Desmoglein-3 Antibody (DSG3/8252R) - Azide and BSA Free

Images

 
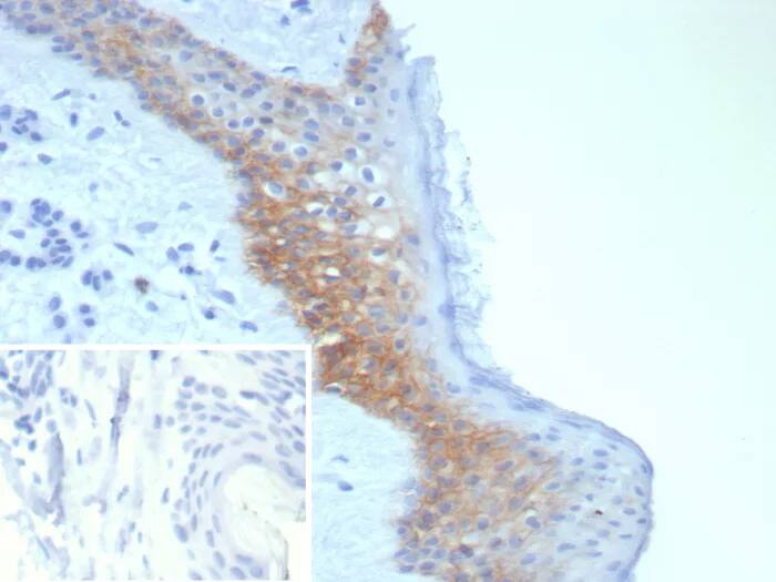
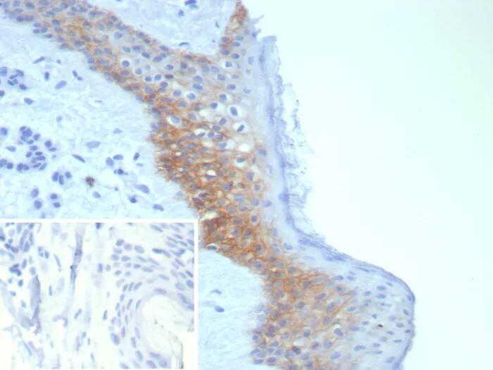
Immunohistochemistry-Paraffin: Desmoglein-3 Antibody (DSG3/8252R) - Azide and BSA Free [NBP3-24162] - Formalin-fixed, paraffin-embedded human skin stained with Desmoglein-3 Antibody (DSG3/8252R). Inset: PBS instead of ...read more

Product Details

Summary
Reactivity HuSpecies Glossary
Applications IHC
Clone
DSG3/8252R
Clonality
Monoclonal
Host
Rabbit
Conjugate
Unconjugated
Format
Azide and BSA Free
Concentration
1 mg/ml

Order Details

Desmoglein-3 Antibody (DSG3/8252R) - Azide and BSA Free Summary

Description
Antibody without azide - store at -20 to -80C.
Additional Information
Recombinant Monoclonal Antibody
Immunogen
Recombinant fragment (around aa300-500) of human Desmoglein-3 protein (exact sequence is proprietary)
Localization
Cell surface
Marker
Squamous Cell Marker
Specificity
This monoclonal antibody is highly specific to Desmoglein-3 and does not cross-react with other members of the Desmoglein-family.
Isotype
IgG Kappa
Clonality
Monoclonal
Host
Rabbit
Gene
DSG3
Purity
Protein A or G purified
Innovator's Reward
Test in a species/application not listed above to receive a full credit towards a future purchase.

Applications/Dilutions

Dilutions
  • Immunohistochemistry-Paraffin 1-2ug/ml
Application Notes
Immunohistochemistry-Paraffin: 1-2ug/ml for 30 minutes at RT. Staining of formalin-fixed tissues requires heating tissue sections in 10mM Tris with 1mM EDTA, pH 9.0, for 45 min at 95C followed by cooling at RT for 20 minutes. Optimal dilution for a specific application should be determined.

Packaging, Storage & Formulations

Storage
Store at -20 to -80C. Avoid freeze-thaw cycles.
Buffer
10mM PBS
Preservative
No Preservative
Concentration
1 mg/ml
Purity
Protein A or G purified

Alternate Names for Desmoglein-3 Antibody (DSG3/8252R) - Azide and BSA Free

  • Cadherin family member 6
  • CDHF6
  • CDHF6130-kD pemphigus vulgaris antigen
  • desmoglein 3 (pemphigus vulgaris antigen)
  • desmoglein 3
  • Desmoglein3
  • Desmoglein-3
  • DKFZp686P23184,130 kDa pemphigus vulgaris antigen
  • DSG3
  • pemphigus vulgaris antigen
  • PVA

Background

Desmoglein 3 is a calcium-binding transmembrane glycoprotein component of desmosomes in vertebrate epithelial cells. Currently, three desmoglein subfamily members have been identified and all are members of the cadherin cell adhesion molecule superfamily. These desmoglein gene family members are located in a cluster on chromosome 18. This protein has been identified as the autoantigen of the autoimmune skin blistering disease pemphigus vulgaris.

Limitations

This product is for research use only and is not approved for use in humans or in clinical diagnosis. Primary Antibodies are guaranteed for 1 year from date of receipt.

Customers Who Viewed This Item Also Viewed...

AF944
Species: Hu
Applications: IHC, WB
MAB7265
Species: Mu
Applications: IHC, WB
AF947
Species: Hu
Applications: Simple Western, WB
NBP2-48836
Species: Ca, Hu
Applications: ICC/IF, IHC,  IHC-P
AF748
Species: Hu, Mu
Applications: CyTOF-ready, Dual ISH-IHC, Flow, ICC, IHC, Simple Western, WB
MAB1455
Species: Hu
Applications: CyTOF-ready, Dual ISH-IHC, ICC, IHC, ICFlow, Simple Western, WB
AF7490
Species: Mu
Applications: IHC
NBP2-13795
Species: Hu
Applications: IHC,  IHC-P
NBP1-89946
Species: Hu
Applications: ICC/IF, IHC,  IHC-P
6507-IL/CF
Species: Hu
Applications: BA
NBP1-88099
Species: Hu
Applications: IHC,  IHC-P, Simple Western, WB
NBP1-91800
Species: Hu
Applications: IHC,  IHC-P, WB
NBP2-34270
Species: Hu, Mu, Rt
Applications: Flow, ICC/IF, IHC, IHC-Fr,  IHC-P, Simple Western
NB200-540
Species: Ec, Mu
Applications: CyTOF-ready, Flow-IC, Flow, IA, ICC/IF, IHC, IHC-Fr,  IHC-P, IP
NBP2-92546
Species: Hu, Mu, Rt
Applications: ELISA, ICC/IF, IHC, WB
NBP2-43666
Species: Hu, Rt
Applications: ICC/IF, IHC,  IHC-P, WB
AF960
Species: Hu
Applications: CyTOF-ready, Flow, ICC, IHC, Simple Western, WB
NBP3-24162
Species: Hu
Applications: IHC

Publications for Desmoglein-3 Antibody (NBP3-24162) (0)

There are no publications for Desmoglein-3 Antibody (NBP3-24162).
By submitting your publication information earn gift cards and discounts for future purchases.

Reviews for Desmoglein-3 Antibody (NBP3-24162) (0)

There are no reviews for Desmoglein-3 Antibody (NBP3-24162). By submitting a review you will receive an Amazon e-Gift Card or Novus Product Discount.
  • Review with no image -- $10/€7/£6/$10 CAD/¥70 Yuan/¥1110 Yen
  • Review with an image -- $25/€18/£15/$25 CAD/¥150 Yuan/¥2500 Yen

Product General Protocols

Find general support by application which include: protocols, troubleshooting, illustrated assays, videos and webinars.

FAQs for Desmoglein-3 Antibody (NBP3-24162) (0)

There are no specific FAQs related to this product. Read our general customer & technical service FAQs.

Secondary Antibodies

 

Isotype Controls

Additional Desmoglein-3 Products

Research Areas for Desmoglein-3 Antibody (NBP3-24162)

Find related products by research area.

Blogs on Desmoglein-3.

Epithelial-Mesenchymal Transition (EMT) Markers
Epithelial-Mesenchymal Transition (EMT) is the trans-differentiation of stationary epithelial cells into motile mesenchymal cells. During EMT, epithelial cells lose their junctions and apical-basal polarity, reorganize their cytoskeleton, undergo a...  Read full blog post.

Customers Who Bought This Also Bought

Contact Information

Product PDFs

Calculators

Concentration Calculator

The concentration calculator allows you to quickly calculate the volume, mass or concentration of your vial. Simply enter your mass, volume, or concentration values for your reagent and the calculator will determine the rest.

=
÷

Review this Product

Be the first to review our Desmoglein-3 Antibody (DSG3/8252R) - Azide and BSA Free and receive a gift card or discount.

Bioinformatics

Gene Symbol DSG3