CDK4 Antibody (SD20-42)

Images

 
Western Blot: CDK4 Antibody (SD20-42) [NBP2-67736] - Western blot analysis of CDK4 on different lysates. Proteins were transferred to a PVDF membrane and blocked with 5% BSA in PBS for 1 hour at room temperature. The ...read more
Immunocytochemistry/ Immunofluorescence: CDK4 Antibody (SD20-42) [NBP2-67736] - Staining Cdk4 in NIH/3T3 cells (green). The nuclear counter stain is DAPI (blue). Cells were fixed in paraformaldehyde, permeabilised with ...read more
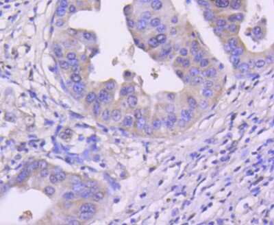
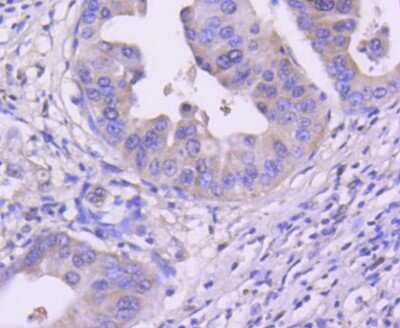
Immunohistochemistry-Paraffin: CDK4 Antibody (SD20-42) [NBP2-67736] - Analysis of paraffin-embedded human gastric carcinoma tissue using anti-Cdk4 antibody. Counter stained with hematoxylin.
Flow Cytometry: CDK4 Antibody (SD20-42) [NBP2-67736] - Analysis of MCF-7 cells with Cdk4 antibody at 1/50 dilution (red) compared with an unlabelled control (cells without incubation with primary antibody; black). Alexa ...read more
Western Blot: CDK4 Antibody (SD20-42) [NBP2-67736] - Analysis of Cdk4 on Hela cells lysates using anti-Cdk4 antibody at 1/1,000 dilution.
Immunocytochemistry/ Immunofluorescence: CDK4 Antibody (SD20-42) [NBP2-67736] - Staining Cdk4 in Hela cells (green). The nuclear counter stain is DAPI (blue). Cells were fixed in paraformaldehyde, permeabilised with ...read more
Immunocytochemistry/ Immunofluorescence: CDK4 Antibody (SD20-42) [NBP2-67736] - Staining Cdk4 in MCF-7 cells (green). The nuclear counter stain is DAPI (blue). Cells were fixed in paraformaldehyde, permeabilised with ...read more
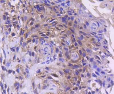
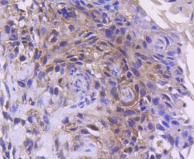
Immunohistochemistry-Paraffin: CDK4 Antibody (SD20-42) [NBP2-67736] - Analysis of paraffin-embedded human breast carcinoma tissue using anti-Cdk4 antibody. Counter stained with hematoxylin.

Product Details

Summary
Product Discontinued
View other related CDK4 Primary Antibodies

Order Details


    • Catalog Number
      NBP2-67736
    • Availability
      Product Discontinued

    Can't find what you are looking for? Use our Antibody Concierge Service & we will help you locate your antibody!

    Or feel free to contact us for alternative products.

CDK4 Antibody (SD20-42) Summary

Additional Information
Recombinant Monoclonal Antibody.
Immunogen
Synthetic peptide within C-terminal human CDK4. (SwissProt: P11802 Human; SwissProt: P30285 Mouse; SwissProt: P35426 Rat)
Localization
Nucleus, Nucleus membrane, Cytoplasm.
Isotype
IgG
Clonality
Monoclonal
Host
Rabbit
Gene
CDK4
Purity
Protein A purified
Innovator's Reward
Test in a species/application not listed above to receive a full credit towards a future purchase.

Applications/Dilutions

Dilutions
  • Flow Cytometry 1:50-1:100
  • Immunocytochemistry/ Immunofluorescence 1:100-1:500
  • Immunohistochemistry
  • Immunohistochemistry-Paraffin 1:50-1:200
  • Western Blot 1:1000-1:5000

Packaging, Storage & Formulations

Storage
Store at 4C short term. Aliquot and store at -20C long term. Avoid freeze-thaw cycles.
Buffer
TBS (pH7.4), 0.05% BSA, 40% Glycerol
Preservative
0.05% Sodium Azide
Concentration
1 mg/ml
Purity
Protein A purified

Alternate Names for CDK4 Antibody (SD20-42)

  • CDK4
  • Cell division protein kinase 4
  • CMM3
  • cyclin-dependent kinase 4
  • EC 2.7.11
  • EC 2.7.11.22
  • melanoma cutaneous malignant, 3
  • MGC14458
  • PSK-J3
  • PSK-J3cell division kinase 4

Background

Cdk4 is encoded by this gene is a member of the Ser/Thr protein kinase family. This protein is highly similar to the gene products of S. cerevisiae cdc28 and S. pombe cdc2. It is a catalytic subunit of the protein kinase complex that is important for cell cycle G1 phase progression. The activity of this kinase is restricted to the G1-S phase, which is controlled by the regulatory subunits D-type cyclins and CDK inhibitor p16(INK4a). This kinase was shown to be responsible for the phosphorylation of retinoblastoma gene product (Rb). Mutations in this gene as well as in its related proteins including D-type cyclins, p16(INK4a) and Rb were all found to be associated with tumorigenesis of a variety of cancers. Multiple polyadenylation sites of this gene have been reported.

Limitations

This product is for research use only and is not approved for use in humans or in clinical diagnosis. Primary Antibodies are guaranteed for 1 year from date of receipt.

Customers Who Viewed This Item Also Viewed...

AF4654
Species: Hu, Mu, Rt
Applications: ICC, IHC, Simple Western, WB
NB200-106
Species: Mu, Rt
Applications: ELISA, ICC/IF, IHC, IHC-Fr,  IHC-P, WB
NBP2-29463
Species: Pm, Hu, Pm, Mu
Applications: Flow, ICC/IF, IHC,  IHC-P, WB
NBP2-32840
Species: Hu, Pm, Mu, Rt
Applications: Flow, ICC/IF, IHC,  IHC-P, WB
NBP1-87262
Species: Hu
Applications: ICC/IF, IHC,  IHC-P, KD, WB
MAB6495
Species: Hu
Applications: ICC, Simple Western, WB
AF1555
Species: Hu
Applications: WB
NBP2-46085
Species: Hu
Applications: IHC,  IHC-P, WB
H00027065-M01
Species: Hu, Rt
Applications: ELISA, ICC/IF, S-ELISA, WB
NBP1-90949
Species: Hu
Applications: IHC,  IHC-P, WB
NBP1-80616
Species: Hu, Mu, Rt
Applications: IHC,  IHC-P, WB
NBP2-03198
Species: Hu
Applications: Flow, ICC/IF, IHC,  IHC-P, WB
NBP3-26876
Species: Hu
Applications: IHC,  IHC-P
NBP2-47561
Species: Hu
Applications: ICC/IF, IHC,  IHC-P, WB
NB200-103
Species: Hu, Mu, Rt, Xp(-), Ye
Applications: CyTOF-ready, ELISA, Flow-IC, Flow, ICC/IF, IHC, IHC-Fr,  IHC-P, IP, WB
NB500-106
Species: Ch, Dr, Fi, Hu, Mar, Mu, Po, Pm, Rb, Rt, Ye, Ze
Applications: ChIP, ChIP, ELISA, Flow, ICC/IF, IHC-FrFl, IHC, IHC-Fr,  IHC-P, IP, Simple Western, WB
AF6897
Species: Hu, Mu
Applications: IHC, Simple Western, WB
MAB6570
Species: Hu
Applications: IHC, WB

Publications for CDK4 Antibody (NBP2-67736) (0)

There are no publications for CDK4 Antibody (NBP2-67736).
By submitting your publication information earn gift cards and discounts for future purchases.

Reviews for CDK4 Antibody (NBP2-67736) (0)

There are no reviews for CDK4 Antibody (NBP2-67736). By submitting a review you will receive an Amazon e-Gift Card or Novus Product Discount.
  • Review with no image -- $10/€7/£6/$10 CAD/¥70 Yuan/¥1110 Yen
  • Review with an image -- $25/€18/£15/$25 CAD/¥150 Yuan/¥2500 Yen

Product General Protocols

Find general support by application which include: protocols, troubleshooting, illustrated assays, videos and webinars.

Video Protocols

WB Video Protocol
ICC/IF Video Protocol

FAQs for CDK4 Antibody (NBP2-67736) (0)

There are no specific FAQs related to this product. Read our general customer & technical service FAQs.

Contact Information

Product PDFs

Calculators

Concentration Calculator

The concentration calculator allows you to quickly calculate the volume, mass or concentration of your vial. Simply enter your mass, volume, or concentration values for your reagent and the calculator will determine the rest.

=
÷

Review this Product

Be the first to review our CDK4 Antibody (SD20-42) and receive a gift card or discount.

Bioinformatics

Gene Symbol CDK4