Calpain 1 Antibody (2A2)

Images

 
Immunocytochemistry/ Immunofluorescence: Calpain 1 Antibody (2A2) [NBP2-76963] - ICC staining Calpain 1(green) in SiHa cells. The nuclear counter stain is DAPI (blue). Cells were fixed in paraformaldehyde, permeabilised ...read more
Immunohistochemistry-Paraffin: Calpain 1 Antibody (2A2) [NBP2-76963] - Analysis of paraffin-embedded human spleen tissue using anti-Calpain 1 antibody. Counter stained with hematoxylin.
Flow Cytometry: Calpain 1 Antibody (2A2) [NBP2-76963] - Flow cytometric analysis of A431 cells with Calpain 1 antibody at 1/100 dilution (red) compared with an unlabelled control (cells without incubation with primary ...read more
Immunohistochemistry: Calpain 1 Antibody (2A2) [NBP2-76963] - Immunohistochemical analysis of paraffin-embedded human colon cancer tissue using anti-Calpain 1 antibody. Counter stained with hematoxylin.
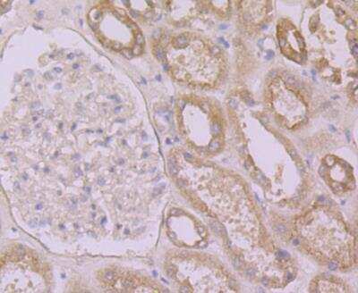
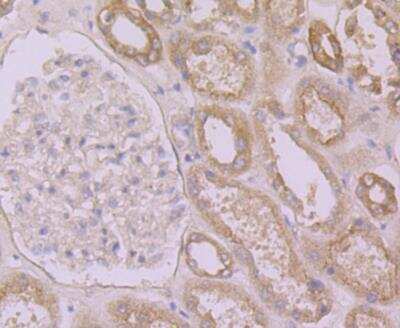
Immunohistochemistry: Calpain 1 Antibody (2A2) [NBP2-76963] - Immunohistochemical analysis of paraffin-embedded human kidney tissue using anti-Calpain 1 antibody. Counter stained with hematoxylin.
Immunohistochemistry: Calpain 1 Antibody (2A2) [NBP2-76963] - Immunohistochemical analysis of paraffin-embedded mouse fallopian tubes tissue using anti-Calpain 1 antibody. Counter stained with hematoxylin.
Immunohistochemistry: Calpain 1 Antibody (2A2) [NBP2-76963] - Immunohistochemical analysis of paraffin-embedded rat testis tissue using anti-Calpain 1 antibody. Counter stained with hematoxylin.

Product Details

Summary
Product Discontinued
View other related Calpain 1 Primary Antibodies

Order Details


    • Catalog Number
      NBP2-76963
    • Availability
      Product Discontinued

    Can't find what you are looking for? Use our Antibody Concierge Service & we will help you locate your antibody!

    Or feel free to contact us for alternative products.

Calpain 1 Antibody (2A2) Summary

Immunogen
Recombinant protein within Human Calpain 1 aa 1-714 / 714. (SwissProt: P07384 Human; SwissProt: O35350 Mouse; SwissProt: P97571 Rat)
Localization
Plama membrane.
Isotype
IgM
Clonality
Monoclonal
Host
Mouse
Gene
CAPN1
Purity
Protein L purified
Innovator's Reward
Test in a species/application not listed above to receive a full credit towards a future purchase.

Applications/Dilutions

Dilutions
  • Flow Cytometry 1:50-1:100
  • Immunocytochemistry/ Immunofluorescence 1:50-1:200
  • Immunohistochemistry
  • Immunohistochemistry-Paraffin 1:50-1:200
Theoretical MW
82 kDa.
Disclaimer note: The observed molecular weight of the protein may vary from the listed predicted molecular weight due to post translational modifications, post translation cleavages, relative charges, and other experimental factors.

Reactivity Notes

Mouse blocking reagent may be needed for IHC and ICC experiments to reduce high background signal. You can find these reagents under catalog numbers PK-2200-NB and MP-2400-NB. Please contact Technical Support if you have any. Please note that this antibody is reactive to Mouse and derived from the same host, Mouse. Mouse-On-questions.

Packaging, Storage & Formulations

Storage
Store at 4C short term. Aliquot and store at -20C long term. Avoid freeze-thaw cycles.
Buffer
PBS (pH7.4), 0.2% BSA, 50% Glycerol
Preservative
0.05% Sodium Azide
Concentration
2 mg/ml
Purity
Protein L purified

Alternate Names for Calpain 1 Antibody (2A2)

  • Calcium-activated neutral proteinase 1
  • Calpain 1
  • calpain 1, (mu/I) large subunit
  • Calpain mu-type
  • calpain, large polypeptide L1
  • calpain-1 catalytic subunit
  • Calpain-1 large subunit
  • CANP 1
  • CANP
  • CANPL1
  • CANPL1EC 3.4.22.52
  • CAPN1
  • Cell proliferation-inducing gene 30 protein
  • cell proliferation-inducing protein 30
  • EC 3.4.22
  • EC 3.4.22.52
  • Micromolar-calpain
  • muCANP
  • muCANPCANP1
  • muCL
  • PIG30

Background

The calpain (calcium-dependent protease or calcium-activated neutral protease) system consists of two ubiquitous forms of calpain (Mu Calpain and M Calpain), a tissue specific calpain (N Calpain), and a calpain inhibitory protein (calpastatin). The calpain system has been detected in every vertebrate tissue examined, and has been suggested to play a regulatory role in cellular protein metabolism. This regulatory role may have important implications in platelet aggregation and pathologies associated with altered calcium homeostasis and protein metabolism such as ischemic cell injury and degenerative diseases. Inhibitors of calpain have been shown to block dexamethasone and low-level irradiation induced apoptosis in thymocytes suggesting that calpain has a regulatory or mechanistic role in apoptotic cell death.Mu and M Calpains are heterodimers consisting of 28 kDa and 80 kDa subunits. The 28 kDa subunit is identical in the two isoforms, but the 80 kDa subunits differ with ~50% sequence similarity. 28 kDa / 80 kDa complexes are thought to be inactive proenzymes which, upon binding of calcium, undergo conformational changes that promotes cleavage of the 28 kDa subunit and results in enzyme activation.

Limitations

This product is for research use only and is not approved for use in humans or in clinical diagnosis. Primary Antibodies are guaranteed for 1 year from date of receipt.

Customers Who Viewed This Item Also Viewed...

NBP1-88204
Species: Hu, Mu, Rt
Applications: ICC/IF, IHC,  IHC-P, WB
NBP2-01819
Species: Hu
Applications: Flow, IHC,  IHC-P, WB
H00000826-M01
Species: Hu, Mu, Rt
Applications: ELISA, ICC/IF, IHC,  IHC-P, KD, PLA, S-ELISA, WB
NBP2-15671
Species: Hu, Mu, Sq
Applications: ICC/IF, IHC,  IHC-P, IP, WB
NBP2-19676
Species: Hu
Applications: ICC/IF, IHC,  IHC-P, WB
NBP3-35199
Species: Mu, Rt
Applications: ELISA, ICC/IF, WB
NB600-717
Species: Bv
Applications: ELISA, ICC/IF, IHC, IHC-Fr,  IHC-P, RIA, RI, WB
NBP1-88204
Species: Hu, Mu, Rt
Applications: ICC/IF, IHC,  IHC-P, WB
NB300-223
Species: Bv, Ca, Ch, Eq, Hu, Mu, Po, Rt
Applications: ICC/IF, IHC, IHC-Fr,  IHC-P, WB
NBP2-67702
Species: Hu, Mu, Rt
Applications: ICC/IF, IHC, IHC-Fr,  IHC-P, WB
AF3844
Species: Hu, Mu
Applications: IHC
NBP2-15669
Species: Mu, Rt, Ze
Applications: IHC-WhMt, IHC, WB
NBP2-14871
Species: Mu, Rt
Applications: ICC/IF, WB
NB120-2860
Species: Ba, Bv, Ch, Hu, Mu, Rt
Applications: ELISA, Flow, ICC/IF, IHC,  IHC-P, WB
NBP1-32870
Species: Ch, Hu
Applications: IHC,  IHC-P, IP, KD, WB
NBP2-46617
Species: Hu, Mu, Rt
Applications: ICC/IF, IHC,  IHC-P, WB
NBP3-04784
Species: Hu, Mu, Rt
Applications: ELISA, ICC/IF, IHC,  IHC-P, WB

Publications for Calpain 1 Antibody (NBP2-76963) (0)

There are no publications for Calpain 1 Antibody (NBP2-76963).
By submitting your publication information earn gift cards and discounts for future purchases.

Reviews for Calpain 1 Antibody (NBP2-76963) (0)

There are no reviews for Calpain 1 Antibody (NBP2-76963). By submitting a review you will receive an Amazon e-Gift Card or Novus Product Discount.
  • Review with no image -- $10/€7/£6/$10 CAD/¥70 Yuan/¥1110 Yen
  • Review with an image -- $25/€18/£15/$25 CAD/¥150 Yuan/¥2500 Yen

Product General Protocols

Find general support by application which include: protocols, troubleshooting, illustrated assays, videos and webinars.

Video Protocols

ICC/IF Video Protocol

FAQs for Calpain 1 Antibody (NBP2-76963) (0)

There are no specific FAQs related to this product. Read our general customer & technical service FAQs.

Secondary Antibodies

 

Isotype Controls

Additional Calpain 1 Products

Research Areas for Calpain 1 Antibody (NBP2-76963)

Find related products by research area.

Blogs on Calpain 1

There are no specific blogs for Calpain 1, but you can read our latest blog posts.

Contact Information

Product PDFs

Calculators

Concentration Calculator

The concentration calculator allows you to quickly calculate the volume, mass or concentration of your vial. Simply enter your mass, volume, or concentration values for your reagent and the calculator will determine the rest.

=
÷

Review this Product

Be the first to review our Calpain 1 Antibody (2A2) and receive a gift card or discount.

Bioinformatics

Gene Symbol CAPN1