CIB1 Antibody (5A1F5E12)

Images

 
Western Blot: CIB1 Antibody (5A1F5E12) [NBP1-47401] - Analysis using CIB1 mouse mAb against truncated CIB1 recombinant protein (1) and A431 cell lysate (2).
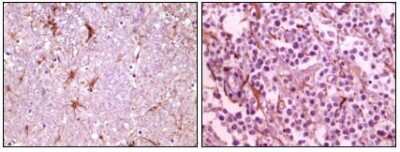
Immunohistochemistry-Paraffin: CIB1 Antibody (5A1F5E12) [NBP1-47401] - Analysis of human thalamus (left) and glioma (right) tissue, showing membrane localization using CIB1 mouse mAb with DAB staining.

Product Details

Summary
Product Discontinued
View other related CIB1 Primary Antibodies

Order Details


    • Catalog Number
      NBP1-47401
    • Availability
      Product Discontinued

    Can't find what you are looking for? Use our Antibody Concierge Service & we will help you locate your antibody!

    Or feel free to contact us for alternative products.

CIB1 Antibody (5A1F5E12) Summary

Immunogen
Purified recombinant fragment of CIB1 expressed in E. Coli.
Clonality
Monoclonal
Host
Mouse
Gene
CIB1
Purity
Unpurified
Innovator's Reward
Test in a species/application not listed above to receive a full credit towards a future purchase.

Applications/Dilutions

Dilutions
  • ELISA 1:10000
  • Immunohistochemistry 1:200-1:1000
  • Immunohistochemistry-Paraffin 1:200 - 1:1000
  • Western Blot 1:500 - 1:2000

Packaging, Storage & Formulations

Storage
Store at 4C short term. Aliquot and store at -20C long term. Avoid freeze-thaw cycles.
Buffer
Ascites
Preservative
0.03% Sodium Azide
Purity
Unpurified

Alternate Names for CIB1 Antibody (5A1F5E12)

  • calcium and integrin binding 1 (calmyrin)
  • Calcium- and integrin-binding protein
  • Calmyrin
  • CIB1
  • CIBcalcium and integrin binding protein
  • CIBP
  • DNA-dependent protein kinase interacting protein
  • DNA-PKcs-interacting protein
  • Kinase-interacting protein
  • KIP
  • KIP1
  • KIPcalcium and integrin binding, protein kinase interacting protein
  • PRKDCIP
  • SIP2-28
  • SIP2-28calcium and integrin-binding protein 1
  • Snk interacting protein 2-28
  • SNK-interacting protein 2-28

Background

CIB1(also designated calcium and integrin binding 1 or calmyrin),with 191-amino acid protein(about 21kDa), belongs to the calcium-binding protein family.CIB1 is known to interact with DNA-dependent protein kinase and may play a role in kinase-phosphatase regulation of DNA end joining.CIB1 is an EF-hand-containing protein that binds multiple effector proteins, including the platelet alpha(IIb)beta(3) integrin and several serine/threonine kinases and potentially modulates their function.CIB1 regulates platelet aggregation in hemostasis through a specific interaction with the alpha(IIb) cytoplasmic domain of platelet integrin alpha(IIb)beta(3). CIB1 is also ubiquitously expressed activating and inhibiting protein ligand of the InsP3R.

Limitations

This product is for research use only and is not approved for use in humans or in clinical diagnosis. Primary Antibodies are guaranteed for 1 year from date of receipt.

Customers Who Viewed This Item Also Viewed...

NBP2-29463
Species: Pm, Hu, Pm, Mu
Applications: Flow, ICC/IF, IHC,  IHC-P, WB
NBP2-47561
Species: Hu
Applications: ICC/IF, IHC,  IHC-P, WB
NBP1-90949
Species: Hu
Applications: IHC,  IHC-P, WB
NBP1-80616
Species: Hu, Mu, Rt
Applications: IHC,  IHC-P, WB
NBP2-03198
Species: Hu
Applications: Flow, ICC/IF, IHC,  IHC-P, WB
NBP3-26876
Species: Hu
Applications: IHC,  IHC-P
AF1555
Species: Hu
Applications: WB
NBP2-46085
Species: Hu
Applications: IHC,  IHC-P, WB
H00027065-M01
Species: Hu, Rt
Applications: ELISA, ICC/IF, S-ELISA, WB
AF4654
Species: Hu, Mu, Rt
Applications: ICC, IHC, Simple Western, WB
NBP2-68858
Species: Hu
Applications: IHC,  IHC-P
NB200-106
Species: Mu, Rt
Applications: ELISA, ICC/IF, IHC, IHC-Fr,  IHC-P, WB
NBP2-32840
Species: Hu, Pm, Mu, Rt
Applications: Flow, ICC/IF, IHC,  IHC-P, WB
NBP1-31308
Species: Bv, Hu, Mu, Rt
Applications: ICC/IF, IHC,  IHC-P, Simple Western, WB
AF6897
Species: Hu, Mu
Applications: IHC, Simple Western, WB
AF887
Species: Hu, Mu, Rt
Applications: CyTOF-ready, IHC, ICFlow, Simple Western, WB
NBP1-89917
Species: Hu
Applications: ICC/IF, IHC,  IHC-P, WB
NB200-103
Species: Hu, Mu, Rt, Xp(-), Ye
Applications: CyTOF-ready, ELISA, Flow-IC, Flow, ICC/IF, IHC, IHC-Fr,  IHC-P, IP, WB

Publications for CIB1 Antibody (NBP1-47401) (0)

There are no publications for CIB1 Antibody (NBP1-47401).
By submitting your publication information earn gift cards and discounts for future purchases.

Reviews for CIB1 Antibody (NBP1-47401) (0)

There are no reviews for CIB1 Antibody (NBP1-47401). By submitting a review you will receive an Amazon e-Gift Card or Novus Product Discount.
  • Review with no image -- $10/€7/£6/$10 CAD/¥70 Yuan/¥1110 Yen
  • Review with an image -- $25/€18/£15/$25 CAD/¥150 Yuan/¥2500 Yen

Product General Protocols

Find general support by application which include: protocols, troubleshooting, illustrated assays, videos and webinars.

Video Protocols

WB Video Protocol

FAQs for CIB1 Antibody (NBP1-47401) (0)

There are no specific FAQs related to this product. Read our general customer & technical service FAQs.

Secondary Antibodies

 

Isotype Controls

Additional CIB1 Products

Research Areas for CIB1 Antibody (NBP1-47401)

Find related products by research area.

Blogs on CIB1.

IRE1 alpha dependent apoptotic-signaling pathway
Despite in depth characterization of the role of IRE1 alpha (inositol-requiring enzyme 1 alpha) in activating the unfolded protein response (UPR) in the ER - little is known about the molecular mechanisms by which this ER protein has shown to reg...  Read full blog post.

Contact Information

Product PDFs

Calculators

Concentration Calculator

The concentration calculator allows you to quickly calculate the volume, mass or concentration of your vial. Simply enter your mass, volume, or concentration values for your reagent and the calculator will determine the rest.

=
÷

Review this Product

Be the first to review our CIB1 Antibody (5A1F5E12) and receive a gift card or discount.

Bioinformatics

Gene Symbol CIB1
Entrez