ECM-1/Secretory Component P85 Antibody (SC05)

Images

 
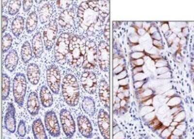
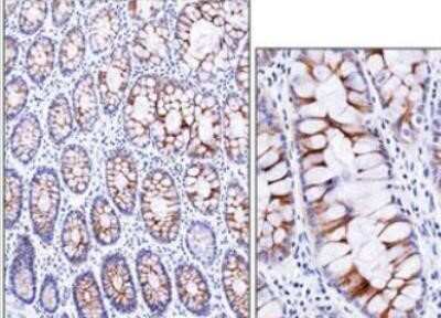
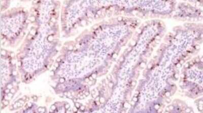
Immunohistochemistry-Paraffin: ECM-1/Secretory Component P85 Antibody (SC05) [NBP2-29464] - Secretory Component / ECM1 Antibody (SC05) [NBP2-29464] - Formalin-fixed, paraffin-embedded normal human intestine (20X) ...read more
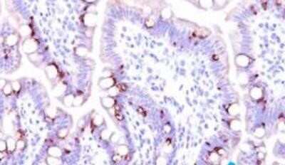
Immunohistochemistry-Paraffin: ECM-1/Secretory Component P85 Antibody (SC05) [NBP2-29464] - Formalin-fixed, paraffin-embedded normal human intestine (10X) stained with MUC2 antibody (1:200), peroxidase-conjugate and DAB ...read more
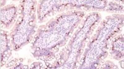
Immunohistochemistry-Paraffin: ECM-1/Secretory Component P85 Antibody (SC05) [NBP2-29464] - Secretory Component / ECM1 Antibody (SC05) [NBP2-29464] - Staining of normal human small intestine. Note cytoplasmic and ...read more

Product Details

Summary
Reactivity Hu, RtSpecies Glossary
Applications ELISA, EM, Flow, ICC/IF, IHC, IHC-Fr, IHC-P, IP
Clone
SC05
Clonality
Monoclonal
Host
Mouse
Conjugate
Unconjugated
Concentration
0.2 mg/ml

Order Details

View Available Formulations
Catalog# & Formulation Size Price

ECM-1/Secretory Component P85 Antibody (SC05) Summary

Immunogen
Partially purified ECM1 from human colostrum was used as immunogen to generate the antibody (Bartek, 1989).
Localization
Cell surface and cytoplasmic
Specificity
This MAb reacts with a reduction-resistant epitope present in both free and SIgA bound Secretory Component. It does not react with the cell lines lacking secretory component. The antibody is useful for studying the distribution and level of both free and bound secretory component. Secretory component is differentially expressed in epithelium, and the antibody is a popular marker for identifying subpopulations of epithelial cells and epithelial differentiation. The Secretory component antibody is a useful research tool for studying mucosal immunity, inflammation, remodeling, differentiation and tumorigenesis, all processes associated with differential secretory component expression.
Isotype
IgG1 Kappa
Clonality
Monoclonal
Host
Mouse
Gene
ECM1
Purity
Protein G purified
Innovator's Reward
Test in a species/application not listed above to receive a full credit towards a future purchase.

Applications/Dilutions

Dilutions
  • Electron Microscopy
  • ELISA 1-5ug/ml for coating
  • Flow Cytometry 0.5-1ug/million cells
  • Immunocytochemistry/Immunofluorescence 1-2ug/ml
  • Immunohistochemistry 0.5-1ug/ml
  • Immunohistochemistry-Frozen 0.5-1ug/ml
  • Immunohistochemistry-Paraffin 0.5-1ug/ml
  • Immunoprecipitation 1-2ug/500ug protein lysate
Application Notes
Staining of formalin-fixed tissues requires boiling tissue sections in 10mM Citrate Buffer, pH 6.0, for 10-20 min followed by cooling at RT for 20 minutes. The 7mL size is a pre-diluted size and no additional dilutions are required before using this item for the intended application.
Theoretical MW
80 kDa.
Disclaimer note: The observed molecular weight of the protein may vary from the listed predicted molecular weight due to post translational modifications, post translation cleavages, relative charges, and other experimental factors.
Reviewed Applications
Read 1 Review rated 4
using
NBP2-29464 in the following applications:

Publications
Read Publications using
NBP2-29464 in the following applications:

Packaging, Storage & Formulations

Storage
Store at 4C.
Buffer
10 mM PBS with 0.05% BSA
Preservative
0.05% Sodium Azide
Concentration
0.2 mg/ml
Purity
Protein G purified

Alternate Names for ECM-1/Secretory Component P85 Antibody (SC05)

  • ECM1
  • extracellular matrix protein 1
  • p85
  • Secretory Component Glycoprotein
  • Secretory Component P85

Background

Secretory component is an ~80 kDa glycoprotein important in mucosal immunity. Secretory component is the extracellular cleaved ectodomain of the polymeric immunoglobulin (Ig) receptor (pIgR) which transports Igs across mucosal membranes into secretions (reviewed in Johansen, 2011). IgA is the main immunoglobulin in secretions and pIgR is highly expressed in intestinal epithelial cells (ECs). Dimeric IgA (dIgA) manufactured by antibody producing plasma cells in the intestinal lamina propria binds to pIgR at the basolaterial membrane surface of ECs. pIgR-dIgA complexes are internalized and transcytosed across ECs to the apical surface. Secretory component is then proteolytically cleaved off from the pIgR and released into the lumen together with dIgA. Secreted IgA (SIgA) consists of dIgA + secretory component. SIgA protects the mucosa from microbial invasion, and bound Secretory component enhances immune function by inhibiting SIgA proteolytic degradation. The SC05 antibody clone reacts with both free and bound secretory component (Bartek, 1989); it does not react in western blots of cell lines that lack secretory component. The antibody is useful for studying the distribution and level of both free and bound secretory component. Secretory component is differentially expressed in epithelium, and the antibody is a useful marker for identifying subpopulations of epithelial cells and epithelial differentiation (Fichorova, 1997 & 1998). Secretory component antibodies have also been part of antibody marker panels for differential identification of glandular carcinomas (Brown, 1993; Harris, 1981; Kalhounou, 2010). The Secretory component antibody is a useful research tool for studying mucosal immunity, inflammation, remodeling, differentiation and tumorigenesis, all processes associated with differential secretory component expression (Bartek, 1990; Johansen, 2011). Since the presence of secretory component implies immunological function, the antibody can help identify cells regulating immunological processes (Fichorova, 1999). The antibody can also be used to indirectly assess SIgA expression since SIgA contains bound secretory component (Vancikoa, 2003). The secretory component antibody SC05 clone is also known as clone COMPO2 (Tang, 1985) in the published literature.

Limitations

This product is for research use only and is not approved for use in humans or in clinical diagnosis. Primary Antibodies are guaranteed for 1 year from date of receipt.

Customers Who Viewed This Item Also Viewed...

NBP1-57253
Species: Hu, Mu, Rt, Bv, Ca, Eq, GP, Rb, Ze
Applications: WB, IHC, IHC-P
NBP2-37477
Species: Hu
Applications: WB, ELISA, ICC/IF, IHC, IHC-P
NBP1-91258
Species: Hu, Mu, Rt, Po, Bv, Ca, Eq, Fe
Applications: WB, Simple Western, ICC/IF, IHC, IHC-Fr, IHC-P
AF808
Species: Mu
Applications: WB, IHC, ELISA(Cap), ELISA(Det), ICC, Neut, ELISA(Sta)
NBP1-77040
Species: Hu, Mu, Rt
Applications: WB, ELISA, ICC/IF
NBP1-88650
Species: Hu
Applications: WB, IHC, IHC-P
NBP2-22212
Species: Hu, Mu
Applications: WB, ELISA, Flow, ICC/IF, IHC, IHC-P, CyTOF-ready, ICC
NBP2-34136
Species: Hu
Applications: WB, IHC, IHC-P
NBP2-67504
Species: Hu, Rt
Applications: WB, Flow, ICC/IF, IHC, IHC-P, IP
NBP1-90078
Species: Hu, Mu, Rt
Applications: WB, ICC/IF, IHC, IHC-P
AF4875
Species: Hu
Applications: WB
NB100-524
Species: Hu, Mu
Applications: WB, Flow, ICC/IF, IHC, IHC-Fr, IHC-P, IP, Flow-IC
NBP2-13659
Species: Hu
Applications: IHC, IHC-P
NBP1-56991
Species: Hu, Mu, Rt, Po, Ca, Eq
Applications: WB
NBP2-15723
Species: Hu, Mu, Rt
Applications: WB, ICC/IF, IHC, IHC-P, IP
NBP1-54467
Species: Hu, Mu, Rt, Ch, Pm
Applications: WB, Simple Western, Flow, ICC/IF, IHC, IHC-P, IP, Flow-IC, IF
NBP2-46411
Species: Hu
Applications: WB, IHC
NB600-1147
Species: Hu, Mu
Applications: WB, Simple Western, Flow, IHC, IHC-P, Flow-CS

Publications for ECM-1/Secretory Component P85 Antibody (NBP2-29464)(7)

We have publications tested in 1 confirmed species: Human.

We have publications tested in 5 applications: Flow, ICC, ICC/IF, IHC-Fr, IHC-P.


Filter By Application
Flow
(1)
ICC
(1)
ICC/IF
(1)
IHC-Fr
(2)
IHC-P
(3)
All Applications
Filter By Species
Human
(2)
All Species
Showing Publications 1 - 7 of 7.
Publications using NBP2-29464 Applications Species
Philley JV, Kannan A, Griffith DE et al. Exosome secretome and mediated signaling in breast cancer patients with nontuberculous mycobacterial disease. Oncotarget. Mar 14 2017 [PMID: 28160560] (Flow, Human) Flow Human
Polosukhin VV, Cates JM, Lawson WE et al. Bronchial secretory immunoglobulin a deficiency correlates with airway inflammation and progression of chronic obstructive pulmonary disease. Am J Respir Crit Care Med. 2011 Aug 1 [PMID: 21512171] (IHC-P)

Details:
IHC (P): lung, see publications for details.
IHC-P
Gologan A, Acquafondata M, Dhir R et al. Polymeric immunoglobulin receptor-negative tumors represent a more aggressive type of adenocarcinomas of distal esophagus and gastroesophageal junction. Arch Pathol Lab Med. 2008 Aug [PMID: 18684029] (IHC-P)

Details:
IHC (P): gastric adenocarcinomas and intestinal metaplasia (Figs 1-4, Tables 1-3).
IHC-P
Tang QJ, Tao KZ, Yun-Liu et al. Immunocytochemical localization of secretory component in Paneth cell secretory granules-rat Paneth cells participate in acquired immunity. J Mol Histol. 2005 Jun [PMID: 16189640]
Fichorova RN, Anderson DJ. Differential expression of immunobiological mediators by immortalized human cervical and vaginal epithelial cells. Biol Reprod. 1999 Feb [PMID: 9916021] (IHC-Fr, ICC/IF)

Details:
IHC (F) and ICC: epithelial tissue and cell lines all originating from the vagina or cervix, Fig 3A-F.
IHC-Fr, ICC/IF
Fichorova RN, Rheinwald JG, Anderson DJ. Generation of papillomavirus-immortalized cell lines from normal human ectocervical, endocervical, and vaginal epithelium that maintain expression of tissue-specific differentiation proteins. Biol Reprod. 1997 Oct [PMID: 9314589] (IHC-Fr, ICC)

Details:
IHC (F) and ICC: epithelial tissue and tumorigenic (HeLa), immortalized and primary cell lines all originating from the vagina or cervix, Figs 2, 3 & Table 2.
IHC-Fr, ICC
Bartek J, Bartkova J, Taylor-Papadimitriou J. Keratin 19 expression in the adult and developing human mammary gland. Histochem J. 1990 Oct [PMID: 1705251] (IHC-P, Human)

Details:
IHC (P): human breast, Fig 3C, D. Note: Tissues were fixed in methacarn and embedded in paraffin.
IHC-P Human

Review for ECM-1/Secretory Component P85 Antibody (NBP2-29464) (1) 41

Average Rating: 4
(Based on 1 review)
We have 1 review tested in 1 species: Human.

Reviews using NBP2-29464:
Filter by Applications
IHC-P
(1)
All Applications
Filter by Species
Human
(1)
All Species
Images Ratings Applications Species Date Details
Immunohistochemistry-Paraffin ECM-1/Secretory Component P85 NBP2-29464
Enlarge
reviewed by:
Ilya Ulasov
IHC-P Human 02/22/2017
View

Summary

ApplicationImmunohistochemistry-Paraffin
Sample Tested breast cancer tissue
SpeciesHuman

Product General Protocols

Video Protocols

ICC/IF Video Protocol

FAQs for ECM-1/Secretory Component P85 Antibody (NBP2-29464) (0)

There are no specific FAQs related to this product. Read our general customer & technical service FAQs.

Secondary Antibodies

 

Isotype Controls

Other Available Formats

Additional ECM-1/Secretory Component P85 Products

Bioinformatics Tool for ECM-1/Secretory Component P85 Antibody (NBP2-29464)

Discover related pathways, diseases and genes to ECM-1/Secretory Component P85 Antibody (NBP2-29464). Need help? Read the Bioinformatics Tool Guide for instructions on using this tool.
Visit Tool

Diseases for ECM-1/Secretory Component P85 Antibody (NBP2-29464)

Discover more about diseases related to ECM-1/Secretory Component P85 Antibody (NBP2-29464).
 

Pathways for ECM-1/Secretory Component P85 Antibody (NBP2-29464)

View related products by pathway.

PTMs for ECM-1/Secretory Component P85 Antibody (NBP2-29464)

Learn more about PTMs related to ECM-1/Secretory Component P85 Antibody (NBP2-29464).
 

Research Areas for ECM-1/Secretory Component P85 Antibody (NBP2-29464)

Find related products by research area.

Blogs on ECM-1/Secretory Component P85

There are no specific blogs for ECM-1/Secretory Component P85, but you can read our latest blog posts.
Recombinant Monoclonal Antibodies

Customers Who Bought This Also Bought

Contact Information

Product PDFs

Calculators

Concentration Calculator

The concentration calculator allows you to quickly calculate the volume, mass or concentration of your vial. Simply enter your mass, volume, or concentration values for your reagent and the calculator will determine the rest.

=
÷

Recent Reviews

4
5
0
4
1
3
0
2
0
1
0

Ilya Ulasov
02/22/2017
Application: IHC-P
Species: Human

Bioinformatics

Gene Symbol ECM1
Uniprot