BMI-1 Antibody (JJ093-3)

Images

 
Western Blot: BMI-1 Antibody (JJ093-3) [NBP2-67916] - Western blot analysis of BMI-1 on different lysates. Proteins were transferred to a PVDF membrane and blocked with 5% BSA in PBS for 1 hour at room temperature. The ...read more
Immunocytochemistry/ Immunofluorescence: BMI-1 Antibody (JJ093-3) [NBP2-67916] - Staining Bmi1 in SW480 cells (green). The nuclear counter stain is DAPI (blue). Cells were fixed in paraformaldehyde, permeabilised with ...read more
Immunohistochemistry-Paraffin: BMI-1 Antibody (JJ093-3) [NBP2-67916] - Analysis of Bmi1 on different lysates using anti-Bmi1 antibody at 1/1,000 dilution. Positive control: Lane 1: K562 Lane 2: PC-12
Immunocytochemistry/ Immunofluorescence: BMI-1 Antibody (JJ093-3) [NBP2-67916] - Staining Bmi1 in A549 cells (green). The nuclear counter stain is DAPI (blue). Cells were fixed in paraformaldehyde, permeabilised with ...read more
Immunocytochemistry/ Immunofluorescence: BMI-1 Antibody (JJ093-3) [NBP2-67916] - Staining Bmi1 in Hela cells (green). The nuclear counter stain is DAPI (blue). Cells were fixed in paraformaldehyde, permeabilised with ...read more
Immunohistochemistry-Paraffin: BMI-1 Antibody (JJ093-3) [NBP2-67916] - Analysis of paraffin-embedded human breast carcinoma tissue using anti-Bmi1 antibody. Counter stained with hematoxylin.
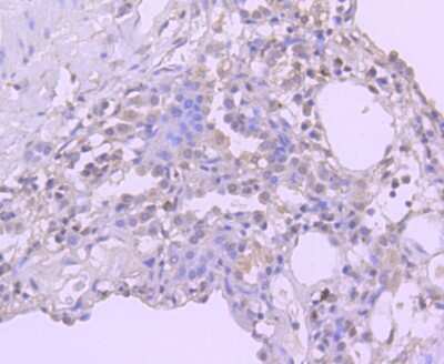
Immunohistochemistry-Paraffin: BMI-1 Antibody (JJ093-3) [NBP2-67916] - Analysis of paraffin-embedded human lung cancer tissue using anti-Bmi1 antibody. Counter stained with hematoxylin.
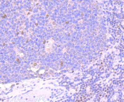
Immunohistochemistry-Paraffin: BMI-1 Antibody (JJ093-3) [NBP2-67916] - Analysis of paraffin-embedded human tonsil tissue using anti-Bmi1 antibody. Counter stained with hematoxylin.
Immunohistochemistry-Paraffin: BMI-1 Antibody (JJ093-3) [NBP2-67916] - Analysis of paraffin-embedded rat smooth muscle tissue using anti-Bmi1 antibody. Counter stained with hematoxylin.

Product Details

Summary
Product Discontinued
View other related BMI-1 Primary Antibodies

Order Details


    • Catalog Number
      NBP2-67916
    • Availability
      Product Discontinued

    Can't find what you are looking for? Use our Antibody Concierge Service & we will help you locate your antibody!

    Or feel free to contact us for alternative products.

BMI-1 Antibody (JJ093-3) Summary

Additional Information
Recombinant Monoclonal Antibody.
Immunogen
Synthetic peptide within Human BMI-1 aa 282-326 / 326. (SwissProt: P35226 Human; Entrez Gene:307151 Rat)
Localization
Nucleus, Cytoplasm.
Isotype
IgG
Clonality
Monoclonal
Host
Rabbit
Gene
BMI1
Purity
Protein A purified
Innovator's Reward
Test in a species/application not listed above to receive a full credit towards a future purchase.

Applications/Dilutions

Dilutions
  • Immunocytochemistry/ Immunofluorescence 1:50-1:200
  • Immunohistochemistry
  • Immunohistochemistry-Paraffin 1:50-1:200
  • Western Blot 1:500-1:2000
Publications
Read Publication using NBP2-67916.

Packaging, Storage & Formulations

Storage
Store at 4C short term. Aliquot and store at -20C long term. Avoid freeze-thaw cycles.
Buffer
TBS (pH7.4), 0.05% BSA, 40% Glycerol
Preservative
0.05% Sodium Azide
Concentration
1 mg/ml
Purity
Protein A purified

Alternate Names for BMI-1 Antibody (JJ093-3)

  • B lymphoma Mo-MLV insertion region 1 homolog (mouse)
  • B lymphoma Mo-MLV insertion region 1 homolog
  • BMI1 polycomb ring finger oncogene
  • BMI1
  • BMI-1
  • FLVI2/BMI1
  • MGC12685
  • murine leukemia viral (bmi-1) oncogene homolog
  • PCGF4
  • polycomb complex protein BMI-1
  • polycomb group protein Bmi1
  • polycomb group ring finger 4
  • RING finger protein 51
  • RNF51
  • RNF51Polycomb group RING finger protein 4

Background

Bmi1 polycomb ring finger oncogene regulates the cell cycle inhibitor genes p16 and p19, with implications in hematopoiesis, skeletal patterning, neurological functions, and development of the cerebellum. Bmi 1 has been shown to induce telomerase activity and immortalize human mammary epithelial cells, and extend the replicative life span of human fibroblasts by suppressing the p16-dependent senescence pathway. Bmi-1 is also required for efficient self-renewing cell division in adult hematopoietic and neural stem cells.

Aberrant expression of Bmi-1 has been found in several types of cancer in the bladder, skin, blood, prostate, breast, ovaries, andcolon. Its overexpression is especially pronounced in mantle cell lymphomas. Thereforem Bmi1 antibodies will be useful tools for many cancer development studies.

Limitations

This product is for research use only and is not approved for use in humans or in clinical diagnosis. Primary Antibodies are guaranteed for 1 year from date of receipt.

Customers Who Viewed This Item Also Viewed...

NB200-106
Species: Mu, Rt
Applications: ELISA, ICC/IF, IHC, IHC-Fr,  IHC-P, WB
NBP1-96140
Species: Hu, Mu
Applications: ChIP, Flow-IC, Flow, ICC/IF, IP, WB
AF4767
Species: Hu, Mu
Applications: ICC, WB
NB600-302
Species: Bv, Dr, Hu, Mu
Applications: ChIP, ELISA, Flow-IC, Flow, IB, ICC/IF, IHC, IHC-Fr,  IHC-P, IP, PLA, S-ELISA, Simple Western, WB
NBP1-88856
Species: Hu, Mu, Rt
Applications: IHC,  IHC-P, WB
NB100-1240
Species: Hu
Applications: PEP-ELISA, WB
H00006045-M01
Species: Hu, I, Mu
Applications: ELISA, ICC/IF, KD, S-ELISA, WB
NBP2-37370
Species: Hu
Applications: CyTOF-ready, ELISA, Flow, IHC,  IHC-P, WB
NB200-103
Species: Hu, Mu, Rt, Xp(-), Ye
Applications: CyTOF-ready, ELISA, Flow-IC, Flow, ICC/IF, IHC, IHC-Fr,  IHC-P, IP, WB
AF1759
Species: Hu, Mu
Applications: ChIP, ICC, IP, Simple Western, WB
NBP2-29463
Species: Pm, Hu, Pm, Mu
Applications: Flow, ICC/IF, IHC,  IHC-P, WB
NB100-317
Species: Hu, Mu, Rt
Applications: ChIP, ChIP, Flow, ICC/IF, IHC,  IHC-P, IP, WB
NB120-16518
Species: Hu, Mu, Po, Rt
Applications: ChIP, ELISA, Flow, ICC/IF, IHC, IHC-Fr,  IHC-P, WB
NB100-524
Species: Hu, Mu
Applications: Flow-IC, Flow, ICC/IF, IHC, IHC-Fr,  IHC-P, IP, WB
7268-CT
Species: Hu
Applications: BA
NBP2-67916
Species: Hu, Rt
Applications: WB, ICC/IF, IHC

Publications for BMI-1 Antibody (NBP2-67916)(1)

We have publications tested in 1 confirmed species: Human.


Filter By Application
All Applications
Filter By Species
Human
(1)
All Species

Reviews for BMI-1 Antibody (NBP2-67916) (0)

There are no reviews for BMI-1 Antibody (NBP2-67916). By submitting a review you will receive an Amazon e-Gift Card or Novus Product Discount.
  • Review with no image -- $10/€7/£6/$10 CAD/¥70 Yuan/¥1110 Yen
  • Review with an image -- $25/€18/£15/$25 CAD/¥150 Yuan/¥2500 Yen

Product General Protocols

Find general support by application which include: protocols, troubleshooting, illustrated assays, videos and webinars.

Video Protocols

WB Video Protocol
ICC/IF Video Protocol

FAQs for BMI-1 Antibody (NBP2-67916) (0)

There are no specific FAQs related to this product. Read our general customer & technical service FAQs.

Contact Information

Product PDFs

Calculators

Concentration Calculator

The concentration calculator allows you to quickly calculate the volume, mass or concentration of your vial. Simply enter your mass, volume, or concentration values for your reagent and the calculator will determine the rest.

=
÷

Review this Product

Be the first to review our BMI-1 Antibody (JJ093-3) and receive a gift card or discount.

Bioinformatics

Gene Symbol BMI1