eEF-2 Antibody (5B6)

Images

 
Western Blot: eEF-2 Antibody (5B6) [NBP2-37620] - Western blot analysis using EEF2 mouse mAb against HepG2 (1), Hela (2), HEK293 (3) and A431 (4) cell lysate.
Immunocytochemistry/ Immunofluorescence: eEF-2 Antibody (5B6) [NBP2-37620] - Immunofluorescence analysis of 3T3-L1 cells using EEF2 mouse mAb (green). Blue: DRAQ5 fluorescent DNA dye. Red: Actin filaments have been ...read more
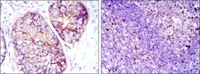
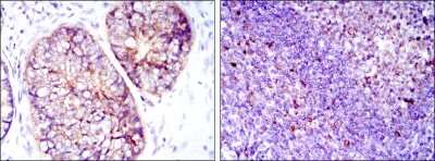
Immunohistochemistry: eEF-2 Antibody (5B6) [NBP2-37620] - Immunohistochemical analysis of paraffin-embedded prostate cancer tissues (left) and tonsil tissues (right) using EEF2 mouse mAb with DAB staining.
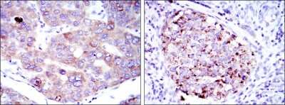
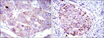
Immunohistochemistry: eEF-2 Antibody (5B6) [NBP2-37620] - Immunohistochemical analysis of paraffin-embedded liver cancer tissues (left) and kidney cancer tissues (right) using EEF2 mouse mAb with DAB staining.
ELISA: eEF-2 Antibody (5B6) [NBP2-37620] - Red: Control Antigen (100ng); Purple: Antigen (10ng); Green: Antigen (50ng); Blue: Antigen (100ng);

Product Details

Summary
Product Discontinued
View other related eEF-2 Primary Antibodies

Order Details


    • Catalog Number
      NBP2-37620
    • Availability
      Product Discontinued

    Can't find what you are looking for? Use our Antibody Concierge Service & we will help you locate your antibody!

    Or feel free to contact us for alternative products.

eEF-2 Antibody (5B6) Summary

Immunogen
Purified recombinant fragment of human EEF2 expressed in E. Coli.
Isotype
IgG1
Clonality
Monoclonal
Host
Mouse
Gene
EEF2
Purity
Unpurified
Innovator's Reward
Test in a species/application not listed above to receive a full credit towards a future purchase.

Applications/Dilutions

Dilutions
  • ELISA 1:10000
  • Immunocytochemistry/ Immunofluorescence 1:200 - 1:1000
  • Immunohistochemistry 1:200 - 1:1000
  • Immunohistochemistry-Paraffin 1:200 - 1:1000
  • Western Blot 1:500 - 1:2000
Theoretical MW
95 kDa.
Disclaimer note: The observed molecular weight of the protein may vary from the listed predicted molecular weight due to post translational modifications, post translation cleavages, relative charges, and other experimental factors.

Packaging, Storage & Formulations

Storage
Store at 4C short term. Aliquot and store at -20C long term. Avoid freeze-thaw cycles.
Buffer
Ascites
Preservative
0.03% Sodium Azide
Purity
Unpurified

Alternate Names for eEF-2 Antibody (5B6)

  • eEF2
  • eEF-2
  • EF-2
  • EF2EEF-2
  • elongation factor 2
  • eukaryotic translation elongation factor 2
  • polypeptidyl-tRNA translocase

Background

The eukaryotic translation Elongation Factor 2 (eEF2) is a 95 kDa member of the G-protein superfamily. Following peptide bond formation, eEF2 catalyzes translocation of the deacylated tRNA in the P-site and peptidyl tRNA in the A-site into the E- and P- sites, respectively (1). The activity of eEF2 is regulated by phosphorylation (2). To be active, eEF2 must be dephosphorylated, and phosphorylation at Thr-56 causes inactivation, resulting in the termination of mRNA translation (3). eEF2 is phosphorylated by a specific, calcium and calmodulin (Ca/CaM)-dependent eEF2 kinase (4).

Limitations

This product is for research use only and is not approved for use in humans or in clinical diagnosis. Primary Antibodies are guaranteed for 1 year from date of receipt.

Customers Who Viewed This Item Also Viewed...

NB600-607
Species: Hu, Rt
Applications: ELISA, IHC,  IHC-P, WB
NB100-87019
Species: Hu, Mu
Applications: IHC,  IHC-P, IP (-), WB
NB100-1595
Species: Hu, Mu
Applications: IHC,  IHC-P, IP, WB
NB200-157
Species: Hu
Applications: IHC,  IHC-P, KO, WB
NBP1-87799
Species: Hu, Mu, Rt
Applications: ICC/IF, IHC,  IHC-P, WB
NBP2-14871
Species: Mu, Rt
Applications: ICC/IF, WB
NB120-2860
Species: Ba, Bv, Ch, Hu, Mu, Rt
Applications: ELISA, Flow, ICC/IF, IHC,  IHC-P, WB
NBP2-15669
Species: Mu, Rt, Ze
Applications: IHC-WhMt, IHC, WB
MAB3228
Species: Hu, Mu, Rt
Applications: ICC, KO, WB
AF2850
Species: Hu, Mu, Rt
Applications: ICC, IHC, Simple Western, WB
AF887
Species: Hu, Mu, Rt
Applications: CyTOF-ready, IHC, ICFlow, Simple Western, WB
NBP2-22127
Species: Hu, Mu, Pm, Rt
Applications: ELISA, Flow, ICC/IF, IHC,  IHC-P, Simple Western, WB
AF2854
Species: Hu, Mu, Rt
Applications: IHC, WB
DYC1825-2
Species: Hu, Mu, Rt
Applications: ELISA
NB600-1049
Species: Hu, Mu, Rt
Applications: ICC/IF, IHC,  IHC-P, WB
AF1230
Species: Hu, Mu, Rt
Applications: IHC, KO, WB
NBP2-92880
Species: Hu, Mu, Rt
Applications: ICC/IF, IHC,  IHC-P, WB
NBP2-37620
Species: Hu
Applications: WB, ELISA, ICC/IF, IHC

Publications for eEF-2 Antibody (NBP2-37620) (0)

There are no publications for eEF-2 Antibody (NBP2-37620).
By submitting your publication information earn gift cards and discounts for future purchases.

Reviews for eEF-2 Antibody (NBP2-37620) (0)

There are no reviews for eEF-2 Antibody (NBP2-37620). By submitting a review you will receive an Amazon e-Gift Card or Novus Product Discount.
  • Review with no image -- $10/€7/£6/$10 CAD/¥70 Yuan/¥1110 Yen
  • Review with an image -- $25/€18/£15/$25 CAD/¥150 Yuan/¥2500 Yen

Product General Protocols

Find general support by application which include: protocols, troubleshooting, illustrated assays, videos and webinars.

Video Protocols

WB Video Protocol
ICC/IF Video Protocol

FAQs for eEF-2 Antibody (NBP2-37620) (0)

There are no specific FAQs related to this product. Read our general customer & technical service FAQs.

Secondary Antibodies

 

Isotype Controls

Additional eEF-2 Products

Research Areas for eEF-2 Antibody (NBP2-37620)

Find related products by research area.

Blogs on eEF-2

There are no specific blogs for eEF-2, but you can read our latest blog posts.

Contact Information

Product PDFs

Calculators

Concentration Calculator

The concentration calculator allows you to quickly calculate the volume, mass or concentration of your vial. Simply enter your mass, volume, or concentration values for your reagent and the calculator will determine the rest.

=
÷

Review this Product

Be the first to review our eEF-2 Antibody (5B6) and receive a gift card or discount.

Bioinformatics

Gene Symbol EEF2