DDX6 Antibody (JB41-32)

Images

 
Western Blot: DDX6 Antibody (JB41-32) [NBP2-75466] - Analysis of DDX6 on different lysates using anti-DDX6 antibody at 1/500 dilution.Positive control:Lane 1: Human colon Lane 2: SH-SY-5YLane 3: SiHa ...read more
Immunohistochemistry-Paraffin: DDX6 Antibody (JB41-32) [NBP2-75466] - Analysis of paraffin-embedded rat brain tissue using anti-DDX6 antibody. Counter stained with hematoxylin.
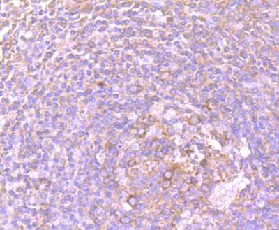
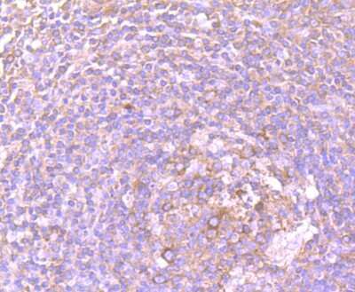
Immunohistochemistry-Paraffin: DDX6 Antibody (JB41-32) [NBP2-75466] - Analysis of paraffin-embedded human tonsil tissue using anti-DDX6 antibody. Counter stained with hematoxylin.
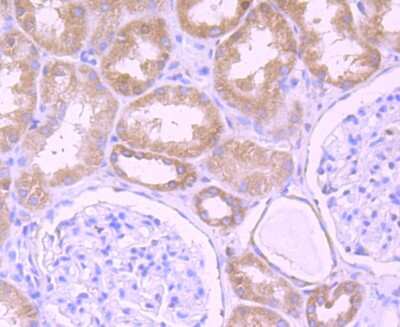
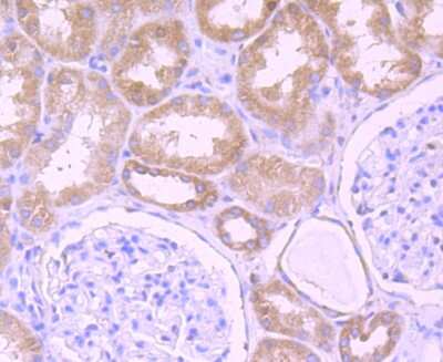
Immunohistochemistry-Paraffin: DDX6 Antibody (JB41-32) [NBP2-75466] - Analysis of paraffin-embedded human kidney tissue using anti-DDX6 antibody. Counter stained with hematoxylin.
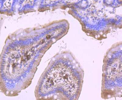
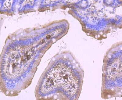
Immunohistochemistry-Paraffin: DDX6 Antibody (JB41-32) [NBP2-75466] - Analysis of paraffin-embedded mouse small intestine tissue using anti-DDX6 antibody. Counter stained with hematoxylin.

Product Details

Summary
Product Discontinued
View other related DDX6 Primary Antibodies

Order Details


    • Catalog Number
      NBP2-75466
    • Availability
      Product Discontinued

    Can't find what you are looking for? Use our Antibody Concierge Service & we will help you locate your antibody!

    Or feel free to contact us for alternative products.

DDX6 Antibody (JB41-32) Summary

Additional Information
Recombinant Monoclonal Antibody.
Immunogen
Recombinant protein within Human DDX6 aa 81-220 / 483. (SwissProt: P26196 Human; SwissProt: P54823 Mouse)
Localization
Cytoplasm. Nucleus.
Isotype
IgG
Clonality
Monoclonal
Host
Rabbit
Gene
DDX6
Purity
Protein A purified
Innovator's Reward
Test in a species/application not listed above to receive a full credit towards a future purchase.

Applications/Dilutions

Dilutions
  • Immunohistochemistry
  • Immunohistochemistry-Paraffin 1:50-1:100
  • Western Blot 1:500-1:1000
Theoretical MW
54 kDa.
Disclaimer note: The observed molecular weight of the protein may vary from the listed predicted molecular weight due to post translational modifications, post translation cleavages, relative charges, and other experimental factors.

Packaging, Storage & Formulations

Storage
Store at 4C short term. Aliquot and store at -20C long term. Avoid freeze-thaw cycles.
Buffer
TBS (pH7.4), 0.05% BSA, 40% Glycerol
Preservative
0.05% Sodium Azide
Concentration
1 mg/ml
Purity
Protein A purified

Alternate Names for DDX6 Antibody (JB41-32)

  • ATP-dependent RNA helicase p54
  • DEAD (Asp-Glu-Ala-Asp) box polypeptide 6
  • DEAD box protein 6
  • DEAD/H (Asp-Glu-Ala-Asp/His) box polypeptide 6 (RNA helicase, 54kD)
  • EC 3.6.1
  • EC 3.6.4.13
  • FLJ36338
  • HLR2DEAD box-6
  • Oncogene RCK
  • probable ATP-dependent RNA helicase DDX6
  • RCKP54

Background

DDX6 encodes a member of the DEAD box protein family. The protein is an RNA helicase found in P-bodies and stress granules, and functions in translation suppression and mRNA degradation. It is required for microRNA-induced gene silencing.

Limitations

This product is for research use only and is not approved for use in humans or in clinical diagnosis. Primary Antibodies are guaranteed for 1 year from date of receipt.

Customers Who Viewed This Item Also Viewed...

MAB17761
Species: Hu, Mu, Rt
Applications: ICC, WB
AF1230
Species: Hu, Mu, Rt
Applications: IHC, KO, WB
NB100-1556
Species: Hu, Mu, Rt
Applications: ICC/IF, IHC,  IHC-P, IP, WB
MAB8930
Species: Hu
Applications: ICC, Simple Western, WB
NBP2-22203
Species: Hu, Pm, Mu, Rt
Applications: ELISA, Flow, ICC/IF, IHC,  IHC-P, WB
NBP1-92392
Species: Hu, Mu, Rt
Applications: ICC/IF, IHC,  IHC-P, WB
MAB1846
Species: Hu, Mu, Rt
Applications: ICC, KO, WB
H00005706-M02
Species: Hu, Mu, Rt
Applications: ELISA, ICC/IF, KD, WB
NBP2-20329
Species: Hu, Mu
Applications: ICC/IF, IHC,  IHC-P, IP, WB
AF8691
Species: Hu, Mu, Rt
Applications: IHC, KO, Simple Western, WB
NB100-74360
Species: Hu, Mu
Applications: ChIP, ICC/IF, IHC, IHC-Fr,  IHC-P, IP, WB
NBP2-00918
Species: Ca, Hu, Mu, Rt
Applications: Flow, ICC/IF, IHC,  IHC-P, WB
NBP1-68874
Species: Hu, Mu, Rt
Applications: PEP-ELISA, WB
NBP2-37568
Species: Hu
Applications: ELISA, Flow, ICC/IF, IHC,  IHC-P, WB
NBP2-00764
Species: Hu, Mu, Rt
Applications: Flow, IHC,  IHC-P, WB
AF467
Species: Hu, Mu
Applications: CyTOF-ready, Flow, ICC, IHC, Simple Western, WB
H00010598-M01
Species: Hu, Mu, Rt
Applications: ELISA, ICC/IF, S-ELISA, WB
NBP2-75466
Species: Hu, Mu, Rt
Applications: WB, IHC

Publications for DDX6 Antibody (NBP2-75466) (0)

There are no publications for DDX6 Antibody (NBP2-75466).
By submitting your publication information earn gift cards and discounts for future purchases.

Reviews for DDX6 Antibody (NBP2-75466) (0)

There are no reviews for DDX6 Antibody (NBP2-75466). By submitting a review you will receive an Amazon e-Gift Card or Novus Product Discount.
  • Review with no image -- $10/€7/£6/$10 CAD/¥70 Yuan/¥1110 Yen
  • Review with an image -- $25/€18/£15/$25 CAD/¥150 Yuan/¥2500 Yen

Product General Protocols

Find general support by application which include: protocols, troubleshooting, illustrated assays, videos and webinars.

Video Protocols

WB Video Protocol

FAQs for DDX6 Antibody (NBP2-75466) (0)

There are no specific FAQs related to this product. Read our general customer & technical service FAQs.

Secondary Antibodies

 

Isotype Controls

Additional DDX6 Products

Research Areas for DDX6 Antibody (NBP2-75466)

Find related products by research area.

Blogs on DDX6

There are no specific blogs for DDX6, but you can read our latest blog posts.

Contact Information

Product PDFs

Calculators

Concentration Calculator

The concentration calculator allows you to quickly calculate the volume, mass or concentration of your vial. Simply enter your mass, volume, or concentration values for your reagent and the calculator will determine the rest.

=
÷

Review this Product

Be the first to review our DDX6 Antibody (JB41-32) and receive a gift card or discount.

Bioinformatics

Gene Symbol DDX6