EBAG9/RCAS1 Antibody (rEBAG9/7264) - Azide and BSA Free

Images

 
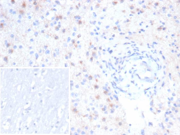
Formalin-fixed, paraffin-embedded human brain stained with EBAG9/RCAS1 antibody (rEBAG9/7264). Inset: PBS instead of primary antibody; secondary only negative control.

Product Details

Summary
Reactivity HuSpecies Glossary
Applications IHC
Clone
rEBAG9/7264
Clonality
Monoclonal
Host
Mouse
Conjugate
Unconjugated
Format
Azide and BSA Free
Concentration
1 mg/ml

Order Details

EBAG9/RCAS1 Antibody (rEBAG9/7264) - Azide and BSA Free Summary

Description
Positive Controls: MCF-7, Jurkat or HEK-293 cell lysates. Human skeletal muscle tissue.

Antibody with azide - store at 2 to 8C. Antibody without azide - store at -20 to -80C. Non-hazardous. No MSDS required.
Additional Information
Recombinant Monoclonal Antibody
Immunogen
Recombinant full-length human EBAG9/RCAS1 protein
Localization
Golgi apparatus.
Isotype
IgG1 Kappa
Clonality
Monoclonal
Host
Mouse
Gene
EBAG9
Purity
Protein A or G purified
Innovator's Reward
Test in a species/application not listed above to receive a full credit towards a future purchase.

Applications/Dilutions

Dilutions
  • Immunohistochemistry-Paraffin 1-2 ug/ml
Application Notes
Immunohistochemistry (Formalin-fixed): 1-2ug/ml for 30 minutes. at RT. Staining of formalin-fixed tissues requires heating tissue sections in 10mM Tris with 1mM EDTA, pH 9.0, for 45 min at 95C followed by cooling at RT for 20 minutes.

Optimal dilution for a specific application should be determined.

Packaging, Storage & Formulations

Storage
Store at -20 to -70C. Avoid freeze-thaw cycles.
Buffer
10mM PBS
Preservative
No Preservative
Concentration
1 mg/ml
Purity
Protein A or G purified

Alternate Names for EBAG9/RCAS1 Antibody (rEBAG9/7264) - Azide and BSA Free

  • Cancer-associated surface antigen RCAS1
  • EB9cancer associated surface antigen
  • estrogen receptor binding site associated, antigen, 9
  • Estrogen receptor-binding fragment-associated gene 9 protein
  • RCAS1PDAF
  • receptor-binding cancer antigen expressed on SiSo cells

Background

EBAG9 was identified as an estrogen-responsive gene. Regulation of transcription by estrogen is mediated by estrogen receptor which binds to the estrogen-responsive element (ERE) found in the 5'-flanking region of this gene. The encoded protein is a tumor-associated antigen that is expressed at high frequency in a variety of cancers. Two transcript variants differing in the 5' UTR, but encoding the same protein, have been identified for this gene.

Limitations

This product is for research use only and is not approved for use in humans or in clinical diagnosis. Primary Antibodies are guaranteed for 1 year from date of receipt.

Customers Who Viewed This Item Also Viewed...

H00003669-M01
Species: Hu
Applications: ELISA, ICC/IF, S-ELISA, WB
DR2A00
Species: Hu
Applications: ELISA
NB600-1441
Species: Ca, Hu, Mu, Po
Applications: Flow, ICC/IF, IHC, IHC-Fr,  IHC-P, KD
NB100-524
Species: Hu, Mu
Applications: Flow-IC, Flow, ICC/IF, IHC, IHC-Fr,  IHC-P, IP, WB
NBP2-79843
Species: Hu
Applications: CyTOF-ready, ELISA, Flow, ICC/IF, IHC,  IHC-P, PA, WB
DVE00
Species: Hu
Applications: ELISA
7268-CT
Species: Hu
Applications: BA
AF2408
Species: Hu, Mu
Applications: CyTOF-ready, Flow, ICC, KO, Simple Western, WB
DFL00B
Species: Hu
Applications: ELISA
NB300-560
Species: Av, Bv, Ma, Hu, Mu, Pm, Rt
Applications: IF, IHC, IHC-Fr,  IHC-P, WB
NB100-683
Species: Hu, Mu, Rt
Applications: Dual ISH-IHC, EM, Flow, ICC/IF, IHC, IHC-Fr,  IHC-P, IP, WB
NBP2-34594
Species: Hu, Pm
Applications: CyTOF-ready, Flow, ICC/IF, IHC,  IHC-P
AF4478
Species: Hu
Applications: IHC, WB
AF6386
Species: Hu
Applications: IP, WB
NBP3-41306
Species: Hu, Mu, Rt
Applications: WB

Publications for EBAG9/RCAS1 Antibody (NBP3-20742) (0)

There are no publications for EBAG9/RCAS1 Antibody (NBP3-20742).
By submitting your publication information earn gift cards and discounts for future purchases.

Reviews for EBAG9/RCAS1 Antibody (NBP3-20742) (0)

There are no reviews for EBAG9/RCAS1 Antibody (NBP3-20742). By submitting a review you will receive an Amazon e-Gift Card or Novus Product Discount.
  • Review with no image -- $10/€7/£6/$10 CAD/¥70 Yuan/¥1110 Yen
  • Review with an image -- $25/€18/£15/$25 CAD/¥150 Yuan/¥2500 Yen

Product General Protocols

Find general support by application which include: protocols, troubleshooting, illustrated assays, videos and webinars.

FAQs for EBAG9/RCAS1 Antibody (NBP3-20742) (0)

There are no specific FAQs related to this product. Read our general customer & technical service FAQs.

Secondary Antibodies

 

Isotype Controls

Additional EBAG9/RCAS1 Products

Research Areas for EBAG9/RCAS1 Antibody (NBP3-20742)

Find related products by research area.

Blogs on EBAG9/RCAS1

There are no specific blogs for EBAG9/RCAS1, but you can read our latest blog posts.

Customers Who Bought This Also Bought

Contact Information

Product PDFs

Calculators

Concentration Calculator

The concentration calculator allows you to quickly calculate the volume, mass or concentration of your vial. Simply enter your mass, volume, or concentration values for your reagent and the calculator will determine the rest.

=
÷

Review this Product

Be the first to review our EBAG9/RCAS1 Antibody (rEBAG9/7264) - Azide and BSA Free and receive a gift card or discount.

Bioinformatics

Gene Symbol EBAG9