ATF1 Antibody (JJ207-04)

Images

 
Immunocytochemistry/ Immunofluorescence: ATF1 Antibody (JJ207-04) [NBP2-67856] - Staining ATF1 in HUVEC cells (green). The nuclear counter stain is DAPI (blue). Cells were fixed in paraformaldehyde, permeabilised with ...read more
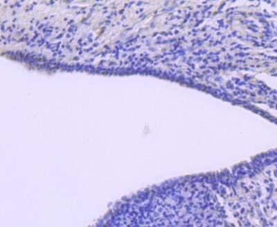
Immunohistochemistry-Paraffin: ATF1 Antibody (JJ207-04) [NBP2-67856] - Analysis of paraffin-embedded human lung cancer tissue using anti-ATF1 antibody. Counter stained with hematoxylin.
Flow Cytometry: ATF1 Antibody (JJ207-04) [NBP2-67856] - Analysis of Hela cells with ATF1 antibody at 1/50 dilution (red) compared with an unlabelled control (cells without incubation with primary antibody; black). Alexa ...read more
Immunocytochemistry/ Immunofluorescence: ATF1 Antibody (JJ207-04) [NBP2-67856] - Staining ATF1 in Hela cells (green). The nuclear counter stain is DAPI (blue). Cells were fixed in paraformaldehyde, permeabilised with ...read more
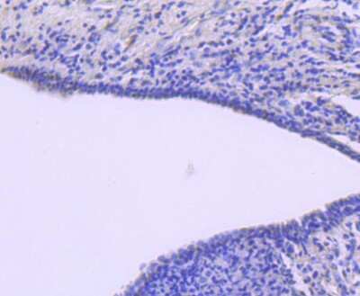
Immunohistochemistry-Paraffin: ATF1 Antibody (JJ207-04) [NBP2-67856] - Analysis of paraffin-embedded human breast carcinoma tissue using anti-ATF1 antibody. Counter stained with hematoxylin.

Product Details

Summary
Product Discontinued
View other related ATF1 Primary Antibodies

Order Details


    • Catalog Number
      NBP2-67856
    • Availability
      Product Discontinued

    Can't find what you are looking for? Use our Antibody Concierge Service & we will help you locate your antibody!

    Or feel free to contact us for alternative products.

ATF1 Antibody (JJ207-04) Summary

Additional Information
Recombinant Monoclonal Antibody.
Immunogen
Synthetic peptide within Human ATF1 aa 222-271 / 271. (SwissProt: P18846 Human)
Localization
Nucleus.
Isotype
IgG
Clonality
Monoclonal
Host
Rabbit
Gene
ATF1
Purity
Protein A purified
Innovator's Reward
Test in a species/application not listed above to receive a full credit towards a future purchase.

Applications/Dilutions

Dilutions
  • Flow Cytometry 1:50-1:100
  • Immunocytochemistry/ Immunofluorescence 1:50-1:200
  • Immunohistochemistry
  • Immunohistochemistry-Paraffin 1:50-1:200
  • Western Blot 1:500-1:1000

Packaging, Storage & Formulations

Storage
Store at 4C short term. Aliquot and store at -20C long term. Avoid freeze-thaw cycles.
Buffer
TBS (pH7.4), 0.05% BSA, 40% Glycerol
Preservative
0.05% Sodium Azide
Concentration
1 mg/ml
Purity
Protein A purified

Alternate Names for ATF1 Antibody (JJ207-04)

  • activating transcription factor 1FUS/ATF-1
  • ATF1
  • cAMP-dependent transcription factor ATF-1
  • EWS-ATF1
  • Protein TREB36
  • TREB36
  • TREB36cyclic AMP-dependent transcription factor ATF-1

Background

ATF2 (Activating Transcription Factor 2, CREBP, HB16, CREB2, TREB7) is a member of the ATF/CREB family of basic region leucine zipper DNA binding proteins that regulates transcription by binding to a consensus cAMP response element (CRE) in the promoter of various viral and cellular genes. Many of these genes are important in cell growth and differentiation, and in stress and immune responses. ATF2 is a nuclear protein that binds DNA as a dimer and can form dimers with members of the ATF/CREB and Jun/Fos families. It is a stronger activator as a heterodimer with cJun than as a homodimer. Several isoforms of ATF2 arise by differential splicing. The stable native full length ATF2 is transcriptionally inactive as a result of an inhibitory direct intramolecular interaction of its carboxy terminal DNA binding domain with the amino terminal transactivation domain. Following dimerization ATF2 becomes a short lived protein that undergoes ubiquitination and proteolysis, seemingly in a protein phosphatase-dependent mechanism. Stimulation of the transcriptional activity of ATF2 occurs following cellular stress induced by several genotoxic agents, inflammatory cytokines, and UV irradiation. This activation requires phosphorylation of two threonine residues in ATF2 by both JNK/SAP kinase and p38 MAP kinase. ATF2 is abundantly expressed in brain.

Limitations

This product is for research use only and is not approved for use in humans or in clinical diagnosis. Primary Antibodies are guaranteed for 1 year from date of receipt.

Customers Who Viewed This Item Also Viewed...

DYC2510-2
Species: Hu, Mu, Rt
Applications: ELISA
212-GD
Species: Hu
Applications: Bind, BA
NBP2-67471
Species: Hu, Mu, Rt
Applications: ICC/IF, IHC,  IHC-P, WB
1310-SE
Species: Hu
Applications: EnzAct
NB200-182
Species: Hu, Mu
Applications: IHC,  IHC-P, IP, Simple Western, WB
NB100-81798
Species: Hu, Mu, Rt
Applications: ICC/IF, IHC,  IHC-P, WB
NBP2-50037
Species: Hu, Mu, Rt
Applications: ICC/IF, IHC, KO, WB
AF1230
Species: Hu, Mu, Rt
Applications: IHC, KO, WB
NBP1-81760
Species: Hu, Mu, Rt
Applications: ChIP-EXO-SEQ, IHC,  IHC-P, WB
MAB2676
Species: Hu, Mu, Rt
Applications: ICC, WB
DYC1825-2
Species: Hu, Mu, Rt
Applications: ELISA
AF2214
Species: Hu
Applications: ICC, IHC, WB
NBP3-16602
Species: Hu, Mu, Rt
Applications: IHC,  IHC-P, IP, WB
NBP1-89544
Species: Hu
Applications: ChIP-EXO-SEQ, ICC/IF, IHC,  IHC-P, WB
NBP2-13304
Species: Hu
Applications: ICC/IF, IHC,  IHC-P, WB
AF8691
Species: Hu, Mu, Rt
Applications: IHC, KO, Simple Western, WB

Publications for ATF1 Antibody (NBP2-67856) (0)

There are no publications for ATF1 Antibody (NBP2-67856).
By submitting your publication information earn gift cards and discounts for future purchases.

Reviews for ATF1 Antibody (NBP2-67856) (0)

There are no reviews for ATF1 Antibody (NBP2-67856). By submitting a review you will receive an Amazon e-Gift Card or Novus Product Discount.
  • Review with no image -- $10/€7/£6/$10 CAD/¥70 Yuan/¥1110 Yen
  • Review with an image -- $25/€18/£15/$25 CAD/¥150 Yuan/¥2500 Yen

Product General Protocols

Find general support by application which include: protocols, troubleshooting, illustrated assays, videos and webinars.

Video Protocols

WB Video Protocol
ICC/IF Video Protocol

FAQs for ATF1 Antibody (NBP2-67856) (0)

There are no specific FAQs related to this product. Read our general customer & technical service FAQs.

Contact Information

Product PDFs

Calculators

Concentration Calculator

The concentration calculator allows you to quickly calculate the volume, mass or concentration of your vial. Simply enter your mass, volume, or concentration values for your reagent and the calculator will determine the rest.

=
÷

Review this Product

Be the first to review our ATF1 Antibody (JJ207-04) and receive a gift card or discount.

Bioinformatics

Gene Symbol ATF1