BNIP1 Antibody

Images

 
Western Blot: BNIP1 Antibody [NBP2-89153] - Analysis of BNIP1 on rat liver tissue lysate using anti-BNIP1 antibody at 1/500 dilution.
Immunocytochemistry/ Immunofluorescence: BNIP1 Antibody [NBP2-89153] - Staining BNIP1 in LOVO cells (green). The nuclear counter stain is DAPI (blue). Cells were fixed in paraformaldehyde, permeabilised with 0.25% ...read more
Immunohistochemistry-Paraffin: BNIP1 Antibody [NBP2-89153] - Analysis of paraffin-embedded human placenta tissue using anti-BNIP1 antibody. Counter stained with hematoxylin.
Immunocytochemistry/ Immunofluorescence: BNIP1 Antibody [NBP2-89153] - Staining BNIP1 in HepG2 cells (green). The nuclear counter stain is DAPI (blue). Cells were fixed in paraformaldehyde, permeabilised with 0.25% ...read more
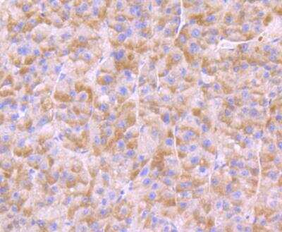
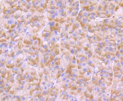
Immunohistochemistry-Paraffin: BNIP1 Antibody [NBP2-89153] - Analysis of paraffin-embedded human liver tissue using anti-BNIP1 antibody. Counter stained with hematoxylin.

Product Details

Summary
Product Discontinued
View other related BNIP1 Primary Antibodies

Order Details


    • Catalog Number
      NBP2-89153
    • Availability
      Product Discontinued

    Can't find what you are looking for? Use our Antibody Concierge Service & we will help you locate your antibody!

    Or feel free to contact us for alternative products.

BNIP1 Antibody Summary

Immunogen
Recombinant protein within Human BNIP1 aa 27-228 / 228. (SwissProt: Q12981 Human; SwissProt: Q8VHI8 Rat)
Localization
Endoplasmic reticulum. Mitochondrion.
Isotype
IgG
Clonality
Polyclonal
Host
Rabbit
Gene
BNIP1
Purity
Protein A purified
Innovator's Reward
Test in a species/application not listed above to receive a full credit towards a future purchase.

Applications/Dilutions

Dilutions
  • Immunocytochemistry/ Immunofluorescence 1:50-1:200
  • Immunohistochemistry
  • Immunohistochemistry-Paraffin 1:50-1:100
  • Western Blot 1:100
Theoretical MW
26 kDa.
Disclaimer note: The observed molecular weight of the protein may vary from the listed predicted molecular weight due to post translational modifications, post translation cleavages, relative charges, and other experimental factors.

Packaging, Storage & Formulations

Storage
Store at 4C short term. Aliquot and store at -20C long term. Avoid freeze-thaw cycles.
Buffer
PBS (pH7.4), 0.2% BSA, 50% Glycerol
Preservative
0.05% Sodium Azide
Concentration
1 mg/ml
Purity
Protein A purified

Alternate Names for BNIP1 Antibody

  • BCL2/adenovirus E1B 19 kDa protein-interacting protein 1
  • BCL2/adenovirus E1B 19kDa interacting protein 1
  • BCL2/adenovirus E1B 19kD-interacting protein 1
  • Nip1
  • SEC20
  • SEC20L
  • Transformation-related gene 8 protein
  • TRG-8
  • vesicle transport protein SEC20

Background

BNIP1 is a member of the BCL2/adenovirus E1B 19 kd-interacting protein (BNIP) family. It interacts with the E1B 19 kDa protein which is responsible for the protection of virally-induced cell death, as well as E1B 19 kDa-like sequences of BCL2, also an apoptotic protector. Alternative splicing of this gene results in four protein products with identical N- and C-termini.

Limitations

This product is for research use only and is not approved for use in humans or in clinical diagnosis. Primary Antibodies are guaranteed for 1 year from date of receipt.

Customers Who Viewed This Item Also Viewed...

H00053407-M13
Species: Hu, Mu, Rt
Applications: ELISA, IHC,  IHC-P, S-ELISA, WB
NBP1-87035
Species: Hu, Rt
Applications: ICC/IF, IHC,  IHC-P, WB
NB100-56098
Species: Ca, Hu, Mu, Rt
Applications: IHC,  IHC-P, IP, WB
AF800
Species: Hu, Mu
Applications: IP, Simple Western, WB
NBP2-16311
Species: Hu, Mu, Rt
Applications: IHC,  IHC-P, WB
NBP2-00702
Species: Hu, Rt
Applications: Flow, ICC/IF, IHC,  IHC-P, WB
NB100-56150
Species: Ch, Hu, Mu(-), Po, Rt, Xp
Applications: IHC,  IHC-P, WB
AF820
Species: Hu, Mu
Applications: ICC, IHC, KO, Simple Western, WB
NBP1-82785
Species: Hu
Applications: IHC,  IHC-P, WB
NB100-93302
Species: Hu
Applications: ICC/IF, IHC,  IHC-P, IP, WB
NBP1-85911
Species: Hu
Applications: ICC/IF, IHC,  IHC-P, WB
NBP1-18891
Species: Hu, Mu
Applications: IP, WB
AF2747
Species: Mu
Applications: ELISA(Cap), ELISA(Det), ELISA(Sta), IHC, IP, WB
NBP1-88558
Species: Hu, Mu
Applications: ICC/IF, IHC,  IHC-P
NBP1-88559
Species: Hu, Rt
Applications: IHC,  IHC-P, WB
NBP2-30725
Species: Hu
Applications: ICC/IF, IHC,  IHC-P, WB
AF816
Species: Hu
Applications: ICC, IHC, WB
NB100-511
Species: Hu, Mu
Applications: IP, WB

Publications for BNIP1 Antibody (NBP2-89153) (0)

There are no publications for BNIP1 Antibody (NBP2-89153).
By submitting your publication information earn gift cards and discounts for future purchases.

Reviews for BNIP1 Antibody (NBP2-89153) (0)

There are no reviews for BNIP1 Antibody (NBP2-89153). By submitting a review you will receive an Amazon e-Gift Card or Novus Product Discount.
  • Review with no image -- $10/€7/£6/$10 CAD/¥70 Yuan/¥1110 Yen
  • Review with an image -- $25/€18/£15/$25 CAD/¥150 Yuan/¥2500 Yen

Product General Protocols

Find general support by application which include: protocols, troubleshooting, illustrated assays, videos and webinars.

Video Protocols

WB Video Protocol
ICC/IF Video Protocol

FAQs for BNIP1 Antibody (NBP2-89153) (0)

There are no specific FAQs related to this product. Read our general customer & technical service FAQs.

Secondary Antibodies

 

Isotype Controls

Additional BNIP1 Products

Research Areas for BNIP1 Antibody (NBP2-89153)

Find related products by research area.

Blogs on BNIP1

There are no specific blogs for BNIP1, but you can read our latest blog posts.

Contact Information

Product PDFs

Calculators

Concentration Calculator

The concentration calculator allows you to quickly calculate the volume, mass or concentration of your vial. Simply enter your mass, volume, or concentration values for your reagent and the calculator will determine the rest.

=
÷

Review this Product

Be the first to review our BNIP1 Antibody and receive a gift card or discount.

Bioinformatics

Gene Symbol BNIP1