ATF2 Antibody (SZ17-01)

Images

 
Western Blot: ATF2 Antibody (SZ17-01) [NBP2-67354] - Analysis of ATF2 on THP-1 cell lysates. Proteins were transferred to a PVDF membrane and blocked with 5% BSA in PBS for 1 hour at room temperature. The primary ...read more
Immunocytochemistry/ Immunofluorescence: ATF2 Antibody (SZ17-01) [NBP2-67354] - Staining ATF2 in PC-12 cells (green). The nuclear counter stain is DAPI (blue). Cells were fixed in paraformaldehyde, permeabilised with ...read more
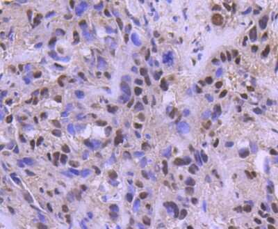
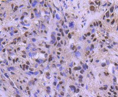
Immunohistochemistry-Paraffin: ATF2 Antibody (SZ17-01) [NBP2-67354] - Analysis of paraffin-embedded human breast carcinoma tissue using anti-ATF2 antibody. Counter stained with hematoxylin.
Immunocytochemistry/ Immunofluorescence: ATF2 Antibody (SZ17-01) [NBP2-67354] - Staining ATF2 in Hela cells (green). The nuclear counter stain is DAPI (blue). Cells were fixed in paraformaldehyde, permeabilised with ...read more
Immunocytochemistry/ Immunofluorescence: ATF2 Antibody (SZ17-01) [NBP2-67354] - Staining ATF2 in MCF-7 cells (green). The nuclear counter stain is DAPI (blue). Cells were fixed in paraformaldehyde, permeabilised with ...read more
Immunocytochemistry/ Immunofluorescence: ATF2 Antibody (SZ17-01) [NBP2-67354] - Staining ATF2 in SW480 cells (green). The nuclear counter stain is DAPI (blue). Cells were fixed in paraformaldehyde, permeabilised with ...read more

Product Details

Summary
Product Discontinued
View other related ATF2 Primary Antibodies

Order Details


    • Catalog Number
      NBP2-67354
    • Availability
      Product Discontinued

    Can't find what you are looking for? Use our Antibody Concierge Service & we will help you locate your antibody!

    Or feel free to contact us for alternative products.

ATF2 Antibody (SZ17-01) Summary

Additional Information
Recombinant Monoclonal Antibody.
Immunogen
Synthetic peptide within Human ATF2 aa 456-505 / 505. (SwissProt: P15336 Human; SwissProt: Q00969 Rat)
Localization
Nucleus, Membrane, Cytoplasm, Mitochondrion, Mitochondrion outer membrane.
Isotype
IgG
Clonality
Monoclonal
Host
Rabbit
Gene
ATF2
Purity
Protein A purified
Innovator's Reward
Test in a species/application not listed above to receive a full credit towards a future purchase.

Applications/Dilutions

Dilutions
  • Immunocytochemistry/ Immunofluorescence 1:50-1:200
  • Immunohistochemistry
  • Immunohistochemistry-Paraffin 1:50-1:200
  • Immunoprecipitation
  • Western Blot 1:500-1:1000

Packaging, Storage & Formulations

Storage
Store at 4C short term. Aliquot and store at -20C long term. Avoid freeze-thaw cycles.
Buffer
TBS (pH7.4), 0.05% BSA, 40% Glycerol
Preservative
0.05% Sodium Azide
Concentration
1 mg/ml
Purity
Protein A purified

Alternate Names for ATF2 Antibody (SZ17-01)

  • activating transcription factor 2formerly
  • ATF2
  • cAMP responsive element binding protein 2
  • cAMP-responsive element-binding protein 2
  • CREB2
  • CREBP1
  • CRE-BP1
  • cyclic AMP-dependent transcription factor ATF-2
  • HB16
  • MGC111558
  • mXBP
  • TREB7

Background

ATF-2 (activating transcription factor-2, CRE-BP1) is a transcription factor that binds the cAMP response element (CRE) and AP-1 response element and is abundantly expressed in the brain. Various forms of cellular stress, including genotoxic agents, inflammatory cytokines, and UV irradiation, stimulate the transcriptional activity of ATF-2 (2). SAPK and p38 MAPK can activate, in response to cellular stress, ATF-2 by phosphorylating this protein at Thr69 and Thr71. Mutations of these sites result in the loss of stress-induced transcription by ATF-2 (2-4).

Limitations

This product is for research use only and is not approved for use in humans or in clinical diagnosis. Primary Antibodies are guaranteed for 1 year from date of receipt.

Customers Who Viewed This Item Also Viewed...

MAB8930
Species: Hu
Applications: ICC, Simple Western, WB
AF1230
Species: Hu, Mu, Rt
Applications: IHC, KO, WB
MAB17761
Species: Hu, Mu, Rt
Applications: ICC, WB
NBP2-50037
Species: Hu, Mu, Rt
Applications: ICC/IF, IHC, KO, WB
DYC2510-2
Species: Hu, Mu, Rt
Applications: ELISA
AF8691
Species: Hu, Mu, Rt
Applications: IHC, KO, Simple Western, WB
212-GD
Species: Hu
Applications: Bind, BA
NBP2-37568
Species: Hu
Applications: ELISA, Flow, ICC/IF, IHC,  IHC-P, WB
NBP1-68874
Species: Hu, Mu, Rt
Applications: PEP-ELISA, WB
NBP2-00764
Species: Hu, Mu, Rt
Applications: Flow, IHC,  IHC-P, WB
H00010598-M01
Species: Hu, Mu, Rt
Applications: ELISA, ICC/IF, S-ELISA, WB
NBP1-81575
Species: Hu, Mu, Rt
Applications: ICC/IF, IHC,  IHC-P, WB
AF2214
Species: Hu
Applications: ICC, IHC, WB
NBP3-16602
Species: Hu, Mu, Rt
Applications: IHC,  IHC-P, IP, WB
NBP1-89544
Species: Hu
Applications: ChIP-EXO-SEQ, ICC/IF, IHC,  IHC-P, WB
1310-SE
Species: Hu
Applications: EnzAct
NBP2-22203
Species: Hu, Pm, Mu, Rt
Applications: ELISA, Flow, ICC/IF, IHC,  IHC-P, WB
NBP2-13304
Species: Hu
Applications: ICC/IF, IHC,  IHC-P, WB
NBP2-67354
Species: Hu, Rt
Applications: WB, ICC/IF, IHC, IP

Publications for ATF2 Antibody (NBP2-67354) (0)

There are no publications for ATF2 Antibody (NBP2-67354).
By submitting your publication information earn gift cards and discounts for future purchases.

Reviews for ATF2 Antibody (NBP2-67354) (0)

There are no reviews for ATF2 Antibody (NBP2-67354). By submitting a review you will receive an Amazon e-Gift Card or Novus Product Discount.
  • Review with no image -- $10/€7/£6/$10 CAD/¥70 Yuan/¥1110 Yen
  • Review with an image -- $25/€18/£15/$25 CAD/¥150 Yuan/¥2500 Yen

Product General Protocols

Find general support by application which include: protocols, troubleshooting, illustrated assays, videos and webinars.

Video Protocols

WB Video Protocol
ICC/IF Video Protocol

FAQs for ATF2 Antibody (NBP2-67354) (0)

There are no specific FAQs related to this product. Read our general customer & technical service FAQs.

Contact Information

Product PDFs

Calculators

Concentration Calculator

The concentration calculator allows you to quickly calculate the volume, mass or concentration of your vial. Simply enter your mass, volume, or concentration values for your reagent and the calculator will determine the rest.

=
÷

Review this Product

Be the first to review our ATF2 Antibody (SZ17-01) and receive a gift card or discount.

Bioinformatics

Gene Symbol ATF2