DIAPH1 Antibody (JE40-59)

Images

 
Western Blot: DIAPH1 Antibody (JE40-59) [NBP2-75470] - Analysis of DIAPH1 on SiHa cell lysate using anti-DIAPH1 antibody at 1/5,000 dilution.
Immunocytochemistry/ Immunofluorescence: DIAPH1 Antibody (JE40-59) [NBP2-75470] - Staining DIAPH1 in LOVO cells (green). The nuclear counter stain is DAPI (blue). Cells were fixed in paraformaldehyde, permeabilised with ...read more
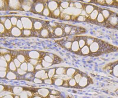
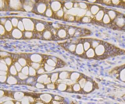
Immunohistochemistry-Paraffin: DIAPH1 Antibody (JE40-59) [NBP2-75470] - Analysis of paraffin-embedded human colon tissue using anti-DIAPH1 antibody. Counter stained with hematoxylin.
Immunohistochemistry-Paraffin: DIAPH1 Antibody (JE40-59) [NBP2-75470] - Analysis of paraffin-embedded human liver cancer tissue using anti-DIAPH1 antibody. Counter stained with hematoxylin.

Product Details

Summary
Product Discontinued
View other related DIAPH1 Primary Antibodies

Order Details


    • Catalog Number
      NBP2-75470
    • Availability
      Product Discontinued

    Can't find what you are looking for? Use our Antibody Concierge Service & we will help you locate your antibody!

    Or feel free to contact us for alternative products.

DIAPH1 Antibody (JE40-59) Summary

Additional Information
Recombinant Monoclonal Antibody.
Immunogen
Synthetic peptide within Human DIAPH1 aa 1-50 / 1,272. (SwissProt: O60610 Human)
Localization
Cytoskeleton. Plasma membrane.
Isotype
IgG
Clonality
Monoclonal
Host
Rabbit
Gene
DIAPH1
Purity
Protein A purified
Innovator's Reward
Test in a species/application not listed above to receive a full credit towards a future purchase.

Applications/Dilutions

Dilutions
  • Immunocytochemistry/ Immunofluorescence 1:50
  • Immunohistochemistry
  • Immunohistochemistry-Paraffin 1:50-1:100
  • Western Blot 1:5000-1:10000
Theoretical MW
141 kDa.
Disclaimer note: The observed molecular weight of the protein may vary from the listed predicted molecular weight due to post translational modifications, post translation cleavages, relative charges, and other experimental factors.

Packaging, Storage & Formulations

Storage
Store at 4C short term. Aliquot and store at -20C long term. Avoid freeze-thaw cycles.
Buffer
TBS (pH7.4), 0.05% BSA, 40% Glycerol
Preservative
0.05% Sodium Azide
Concentration
1 mg/ml
Purity
Protein A purified

Alternate Names for DIAPH1 Antibody (JE40-59)

  • DIA1
  • diaphanous homolog 1 (Drosophila)
  • hDIA1
  • homolog) 1
  • LFHL1FLJ25265

Background

Diaphanous 1 is a member of the Formin homology (FH) family of cytoskeletal organizer proteins. It is required for cytokinesis and transcriptional activation of the serum response factor. It has also been suggested to contribute to localized actin polymerization and stress fiber formation, both by recruiting profiling to sites of Rho action and by cooperating with ROCK. The human Diaphanous 1 gene is associated with Premature Ovarian Failure (POF) and Nonsyndromic Deafness (DFNA1), an autosomal dominant, fully penetrant progressive hearing loss.

Limitations

This product is for research use only and is not approved for use in humans or in clinical diagnosis. Primary Antibodies are guaranteed for 1 year from date of receipt.

Customers Who Viewed This Item Also Viewed...

NBP1-58359
Species: Hu
Applications: IHC,  IHC-P, WB
NBP2-25160
Species: Bv, Ca, Eq, Hu, Mu, Po, Rt
Applications: ICC/IF, IHC, WB
NBP1-85217
Species: Hu, Mu, Rt
Applications: ICC/IF, IHC,  IHC-P, WB
NBP2-41304
Species: Hu, Po, Rt
Applications: ELISA, ICC/IF, IHC,  IHC-P, WB
H00081624-M01
Species: Hu
Applications: ELISA, ICC/IF, S-ELISA, WB
NB100-91273
Species: Hu, Mu, Pm, Rt
Applications: ICC/IF, IHC,  IHC-P, WB
NBP3-13785
Species: Hu
Applications: ELISA, Flow, ICC/IF,  IHC-P, IP, PA, WB
H00342184-M07
Species: Hu
Applications: ELISA, ICC/IF, WB
NBP2-70411
Species: Hu, Mu, Rt
Applications: Flow, ICC/IF, IHC,  IHC-P, WB
NBP1-31302
Species: Hu, Mu, Rt
Applications: ICC/IF, IHC,  IHC-P, KO, WB
AF2635
Species: Hu
Applications: WB
H00010097-M01
Species: Hu
Applications: ELISA, IHC,  IHC-P, S-ELISA, WB
NBP2-81988
Species: Hu, Mu, Rt
Applications: ELISA, ICC/IF, WB
NB300-996
Species: Hu
Applications: Flow, ICC/IF, IHC,  IHC-P, PEP-ELISA, WB
AF1444
Species: Mu
Applications: IHC, WB
NBP1-30955
Species: Hu, Mu
Applications: ICC/IF, IHC,  IHC-P, WB
NBP1-90286
Species: Hu, Mu, Rt
Applications: ICC/IF, IHC,  IHC-P, WB
AF2685
Species: Hu
Applications: IHC, Simple Western, WB

Publications for DIAPH1 Antibody (NBP2-75470) (0)

There are no publications for DIAPH1 Antibody (NBP2-75470).
By submitting your publication information earn gift cards and discounts for future purchases.

Reviews for DIAPH1 Antibody (NBP2-75470) (0)

There are no reviews for DIAPH1 Antibody (NBP2-75470). By submitting a review you will receive an Amazon e-Gift Card or Novus Product Discount.
  • Review with no image -- $10/€7/£6/$10 CAD/¥70 Yuan/¥1110 Yen
  • Review with an image -- $25/€18/£15/$25 CAD/¥150 Yuan/¥2500 Yen

Product General Protocols

Find general support by application which include: protocols, troubleshooting, illustrated assays, videos and webinars.

Video Protocols

WB Video Protocol
ICC/IF Video Protocol

FAQs for DIAPH1 Antibody (NBP2-75470) (0)

There are no specific FAQs related to this product. Read our general customer & technical service FAQs.

Secondary Antibodies

 

Isotype Controls

Additional DIAPH1 Products

Research Areas for DIAPH1 Antibody (NBP2-75470)

Find related products by research area.

Blogs on DIAPH1

There are no specific blogs for DIAPH1, but you can read our latest blog posts.

Contact Information

Product PDFs

Calculators

Concentration Calculator

The concentration calculator allows you to quickly calculate the volume, mass or concentration of your vial. Simply enter your mass, volume, or concentration values for your reagent and the calculator will determine the rest.

=
÷

Review this Product

Be the first to review our DIAPH1 Antibody (JE40-59) and receive a gift card or discount.

Bioinformatics

Gene Symbol DIAPH1