CHCHD2 Antibody - Azide and BSA Free

Images

 
Genetic Strategies: Western Blot: CHCHD2 Antibody [NBP2-92335] - Western blot analysis of extracts from normal (control) and CHCHD2 knockout (KO) 293T cells, using CHCHD2 antibody (NBP2-92335) at 1:1000 dilution. ...read more
Western Blot: CHCHD2 Antibody [NBP2-92335] - Analysis of extracts of various cell lines, using CHCHD2 at 1:1000 dilution.Secondary antibody: HRP Goat Anti-Rabbit IgG (H+L) at 1:10000 dilution.Lysates/proteins: 25ug per ...read more
Immunohistochemistry-Paraffin: CHCHD2 Antibody [NBP2-92335] - Immunohistochemistry of paraffin-embedded Rat ovary using [KO Validated] CHCHD2 Rabbit pAb (NBP2-92335) at dilution of 1:100 (40x lens). Perform microwave ...read more
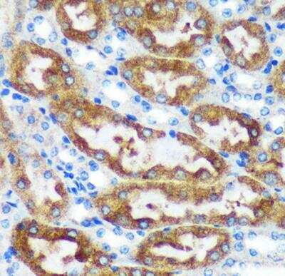
Immunohistochemistry-Paraffin: CHCHD2 Antibody [NBP2-92335] - Mouse kidney using [KO Validated] CHCHD2 Rabbit pAb (A16645) at dilution of 1:100 (40x lens).
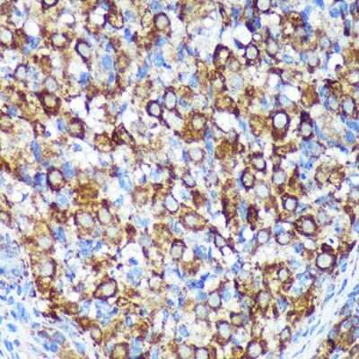
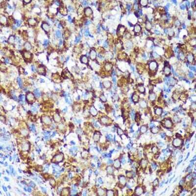
Immunohistochemistry-Paraffin: CHCHD2 Antibody [NBP2-92335] - Human colon carcinoma using [KO Validated] CHCHD2 RabbitpAb (A16645) at dilution of 1:100 (40x lens).
Immunocytochemistry/ Immunofluorescence: CHCHD2 Antibody [NBP2-92335] - Analysis of L929 cells using CHCHD2 at dilution of 1:100. Blue: DAPI for nuclear staining.
Immunocytochemistry/ Immunofluorescence: CHCHD2 Antibody - Azide and BSA Free [NBP2-92335] - Immunofluorescence analysis of U-2 OS cells using [KO Validated] CHCHD2 Rabbit pAb at dilution of 1:100. Secondary antibody: ...read more
Immunocytochemistry/ Immunofluorescence: CHCHD2 Antibody - Azide and BSA Free [NBP2-92335] - Immunofluorescence analysis of C6 cells using [KO Validated] CHCHD2 Rabbit pAb at dilution of 1:100. Secondary antibody: Cy3 ...read more

Product Details

Summary
Reactivity Hu, Mu, RtSpecies Glossary
Applications WB, ICC/IF, IHC, KO
Clonality
Polyclonal
Host
Rabbit
Conjugate
Unconjugated
Format
Azide and BSA Free
Validated by:
     

Genetic Strategies

   

Order Details

View Available Formulations
Catalog# & Formulation Size Price

CHCHD2 Antibody - Azide and BSA Free Summary

Description
Novus Biologicals Knockout (KO) Validated Rabbit CHCHD2 Antibody - Azide and BSA Free (NBP2-92335) is a polyclonal antibody validated for use in IHC, WB and ICC/IF. All Novus Biologicals antibodies are covered by our 100% guarantee.
Immunogen
Recombinant fusion protein containing a sequence corresponding to amino acids 75-145 of human CHCHD2 (NP_057223.1). TLGHAITGGFSGGSNAEPARPDITYQEPQGTQPAQQQQPCLYEIKQFLECAQNQGDIKLCEGFNEVLKQCR
Isotype
IgG
Clonality
Polyclonal
Host
Rabbit
Gene
CHCHD2
Purity
Affinity purified
Innovator's Reward
Test in a species/application not listed above to receive a full credit towards a future purchase.

Applications/Dilutions

Dilutions
  • Immunocytochemistry/ Immunofluorescence 1:50-1:200
  • Immunohistochemistry 1:50-1:200
  • Immunohistochemistry-Paraffin
  • Knockout Validated
  • Western Blot 1:500 - 1:2000
Theoretical MW
15 kDa.
Disclaimer note: The observed molecular weight of the protein may vary from the listed predicted molecular weight due to post translational modifications, post translation cleavages, relative charges, and other experimental factors.

Packaging, Storage & Formulations

Storage
Store at -20C. Avoid freeze-thaw cycles.
Buffer
PBS (pH 7.3), 50% glycerol
Preservative
0.01% Thimerosal
Purity
Affinity purified

Alternate Names for CHCHD2 Antibody - Azide and BSA Free

  • 16.7kD protein
  • AAG10
  • coiled-coil-helix-coiled-coil-helix domain containing 2
  • coiled-coil-helix-coiled-coil-helix domain-containing protein 2, mitochondrial
  • HCV NS2 trans-regulated protein

Limitations

This product is for research use only and is not approved for use in humans or in clinical diagnosis. Primary Antibodies are guaranteed for 1 year from date of receipt.

Customers Who Viewed This Item Also Viewed...

NBP1-89790
Species: Hu, Mu, Rt
Applications: ICC/IF, IHC,  IHC-P, WB
NBP3-15642
Species: Hu, Mu, Rt
Applications: ICC/IF, IHC,  IHC-P, WB
AF887
Species: Hu, Mu, Rt
Applications: CyTOF-ready, IHC, ICFlow, Simple Western, WB
MAB32051
Species: Hu, Mu, Rt
Applications: IHC, WB
NBP1-80824
Species: Hu
Applications: ICC/IF, IHC,  IHC-P
H00006532-D01P
Species: Hu, Mu
Applications: WB
NBP1-86216
Species: Hu
Applications: IHC,  IHC-P
NBP1-80880
Species: Hu
Applications: IHC,  IHC-P
NB110-1244
Species: Hu, Mu, Pm
Applications: Flow, IHC,  IHC-P, PEP-ELISA
NB110-37258
Species: Hu, Mu, Pm
Applications: ICC/IF, IHC,  IHC-P, Simple Western, WB
NB100-91273
Species: Hu, Mu, Pm, Rt
Applications: ICC/IF, IHC,  IHC-P, WB
BBA10
Species: Hu
Applications: CyTOF-ready, Flow, IHC, IP, KO, Simple Western, WB
⚠ WARNING: This product can expose you to chemicals including Methotrexate, which is known to the State of California to cause reproductive toxicity with developmental effects. For more information, go to www.P65Warnings.ca.gov

Publications for CHCHD2 Antibody (NBP2-92335) (0)

There are no publications for CHCHD2 Antibody (NBP2-92335).
By submitting your publication information earn gift cards and discounts for future purchases.

Reviews for CHCHD2 Antibody (NBP2-92335) (0)

There are no reviews for CHCHD2 Antibody (NBP2-92335). By submitting a review you will receive an Amazon e-Gift Card or Novus Product Discount.
  • Review with no image -- $10/€7/£6/$10 CAD/¥70 Yuan/¥1110 Yen
  • Review with an image -- $25/€18/£15/$25 CAD/¥150 Yuan/¥2500 Yen

Product General Protocols

Find general support by application which include: protocols, troubleshooting, illustrated assays, videos and webinars.

Video Protocols

WB Video Protocol
ICC/IF Video Protocol

FAQs for CHCHD2 Antibody (NBP2-92335) (0)

There are no specific FAQs related to this product. Read our general customer & technical service FAQs.

Secondary Antibodies

 

Isotype Controls

Additional CHCHD2 Products

Research Areas for CHCHD2 Antibody (NBP2-92335)

Find related products by research area.

Blogs on CHCHD2

There are no specific blogs for CHCHD2, but you can read our latest blog posts.

Customers Who Bought This Also Bought

Contact Information

Product PDFs

Calculators

Concentration Calculator

The concentration calculator allows you to quickly calculate the volume, mass or concentration of your vial. Simply enter your mass, volume, or concentration values for your reagent and the calculator will determine the rest.

=
÷

Review this Product

Be the first to review our CHCHD2 Antibody - Azide and BSA Free and receive a gift card or discount.

Bioinformatics

Gene Symbol CHCHD2