CAT3/SLC7A3 Antibody

Images

 
Western Blot: SLC7A3 Antibody [NBP1-78911] - Western blot analysis of SLC7A3 expression in Myc-tagged SLC7A3 transfected 293T (2, 3) and parental cell (1), using NBP1-78911 (1, 2) or anti-Myc-tag antibody (3).
Immunocytochemistry/ Immunofluorescence: SLC7A3 Antibody [NBP1-78911] - Immunocytochemical detection of SLC7A3 in 293T transiently expressing SLC7A3 with NBP1-78911 (right) or normal rabbit IgG (left).
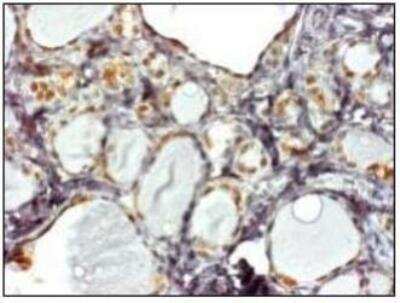
Immunohistochemistry-Paraffin: SLC7A3 Antibody [NBP1-78911] - Immunohistochemical detection of SLC7A3 on paraffin embedded section of human thyroid with SLC7A3 Antibody.
Flow Cytometry: SLC7A3 Antibody [NBP1-78911] - Analysis of intracellular SLC7A3 expression on 293T transiently expressing SLC7A3 and Azami green. The staining intensity of NBP1-78911 is shown in the vertical axis with ...read more
Immunohistochemistry-Paraffin: SLC7A3 Antibody [NBP1-78911] - Immunohistochemical detection of SLC7A3 on paraffin embedded section of human kidney with SLC7A3 Antibody.

Product Details

Summary
Product Discontinued
View other related CAT3/SLC7A3 Primary Antibodies

Order Details


    • Catalog Number
      NBP1-78911
    • Availability
      Product Discontinued

    Can't find what you are looking for? Use our Antibody Concierge Service & we will help you locate your antibody!

    Or feel free to contact us for alternative products.

CAT3/SLC7A3 Antibody Summary

Immunogen
The rabbit was immunized with a synthetic peptide derived from human SLC7A3.
Isotype
IgG
Clonality
Polyclonal
Host
Rabbit
Gene
SLC7A3
Purity
Immunogen affinity purified
Innovator's Reward
Test in a species/application not listed above to receive a full credit towards a future purchase.

Applications/Dilutions

Dilutions
  • Flow Cytometry 1:200
  • Immunocytochemistry/ Immunofluorescence 1:200
  • Immunohistochemistry 1:1000
  • Immunohistochemistry-Paraffin 1:1000
  • Western Blot 1:1000
Application Notes
For IHC: Heat treatment is necessary for staining paraffin embedded sections. Autoclave; 125 degrees Celsius for 5 minutes in 10 mM citrate buffer containing 0.05% Tween-20 (pH 6.0).
Theoretical MW
67 kDa.
Disclaimer note: The observed molecular weight of the protein may vary from the listed predicted molecular weight due to post translational modifications, post translation cleavages, relative charges, and other experimental factors.

Packaging, Storage & Formulations

Storage
Store at -20C. Avoid freeze-thaw cycles.
Buffer
PBS (pH 7.2) and 50% Glycerol
Preservative
No Preservative
Purity
Immunogen affinity purified

Alternate Names for CAT3/SLC7A3 Antibody

  • ATRC3
  • ATRC3cationic amino acid transporter 3
  • CAT3
  • CAT-3Cationic amino acid transporter y+
  • FLJ14541
  • MGC20687
  • SLC7A3
  • solute carrier family 7 (cationic amino acid transporter, y+ system), member 3
  • Solute carrier family 7 member 3

Background

SLC7A3 is a member of the system y+ family of transporters characterized by sodium-independent transport of cationicamino acids.(supplied by OMIM)

Limitations

This product is for research use only and is not approved for use in humans or in clinical diagnosis. Primary Antibodies are guaranteed for 1 year from date of receipt.

Customers Who Viewed This Item Also Viewed...

AF3398
Species: Hu, Mu, Rt
Applications: ICC, KO, Simple Western, WB
NBP1-86616
Species: Hu
Applications: IHC,  IHC-P, WB
NBP3-35470
Species: Hu, Mu, Rt
Applications: ELISA, IHC,  IHC-P, WB
NBP2-22423
Species: Hu, Mu, Rt
Applications: ICC/IF, IHC, IHC-Fr, IP, KO, WB
NBP2-16661
Species: Hu, Mu
Applications: ICC/IF, IHC, IHC-Fr, WB
NBP3-33063
Species: Hu, Mu, Rt
Applications: Flow, ICC/IF, IHC,  IHC-P, WB
NBP2-93699
Species: Mu
Applications: ELISA, WB
NB100-93520
Species: Hu
Applications: PEP-ELISA, WB
NBP2-58917
Species: Hu
Applications: IHC,  IHC-P, WB
664-LI
Species: Hu
Applications: BA
NB100-858
Species: Gp, Hu, Mu, Rt
Applications: Flow, ICC/IF, IHC-WhMt, IHC, IHC-Fr,  IHC-P, PEP-ELISA, WB
NBP1-86613
Species: Hu
Applications: IHC,  IHC-P, WB
NB600-607
Species: Hu, Rt
Applications: ELISA, IHC,  IHC-P, WB
NB300-605
Species: Hu, Mu, Po, Rt
Applications: Flow, IB, ICC/IF, IHC, IHC-Fr,  IHC-P, In vitro, WB
NBP2-24915
Species: Bv, Hu, Mu, Rt
Applications: IHC,  IHC-P, WB
NBP1-81838
Species: Hu, Mu
Applications: IHC,  IHC-P, WB
AF1060
Species: Mu
Applications: ELISA(Cap), ELISA(Det), IHC, Simple Western, WB
NBP1-78911
Species: Hu
Applications: WB, Flow, ICC/IF, IHC

Publications for CAT3/SLC7A3 Antibody (NBP1-78911) (0)

There are no publications for CAT3/SLC7A3 Antibody (NBP1-78911).
By submitting your publication information earn gift cards and discounts for future purchases.

Reviews for CAT3/SLC7A3 Antibody (NBP1-78911) (0)

There are no reviews for CAT3/SLC7A3 Antibody (NBP1-78911). By submitting a review you will receive an Amazon e-Gift Card or Novus Product Discount.
  • Review with no image -- $10/€7/£6/$10 CAD/¥70 Yuan/¥1110 Yen
  • Review with an image -- $25/€18/£15/$25 CAD/¥150 Yuan/¥2500 Yen

Product General Protocols

Find general support by application which include: protocols, troubleshooting, illustrated assays, videos and webinars.

Video Protocols

WB Video Protocol
ICC/IF Video Protocol

FAQs for CAT3/SLC7A3 Antibody (NBP1-78911). (Showing 1 - 1 of 1 FAQ).

  1. I'd like to know the concentration for your SLC7A3 Antibody, catalog number NBP1-78911, Lot number 001.
    • The concentration for your lot # 001 on NBP1-78911 is 1.0 mg/mL

Contact Information

Product PDFs

Calculators

Concentration Calculator

The concentration calculator allows you to quickly calculate the volume, mass or concentration of your vial. Simply enter your mass, volume, or concentration values for your reagent and the calculator will determine the rest.

=
÷

Review this Product

Be the first to review our CAT3/SLC7A3 Antibody and receive a gift card or discount.

Bioinformatics

Gene Symbol SLC7A3
Entrez
Uniprot