Alpha Fodrin Antibody (SPTAN1/3506) - Azide and BSA Free

Images

 
Protein Array: Alpha Fodrin Antibody (SPTAN1/3506) - Azide and BSA Free [NBP3-14185] - Analysis of Protein Array containing more than 19,000 full-length human proteins using Alpha Fodrin Antibody (SPTAN1/3506).
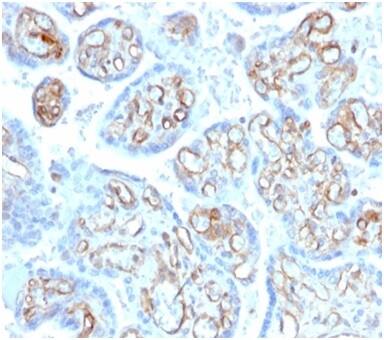
Formalin-fixed, paraffin-embedded human placenta stained with Alpha Fodrin Antibody (SPTAN1/3506) - Azide and BSA Free.
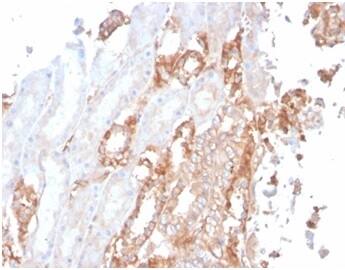
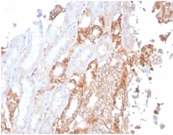
Formalin-fixed, paraffin-embedded human renal cell carcinoma stained with Alpha Fodrin Antibody (SPTAN1/3506) - Azide and BSA Free.

Product Details

Summary
Reactivity HuSpecies Glossary
Applications IHC, MA
Clone
SPTAN1/3506
Clonality
Monoclonal
Host
Mouse
Conjugate
Unconjugated
Format
Azide and BSA Free
Concentration
1 mg/ml

Order Details

Alpha Fodrin Antibody (SPTAN1/3506) - Azide and BSA Free Summary

Description
1.0 mg/ml of antibody purified from Bioreactor Concentrate by Protein A/G. Prepared in 10mM PBS WITHOUT BSA & azide. Also available at 200 ug/ml WITH BSA & azide (NBP3-13782).

Antibody with azide - store at 2 to 8C. Antibody without azide - store at -20 to -80 C.
Immunogen
Recombinant fragment of human Alpha Fodrin protein (around aa2351-2475) (exact sequence is proprietary)) (Uniprot: Q13813)
Localization
Cytoplasm
Isotype
IgG2b Kappa
Clonality
Monoclonal
Host
Mouse
Gene
SPTAN1
Purity
Protein A or G purified
Innovator's Reward
Test in a species/application not listed above to receive a full credit towards a future purchase.

Applications/Dilutions

Dilutions
  • Immunohistochemistry-Paraffin 1-2 ug/ml
  • Protein Array
Application Notes
Immunohistochemistry (Formalin-fixed): 1-2ug/ml for 30 minutes at RT. Staining of formalin-fixed tissues requires heating tissue sections in 10mM Tris with 1mM EDTA, pH 9.0, for 45 min at 95C followed by cooling at RT for 20 minutes
Theoretical MW
240 kDa.
Disclaimer note: The observed molecular weight of the protein may vary from the listed predicted molecular weight due to post translational modifications, post translation cleavages, relative charges, and other experimental factors.

Packaging, Storage & Formulations

Storage
Store at -20 to -80C. Avoid freeze-thaw cycles.
Buffer
10mM PBS
Preservative
No Preservative
Concentration
1 mg/ml
Purity
Protein A or G purified

Alternate Names for Alpha Fodrin Antibody (SPTAN1/3506) - Azide and BSA Free

  • Alpha-II spectrin
  • EIEE5
  • FLJ17738
  • FLJ44613
  • Fodrin alpha chain
  • NEAS
  • spectrin alpha chain, brain
  • spectrin, alpha, non-erythrocytic 1 (alpha-fodrin)
  • Spectrin, non-erythroid alpha chain
  • SPTA2

Background

SPTAN1/Alpha II-spectrin is one of two polypeptide chains (alpha and beta) that are part of the fodrin tetramer. Fodrin functions to link actin filaments to the plasma membrane and is a major neuronal cytoskeletal protein. Fodrin has been linked to neurogenerative and autoimmune diseases.

Limitations

This product is for research use only and is not approved for use in humans or in clinical diagnosis. Primary Antibodies are guaranteed for 1 year from date of receipt.

Customers Who Viewed This Item Also Viewed...

NBP2-01819
Species: Hu
Applications: Flow, IHC,  IHC-P, WB
NBP2-27335
Species: Hu, Mu, Rt(-)
Applications: CyTOF-ready, Flow, ICC/IF, WB
NBP1-48002
Species: Ca, Hu, Pm, Pm
Applications: ICC/IF, IHC,  IHC-P, IP, WB
NB600-101
Species: Bv, Ha, Hu, Mu, Pm, Rt
Applications: B/N, DB, EM, Flow, ICC/IF, IHC,  IHC-P, IP, KD, PA, Simple Western, WB
NBP1-87122
Species: Hu
Applications: ICC/IF, IHC,  IHC-P, WB
NBP1-86088
Species: Hu
Applications: ICC/IF, IHC,  IHC-P, WB
NBP2-43728
Species: Hu, Mu, Rt
Applications: ICC/IF, WB
NBP2-14871
Species: Mu, Rt
Applications: ICC/IF, WB
NB120-2860
Species: Ba, Bv, Ch, Hu, Mu, Rt
Applications: ELISA, Flow, ICC/IF, IHC,  IHC-P, WB
NBP2-15669
Species: Mu, Rt, Ze
Applications: IHC-WhMt, IHC, WB
NB100-56116
Species: Ma, Hu, Mu, Rt
Applications: Flow, ICC/IF, IHC, IHC-Fr,  IHC-P, IP, Simple Western, WB
NB100-56118
Species: Ca, Ma, Hu, Mu, Rt
Applications: Flow-IC, ICC/IF, IHC, IHC-Fr,  IHC-P, IP, WB
NBP1-19371
Species: Ca, Hu, Mu, Po, Rb, Rt
Applications: Dual ISH-IHC, Flow, ICC/IF, IHC, IHC-Fr,  IHC-P, Simple Western, WB
NB120-13550
Species: Hu, Mu, Rt
Applications: ICC/IF, IHC,  IHC-P, WB

Publications for Alpha Fodrin Antibody (NBP3-14185) (0)

There are no publications for Alpha Fodrin Antibody (NBP3-14185).
By submitting your publication information earn gift cards and discounts for future purchases.

Reviews for Alpha Fodrin Antibody (NBP3-14185) (0)

There are no reviews for Alpha Fodrin Antibody (NBP3-14185). By submitting a review you will receive an Amazon e-Gift Card or Novus Product Discount.
  • Review with no image -- $10/€7/£6/$10 CAD/¥70 Yuan/¥1110 Yen
  • Review with an image -- $25/€18/£15/$25 CAD/¥150 Yuan/¥2500 Yen

Product General Protocols

Find general support by application which include: protocols, troubleshooting, illustrated assays, videos and webinars.

FAQs for Alpha Fodrin Antibody (NBP3-14185) (0)

There are no specific FAQs related to this product. Read our general customer & technical service FAQs.

Secondary Antibodies

 

Isotype Controls

Additional Alpha Fodrin Products

Research Areas for Alpha Fodrin Antibody (NBP3-14185)

Find related products by research area.

Blogs on Alpha Fodrin

There are no specific blogs for Alpha Fodrin, but you can read our latest blog posts.

Customers Who Bought This Also Bought

Contact Information

Product PDFs

Calculators

Concentration Calculator

The concentration calculator allows you to quickly calculate the volume, mass or concentration of your vial. Simply enter your mass, volume, or concentration values for your reagent and the calculator will determine the rest.

=
÷

Review this Product

Be the first to review our Alpha Fodrin Antibody (SPTAN1/3506) - Azide and BSA Free and receive a gift card or discount.

Bioinformatics

Gene Symbol SPTAN1