CDC2L6 Antibody (CL14116) - Azide and BSA Free

Images

 
Orthogonal Strategies: Analysis in human testis and skeletal muscle tissues using NBP3-44339 antibody. Corresponding CDC2L6 RNA-seq data are presented for the same tissues.
Staining in SH-SY5Y cell line with Anti-CDC2L6 monoclonal antibody) .
Staining of human cervix shows moderate nuclear positivity in squamous epithelial cells.
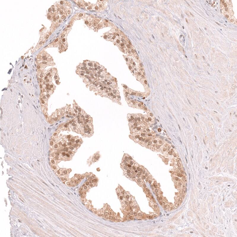
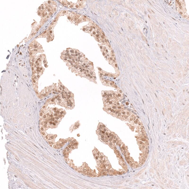
Staining of human prostate shows moderate nuclear positivity in glandular cells.
Staining of human skeletal muscle shows no positivity in myocytes as expected.
Analysis in human cell line U-2197.
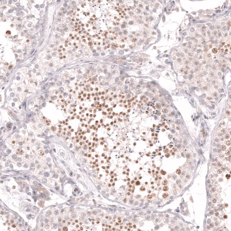
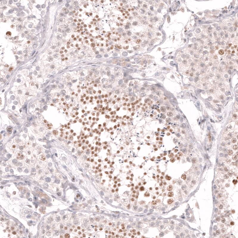
Staining of human testis shows strong nuclear positivity in spermatids.

Product Details

Summary
Reactivity HuSpecies Glossary
Applications WB, ICC/IF, IHC
Clone
CL14116
Clonality
Monoclonal
Host
Mouse
Conjugate
Unconjugated
Format
Azide and BSA Free
Concentration
LYOPH
Validated by:
       

Orthogonal Strategies

 

Order Details

CDC2L6 Antibody (CL14116) - Azide and BSA Free Summary

Description
Novus Biologicals Mouse CDC2L6 Antibody (CL14116) - Azide and BSA Free (NBP3-26850) is a monoclonal antibody validated for use in IHC, WB and ICC/IF. All Novus Biologicals antibodies are covered by our 100% guarantee.
Immunogen
This antibody was generated using a synthetic peptide of Q9BWU1, with the exact immunogen sequence remaining proprietary.
Isotype
IgG2b
Clonality
Monoclonal
Host
Mouse
Gene
CDK19
Purity
Protein A purified
Innovator's Reward
Test in a species/application not listed above to receive a full credit towards a future purchase.

Applications/Dilutions

Dilutions
  • Immunocytochemistry/ Immunofluorescence 2-10 ug/ml
  • Immunohistochemistry-Paraffin 1:200 - 1:500
  • Western Blot 1 ug/ml
Application Notes
Immunocytochemistry/ Immunofluorescence/IF Fixation Permeabilization: Use PFA/Triton X-100. For IHC-Paraffin, HIER pH 6 retrieval is recommended.

Packaging, Storage & Formulations

Storage
Store at 4C short term. Aliquot and store at -20C long term. Avoid freeze-thaw cycles.
Buffer
Lyophilized from a 0.2 um filtered solution in PBS with Trehalose
Preservative
No Preservative
Concentration
LYOPH
Purity
Protein A purified
Reconstitution Instructions
Centrifuge the vial of lyophilized antibody at 12,000 x g for 20 seconds. Reconstitute by adding sterile, distilled water to achieve a final antibody concentration of 1mg/ml.

Alternate Names for CDC2L6 Antibody (CL14116) - Azide and BSA Free

  • bA346C16.3
  • CDC2L6
  • CDC2-related protein kinase 6
  • CDK19
  • CDK8-like cyclin-dependent kinase
  • cell division cycle 2-like 6 (CDK8-like)
  • Cell division cycle 2-like protein kinase 6
  • Cell division protein kinase 19
  • cyclin-dependent kinase (CDC2-like) 11
  • Cyclin-dependent kinase 11
  • cyclin-dependent kinase 19
  • Death-preventing kinase
  • EC 2.7.11
  • EC 2.7.11.22
  • KIAA1028
  • KIAA1028CDK11

Background

CDC2L6 encodes a protein that is one of the components of the Mediator coactivator complex. The Mediator complex is a multiprotein complex required for transcriptional activation by DNA binding transcription factors of genes transcribed by RNA polymerase II. The protein encoded by this gene is similar to cyclin-dependent kinase 8 which can also be a component of the Mediator complex. [provided by RefSeq]

Limitations

This product is for research use only and is not approved for use in humans or in clinical diagnosis. Primary Antibodies are guaranteed for 1 year from date of receipt.

Customers Who Viewed This Item Also Viewed...

NB100-496
Species: Hu
Applications: IHC,  IHC-P, IP, WB
NBP2-92609
Species: Hu, Mu
Applications: ELISA, ICC/IF, WB
MAB2014
Species: Hu
Applications: CyTOF-reported, Flow
NBP2-48704
Species: Hu
Applications: ICC/IF, IHC,  IHC-P, WB
NBP2-58498
Species: Hu
Applications: ICC/IF
NBP1-76720
Species: Hu, Mu, Rt
Applications: ELISA, ICC/IF, IHC,  IHC-P, WB
NBP2-73636
Species: Ca, Hu, Pm, Mu, Pm, Rt
Applications: CyTOF-ready, Flow, WB
NBP1-87132
Species: Hu
Applications: IHC,  IHC-P, WB
NBP1-48308
Species: Bv, Hu, Mu, Rt
Applications: Flow, IB, ICC/IF, IHC,  IHC-P, IP, KD, Simple Western, WB
NBP1-89699
Species: Hu
Applications: ICC/IF, IHC,  IHC-P, WB
NBP1-84796
Species: Hu, Mu, Rt
Applications: ICC/IF, IHC,  IHC-P, KD, WB
NB100-74648
Species: Hu
Applications: ICC/IF, IHC,  IHC-P, IP, WB
H00001523-M01
Species: Hu, Mu, Rt
Applications: ELISA, ICC/IF, IHC,  IHC-P, IP, WB
MAB6570
Species: Hu
Applications: IHC, WB
NBP1-92392
Species: Hu, Mu, Rt
Applications: ICC/IF, IHC,  IHC-P, WB
NBP2-92972
Species: Hu, Mu, Rt
Applications: IP, KO, WB
NBP2-33466
Species: Hu
Applications: ICC/IF, IHC,  IHC-P, WB
NBP1-87905
Species: Hu
Applications: ICC/IF, IHC,  IHC-P, WB
NB500-106
Species: Ch, Dr, Fi, Hu, Mar, Mu, Po, Pm, Rb, Rt, Ye, Ze
Applications: ChIP, ChIP, ELISA, Flow, ICC/IF, IHC-FrFl, IHC, IHC-Fr,  IHC-P, IP, Simple Western, WB
NBP2-87539
Species: Hu
Applications: IHC,  IHC-P, WB

Publications for CDC2L6 Antibody (NBP3-44339) (0)

There are no publications for CDC2L6 Antibody (NBP3-44339).
By submitting your publication information earn gift cards and discounts for future purchases.

Reviews for CDC2L6 Antibody (NBP3-44339) (0)

There are no reviews for CDC2L6 Antibody (NBP3-44339). By submitting a review you will receive an Amazon e-Gift Card or Novus Product Discount.
  • Review with no image -- $10/€7/£6/$10 CAD/¥70 Yuan/¥1110 Yen
  • Review with an image -- $25/€18/£15/$25 CAD/¥150 Yuan/¥2500 Yen

Product General Protocols

Find general support by application which include: protocols, troubleshooting, illustrated assays, videos and webinars.

Video Protocols

WB Video Protocol
ICC/IF Video Protocol

FAQs for CDC2L6 Antibody (NBP3-44339) (0)

There are no specific FAQs related to this product. Read our general customer & technical service FAQs.

Secondary Antibodies

 

Isotype Controls

Additional CDC2L6 Products

Array NBP3-44339

Research Areas for CDC2L6 Antibody (NBP3-44339)

Find related products by research area.

Blogs on CDC2L6

There are no specific blogs for CDC2L6, but you can read our latest blog posts.

Customers Who Bought This Also Bought

Contact Information

Product PDFs

Calculators

Concentration Calculator

The concentration calculator allows you to quickly calculate the volume, mass or concentration of your vial. Simply enter your mass, volume, or concentration values for your reagent and the calculator will determine the rest.

=
÷

Review this Product

Be the first to review our CDC2L6 Antibody (CL14116) - Azide and BSA Free and receive a gift card or discount.

Bioinformatics

Gene Symbol CDK19