CEP68 Antibody (OTI5B4) - Azide and BSA Free

Images

 
Western Blot: CEP68 Antibody (OTI5B4) - Azide and BSA Free [NBP2-71728] - Analysis of HEK293T cells were transfected with the pCMV6-ENTRY control (Left lane) or pCMV6-ENTRY CEP68.
Immunocytochemistry/ Immunofluorescence: CEP68 Antibody (OTI5B4) - Azide and BSA Free [NBP2-71728] - Analysis of COS7 cells transiently transfected by pCMV6-ENTRY CEP68.
Immunohistochemistry: CEP68 Antibody (OTI5B4) - Azide and BSA Free [NBP2-71728] - Analysis of Human liver tissue.
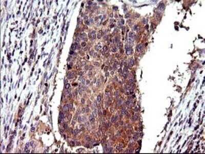
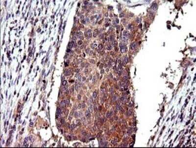
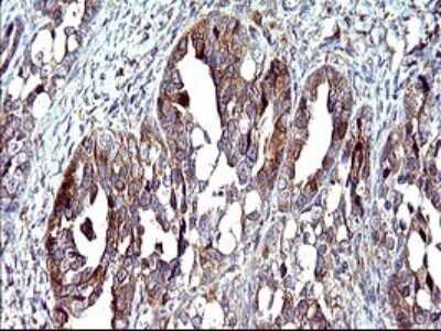
Immunohistochemistry: CEP68 Antibody (OTI5B4) - Azide and BSA Free [NBP2-71728] - Analysis of Adenocarcinoma of Human ovary tissue.
Immunohistochemistry: CEP68 Antibody (OTI5B4) - Azide and BSA Free [NBP2-71728] - Analysis of Carcinoma of Human lung tissue.
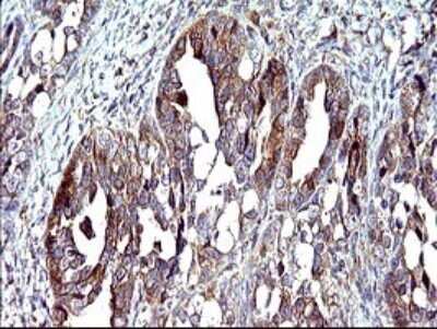
Immunohistochemistry: CEP68 Antibody (OTI5B4) - Azide and BSA Free [NBP2-71728] - Analysis of Human breast tissue.
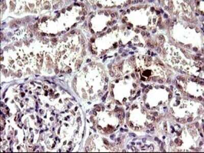
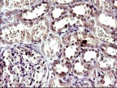
Immunohistochemistry: CEP68 Antibody (OTI5B4) - Azide and BSA Free [NBP2-71728] - Analysis of Human Kidney tissue.

Product Details

Summary
Reactivity HuSpecies Glossary
Applications WB, ICC/IF, IHC
Clone
OTI5B4
Clonality
Monoclonal
Host
Mouse
Conjugate
Unconjugated
Format
Azide and BSA Free
Concentration
LYOPH

Order Details

CEP68 Antibody (OTI5B4) - Azide and BSA Free Summary

Description
Novus Biologicals Mouse CEP68 Antibody (OTI5B4) - Azide and BSA Free (NBP2-46252) is a monoclonal antibody validated for use in IHC, WB and ICC/IF. All Novus Biologicals antibodies are covered by our 100% guarantee.
Immunogen
Full length human recombinant protein of human CEP68(NP_055962) produced in HEK293T cell.
Isotype
IgG1
Clonality
Monoclonal
Host
Mouse
Gene
CEP68
Purity
Immunogen affinity purified
Innovator's Reward
Test in a species/application not listed above to receive a full credit towards a future purchase.

Applications/Dilutions

Dilutions
  • Immunocytochemistry/ Immunofluorescence 1:100
  • Immunohistochemistry
  • Immunohistochemistry-Paraffin
  • Western Blot 1:4000
Theoretical MW
80.9 kDa.
Disclaimer note: The observed molecular weight of the protein may vary from the listed predicted molecular weight due to post translational modifications, post translation cleavages, relative charges, and other experimental factors.

Packaging, Storage & Formulations

Storage
Store at -20C. Avoid freeze-thaw cycles.
Buffer
Lyophilized from PBS (pH 7.3) with 8% Trehalose
Preservative
No Preservative
Concentration
LYOPH
Purity
Immunogen affinity purified
Reconstitution Instructions
we recommend adding 100uL distilled water to a final antibody concentration of about 1 mg/mL. To use this carrier-free antibody for conjugation experiment, we strongly recommend performing another round of desalting process.

Alternate Names for CEP68 Antibody (OTI5B4) - Azide and BSA Free

  • centrosomal protein 68kDa
  • centrosomal protein of 68 kDa
  • Cep68
  • FLJ36750
  • KIAA0582FLJ25920

Limitations

This product is for research use only and is not approved for use in humans or in clinical diagnosis. Primary Antibodies are guaranteed for 1 year from date of receipt.

Customers Who Viewed This Item Also Viewed...

7268-CT
Species: Hu
Applications: BA
NBP1-90589
Species: Hu, Mu, Rt
Applications: IHC,  IHC-P, WB
NBP2-31807
Species: Hu
Applications: IHC,  IHC-P
NBP1-81516
Species: Hu
Applications: ICC/IF, IHC,  IHC-P
NB100-524
Species: Hu, Mu
Applications: Flow-IC, Flow, ICC/IF, IHC, IHC-Fr,  IHC-P, IP, WB
AF2854
Species: Hu, Mu, Rt
Applications: IHC, WB
NBP2-59027
Species: Hu
Applications: ICC/IF, IHC,  IHC-P
NBP2-79843
Species: Hu
Applications: CyTOF-ready, ELISA, Flow, ICC/IF, IHC,  IHC-P, PA, WB
NBP1-80820
Species: Hu
Applications: ICC/IF, IHC,  IHC-P, WB
H00342184-M07
Species: Hu
Applications: ELISA, ICC/IF, WB
NBP1-43299
Species: Hu, Mu, Rt
Applications: ICC/IF, IHC,  IHC-P, IP, WB
NBP3-32682
Species: Hu, Mu, Rt
Applications: Flow, ICC/IF, IHC,  IHC-P, WB
NB100-56672
Species: Hu, Mu
Applications: IHC,  IHC-P, WB
AF4819
Species: Hu
Applications: ICC, WB
AF1513
Species: Mu
Applications: CyTOF-ready, Flow, IHC, IP, Simple Western, WB
MAB155
Species: Hu
Applications: CyTOF-ready, Flow, IHC, Neut

Publications for CEP68 Antibody (NBP2-71728) (0)

There are no publications for CEP68 Antibody (NBP2-71728).
By submitting your publication information earn gift cards and discounts for future purchases.

Reviews for CEP68 Antibody (NBP2-71728) (0)

There are no reviews for CEP68 Antibody (NBP2-71728). By submitting a review you will receive an Amazon e-Gift Card or Novus Product Discount.
  • Review with no image -- $10/€7/£6/$10 CAD/¥70 Yuan/¥1110 Yen
  • Review with an image -- $25/€18/£15/$25 CAD/¥150 Yuan/¥2500 Yen

Product General Protocols

Find general support by application which include: protocols, troubleshooting, illustrated assays, videos and webinars.

Video Protocols

WB Video Protocol
ICC/IF Video Protocol

FAQs for CEP68 Antibody (NBP2-71728) (0)

There are no specific FAQs related to this product. Read our general customer & technical service FAQs.

Secondary Antibodies

 

Isotype Controls

Additional CEP68 Products

Research Areas for CEP68 Antibody (NBP2-71728)

Find related products by research area.

Blogs on CEP68

There are no specific blogs for CEP68, but you can read our latest blog posts.

Customers Who Bought This Also Bought

Contact Information

Product PDFs

Calculators

Concentration Calculator

The concentration calculator allows you to quickly calculate the volume, mass or concentration of your vial. Simply enter your mass, volume, or concentration values for your reagent and the calculator will determine the rest.

=
÷

Review this Product

Be the first to review our CEP68 Antibody (OTI5B4) - Azide and BSA Free and receive a gift card or discount.

Bioinformatics

Gene Symbol CEP68