CDIPT Antibody

Images

 
Immunocytochemistry/ Immunofluorescence: CDIPT Antibody [NBP2-49233] - Immunofluorescent staining of human cell line A549 shows localization to nucleoplasm, nuclear membrane & plasma membrane. Antibody staining is shown ...read more
Immunohistochemistry-Paraffin: CDIPT Antibody [NBP2-49233] - Staining of human skeletal muscle shows weak cytoplasmic positivity in myocytes.
Immunohistochemistry-Paraffin: CDIPT Antibody [NBP2-49233] - Staining of human cerebellum shows strong granular cytoplasmic positivity in purkinje cells.
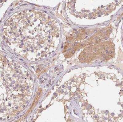
Immunohistochemistry-Paraffin: CDIPT Antibody [NBP2-49233] - Staining of human testis shows moderate granular cytoplasmic positivity in Leydig cells.
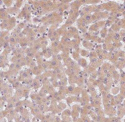
Immunohistochemistry-Paraffin: CDIPT Antibody [NBP2-49233] - Staining of human liver shows weak cytoplasmic positivity in hepatocytes.

Product Details

Summary
Product Discontinued
View other related CDIPT Primary Antibodies

Order Details


    • Catalog Number
      NBP2-49233
    • Availability
      Product Discontinued

    Can't find what you are looking for? Use our Antibody Concierge Service & we will help you locate your antibody!

    Or feel free to contact us for alternative products.

CDIPT Antibody Summary

Immunogen
This antibody was developed against a recombinant protein corresponding to amino acids: LTASSFYLLSGLLDAFDGHAARALNQGTRFGAMLDMLTDR
Predicted Species
Mouse (98%), Rat (98%). Backed by our 100% Guarantee.
Isotype
IgG
Clonality
Polyclonal
Host
Rabbit
Gene
CDIPT
Purity
Immunogen affinity purified
Innovator's Reward
Test in a species/application not listed above to receive a full credit towards a future purchase.

Applications/Dilutions

Dilutions
  • Immunocytochemistry/ Immunofluorescence 0.25-2 ug/ml
  • Immunohistochemistry 1:20 - 1:50
  • Immunohistochemistry-Paraffin 1:20 - 1:50
Application Notes
For IHC-Paraffin, HIER pH 6 retrieval is recommended. ICC/IF, Fixation Permeabilization: Use PFA/Triton X-100.

Packaging, Storage & Formulations

Storage
Store at 4C short term. Aliquot and store at -20C long term. Avoid freeze-thaw cycles.
Buffer
PBS (pH 7.2) and 40% Glycerol
Preservative
0.02% Sodium Azide
Purity
Immunogen affinity purified

Alternate Names for CDIPT Antibody

  • CDP-diacylglycerol--inositol 3-phosphatidyltransferase
  • EC 2.7.8.11
  • Phosphatidylinositol synthase
  • PI synthase
  • PIS1MGC1328
  • PISCDP-diacylglycerol--inositol 3-phosphatidyltransferase (phosphatidylinositolsynthase)
  • PtdIns synthase

Background

Phosphatidylinositol breakdown products are ubiquitous second messengers that function downstream of many Gprotein-coupled receptors and tyrosine kinases regulating cell growth, calcium metabolism, and protein kinase Cactivity. Two enzymes, CDP-diacylglycerol synthase and phosphatidylinositol synthase, are involved in the biosynthesisof phosphatidylinositol. Phosphatidylinositol synthase, a member of the CDP-alcohol phosphatidyl transferase class-Ifamily, is an integral membrane protein found on the cytoplasmic side of the endoplasmic reticulum and the Golgiapparatus. (provided by RefSeq)

Limitations

This product is for research use only and is not approved for use in humans or in clinical diagnosis. Primary Antibodies are guaranteed for 1 year from date of receipt.

Customers Who Viewed This Item Also Viewed...

NBP1-81838
Species: Hu, Mu
Applications: IHC,  IHC-P, WB
NB100-1277
Species: Bv, Ma, Hu, Mu
Applications: ChIP, ICC/IF, IHC-WhMt, IHC, IHC-Fr,  IHC-P, PEP-ELISA, WB
NBP1-31851
Species: Hu, Mu, Rt
Applications: ICC/IF, WB
NBP2-56923
Species: Hu
Applications: ICC/IF
H00001040-M01
Species: Hu, Rt
Applications: ELISA, ICC/IF, KD, WB
AF2364
Species: Hu
Applications: IHC, WB
MAB1268
Species: Hu
Applications: ICC, IHC, IP, Simple Western, WB
NBP2-47415
Species: Hu
Applications: ICC/IF, IHC,  IHC-P, WB
H00001523-M01
Species: Hu, Mu, Rt
Applications: ELISA, ICC/IF, IHC,  IHC-P, IP, WB
AF6868
Species: Hu
Applications: IHC, KO, WB
NBP2-32840
Species: Hu, Pm, Mu, Rt
Applications: Flow, ICC/IF, IHC,  IHC-P, WB
NBP2-46421
Species: Hu, Mu, Rt
Applications: IHC,  IHC-P, WB
NBP2-34014
Species: Hu
Applications: IHC,  IHC-P
NBP2-37463
Species: Hu
Applications: CyTOF-ready, ELISA, Flow, IHC,  IHC-P, WB
AF5725
Species: Hu
Applications: IHC
NBP1-32870
Species: Ch, Hu
Applications: IHC,  IHC-P, IP, KD, WB
NBP1-90233
Species: Hu
Applications: IHC,  IHC-P, WB
H00000126-D01P
Species: Hu, Mu
Applications: WB

Publications for CDIPT Antibody (NBP2-49233) (0)

There are no publications for CDIPT Antibody (NBP2-49233).
By submitting your publication information earn gift cards and discounts for future purchases.

Reviews for CDIPT Antibody (NBP2-49233) (0)

There are no reviews for CDIPT Antibody (NBP2-49233). By submitting a review you will receive an Amazon e-Gift Card or Novus Product Discount.
  • Review with no image -- $10/€7/£6/$10 CAD/¥70 Yuan/¥1110 Yen
  • Review with an image -- $25/€18/£15/$25 CAD/¥150 Yuan/¥2500 Yen

Product General Protocols

Find general support by application which include: protocols, troubleshooting, illustrated assays, videos and webinars.

Video Protocols

ICC/IF Video Protocol

FAQs for CDIPT Antibody (NBP2-49233) (0)

There are no specific FAQs related to this product. Read our general customer & technical service FAQs.

Contact Information

Product PDFs

Calculators

Concentration Calculator

The concentration calculator allows you to quickly calculate the volume, mass or concentration of your vial. Simply enter your mass, volume, or concentration values for your reagent and the calculator will determine the rest.

=
÷

Review this Product

Be the first to review our CDIPT Antibody and receive a gift card or discount.

Bioinformatics

Gene Symbol CDIPT