CD79B Antibody (B29/123) - Azide and BSA Free

Images

 
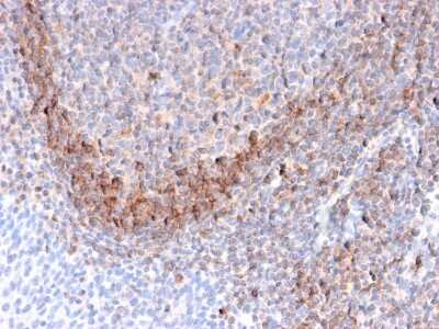
Immunohistochemistry-Paraffin: CD79B Antibody (B29/123) - Azide and BSA Free [NBP3-08356] - Formalin-fixed, paraffin-embedded human Tonsil stained with CD79B Mouse Monoclonal Antibody (B29/123).
Immunohistochemistry-Paraffin: CD79B Antibody (B29/123) - Azide and BSA Free [NBP3-08356] - Formalin-fixed, paraffin-embedded human Tonsil stained with CD79B Mouse Monoclonal Antibody (B29/123).

Product Details

Summary
Reactivity HuSpecies Glossary
Applications WB, ICC/IF, IHC
Clone
B29/123
Clonality
Monoclonal
Host
Mouse
Conjugate
Unconjugated
Format
Azide and BSA Free
Concentration
1 mg/ml

Order Details

CD79B Antibody (B29/123) - Azide and BSA Free Summary

Description
1.0 mg/ml of antibody purified from Bioreactor Concentrate by Protein A/G. Prepared in 10mM PBS WITHOUT BSA & azide. Also available at 200 ug/ml WITH BSA & azide (NBP3-07438).

Antibody with azide - store at 2 to 8C. Antibody without azide - store at -20 to -80C.
Additional Information
Clone B29/123 was used by HLDA to establish CD designation.
Immunogen
Synthetic peptide representing the c-terminus from residue 215 of the murine CD79B polypeptide. (Uniprot: P40259)
Localization
Cell surface
Marker
B-Cell Marker
Isotype
IgG2b Kappa
Clonality
Monoclonal
Host
Mouse
Gene
CD79B
Purity
Protein A or G purified
Innovator's Reward
Test in a species/application not listed above to receive a full credit towards a future purchase.

Applications/Dilutions

Dilutions
  • Immunocytochemistry/ Immunofluorescence 1-2 ug/ml
  • Immunohistochemistry
  • Immunohistochemistry-Paraffin
  • Western Blot 1-2 ug/ml
Application Notes
Immunohistochemistry Formalin-fixed: 1-2ug/ml for 30 minutes at RT. Staining of formalin-fixed tissues requires heating tissue sections in 10mM Tris with 1mM EDTA, pH 9.0, for 45 min at 95C followed by cooling at RT for 20 minutes.
Theoretical MW
39 kDa.
Disclaimer note: The observed molecular weight of the protein may vary from the listed predicted molecular weight due to post translational modifications, post translation cleavages, relative charges, and other experimental factors.

Packaging, Storage & Formulations

Storage
Store at -20 to -80C. Avoid freeze-thaw cycles.
Buffer
10 mM PBS
Preservative
No Preservative
Concentration
1 mg/ml
Purity
Protein A or G purified

Alternate Names for CD79B Antibody (B29/123) - Azide and BSA Free

  • B29
  • B29B-cell-specific glycoprotein B29
  • B-cell antigen receptor complex-associated protein beta chain
  • CD79B antigen (immunoglobulin-associated beta)
  • CD79b antigen
  • CD79b molecule, immunoglobulin-associated beta
  • CD79B
  • IGB
  • IGBAGM6
  • Ig-beta
  • Immunoglobulin-associated B29 protein

Background

Murine CD79 is a 23/21 kDa disulfide-linked heterodimer composed of an alpha chain (CD79alpha/mb-1) and a beta chain (CD79b/B29) that associates non-covalently with membrane immunoglobulin (Ig) to form the B cell receptor (BCR) complex. Its expression is restricted to B lymphocytes, first appearing on the surface at the pro-B cell stage prior to productive Ig gene rearrangements and remaining through all stages of B-cell differentiation prior to plasma cells. It has been proposed that the CD79 complex on pro-B cell surfaces may function to induce early B-cell differentiation. (1)

Limitations

This product is for research use only and is not approved for use in humans or in clinical diagnosis. Primary Antibodies are guaranteed for 1 year from date of receipt.

Customers Who Viewed This Item Also Viewed...

NB100-64347
Species: Hu
Applications: Flow, IHC, IHC-Fr,  IHC-P
NBP2-79843
Species: Hu
Applications: CyTOF-ready, ELISA, Flow, ICC/IF, IHC,  IHC-P, PA, WB
7268-CT
Species: Hu
Applications: BA
NB100-524
Species: Hu, Mu
Applications: Flow-IC, Flow, ICC/IF, IHC, IHC-Fr,  IHC-P, IP, WB
AF5129
Species: Hu
Applications: WB
MAB1417
Species: Bv, Hu, Mu
Applications: ICC, IHC
NBP2-54591
Species: Hu
Applications: CyTOF-ready, Flow, ICC/IF, IHC,  IHC-P, PA
NBP2-70360
Species: Hu
Applications: CyTOF-ready, Flow, IMC, ICC/IF, IHC,  IHC-P, WB
NBP2-25196
Species: Hu, Mu
Applications: CyTOF-ready, Flow, ICC/IF, In vitro, WB
NBP2-46125
Species: Ca, Hu, Pm, Mu, Rt
Applications: ICC/IF, WB
NBP2-67309
Species: Hu, Rt
Applications: Flow, ICC/IF, IHC,  IHC-P, IP, WB
NB600-1441
Species: Ca, Hu, Mu, Po
Applications: Flow, ICC/IF, IHC, IHC-Fr,  IHC-P, KD
NBP2-37585
Species: Hu, Mu
Applications: ELISA, Flow, ICC/IF, IHC,  IHC-P, WB
AF3206
Species: Hu, Mu, Rt
Applications: ICC, Simple Western, WB
AF123
Species: Hu
Applications: Block, ICC, WB
NBP2-12793
Species: Hu, Mu
Applications: IHC,  IHC-P, IP, WB
AF1067
Species: Hu, Mu, Rt
Applications: ELISA, IHC, Neut, WB
AF4947
Species: Mu
Applications: CyTOF-ready, Flow, Simple Western, WB

Publications for CD79B Antibody (NBP3-08356) (0)

There are no publications for CD79B Antibody (NBP3-08356).
By submitting your publication information earn gift cards and discounts for future purchases.

Reviews for CD79B Antibody (NBP3-08356) (0)

There are no reviews for CD79B Antibody (NBP3-08356). By submitting a review you will receive an Amazon e-Gift Card or Novus Product Discount.
  • Review with no image -- $10/€7/£6/$10 CAD/¥70 Yuan/¥1110 Yen
  • Review with an image -- $25/€18/£15/$25 CAD/¥150 Yuan/¥2500 Yen

Product General Protocols

Find general support by application which include: protocols, troubleshooting, illustrated assays, videos and webinars.

Video Protocols

WB Video Protocol
ICC/IF Video Protocol

FAQs for CD79B Antibody (NBP3-08356) (0)

There are no specific FAQs related to this product. Read our general customer & technical service FAQs.

Secondary Antibodies

 

Isotype Controls

Additional CD79B Products

Research Areas for CD79B Antibody (NBP3-08356)

Find related products by research area.

Blogs on CD79B.

CD79b - A Signal Transduction Component of the B-cell Receptor
The B-cell antigen receptor (BCR) is a complex multimeric aggregate that includes the following key noncovalently-bound components: antigen-specific surface immunoglobulin (Ig), CD79a (Ig-alpha), and CD79b (Ig-beta). BCR signaling is a pivotal pathway...  Read full blog post.

Customers Who Bought This Also Bought

Contact Information

Product PDFs

Calculators

Concentration Calculator

The concentration calculator allows you to quickly calculate the volume, mass or concentration of your vial. Simply enter your mass, volume, or concentration values for your reagent and the calculator will determine the rest.

=
÷

Review this Product

Be the first to review our CD79B Antibody (B29/123) - Azide and BSA Free and receive a gift card or discount.

Bioinformatics

Gene Symbol CD79B