strong nuclear membrane positivity in neuronal cells.
Staining of human epididymis shows strong nuclear positivity in glandular cells.
Staining of human skin shows no positivity in squamous epithelial cells as expected.
Staining of human testis shows strong nuclear positivity in cells in seminiferous ducts.
Staining of human skeletal muscle shows no positivity in myocytes as expected.
Orthogonal Strategies: Analysis in human cerebral cortex and skeletal muscle tissues using NBP1-93616 antibody. Corresponding FAM169A RNA-seq data are presented for the same tissues.
Analysis in human cell line BEWO.

Product Details

Summary
Reactivity HuSpecies Glossary
Applications WB, IHC
Clonality
Polyclonal
Host
Rabbit
Conjugate
Unconjugated
Format
BSA Free
Validated by:
       

Orthogonal Strategies

 

Order Details

View Available Formulations
Catalog# & Formulation Size Price

FAM169A Antibody - BSA Free Summary

Description
Novus Biologicals Rabbit FAM169A Antibody - BSA Free (NBP1-93616) is a polyclonal antibody validated for use in IHC and WB. All Novus Biologicals antibodies are covered by our 100% guarantee.
Immunogen
This antibody was developed against Recombinant Protein corresponding to amino acids: QPFNSSEDSTNLVPLVVESSKPPEVDAPDKTPRIPDSEMLMDEGTSDEKGHMEEKLSLLPRKKAHLGSSDNVATMSNEERSDGGFPNSVIAEFSEEP
Isotype
IgG
Clonality
Polyclonal
Host
Rabbit
Gene
FAM169A
Purity
Immunogen affinity purified
Innovator's Reward
Test in a species/application not listed above to receive a full credit towards a future purchase.

Applications/Dilutions

Dilutions
  • Immunohistochemistry 1:50 - 1:200
  • Immunohistochemistry-Paraffin 1:50 - 1:200
  • Western Blot 0.04-0.4 ug/ml
Application Notes
For IHC-Paraffin, HIER pH 6 retrieval is recommended.
Control Peptide
FAM169A Protein (NBP1-93616PEP)

Packaging, Storage & Formulations

Storage
Store at 4C short term. Aliquot and store at -20C long term. Avoid freeze-thaw cycles.
Buffer
PBS (pH 7.2) and 40% Glycerol
Preservative
0.02% Sodium Azide
Purity
Immunogen affinity purified

Alternate Names for FAM169A Antibody - BSA Free

  • family with sequence similarity 169, member A
  • hypothetical protein LOC26049

Limitations

This product is for research use only and is not approved for use in humans or in clinical diagnosis. Primary Antibodies are guaranteed for 1 year from date of receipt.

Customers Who Viewed This Item Also Viewed...

NB300-996
Species: Hu
Applications: Flow, ICC/IF, IHC,  IHC-P, PEP-ELISA, WB
AF5514
Species: Hu, Mu
Applications: WB
NBP1-82512
Species: Hu, Mu, Rt
Applications: ICC/IF, IHC,  IHC-P, KD, Simple Western, WB
NB100-61071
Species: Hu
Applications: ICC/IF, IHC,  IHC-P, IP, WB
NBP1-39474
Species: Ca, Gp, Hu, Mu, Po, Rb, Rt, Sh
Applications: CyTOF-ready, Flow-IC, Flow, ICC/IF, IHC, IHC-Fr,  IHC-P, WB
AF3844
Species: Hu, Mu
Applications: IHC
DY4517-05
Species: Mu
Applications: ELISA
AF7238
Species: Hu
Applications: ICC, WB
AF2247
Species: Hu
Applications: IHC, WB
NBP1-93616
Species: Hu
Applications: WB, IHC

Publications for FAM169A Antibody (NBP1-93616) (0)

There are no publications for FAM169A Antibody (NBP1-93616).
By submitting your publication information earn gift cards and discounts for future purchases.

Reviews for FAM169A Antibody (NBP1-93616) (0)

There are no reviews for FAM169A Antibody (NBP1-93616). By submitting a review you will receive an Amazon e-Gift Card or Novus Product Discount.
  • Review with no image -- $10/€7/£6/$10 CAD/¥70 Yuan/¥1110 Yen
  • Review with an image -- $25/€18/£15/$25 CAD/¥150 Yuan/¥2500 Yen

Product General Protocols

Find general support by application which include: protocols, troubleshooting, illustrated assays, videos and webinars.

Video Protocols

WB Video Protocol

FAQs for FAM169A Antibody (NBP1-93616) (0)

There are no specific FAQs related to this product. Read our general customer & technical service FAQs.

Customers Who Bought This Also Bought

Contact Information

Product PDFs

Calculators

Concentration Calculator

The concentration calculator allows you to quickly calculate the volume, mass or concentration of your vial. Simply enter your mass, volume, or concentration values for your reagent and the calculator will determine the rest.

=
÷

Review this Product

Be the first to review our FAM169A Antibody - BSA Free and receive a gift card or discount.

Bioinformatics

Gene Symbol FAM169A