DDX6 Antibody (OTI2D6) - Azide and BSA Free

Images

 
Western Blot: DDX6 Antibody (OTI2D6) - Azide and BSA Free [NBP2-70563] - Analysis of HEK293T cells were transfected with the pCMV6-ENTRY control (Left lane) or pCMV6-ENTRY DDX6 .
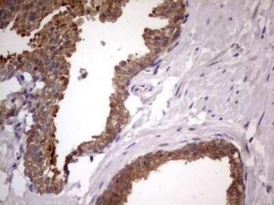
Immunohistochemistry: DDX6 Antibody (OTI2D6) - Azide and BSA Free [NBP2-70563] - Analysis of Carcinoma of Human prostate tissue. (Heat-induced epitope retrieval by 1 mM EDTA in 10mM Tris, pH8.5, 120C for 3min)

Product Details

Summary
Reactivity Hu, Mu, RtSpecies Glossary
Applications WB, IHC
Clone
OTI2D6
Clonality
Monoclonal
Host
Mouse
Conjugate
Unconjugated
Format
Azide and BSA Free
Concentration
LYOPH

Order Details

DDX6 Antibody (OTI2D6) - Azide and BSA Free Summary

Description
Novus Biologicals Mouse DDX6 Antibody (OTI2D6) - Azide and BSA Free (NBP2-46448) is a monoclonal antibody validated for use in IHC and WB. All Novus Biologicals antibodies are covered by our 100% guarantee.
Immunogen
Human recombinant protein fragment corresponding to amino acids 1-298 of human DDX6 (NP_004388) produced in E.coli.
Isotype
IgG2a
Clonality
Monoclonal
Host
Mouse
Gene
DDX6
Purity
Immunogen affinity purified
Innovator's Reward
Test in a species/application not listed above to receive a full credit towards a future purchase.

Applications/Dilutions

Dilutions
  • Immunohistochemistry 1:150
  • Immunohistochemistry-Paraffin
  • Western Blot 1:500
Theoretical MW
54.2 kDa.
Disclaimer note: The observed molecular weight of the protein may vary from the listed predicted molecular weight due to post translational modifications, post translation cleavages, relative charges, and other experimental factors.

Reactivity Notes

Please note that this antibody is reactive to Mouse and derived from the same host, Mouse. Mouse-On-Mouse blocking reagent may be needed for IHC and ICC experiments to reduce high background signal. You can find these reagents under catalog numbers PK-2200-NB and MP-2400-NB. Please contact Technical Support if you have any questions.

Packaging, Storage & Formulations

Storage
Store at -20C. Avoid freeze-thaw cycles.
Buffer
Lyophilized from PBS (pH 7.3) with 8% Trehalose
Preservative
No Preservative
Concentration
LYOPH
Purity
Immunogen affinity purified
Reconstitution Instructions
we recommend adding 100uL distilled water to a final antibody concentration of about 1 mg/mL. To use this carrier-free antibody for conjugation experiment, we strongly recommend performing another round of desalting process.

Alternate Names for DDX6 Antibody (OTI2D6) - Azide and BSA Free

  • ATP-dependent RNA helicase p54
  • DEAD (Asp-Glu-Ala-Asp) box polypeptide 6
  • DEAD box protein 6
  • DEAD/H (Asp-Glu-Ala-Asp/His) box polypeptide 6 (RNA helicase, 54kD)
  • EC 3.6.1
  • EC 3.6.4.13
  • FLJ36338
  • HLR2DEAD box-6
  • Oncogene RCK
  • probable ATP-dependent RNA helicase DDX6
  • RCKP54

Background

DDX6 encodes a member of the DEAD box protein family. The protein is an RNA helicase found in P-bodies and stress granules, and functions in translation suppression and mRNA degradation. It is required for microRNA-induced gene silencing.

Limitations

This product is for research use only and is not approved for use in humans or in clinical diagnosis. Primary Antibodies are guaranteed for 1 year from date of receipt.

Customers Who Viewed This Item Also Viewed...

MAB17761
Species: Hu, Mu, Rt
Applications: ICC, WB
AF1230
Species: Hu, Mu, Rt
Applications: IHC, KO, WB
NB100-1556
Species: Hu, Mu, Rt
Applications: ICC/IF, IHC,  IHC-P, IP, WB
MAB8930
Species: Hu
Applications: ICC, Simple Western, WB
NBP2-22203
Species: Hu, Pm, Mu, Rt
Applications: ELISA, Flow, ICC/IF, IHC,  IHC-P, WB
NBP1-92392
Species: Hu, Mu, Rt
Applications: ICC/IF, IHC,  IHC-P, WB
MAB1846
Species: Hu, Mu, Rt
Applications: ICC, KO, WB
H00005706-M02
Species: Hu, Mu, Rt
Applications: ELISA, ICC/IF, KD, WB
NBP2-20329
Species: Hu, Mu
Applications: ICC/IF, IHC,  IHC-P, IP, WB
AF8691
Species: Hu, Mu, Rt
Applications: IHC, KO, Simple Western, WB
NB100-74360
Species: Hu, Mu
Applications: ChIP, ICC/IF, IHC, IHC-Fr,  IHC-P, IP, WB
NBP2-00918
Species: Ca, Hu, Mu, Rt
Applications: Flow, ICC/IF, IHC,  IHC-P, WB
NBP1-68874
Species: Hu, Mu, Rt
Applications: PEP-ELISA, WB
NBP2-37568
Species: Hu
Applications: ELISA, Flow, ICC/IF, IHC,  IHC-P, WB
NBP2-00764
Species: Hu, Mu, Rt
Applications: Flow, IHC,  IHC-P, WB
AF467
Species: Hu, Mu
Applications: CyTOF-ready, Flow, ICC, IHC, Simple Western, WB
H00010598-M01
Species: Hu, Mu, Rt
Applications: ELISA, ICC/IF, S-ELISA, WB
NBP2-70563
Species: Hu, Mu, Rt
Applications: WB, IHC

Publications for DDX6 Antibody (NBP2-70563) (0)

There are no publications for DDX6 Antibody (NBP2-70563).
By submitting your publication information earn gift cards and discounts for future purchases.

Reviews for DDX6 Antibody (NBP2-70563) (0)

There are no reviews for DDX6 Antibody (NBP2-70563). By submitting a review you will receive an Amazon e-Gift Card or Novus Product Discount.
  • Review with no image -- $10/€7/£6/$10 CAD/¥70 Yuan/¥1110 Yen
  • Review with an image -- $25/€18/£15/$25 CAD/¥150 Yuan/¥2500 Yen

Product General Protocols

Find general support by application which include: protocols, troubleshooting, illustrated assays, videos and webinars.

Video Protocols

WB Video Protocol

FAQs for DDX6 Antibody (NBP2-70563) (0)

There are no specific FAQs related to this product. Read our general customer & technical service FAQs.

Secondary Antibodies

 

Isotype Controls

Additional DDX6 Products

Research Areas for DDX6 Antibody (NBP2-70563)

Find related products by research area.

Blogs on DDX6

There are no specific blogs for DDX6, but you can read our latest blog posts.

Customers Who Bought This Also Bought

Contact Information

Product PDFs

Calculators

Concentration Calculator

The concentration calculator allows you to quickly calculate the volume, mass or concentration of your vial. Simply enter your mass, volume, or concentration values for your reagent and the calculator will determine the rest.

=
÷

Review this Product

Be the first to review our DDX6 Antibody (OTI2D6) - Azide and BSA Free and receive a gift card or discount.

Bioinformatics

Gene Symbol DDX6