ARHGEF10L Antibody - BSA Free

Images

 
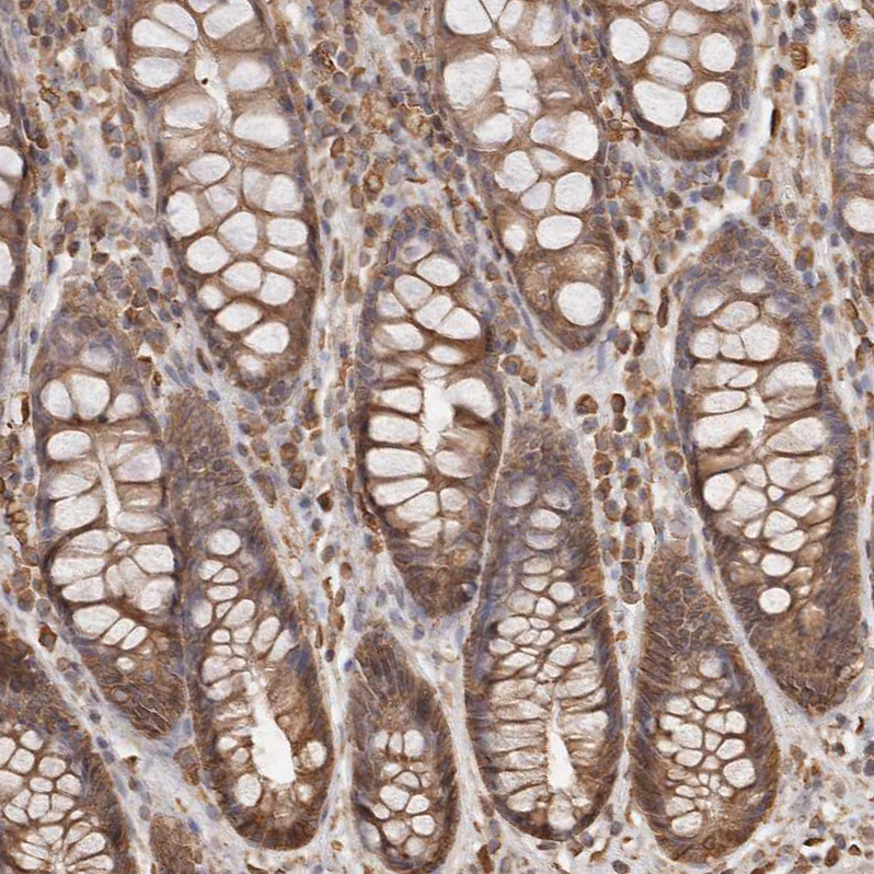
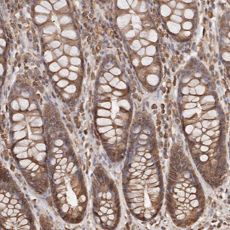
Staining of human rectum shows moderate cytoplasmic positivity in glandular cells.
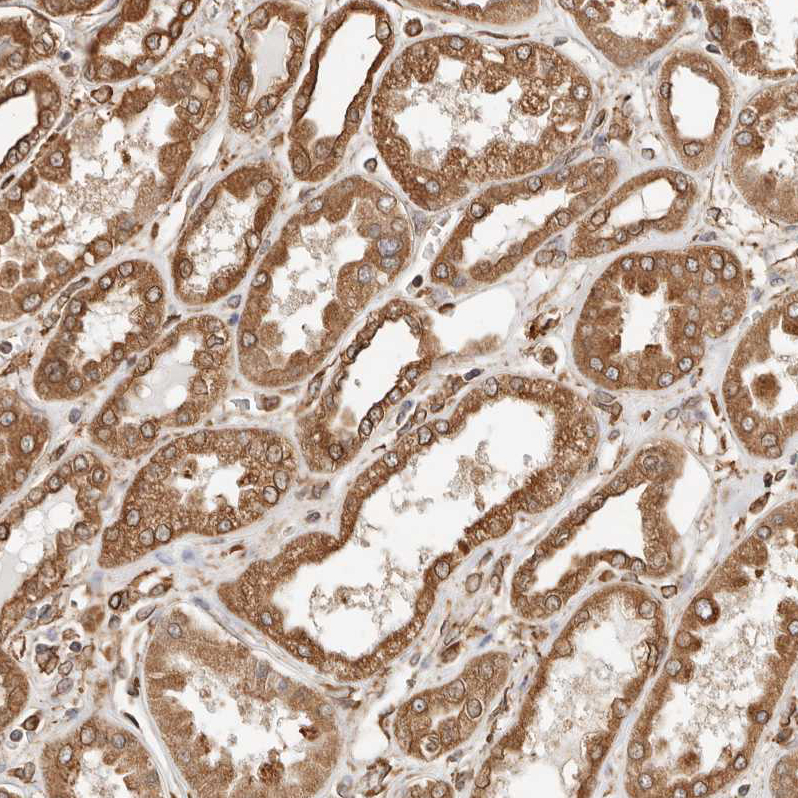
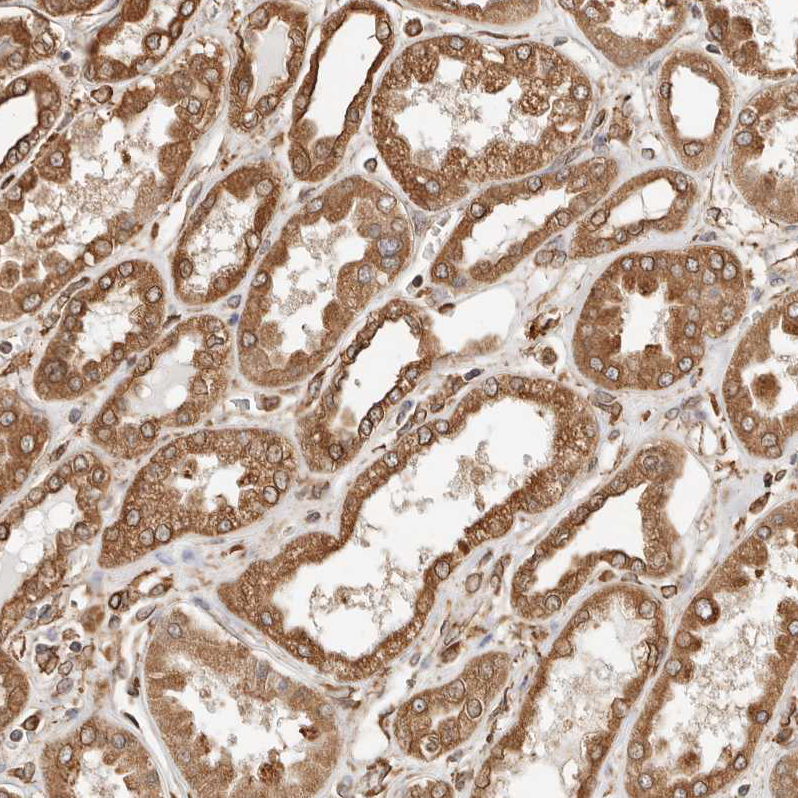
Staining of human kidney shows moderate cytoplasmic positivity in cells in tubules.
Staining of human heart muscle shows weak cytoplasmic positivity in cardiomyocytes.
Staining of human liver shows weak cytoplasmic positivity in hepatocytes.
Lane 1: Marker [kDa] 230, 130, 95, 72, 56, 36, 28, 17, 11Lane 2: Human cell line RT-4

Product Details

Summary
Reactivity Hu, Mu, RtSpecies Glossary
Applications WB, IHC
Clonality
Polyclonal
Host
Rabbit
Conjugate
Unconjugated
Format
BSA Free

Order Details

View Available Formulations
Catalog# & Formulation Size Price

ARHGEF10L Antibody - BSA Free Summary

Description
Novus Biologicals Rabbit ARHGEF10L Antibody - BSA Free (NBP1-90431) is a polyclonal antibody validated for use in IHC and WB. All Novus Biologicals antibodies are covered by our 100% guarantee.
Immunogen
This antibody was developed against Recombinant Protein corresponding to amino acids: ALEHSEEDGSIYEMADDPDVWVRSRPCARDAHRKEICSVAIISGGQGYRNFGSALGSSGRQAPCGETDSTLLIWQVPL
Predicted Species
Mouse (91%), Rat (92%). Backed by our 100% Guarantee.
Isotype
IgG
Clonality
Polyclonal
Host
Rabbit
Gene
ARHGEF10L
Purity
Affinity purified
Innovator's Reward
Test in a species/application not listed above to receive a full credit towards a future purchase.

Applications/Dilutions

Dilutions
  • Immunohistochemistry 1:1000 - 1:2500
  • Immunohistochemistry-Paraffin 1:1000 - 1:2500
  • Western Blot 0.04-0.4 ug/ml
Application Notes
For IHC-Paraffin, HIER pH 6 retrieval is recommended.
Control Peptide
ARHGEF10L Protein (NBP1-90431PEP)

Packaging, Storage & Formulations

Storage
Store at 4C short term. Aliquot and store at -20C long term. Avoid freeze-thaw cycles.
Buffer
PBS (pH 7.2) and 40% Glycerol
Preservative
0.02% Sodium Azide
Purity
Affinity purified

Alternate Names for ARHGEF10L Antibody - BSA Free

  • FLJ10521
  • GRINCHGEF
  • KIAA1626
  • Rho guanine nucleotide exchange factor (GEF) 10-like
  • rho guanine nucleotide exchange factor 10-like protein

Limitations

This product is for research use only and is not approved for use in humans or in clinical diagnosis. Primary Antibodies are guaranteed for 1 year from date of receipt.

Customers Who Viewed This Item Also Viewed...

NBP2-25160
Species: Bv, Ca, Eq, Hu, Mu, Po, Rt
Applications: ICC/IF, IHC, WB
AF6260
Species: Hu
Applications: WB
NB110-68800
Species: Hu, Mu, Pm
Applications: ICC/IF, WB
NB100-91266
Species: Hu, Mu, Rt
Applications: ICC/IF, IHC, IHC-Fr,  IHC-P, WB
NB100-1343
Species: Hu
Applications: Flow, ICC/IF, IHC,  IHC-P, PEP-ELISA, WB
NBP1-85727
Species: Hu
Applications: ICC/IF, IHC,  IHC-P
NBP1-58359
Species: Hu
Applications: IHC,  IHC-P, WB
NBP2-67895
Species: Hu, Mu, Rt
Applications: Flow, IHC,  IHC-P, IP, WB
NBP1-83373
Species: Hu
Applications: ICC/IF, IHC,  IHC-P
NB100-91273
Species: Hu, Mu, Pm, Rt
Applications: ICC/IF, IHC,  IHC-P, WB
NBP1-77314
Species: Hu
Applications: ELISA, IHC,  IHC-P, WB
NBP2-02082
Species: Hu
Applications: Flow, ICC/IF, IHC,  IHC-P, WB
NB110-40619
Species: Hu, Mu
Applications: IHC,  IHC-P, IP (-), WB
NBP2-13230
Species: Hu
Applications: IHC,  IHC-P
H00353238-B01P-50ug
Species: Hu
Applications: WB
NBP1-90431
Species: Hu, Mu, Rt
Applications: WB, IHC

Publications for ARHGEF10L Antibody (NBP1-90431) (0)

There are no publications for ARHGEF10L Antibody (NBP1-90431).
By submitting your publication information earn gift cards and discounts for future purchases.

Reviews for ARHGEF10L Antibody (NBP1-90431) (0)

There are no reviews for ARHGEF10L Antibody (NBP1-90431). By submitting a review you will receive an Amazon e-Gift Card or Novus Product Discount.
  • Review with no image -- $10/€7/£6/$10 CAD/¥70 Yuan/¥1110 Yen
  • Review with an image -- $25/€18/£15/$25 CAD/¥150 Yuan/¥2500 Yen

Product General Protocols

Find general support by application which include: protocols, troubleshooting, illustrated assays, videos and webinars.

Video Protocols

WB Video Protocol

FAQs for ARHGEF10L Antibody (NBP1-90431) (0)

There are no specific FAQs related to this product. Read our general customer & technical service FAQs.

Secondary Antibodies

 

Isotype Controls

Additional ARHGEF10L Products

Research Areas for ARHGEF10L Antibody (NBP1-90431)

Find related products by research area.

Blogs on ARHGEF10L

There are no specific blogs for ARHGEF10L, but you can read our latest blog posts.

Customers Who Bought This Also Bought

Contact Information

Product PDFs

Calculators

Concentration Calculator

The concentration calculator allows you to quickly calculate the volume, mass or concentration of your vial. Simply enter your mass, volume, or concentration values for your reagent and the calculator will determine the rest.

=
÷

Review this Product

Be the first to review our ARHGEF10L Antibody - BSA Free and receive a gift card or discount.

Bioinformatics

Gene Symbol ARHGEF10L
Entrez
Uniprot