Dopa Decarboxylase/DDC Antibody (JA53-16)

Images

 
Western Blot: Dopa Decarboxylase/DDC Antibody (JA53-16) [NBP2-66806] - Analysis of Dopa Decarboxylase/DDC on HepG2 cell lysates with Rabbit anti-Dopa Decarboxylase/DDC antibody at 1/500 dilution. Lysates/proteins at 10 ...read more
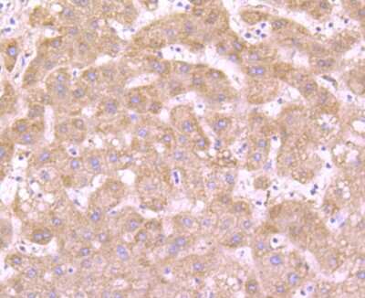
Immunohistochemistry-Paraffin: Dopa Decarboxylase/DDC Antibody (JA53-16) [NBP2-66806] - Analysis of paraffin-embedded human liver tissue with Rabbit anti-DOPA Decarboxylase antibody washed with ddH2O and PBS, and then ...read more
Western Blot: Dopa Decarboxylase/DDC Antibody (JA53-16) [NBP2-66806] - Analysis of Dopa Decarboxylase/DDC on mouse liver tissue lysates with Rabbit anti-Dopa Decarboxylase/DDC antibody at 1/500 dilution. ...read more
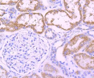
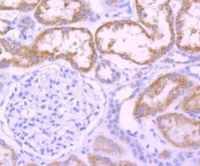
Immunohistochemistry-Paraffin: Dopa Decarboxylase/DDC Antibody (JA53-16) [NBP2-66806] - Analysis of paraffin-embedded human kidney tissue using anti-DOPA Decarboxylase antibody. Counter stained with hematoxylin.
Immunohistochemistry-Paraffin: Dopa Decarboxylase/DDC Antibody (JA53-16) [NBP2-66806] - Analysis of paraffin-embedded human liver tissue using anti-DOPA Decarboxylase antibody. Counter stained with hematoxylin.

Product Details

Summary
Product Discontinued
View other related Dopa Decarboxylase/DDC Primary Antibodies

Order Details


    • Catalog Number
      NBP2-66806
    • Availability
      Product Discontinued

    Can't find what you are looking for? Use our Antibody Concierge Service & we will help you locate your antibody!

    Or feel free to contact us for alternative products.

Dopa Decarboxylase/DDC Antibody (JA53-16) Summary

Additional Information
Recombinant Monoclonal Antibody.
Immunogen
Synthetic peptide within Human Dopa Decarboxylase/DDC aa 27-76 / 480. (SwissProt: P20711 Human; SwissProt: O88533 Mouse; SwissProt: P14173 Rat)
Localization
Cytoplasm.
Isotype
IgG
Clonality
Monoclonal
Host
Rabbit
Gene
DDC
Purity
Protein A purified
Innovator's Reward
Test in a species/application not listed above to receive a full credit towards a future purchase.

Applications/Dilutions

Dilutions
  • Immunohistochemistry
  • Immunohistochemistry-Paraffin 1:50-1:400
  • Western Blot 1:500-1:1000

Packaging, Storage & Formulations

Storage
Store at 4C short term. Aliquot and store at -20C long term. Avoid freeze-thaw cycles.
Buffer
TBS (pH7.4), 0.05% BSA, 40% Glycerol
Preservative
0.05% Sodium Azide
Concentration
1 mg/ml
Purity
Protein A purified

Alternate Names for Dopa Decarboxylase/DDC Antibody (JA53-16)

  • AADC
  • AADCaromatic-L-amino-acid decarboxylase
  • DDC
  • dopa decarboxylase (aromatic L-amino acid decarboxylase)
  • Dopa Decarboxylase
  • EC 4.1.1
  • EC 4.1.1.28

Background

DOPA Decarboxylase (aromatic L-amino acid decarboxylase, AADC; DDC) catalyzes the second reaction in the biosynthesis of catecholamines and serotonin (Waymire and Haycock, 2002; Berry et al., 1996; Haycock et al., 2003). It is also involved in the biosynthesis of trace amines. DDC antibodies can therefore be used as markers for dopaminergic, noradrenergic and serotonergic neurons in a variety of applications including depression, schizophrenia, Parkinson's disease and drug abuse (Kish et al., 2001; Zhu et al., 2000; Zhu et al., 1999).

Limitations

This product is for research use only and is not approved for use in humans or in clinical diagnosis. Primary Antibodies are guaranteed for 1 year from date of receipt.

Customers Who Viewed This Item Also Viewed...

NB300-109
Species: Ch, Dr, Hu, I, Ma, Mu, Rt
Applications: Dual ISH-IHC, ICC/IF, IHC-FrFl, IHC-WhMt, IHC, IHC-Fr,  IHC-P, KO, Simple Western, WB
NBP1-31386
Species: Hu, Mu, Rt
Applications: IHC,  IHC-P, WB
NBP2-15954
Species: Hu, Rt
Applications: IHC,  IHC-P, KO, WB
NBP2-24915
Species: Bv, Hu, Mu, Rt
Applications: IHC,  IHC-P, WB
NBP2-00688
Species: Ca, Hu, Pm, Mu, Rt
Applications: ICC/IF, IHC,  IHC-P, WB
AF3398
Species: Hu, Mu, Rt
Applications: ICC, KO, Simple Western, WB
NBP2-22164
Species: Hu(-), Mu, Rt
Applications: ELISA, ICC/IF, IHC,  IHC-P, IP, WB
NBP3-32740
Species: Hu, Mu, Rt
Applications: Flow, ICC/IF, IHC,  IHC-P, IP, WB
NBP2-33413
Species: Hu
Applications: IHC,  IHC-P, WB
NBP2-93574
Species: Hu, Mu, Rt
Applications: ICC/IF, IHC,  IHC-P, WB
NB100-74503
Species: Mu, Rt
Applications: ICC/IF, WB
MAB6734
Species: Hu
Applications: IHC
NBP1-84949
Species: Hu
Applications: ICC/IF, IHC,  IHC-P
NBP1-59580
Species: Hu, Rt
Applications: WB
NB110-68123
Species: Hu, Mu, Rb, Rt
Applications: ICC/IF, IHC, IHC-Fr, WB
NBP2-66806
Species: Hu, Mu, Rt
Applications: WB, IHC

Publications for Dopa Decarboxylase/DDC Antibody (NBP2-66806) (0)

There are no publications for Dopa Decarboxylase/DDC Antibody (NBP2-66806).
By submitting your publication information earn gift cards and discounts for future purchases.

Reviews for Dopa Decarboxylase/DDC Antibody (NBP2-66806) (0)

There are no reviews for Dopa Decarboxylase/DDC Antibody (NBP2-66806). By submitting a review you will receive an Amazon e-Gift Card or Novus Product Discount.
  • Review with no image -- $10/€7/£6/$10 CAD/¥70 Yuan/¥1110 Yen
  • Review with an image -- $25/€18/£15/$25 CAD/¥150 Yuan/¥2500 Yen

Product General Protocols

Find general support by application which include: protocols, troubleshooting, illustrated assays, videos and webinars.

Video Protocols

WB Video Protocol

FAQs for Dopa Decarboxylase/DDC Antibody (NBP2-66806) (0)

There are no specific FAQs related to this product. Read our general customer & technical service FAQs.

Secondary Antibodies

 

Isotype Controls

Additional Dopa Decarboxylase/DDC Products

Research Areas for Dopa Decarboxylase/DDC Antibody (NBP2-66806)

Find related products by research area.

Blogs on Dopa Decarboxylase/DDC

There are no specific blogs for Dopa Decarboxylase/DDC, but you can read our latest blog posts.

Contact Information

Product PDFs

Calculators

Concentration Calculator

The concentration calculator allows you to quickly calculate the volume, mass or concentration of your vial. Simply enter your mass, volume, or concentration values for your reagent and the calculator will determine the rest.

=
÷

Review this Product

Be the first to review our Dopa Decarboxylase/DDC Antibody (JA53-16) and receive a gift card or discount.

Bioinformatics

Gene Symbol DDC