Alpha Actinin 2 Antibody (JE45-22)

Images

 
Western Blot: Alpha Actinin 2 Antibody (JE45-22) [NBP2-76889] - Western blot analysis of Sarcomeric Alpha Actinin on mouse heart tissue lysate. Proteins were transferred to a PVDF membrane and blocked with 5% BSA in PBS ...read more
Immunohistochemistry-Paraffin: Alpha Actinin 2 Antibody (JE45-22) [NBP2-76889] - Analysis of paraffin-embedded mouse smooth muscle tissue with Rabbit anti-Sarcomeric Alpha Actinin antibody washed with ddH2O and PBS, and ...read more
Immunohistochemistry: Alpha Actinin 2 Antibody (JE45-22) [NBP2-76889] - Immunohistochemical analysis of paraffin-embedded rat heart tissue using anti-Sarcomeric Alpha Actinin antibody. The section was pre-treated using ...read more
Immunohistochemistry: Alpha Actinin 2 Antibody (JE45-22) [NBP2-76889] - Immunohistochemical analysis of paraffin-embedded human colon tissue using anti-Sarcomeric Alpha Actinin antibody. The section was pre-treated ...read more
Immunohistochemistry: Alpha Actinin 2 Antibody (JE45-22) [NBP2-76889] - Immunohistochemical analysis of paraffin-embedded human fetal skeletal muscle tissue using anti-Sarcomeric Alpha Actinin antibody. The section was ...read more
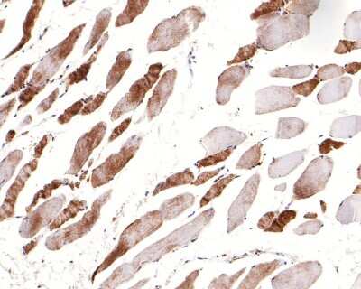
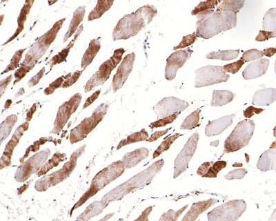
Immunohistochemistry: Alpha Actinin 2 Antibody (JE45-22) [NBP2-76889] - Immunohistochemical analysis of paraffin-embedded mouse heart tissue using anti-Sarcomeric Alpha Actinin antibody. The section was pre-treated ...read more

Product Details

Summary
Product Discontinued
View other related Alpha Actinin 2 Primary Antibodies

Order Details


    • Catalog Number
      NBP2-76889
    • Availability
      Product Discontinued

    Can't find what you are looking for? Use our Antibody Concierge Service & we will help you locate your antibody!

    Or feel free to contact us for alternative products.

Alpha Actinin 2 Antibody (JE45-22) Summary

Additional Information
Recombinant Monoclonal Antibody.
Immunogen
Recombinant protein within human Alpha Actinin 2 aa 1-150. (SwissProt: P35609 Human; SwissProt: Q9JI91 Mouse; Entrez Gene:291245 Rat)
Localization
Cytoplasm.
Isotype
IgG
Clonality
Monoclonal
Host
Rabbit
Gene
ACTN2
Purity
Protein A purified
Innovator's Reward
Test in a species/application not listed above to receive a full credit towards a future purchase.

Applications/Dilutions

Dilutions
  • Immunohistochemistry
  • Immunohistochemistry-Paraffin 1:50-1:200
  • Immunoprecipitation 1:10-1:50
  • Western Blot 1:500
Theoretical MW
104 kDa.
Disclaimer note: The observed molecular weight of the protein may vary from the listed predicted molecular weight due to post translational modifications, post translation cleavages, relative charges, and other experimental factors.

Packaging, Storage & Formulations

Storage
Store at 4C short term. Aliquot and store at -20C long term. Avoid freeze-thaw cycles.
Buffer
TBS (pH7.4), 0.05% BSA, 40% Glycerol
Preservative
0.05% Sodium Azide
Concentration
1 mg/ml
Purity
Protein A purified

Alternate Names for Alpha Actinin 2 Antibody (JE45-22)

  • Actinin alpha 2
  • actinin, alpha 2
  • Actinin-a2
  • ACTN2
  • alpha Actinin 2
  • alpha-Actinin 2
  • Alpha-actinin skeletal muscle isoform 2
  • Alpha-Actinin Skeletal Muscle
  • Alpha-Actinin-2
  • CMD1AA
  • F-actin cross-linking protein

Background

Alpha actinin 2 is an actin binding proteins that carry out different purposes in different different cell types. Skeletal, cardiac, and smooth muscle isoforms are localized to the Z disc and analogous dense bodies, where they help anchor the myofibrillar actin filaments. ACTN2 encodes a muscle-specific, alpha actinin isoform that is expressed in both skeletal and cardiac muscles. There are several known transcript variants that result from the use of multiple polyA+ sites. ACTN2 has the ability to form both homo- and heterodimers (with ACTN3).

Limitations

This product is for research use only and is not approved for use in humans or in clinical diagnosis. Primary Antibodies are guaranteed for 1 year from date of receipt.

Customers Who Viewed This Item Also Viewed...

NBP2-15356
Species: Hu, Mu, Rt
Applications: IP, WB
NBP1-89953
Species: Hu, Mu
Applications: ICC/IF, IHC,  IHC-P
NBP1-88071
Species: Hu, Rt
Applications: ICC/IF, IHC,  IHC-P
NB300-118
Species: Hu, Mu, Rt
Applications: ICC/IF, IHC, IHC-Fr,  IHC-P, WB
NB300-106
Species: Hu, Mu, Rt
Applications: Flow, ICC/IF, IHC, IHC-Fr, IP, WB
NBP1-88790
Species: Hu, Mu, Rt
Applications: ICC/IF, IHC,  IHC-P, WB
H00011155-M06
Species: Hu, Mu, Rt
Applications: ELISA, ICC/IF, IP, KD, WB
NB300-556
Species: Hu, In, Mu, Pm, Rt
Applications: B/N, ChIP, Flow, ICC/IF, IHC, IHC-Fr,  IHC-P, IP, WB
NBP2-14871
Species: Mu, Rt
Applications: ICC/IF, WB
NB120-2860
Species: Ba, Bv, Ch, Hu, Mu, Rt
Applications: ELISA, Flow, ICC/IF, IHC,  IHC-P, WB
NBP2-15669
Species: Mu, Rt, Ze
Applications: IHC-WhMt, IHC, WB
NBP1-06983
Species: Hu, Mu, Rt
Applications: ICC/IF, IHC,  IHC-P, IP, PEP-ELISA, WB
NB300-105
Species: Hu, Mu, Rb, Rt
Applications: IHC,  IHC-P, IP, KO, WB
NBP1-85544
Species: Hu
Applications: IHC,  IHC-P, WB
NB100-74340
Species: Bv, ChHa, Dr, Fu, Hu, Mu, Pl, Pr, Rb, Rt, Sh, Xp, Ye, Ze
Applications: ELISA, Flow-IC, Flow, ICC/IF, IHC,  IHC-P, Simple Western, WB
NBP1-48251
Species: Hu, Mu, Rt
Applications: ICC/IF, IHC,  IHC-P, KO, WB
NBP1-88191
Species: Hu, Mu
Applications: IHC,  IHC-P, WB
NBP1-87851
Species: Hu
Applications: IHC,  IHC-P
NBP1-84843
Species: Hu
Applications: ICC/IF, IHC,  IHC-P, WB
NBP2-76889
Species: Hu, Mu, Rt
Applications: WB, IHC, IP

Publications for Alpha Actinin 2 Antibody (NBP2-76889) (0)

There are no publications for Alpha Actinin 2 Antibody (NBP2-76889).
By submitting your publication information earn gift cards and discounts for future purchases.

Reviews for Alpha Actinin 2 Antibody (NBP2-76889) (0)

There are no reviews for Alpha Actinin 2 Antibody (NBP2-76889). By submitting a review you will receive an Amazon e-Gift Card or Novus Product Discount.
  • Review with no image -- $10/€7/£6/$10 CAD/¥70 Yuan/¥1110 Yen
  • Review with an image -- $25/€18/£15/$25 CAD/¥150 Yuan/¥2500 Yen

Product General Protocols

Find general support by application which include: protocols, troubleshooting, illustrated assays, videos and webinars.

Video Protocols

WB Video Protocol

FAQs for Alpha Actinin 2 Antibody (NBP2-76889) (0)

There are no specific FAQs related to this product. Read our general customer & technical service FAQs.

Contact Information

Product PDFs

Calculators

Concentration Calculator

The concentration calculator allows you to quickly calculate the volume, mass or concentration of your vial. Simply enter your mass, volume, or concentration values for your reagent and the calculator will determine the rest.

=
÷

Review this Product

Be the first to review our Alpha Actinin 2 Antibody (JE45-22) and receive a gift card or discount.

Bioinformatics

Gene Symbol ACTN2