ATG9A Antibody (SC67-05)

Images

 
Western Blot: ATG9A Antibody (SC67-05) [NBP2-67616] - Western blot analysis of ATG9A on HepG2 cell lysates. Proteins were transferred to a PVDF membrane and blocked with 5% BSA in PBS for 1 hour at room temperature. The ...read more
Immunocytochemistry/ Immunofluorescence: ATG9A Antibody (SC67-05) [NBP2-67616] - Staining ATG9A in Hela cells (green). The nuclear counter stain is DAPI (blue). Cells were fixed in paraformaldehyde, permeabilised with ...read more
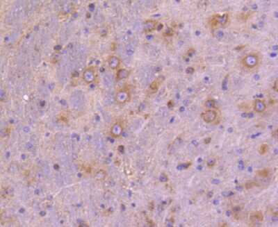
Immunohistochemistry-Paraffin: ATG9A Antibody (SC67-05) [NBP2-67616] - Analysis of paraffin-embedded rat brain tissue using anti-ATG9A antibody. Counter stained with hematoxylin.
Immunocytochemistry/ Immunofluorescence: ATG9A Antibody (SC67-05) [NBP2-67616] - Staining ATG9A in 293 cells (green). The nuclear counter stain is DAPI (blue). Cells were fixed in paraformaldehyde, permeabilised with ...read more
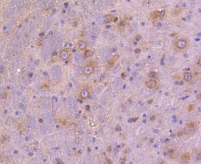
Immunohistochemistry-Paraffin: ATG9A Antibody (SC67-05) [NBP2-67616] - Analysis of paraffin-embedded mouse brain tissue using anti-ATG9A antibody. Counter stained with hematoxylin.
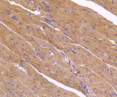
Immunohistochemistry-Paraffin: ATG9A Antibody (SC67-05) [NBP2-67616] - Analysis of paraffin-embedded mouse heart tissue using anti-ATG9A antibody. Counter stained with hematoxylin.

Product Details

Summary
Product Discontinued
View other related ATG9A Primary Antibodies

Order Details


    • Catalog Number
      NBP2-67616
    • Availability
      Product Discontinued

    Can't find what you are looking for? Use our Antibody Concierge Service & we will help you locate your antibody!

    Or feel free to contact us for alternative products.

ATG9A Antibody (SC67-05) Summary

Additional Information
Recombinant Monoclonal Antibody.
Immunogen
Synthetic peptide within Human ATG9A aa 799-839 / 839. (SwissProt: Q7Z3C6 Human; SwissProt: Q68FE2 Mouse; SwissProt: Q5FWU3 Rat)
Localization
Cytoplasmic vesicle, Golgi apparatus, Late endosome membrane, Endoplasmic reticulum membrane.
Isotype
IgG
Clonality
Monoclonal
Host
Rabbit
Gene
ATG9A
Purity
Protein A purified
Innovator's Reward
Test in a species/application not listed above to receive a full credit towards a future purchase.

Applications/Dilutions

Dilutions
  • Immunocytochemistry/ Immunofluorescence 1:50-1:200
  • Immunohistochemistry
  • Immunohistochemistry-Paraffin 1:50-1:200
  • Immunoprecipitation
  • Western Blot 1:500-1:2000
Publications
Read Publication using
NBP2-67616 in the following applications:

  • WB
    1 publication

Packaging, Storage & Formulations

Storage
Store at 4C short term. Aliquot and store at -20C long term. Avoid freeze-thaw cycles.
Buffer
TBS (pH7.4), 0.05% BSA, 40% Glycerol
Preservative
0.05% Sodium Azide
Concentration
1 mg/ml
Purity
Protein A purified

Alternate Names for ATG9A Antibody (SC67-05)

  • APG9 autophagy 9-like 1 (S. cerevisiae)
  • APG9 autophagy 9-like 1
  • APG9L1APG9-like 1
  • ATG9 autophagy related 9 homolog A (S. cerevisiae)
  • autophagy 9-like 1 protein
  • autophagy-related protein 9A
  • FLJ22169
  • mATG9
  • MGD3208

Background

Survival of environmental stress conditions requires the maintenance of cellular homeostasis. To preserve this balance, cells utilize a degradative mechanism known as autophagy. During this process, in response to starvation or other stresses, bulk cytoplasm is non-specifically sequestered within double-membrane vesicles and delivered to the lysosome/vacuole for subsequent degradation and recycling. Atg9 is the only integral membrane protein required for autophagosome formation and is considered a membrane carrier in autophagy-related pathways.

Limitations

This product is for research use only and is not approved for use in humans or in clinical diagnosis. Primary Antibodies are guaranteed for 1 year from date of receipt.

Customers Who Viewed This Item Also Viewed...

NBP2-41217
Species: Hu, Mu, Rt
Applications: ELISA, ICC/IF, IHC,  IHC-P, WB
NBP1-77169
Species: Hu, Mu, Rt
Applications: ELISA, ICC/IF, WB
NB100-2331
Species: Am, Ca, Fi, Hu, Mu, Pl, Rt, Ze
Applications: ChIP, ChIP, ELISA, Flow, IB, ICC/IF, IHC-WhMt, IHC, IHC-Fr,  IHC-P, IP, Simple Western, SB, WB
NB100-56705
Species: Bv, Ca, Hu, Mu, Rt
Applications: ICC/IF, IHC,  IHC-P, IP, KO, Simple Western, WB
NBP1-88879
Species: Hu, Mu, Rt
Applications: ICC/IF, IHC,  IHC-P, WB
NB110-60928
Species: Al, Bv, Ca, Hu, Mu, Pm, Rt
Applications: EM, IHC,  IHC-P, WB
NBP2-67327
Species: Hu, Mu, Rt
Applications: Flow, ICC/IF, IHC,  IHC-P, IP, WB
NBP1-84267
Species: Hu
Applications: ICC/IF, IHC,  IHC-P, WB
MAB6608
Species: Hu, Mu
Applications: CyTOF-ready, ICC, IHC, ICFlow, Simple Western, WB
AF1916
Species: Hu
Applications: ICC, IHC, WB
NBP2-34294
Species: Hu, Mu, Rt
Applications: Flow, IHC,  IHC-P
NBP2-67486
Species: Hu, Mu, Rt
Applications: Flow, ICC/IF, IHC,  IHC-P, WB
NB110-53818
Species: Al, Bv, Dr, Fi, Gp, Hu, Mu, Po, Pm, Rt, Xp, Ze
Applications: EM, ELISA, Flow, IB, ICC/IF, IHC,  IHC-P, IP, KD, KO, PLA, RIA, Simple Western, WB
NBP1-18885
Species: Hu
Applications: ICC/IF, IHC,  IHC-P, IP, KO, WB
NBP2-52452
Species: Hu
Applications: CyTOF-ready, ELISA, Flow, IHC,  IHC-P, WB
NB100-77279
Species: Hu, Mu
Applications: IP, WB

Publications for ATG9A Antibody (NBP2-67616)(1)

We have publications tested in 1 confirmed species: Mouse.

We have publications tested in 1 application: WB.


Filter By Application
WB
(1)
All Applications
Filter By Species
Mouse
(1)
All Species

Reviews for ATG9A Antibody (NBP2-67616) (0)

There are no reviews for ATG9A Antibody (NBP2-67616). By submitting a review you will receive an Amazon e-Gift Card or Novus Product Discount.
  • Review with no image -- $10/€7/£6/$10 CAD/¥70 Yuan/¥1110 Yen
  • Review with an image -- $25/€18/£15/$25 CAD/¥150 Yuan/¥2500 Yen

Product General Protocols

Find general support by application which include: protocols, troubleshooting, illustrated assays, videos and webinars.

Video Protocols

WB Video Protocol
ICC/IF Video Protocol

FAQs for ATG9A Antibody (NBP2-67616) (0)

There are no specific FAQs related to this product. Read our general customer & technical service FAQs.

Secondary Antibodies

 

Isotype Controls

Additional ATG9A Products

Research Areas for ATG9A Antibody (NBP2-67616)

Find related products by research area.

Blogs on ATG9A.

Liver ASK1 activates autophagy to protect against hepatic fat accumulation, non-alcoholic steatohepatitis and fibrosis
By Jamshed Arslan, Pharm. D., PhD. The most common chronic liver disorder worldwide is non-alcoholic fatty liver disease (NAFLD). This obesity-linked disorder can manifest as hepatic fat accumulation (steatosis) wit...  Read full blog post.

Mechanisms of Neurodegeneration: Protein aggregation and failure of autophagy
By Michalina Hanzel, PhDIn a series of three blog posts I will briefly explore the major cellular mechanisms responsible for many neurodegenerative disorders. The first, and perhaps the most apparent, is the accumulat...  Read full blog post.

Animal Models to Study Autophagy
By Christina Towers, PhD What is autophagy?Autophagy is the catabolic process that degrades cytoplasmic material via the lysosome. The process of macroautophagy was originally characterized in yeast, where the...  Read full blog post.

Atg9b - a marker for autophagosome induction and assembly
Atg9 is the only essential transmembrane protein involved in cellular autophagy. Autophagy regulates cellular homeostasis by allowing the turnover and recycling of misfolded proteins and damaged organelles. Formation of the double-membrane isolatio...  Read full blog post.

ATG9A - early marker autophagosome assembly
ATG9A is the only essential integral membrane protein involved in autophagy. ATG9A contains six transmembrane domains and initiates the assembly of autophagosomes. The autophagosome is a double-membrane structure that engulfs and eventually degrade...  Read full blog post.

Contact Information

Product PDFs

Calculators

Concentration Calculator

The concentration calculator allows you to quickly calculate the volume, mass or concentration of your vial. Simply enter your mass, volume, or concentration values for your reagent and the calculator will determine the rest.

=
÷

Review this Product

Be the first to review our ATG9A Antibody (SC67-05) and receive a gift card or discount.

Bioinformatics

Gene Symbol ATG9A