Complement Factor I Antibody (OX-21) - BSA Free

Images

 
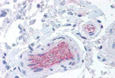
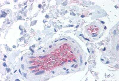
Immunohistochemistry-Paraffin: Complement Factor I Antibody (OX-21) [NBP1-02915] - Human colon, vessels tissue after heat-induced antigen retrieval. Antibody concentration 20 ug/ml.

Product Details

Summary
Product Discontinued
View other related Complement Factor I Primary Antibodies

Order Details


    • Catalog Number
      NBP1-02915
    • Availability
      Product Discontinued

    Can't find what you are looking for? Use our Antibody Concierge Service & we will help you locate your antibody!

    Or feel free to contact us for alternative products.

Complement Factor I Antibody (OX-21) - BSA Free Summary

Immunogen
Human Complement Factor I
Specificity
Purified human Complement Factor 1
Isotype
IgG1
Clonality
Monoclonal
Host
Mouse
Gene
CFI
Purity
Protein G purified
Innovator's Reward
Test in a species/application not listed above to receive a full credit towards a future purchase.

Applications/Dilutions

Dilutions
  • ELISA 1:100-1:2000
  • Flow Cytometry 1:10-1:1000
  • Immunohistochemistry 20 ug/ml
  • Immunohistochemistry-Paraffin 20 ug/ml
  • Immunoprecipitation 1:10-1:500
  • Radioimmunoassay
  • Western Blot 1:100-1:2000
Publications
Read Publication using
NBP1-02915 in the following applications:

Reactivity Notes

Rat reactivity reported in scientific literature (PMID: 8924759)

Packaging, Storage & Formulations

Storage
Store at 4C short term. Aliquot and store at -20C long term. Avoid freeze-thaw cycles.
Buffer
PBS
Preservative
0.02% Sodium Azide
Concentration
1 mg/ml
Purity
Protein G purified

Alternate Names for Complement Factor I Antibody (OX-21) - BSA Free

  • AHUS3
  • C3b Inactivator
  • C3B/C4B inactivator
  • C3BINA
  • C3b-inactivator
  • CFI
  • complement component I
  • complement control protein factor I
  • complement factor I heavy chain
  • Complement Factor I
  • EC 3.4.21
  • EC 3.4.21.45
  • FIC3b-INA
  • I factor (complement)
  • IF
  • KAF
  • Konglutinogen-activating factor
  • light chain of factor I

Background

Factor I is a plasma protein of molecular weight 88 kDa, consisting of two disulphide linked chains of 50 and 38 kDa. Factor I is a serine protease with a high degree of specificity for C3b and C4b. It has a requirement for protein cofactors for cleavage of these complement proteins, Factor H, CR1 or MCP are required for C3b cleavage and C4bp or CR1 for C4b cleavage.

Limitations

This product is for research use only and is not approved for use in humans or in clinical diagnosis. Primary Antibodies are guaranteed for 1 year from date of receipt.

Customers Who Viewed This Item Also Viewed...

NB200-540
Species: Ec, Mu
Applications: CyTOF-ready, Flow-IC, Flow, IA, ICC/IF, IHC, IHC-Fr,  IHC-P, IP
NBP2-49409
Species: Hu
Applications: IHC,  IHC-P
NBP1-83435
Species: Hu
Applications: ICC/IF, IHC,  IHC-P, WB
MAB2005
Species: Hu
Applications: CyTOF-ready, Flow, WB
NBP1-89985
Species: Hu, Rt
Applications: ICC/IF, IHC, IHC-Fr,  IHC-P, Simple Western, WB
NB200-541
Species: Mu
Applications: IA, ICC/IF, IHC, IHC-Fr, IP, WB
MAB1417
Species: Bv, Hu, Mu
Applications: ICC, IHC
2150-C5
Species: Mu
Applications: BA
AF1936
Species: Hu
Applications: IP, WB
NBP2-29460
Species: Pm, Pm-Cm, Hu, Pm, RM
Applications: Flow, ICC/IF, IHC,  IHC-P, ISH
NBP2-34234
Species: Hu
Applications: ELISA, ICC/IF, IHC,  IHC-P
NBP1-90214
Species: Hu
Applications: ICC/IF, IHC,  IHC-P, WB
NBP2-36776
Species: Hu
Applications: ICC/IF, IHC,  IHC-P, KD, WB
M6000B
Species: Mu
Applications: ELISA
H00116085-M02
Species: Hu, Mu, Rt
Applications: ELISA, ICC/IF, WB
NBP3-12295
Species: Hu, Pm, Rt
Applications: ELISA, IHC,  IHC-P, IP, WB

Publications for Complement Factor I Antibody (NBP1-02915)(1)

We have publications tested in 1 confirmed species: Rat.

We have publications tested in 1 application: FLOW.


Filter By Application
FLOW
(1)
All Applications
Filter By Species
Rat
(1)
All Species

Reviews for Complement Factor I Antibody (NBP1-02915) (0)

There are no reviews for Complement Factor I Antibody (NBP1-02915). By submitting a review you will receive an Amazon e-Gift Card or Novus Product Discount.
  • Review with no image -- $10/€7/£6/$10 CAD/¥70 Yuan/¥1110 Yen
  • Review with an image -- $25/€18/£15/$25 CAD/¥150 Yuan/¥2500 Yen

Product General Protocols

Find general support by application which include: protocols, troubleshooting, illustrated assays, videos and webinars.

Video Protocols

WB Video Protocol

FAQs for Complement Factor I Antibody (NBP1-02915) (0)

There are no specific FAQs related to this product. Read our general customer & technical service FAQs.

Contact Information

Product PDFs

Calculators

Concentration Calculator

The concentration calculator allows you to quickly calculate the volume, mass or concentration of your vial. Simply enter your mass, volume, or concentration values for your reagent and the calculator will determine the rest.

=
÷

Review this Product

Be the first to review our Complement Factor I Antibody (OX-21) - BSA Free and receive a gift card or discount.

Bioinformatics

Gene Symbol CFI
Entrez
Uniprot