CD59 Antibody (JM10-71)

Images

 
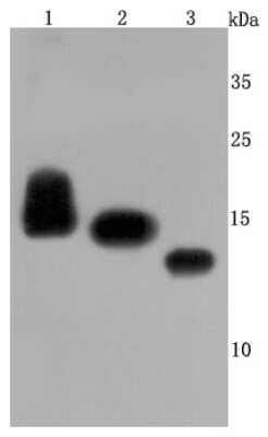
Western Blot: CD59 Antibody (JM10-71) [NBP2-66758] - Analysis of CD59 on different cells lysates using anti-CD59 antibody at 1/500 dilution. Positive control: Lane 1: Human placenta Lane 2: HUVEC Lane 3: K562
Immunocytochemistry/ Immunofluorescence: CD59 Antibody (JM10-71) [NBP2-66758] - Staining CD59 in NIH-3T3 cells (red). The nuclear counter stain is DAPI (blue). Cells were fixed in paraformaldehyde, permeabilised with ...read more
Flow Cytometry: CD59 Antibody (JM10-71) [NBP2-66758] - Flow cytometric analysis of NIH-3T3 cells with CD59 antibody at 1/50 dilution (red) compared with an unlabeled control (cells without incubation with primary ...read more
Immunocytochemistry/ Immunofluorescence: CD59 Antibody (JM10-71) [NBP2-66758] - Staining CD59 in HUVEC cells (red). The nuclear counter stain is DAPI (blue). Cells were fixed in paraformaldehyde, permeabilised with ...read more
Immunocytochemistry/ Immunofluorescence: CD59 Antibody (JM10-71) [NBP2-66758] - Staining CD59 in JAR cells (red). The nuclear counter stain is DAPI (blue). Cells were fixed in paraformaldehyde, permeabilised with 0.25% ...read more

Product Details

Summary
Product Discontinued
View other related CD59 Primary Antibodies

Order Details


    • Catalog Number
      NBP2-66758
    • Availability
      Product Discontinued

    Can't find what you are looking for? Use our Antibody Concierge Service & we will help you locate your antibody!

    Or feel free to contact us for alternative products.

CD59 Antibody (JM10-71) Summary

Additional Information
Recombinant Monoclonal Antibody.
Immunogen
Synthetic peptide within Human CD59 aa 85-121 / 128. (SwissProt: P13987 Human; SwissProt: O55186 Mouse)
Localization
Cell membrane. Secreted.
Isotype
IgG
Clonality
Monoclonal
Host
Rabbit
Gene
CD59
Purity
Protein A purified
Innovator's Reward
Test in a species/application not listed above to receive a full credit towards a future purchase.

Applications/Dilutions

Dilutions
  • Flow Cytometry 1:50-1:100
  • Immunocytochemistry/ Immunofluorescence 1:100-1:500
  • Immunoprecipitation 1:10-1:50
  • Western Blot 1:1000-1:5000

Packaging, Storage & Formulations

Storage
Store at 4C short term. Aliquot and store at -20C long term. Avoid freeze-thaw cycles.
Buffer
TBS (pH7.4), 0.05% BSA, 40% Glycerol
Preservative
0.05% Sodium Azide
Concentration
1 mg/ml
Purity
Protein A purified

Alternate Names for CD59 Antibody (JM10-71)

  • 16.3A5
  • 1F5 antigen
  • 1F5
  • 20 kDa homologous restriction factor
  • CD59 antigen
  • CD59 antigen, complement regulatory protein
  • CD59 glycoprotein
  • CD59 molecule, complement regulatory protein
  • CD59
  • EJ16
  • EJ30
  • EJ30, EL32 and G344)
  • EL32
  • FLJ38134
  • FLJ92039
  • G344
  • HRF20
  • HRF-20
  • human leukocyte antigen MIC11
  • Ly-6-like protein
  • lymphocytic antigen CD59/MEM43
  • MACIF
  • MAC-inhibitory protein
  • MAC-IP
  • MEM43 antigen
  • MEM43
  • membrane attack complex (MAC) inhibition factor
  • Membrane attack complex inhibition factor
  • Membrane inhibitor of reactive lysis
  • MGC2354
  • MIC11
  • MIC11MSK21
  • MIN1
  • MIN2
  • MIN3
  • MIRL
  • p18-20
  • Protectin
  • surface anitgen recognized by monoclonal 16.3A5
  • T cell-activating protein

Background

CD59, an LY6 like protein expressed in human lymphoid cells, regulates the action of the complement membrane attack complex on homologous cells.

Limitations

This product is for research use only and is not approved for use in humans or in clinical diagnosis. Primary Antibodies are guaranteed for 1 year from date of receipt.

Customers Who Viewed This Item Also Viewed...

AF2009
Species: Hu
Applications: ICC, IHC
7268-CT
Species: Hu
Applications: BA
NBP2-79843
Species: Hu
Applications: CyTOF-ready, ELISA, Flow, ICC/IF, IHC,  IHC-P, PA, WB
NB100-524
Species: Hu, Mu
Applications: Flow-IC, Flow, ICC/IF, IHC, IHC-Fr,  IHC-P, IP, WB
MAB2005
Species: Hu
Applications: CyTOF-ready, Flow, WB
NB200-540
Species: Ec, Mu
Applications: CyTOF-ready, Flow-IC, Flow, IA, ICC/IF, IHC, IHC-Fr,  IHC-P, IP
NBP2-24653
Species: Hu, Mu, Rt
Applications: IHC,  IHC-P, WB
NBP2-02541
Species: Hu, Pm, Mu, Pm, Rt
Applications: ICC/IF, IHC,  IHC-P, WB
NBP1-90214
Species: Hu
Applications: ICC/IF, IHC,  IHC-P, WB
NBP2-29460
Species: Pm, Pm-Cm, Hu, Pm, RM
Applications: Flow, ICC/IF, IHC,  IHC-P, ISH
NBP2-15952
Species: Hu, Mu, Rt
Applications: ICC/IF, IHC, WB
MAB6529
Species: Hu
Applications: Simple Western, WB
NBP3-16514
Species: Hu, Mu, Rt
Applications: IHC,  IHC-P, WB
NBP2-13760
Species: Hu
Applications: IHC,  IHC-P
NBP2-22542
Species: Hu
Applications: B/N, CyTOF-ready, Flow, ICC/IF, IHC, IHC-Fr, IP, WB
2150-C5
Species: Mu
Applications: BA
NBP2-54591
Species: Hu
Applications: CyTOF-ready, Flow, ICC/IF, IHC,  IHC-P, PA
202-IL
Species: Hu
Applications: BA
NBP2-66758
Species: Hu, Mu
Applications: WB, Flow, ICC/IF, IP

Publications for CD59 Antibody (NBP2-66758) (0)

There are no publications for CD59 Antibody (NBP2-66758).
By submitting your publication information earn gift cards and discounts for future purchases.

Reviews for CD59 Antibody (NBP2-66758) (0)

There are no reviews for CD59 Antibody (NBP2-66758). By submitting a review you will receive an Amazon e-Gift Card or Novus Product Discount.
  • Review with no image -- $10/€7/£6/$10 CAD/¥70 Yuan/¥1110 Yen
  • Review with an image -- $25/€18/£15/$25 CAD/¥150 Yuan/¥2500 Yen

Product General Protocols

Find general support by application which include: protocols, troubleshooting, illustrated assays, videos and webinars.

Video Protocols

WB Video Protocol
ICC/IF Video Protocol

FAQs for CD59 Antibody (NBP2-66758) (0)

There are no specific FAQs related to this product. Read our general customer & technical service FAQs.

Contact Information

Product PDFs

Calculators

Concentration Calculator

The concentration calculator allows you to quickly calculate the volume, mass or concentration of your vial. Simply enter your mass, volume, or concentration values for your reagent and the calculator will determine the rest.

=
÷

Review this Product

Be the first to review our CD59 Antibody (JM10-71) and receive a gift card or discount.

Bioinformatics

Gene Symbol CD59