ATAD2 Antibody (CL0182) - Azide and BSA Free

Images

 
Lane 1: Marker [kDa]Lane 2: ATAD2 Over-expression Lysate (Co-expressed with a C-terminal myc-DDK tag in mammalian HEK293T cells) Lane 3: Negative control (vector only transfected HEK293T lysate)Lane 4: U-251
Orthogonal Strategies: Analysis in human testis and skeletal muscle tissues using NBP3-44437 antibody. Corresponding ATAD2 RNA-seq data are presented for the same tissues.
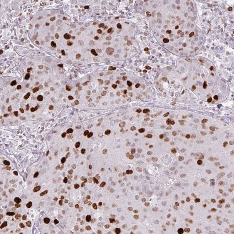
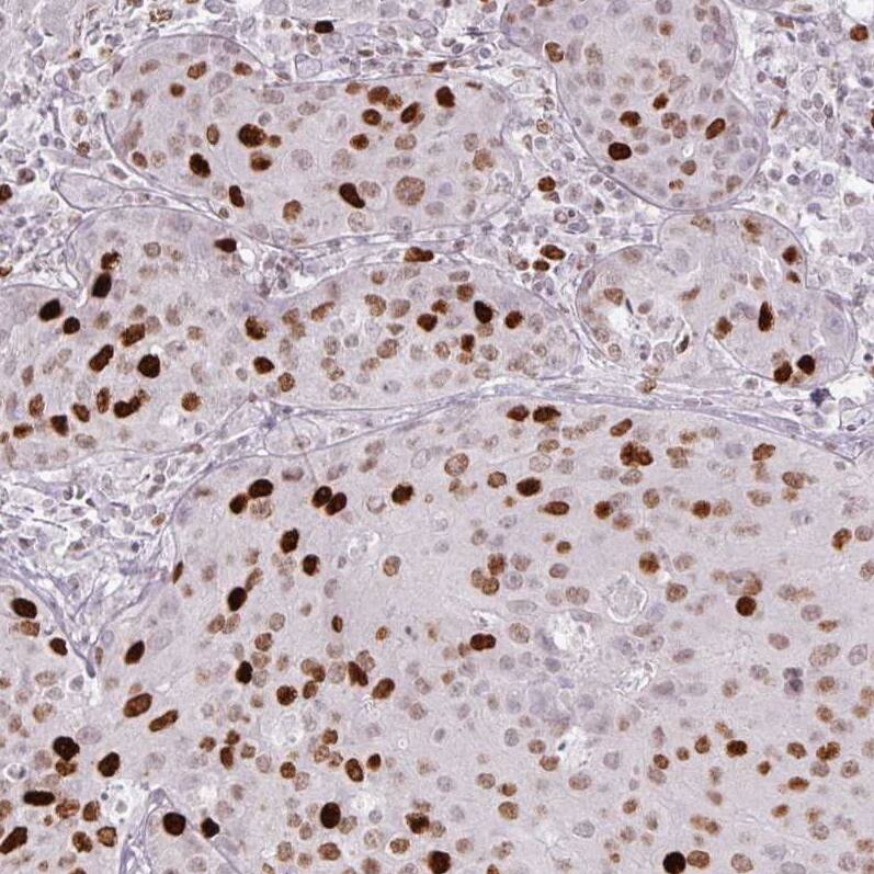
Staining of human breast cancer shows moderate to strong nuclear positivity in tumor cells.
Staining of human skeletal muscle shows no nuclear positivity in striated muscle fibers as expected.
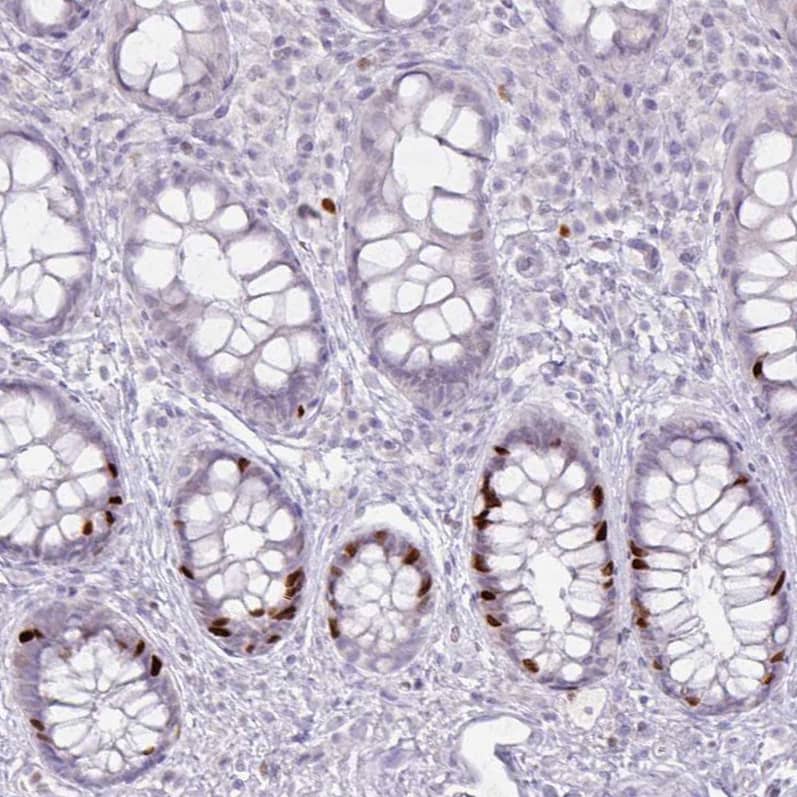
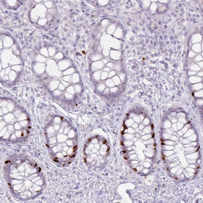
Staining of human rectum shows strong nuclear positivity in a subset of glandular cells.
Genetic Strategies: Analysis in U-251MG cells transfected with control siRNA, target specific siRNA probe #1 and #2, using Anti-ATAD2 antibody. Remaining relative intensity is presented. Loading control: ...read more
Staining of MCF7 cells using the Anti-ATAD2 monoclonal antibody) .
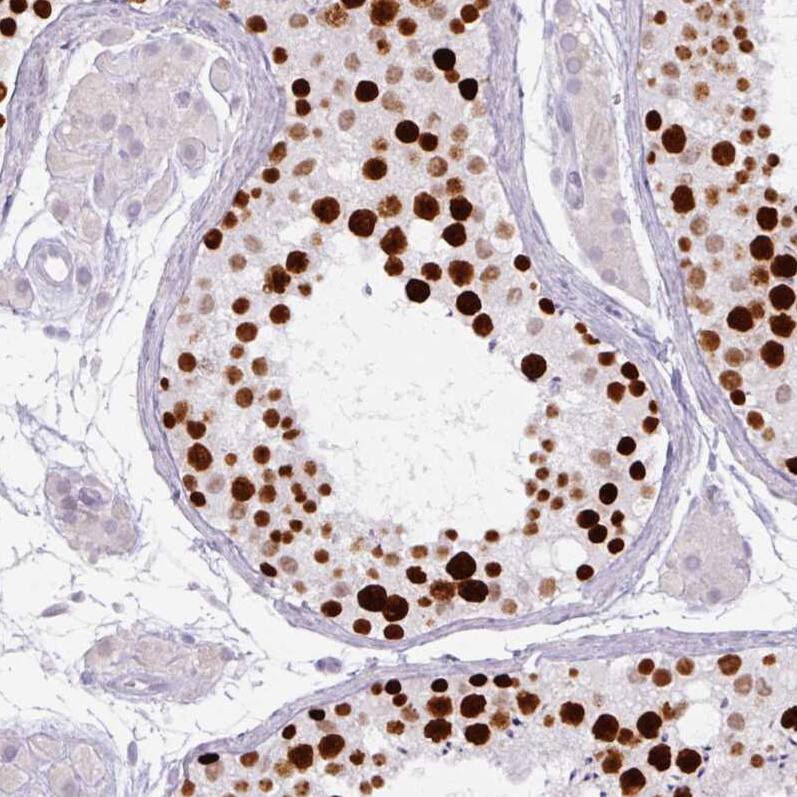
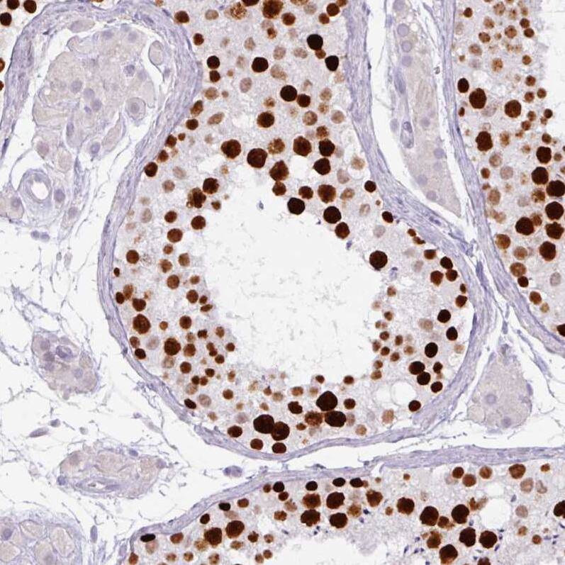
Staining of human testis shows moderate to strong nuclear positivity in cells in seminiferous ducts.

Product Details

Summary
Reactivity HuSpecies Glossary
Applications WB, Simple Western, ICC/IF, IHC
Clone
CL0182
Clonality
Monoclonal
Host
Mouse
Conjugate
Unconjugated
Format
Azide and BSA Free
Concentration
LYOPH

Order Details

ATAD2 Antibody (CL0182) - Azide and BSA Free Summary

Description
Novus Biologicals Mouse ATAD2 Antibody (CL0182) - Azide and BSA Free (NBP2-14786) is a monoclonal antibody validated for use in IHC, WB, ICC/IF and Simple Western. All Novus Biologicals antibodies are covered by our 100% guarantee.
Immunogen
This antibody was generated using a recombinant protein sequence of Q6PL18, with the exact immunogen sequence remaining proprietary.
Isotype
IgG1
Clonality
Monoclonal
Host
Mouse
Gene
ATAD2
Purity
Protein A purified
Innovator's Reward
Test in a species/application not listed above to receive a full credit towards a future purchase.

Applications/Dilutions

Dilutions
  • Immunocytochemistry/ Immunofluorescence 2-10 ug/ml
  • Immunohistochemistry-Paraffin 1:500 - 1:1000
  • Simple Western 1:20
  • Western Blot 1 ug/ml
Application Notes
For IHC-Paraffin, HIER pH 6 retrieval is recommended.
Immunocytochemistry/ Immunofluorescence/IF Fixation/Permeabilization: PFA/Triton X-100.
See Simple Western Antibody Database for Simple Western validation: Tested in U-251MG sp, separated by Size, antibody dilution of 1:20, apparent MW was 182 kDa

Packaging, Storage & Formulations

Storage
Store at 4C short term. Aliquot and store at -20C long term. Avoid freeze-thaw cycles.
Buffer
Lyophilized from a 0.2 um filtered solution in PBS with Trehalose
Preservative
No Preservative
Concentration
LYOPH
Purity
Protein A purified
Reconstitution Instructions
Centrifuge the vial of lyophilized antibody at 12,000 x g for 20 seconds. Reconstitute by adding sterile, distilled water to achieve a final antibody concentration of 1mg/ml.

Alternate Names for ATAD2 Antibody (CL0182) - Azide and BSA Free

  • AAA nuclear coregulator cancer-associated protein
  • ANCCA
  • ANCCAMGC131938
  • ATAD2
  • ATPase family AAA domain-containing protein 2
  • ATPase family, AAA domain containing 2
  • CT137
  • DKFZp667N1320
  • EC 3.6.1.3
  • MGC142216
  • MGC29843
  • MGC5254
  • PRO2000

Background

ATAD2 is a large family of ATPases has been described, whose key feature is that they share a conserved region of about 220 amino acids that contains an ATP-binding site. The proteins that belong to this family either contain one or two AAA (ATPases Associated with diverse cellular Activities) domains. AAA family proteins often perform chaperone-like functions that assist in the assembly, operation, or disassembly of protein complexes. The protein encoded by this gene contains two AAA domains, as well as a bromodomain. [provided by RefSeq]

Limitations

This product is for research use only and is not approved for use in humans or in clinical diagnosis. Primary Antibodies are guaranteed for 1 year from date of receipt.

Customers Who Viewed This Item Also Viewed...

NBP1-80104
Species: Hu
Applications: WB
NBP1-83192
Species: Hu
Applications: ICC/IF, IHC,  IHC-P, WB
NBP1-33691
Species: Hu, Mu, Rt
Applications: ICC/IF, IHC,  IHC-P, IP, WB
NBP1-90256
Species: Hu
Applications: ChIP-EXO-SEQ, ICC/IF, IHC,  IHC-P, WB
NBP2-73636
Species: Ca, Hu, Pm, Mu, Pm, Rt
Applications: CyTOF-ready, Flow, WB
NBP2-20210
Species: Hu, I, Mu, Ze
Applications: IHC-WhMt, IHC,  IHC-P, WB
NBP2-94502
Species: Hu, Mu, Rt
Applications: ELISA, ICC/IF, IHC,  IHC-P, IP, WB
H00029956-M01A
Species: Hu, Mu
Applications: ELISA, IHC, WB
NBP2-20214
Species: Hu, Mu
Applications: ICC/IF, IHC,  IHC-P, WB
NBP2-94240
Species: Hu, Mu, Rt
Applications: ICC/IF, WB
NBP1-88445
Species: Hu
Applications: ICC/IF, IHC,  IHC-P, WB
NB100-2269
Species: Hu, Mu
Applications: IHC,  IHC-P, IP, KD, WB
NBP2-13251
Species: Hu
Applications: ICC/IF, IHC,  IHC-P, WB
NBP3-05567
Species: Hu, Mu
Applications: ICC/IF, WB
NBP1-81545
Species: Hu, Mu, Rt
Applications: ICC/IF, IHC,  IHC-P, WB
NBP3-45266
Species: Hu, Mu, Rt
Applications: ELISA, IHC, WB
NB100-2682
Species: Hu, Mu
Applications: CyTOF-ready, ELISA, Flow-CS, Flow, ICC/IF, IF, IHC, IHC-Fr,  IHC-P, IP, WB
NBP2-20216
Species: Hu, Mu, Rt
Applications: ICC/IF, IHC, IHC-Fr,  IHC-P, WB
NBP2-20212
Species: Hu
Applications: IHC,  IHC-P, WB
NBP1-31413
Species: Hu, Mu, Rt
Applications: ICC/IF, IHC,  IHC-P, KD, WB

Publications for ATAD2 Antibody (NBP3-44437) (0)

There are no publications for ATAD2 Antibody (NBP3-44437).
By submitting your publication information earn gift cards and discounts for future purchases.

Reviews for ATAD2 Antibody (NBP3-44437) (0)

There are no reviews for ATAD2 Antibody (NBP3-44437). By submitting a review you will receive an Amazon e-Gift Card or Novus Product Discount.
  • Review with no image -- $10/€7/£6/$10 CAD/¥70 Yuan/¥1110 Yen
  • Review with an image -- $25/€18/£15/$25 CAD/¥150 Yuan/¥2500 Yen

Product General Protocols

Find general support by application which include: protocols, troubleshooting, illustrated assays, videos and webinars.

Video Protocols

WB Video Protocol
ICC/IF Video Protocol

FAQs for ATAD2 Antibody (NBP3-44437) (0)

There are no specific FAQs related to this product. Read our general customer & technical service FAQs.

Secondary Antibodies

 

Isotype Controls

Additional ATAD2 Products

Array NBP3-44437

Research Areas for ATAD2 Antibody (NBP3-44437)

Find related products by research area.

Blogs on ATAD2

There are no specific blogs for ATAD2, but you can read our latest blog posts.

Customers Who Bought This Also Bought

Contact Information

Product PDFs

Calculators

Concentration Calculator

The concentration calculator allows you to quickly calculate the volume, mass or concentration of your vial. Simply enter your mass, volume, or concentration values for your reagent and the calculator will determine the rest.

=
÷

Review this Product

Be the first to review our ATAD2 Antibody (CL0182) - Azide and BSA Free and receive a gift card or discount.

Bioinformatics

Gene Symbol ATAD2