DNA Ligase IV Antibody (JM64-32)

Images

 
Western Blot: DNA Ligase IV Antibody (JM64-32) [NBP2-75474] - Analysis of DNA Ligase IV on Hela cell using anti-DNA Ligase IV antibody at 1/1,000 dilution.Positive control:Lane 1: HepG2 Lane 2: HelaLane 3: ...read more
Immunohistochemistry-Paraffin: DNA Ligase IV Antibody (JM64-32) [NBP2-75474] - Analysis of paraffin-embedded human placenta tissue using anti-DNA Ligase IV antibody. Counter stained with hematoxylin.
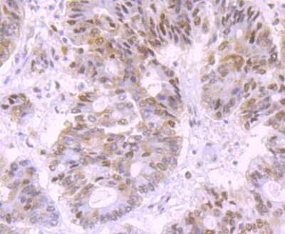
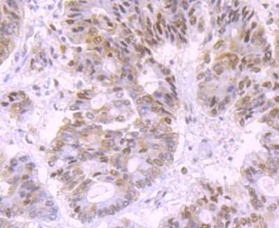
Immunohistochemistry-Paraffin: DNA Ligase IV Antibody (JM64-32) [NBP2-75474] - Analysis of paraffin-embedded human colon cancer tissue using anti-DNA Ligase IV antibody. Counter stained with hematoxylin.

Product Details

Summary
Product Discontinued
View other related DNA Ligase IV Primary Antibodies

Order Details


    • Catalog Number
      NBP2-75474
    • Availability
      Product Discontinued

    Can't find what you are looking for? Use our Antibody Concierge Service & we will help you locate your antibody!

    Or feel free to contact us for alternative products.

DNA Ligase IV Antibody (JM64-32) Summary

Additional Information
Recombinant Monoclonal Antibody.
Immunogen
Recombinant protein within Human DNA Ligase IV aa 484-705 / 911. (SwissProt: P49917 Human)
Localization
Nucleus.
Isotype
IgG
Clonality
Monoclonal
Host
Rabbit
Gene
LIG4
Purity
Protein A purified
Innovator's Reward
Test in a species/application not listed above to receive a full credit towards a future purchase.

Applications/Dilutions

Dilutions
  • Immunocytochemistry/ Immunofluorescence 1:10-1:50
  • Immunohistochemistry
  • Immunohistochemistry-Paraffin 1:50-1:200
  • Western Blot 1:500-1:2000
Theoretical MW
104 kDa.
Disclaimer note: The observed molecular weight of the protein may vary from the listed predicted molecular weight due to post translational modifications, post translation cleavages, relative charges, and other experimental factors.

Packaging, Storage & Formulations

Storage
Store at 4C short term. Aliquot and store at -20C long term. Avoid freeze-thaw cycles.
Buffer
TBS (pH7.4), 0.05% BSA, 40% Glycerol
Preservative
0.05% Sodium Azide
Concentration
1 mg/ml
Purity
Protein A purified

Alternate Names for DNA Ligase IV Antibody (JM64-32)

  • DNA joinase
  • DNA ligase 4
  • DNA Ligase IV
  • DNA repair enzyme
  • EC 6.5.1.1
  • LIG4
  • ligase IV, DNA, ATP-dependent
  • Polydeoxyribonucleotide synthase [ATP] 4
  • polynucleotide ligase
  • sealase

Background

LIG4 encodes a DNA ligase that joins single-strand breaks in a double-stranded polydeoxynucleotide in an ATP-dependent reaction. This protein is essential for V(D)J recombination and DNA double-strand break (DSB) repair through nonhomologous end joining (NHEJ). This protein forms a complex with the X-ray repair cross complementing protein 4 (XRCC4), and further interacts with the DNA-dependent protein kinase (DNA-PK). Both XRCC4 and DNA-PK are known to be required for NHEJ. The crystal structure of the complex formed by this protein and XRCC4 has been resolved. Defects in this gene are the cause of LIG4 syndrome.

Limitations

This product is for research use only and is not approved for use in humans or in clinical diagnosis. Primary Antibodies are guaranteed for 1 year from date of receipt.

Customers Who Viewed This Item Also Viewed...

NB100-116
Species: Hu, Mu, Pm, Rt
Applications: ChIP, ELISA, GS, IB, ICC/IF, IHC, IHC-Fr,  IHC-P, IP, KD, PLA, Simple Western, WB
NBP1-89463
Species: Hu
Applications: ICC/IF, IHC,  IHC-P, KD, WB
NBP2-27335
Species: Hu, Mu, Rt(-)
Applications: CyTOF-ready, Flow, ICC/IF, WB
NB100-168
Species: Hu, Mu(-)
Applications: CyTOF-ready, Flow-IC, Flow, ICC/IF, IHC,  IHC-P, Simple Western, WB
NB100-658
Species: Hu
Applications: IP, KD, WB
NB100-106
Species: Hu, Mu, Po, Pm, Rb, Rt
Applications: ELISA, Flow-IC, Flow, IB, ICC/IF, IHC, IHC-Fr,  IHC-P, IP, PLA, WB
NB100-508
Species: Ha, Hu, Mu, Rt
Applications: ChIP, IP, WB
NBP2-34247
Species: Ch(-), Hu, Mu(-), Pm, Rt(-)
Applications: Flow-IC, Flow, ICC/IF
NB600-1031
Species: Hu, Mu, Rb, Rt
Applications: ICC/IF, IHC,  IHC-P, WB
NB200-103
Species: Hu, Mu, Rt, Xp(-), Ye
Applications: CyTOF-ready, ELISA, Flow-IC, Flow, ICC/IF, IHC, IHC-Fr,  IHC-P, IP, WB
NBP2-43728
Species: Hu, Mu, Rt
Applications: ICC/IF, WB
NB100-183
Species: Hu
Applications: WB
NBP2-03275
Species: Hu, Pm
Applications: Flow, ICC/IF, IHC,  IHC-P, WB
NB100-143
Species: Ha, Hu, Ma, Mu, Pm
Applications: ChIP, ChIP, ELISA, Flow, IB, ICC/IF, IHC,  IHC-P, IP, ISH, KD, KO, PAGE, WB
NB100-309
Species: Hu, Pm, Mu, Rt
Applications: ChIP, ELISA, Flow, ICC/IF, IHC,  IHC-P, IP, KD, PAGE, Single-Cell Western, WB

Publications for DNA Ligase IV Antibody (NBP2-75474) (0)

There are no publications for DNA Ligase IV Antibody (NBP2-75474).
By submitting your publication information earn gift cards and discounts for future purchases.

Reviews for DNA Ligase IV Antibody (NBP2-75474) (0)

There are no reviews for DNA Ligase IV Antibody (NBP2-75474). By submitting a review you will receive an Amazon e-Gift Card or Novus Product Discount.
  • Review with no image -- $10/€7/£6/$10 CAD/¥70 Yuan/¥1110 Yen
  • Review with an image -- $25/€18/£15/$25 CAD/¥150 Yuan/¥2500 Yen

Product General Protocols

Find general support by application which include: protocols, troubleshooting, illustrated assays, videos and webinars.

Video Protocols

WB Video Protocol
ICC/IF Video Protocol

FAQs for DNA Ligase IV Antibody (NBP2-75474) (0)

There are no specific FAQs related to this product. Read our general customer & technical service FAQs.

Secondary Antibodies

 

Isotype Controls

Additional DNA Ligase IV Products

Research Areas for DNA Ligase IV Antibody (NBP2-75474)

Find related products by research area.

Blogs on DNA Ligase IV

There are no specific blogs for DNA Ligase IV, but you can read our latest blog posts.

Contact Information

Product PDFs

Calculators

Concentration Calculator

The concentration calculator allows you to quickly calculate the volume, mass or concentration of your vial. Simply enter your mass, volume, or concentration values for your reagent and the calculator will determine the rest.

=
÷

Review this Product

Be the first to review our DNA Ligase IV Antibody (JM64-32) and receive a gift card or discount.

Bioinformatics

Gene Symbol LIG4