ACTL7A Antibody - BSA Free

Images

 
Immunohistochemistry-Paraffin: ACTL7A Antibody [NBP1-86014] - Analysis in human testis and skeletal muscle tissues using NBP1-86014 antibody. Corresponding ACTL7A RNA-seq data are presented for the same tissues.
Immunohistochemistry-Paraffin: ACTL7A Antibody [NBP1-86014] - Staining of human skin shows no positivity in squamous epithelial cells as expected.
Immunohistochemistry-Paraffin: ACTL7A Antibody [NBP1-86014] - Staining of human testis shows strong positivity in acrosomes in cells in seminiferous ducts.
Immunohistochemistry-Paraffin: ACTL7A Antibody [NBP1-86014] - Staining of human tonsil shows no positivity in non-germinal center cells as expected.
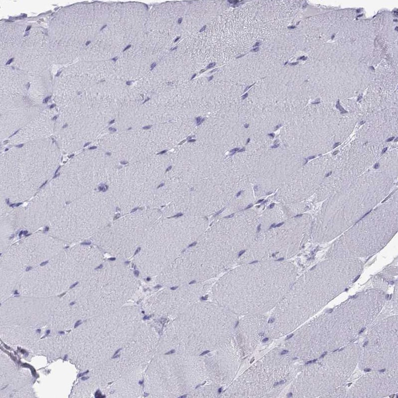
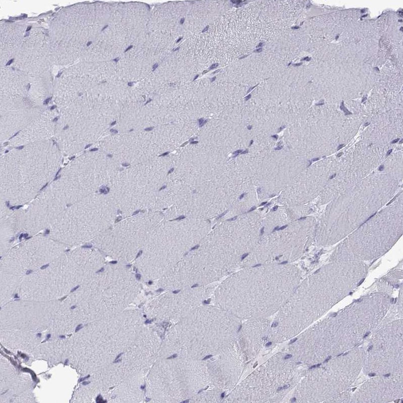
Staining of human skeletal muscle shows no positivity in myocytes as expected.

Product Details

Summary
Reactivity HuSpecies Glossary
Applications IHC
Clonality
Polyclonal
Host
Rabbit
Conjugate
Unconjugated
Format
BSA Free

Order Details

View Available Formulations
Catalog# & Formulation Size Price

ACTL7A Antibody - BSA Free Summary

Description
Novus Biologicals Rabbit ACTL7A Antibody - BSA Free (NBP1-86014) is a polyclonal antibody validated for use in IHC. All Novus Biologicals antibodies are covered by our 100% guarantee.
Immunogen
This antibody was developed against Recombinant Protein corresponding to amino acids: MWAPPAAIMGDGPTKKVGNQAPLQTQALQTASLRDGPAKRAVWVRHTSSEPQEPTESKAAKERPKQEVTKAVVVDLGTGYCKCGFAGLPRPTHKISTTVGK
Isotype
IgG
Clonality
Polyclonal
Host
Rabbit
Gene
ACTL7A
Purity
Immunogen affinity purified
Innovator's Reward
Test in a species/application not listed above to receive a full credit towards a future purchase.

Applications/Dilutions

Dilutions
  • Immunohistochemistry 1:1000 - 1:2500
  • Immunohistochemistry-Paraffin 1:1000 - 1:2500
Application Notes
For IHC-Paraffin, HIER pH 6 retrieval is recommended.
Control Peptide
ACTL7A Protein (NBP1-86014PEP)

Packaging, Storage & Formulations

Storage
Store at 4C short term. Aliquot and store at -20C long term. Avoid freeze-thaw cycles.
Buffer
PBS (pH 7.2) and 40% Glycerol
Preservative
0.02% Sodium Azide
Purity
Immunogen affinity purified

Alternate Names for ACTL7A Antibody - BSA Free

  • actin-like 7A
  • actin-like 7-alpha
  • actin-like protein 7A
  • actin-like-7-alpha

Background

ACTL7A is part of the actin-related proteins family, which are involved in a variety of cellular processes, nuclear functions and cytoskeleton activities. The exact function of ACTL7A is unknown but it has been shown to interact with TES, SOCS6 and ARPC3.

Limitations

This product is for research use only and is not approved for use in humans or in clinical diagnosis. Primary Antibodies are guaranteed for 1 year from date of receipt.

Customers Who Viewed This Item Also Viewed...

NBP1-86973
Species: Hu, Mu
Applications: IHC,  IHC-P, WB
NB300-560
Species: Av, Bv, Ma, Hu, Mu, Pm, Rt
Applications: IF, IHC, IHC-Fr,  IHC-P, WB
H00002263-M01
Species: Bv, Hu
Applications: ELISA, ICC/IF, IHC,  IHC-P, S-ELISA, WB
AF3158
Species: Mu
Applications: ChIP, ICC, IHC, WB
NBP1-89699
Species: Hu
Applications: ICC/IF, IHC,  IHC-P, WB
NBP1-32858
Species: Hu, Mu
Applications: ICC/IF, IHC,  IHC-P, IP, WB
NBP2-45384
Species: Hu, Mu, Rt
Applications: IHC,  IHC-P, WB
NBP1-33341
Species: Hu, Mu
Applications: ICC/IF, IHC,  IHC-P, WB
H00002023-M01
Species: Fe, Hu
Applications: ELISA, Flow, Func, ICC/IF, IHC,  IHC-P, IP, WB
AF2340
Species: Hu
Applications: CyTOF-ready, Flow, IP, WB
NBP2-93673
Species: Hu, Mu, Rt
Applications: ICC/IF, IHC, WB
NBP1-86014
Species: Hu
Applications: IHC

Publications for ACTL7A Antibody (NBP1-86014) (0)

There are no publications for ACTL7A Antibody (NBP1-86014).
By submitting your publication information earn gift cards and discounts for future purchases.

Reviews for ACTL7A Antibody (NBP1-86014) (0)

There are no reviews for ACTL7A Antibody (NBP1-86014). By submitting a review you will receive an Amazon e-Gift Card or Novus Product Discount.
  • Review with no image -- $10/€7/£6/$10 CAD/¥70 Yuan/¥1110 Yen
  • Review with an image -- $25/€18/£15/$25 CAD/¥150 Yuan/¥2500 Yen

Product General Protocols

Find general support by application which include: protocols, troubleshooting, illustrated assays, videos and webinars.

FAQs for ACTL7A Antibody (NBP1-86014) (0)

There are no specific FAQs related to this product. Read our general customer & technical service FAQs.

Secondary Antibodies

 

Isotype Controls

Additional ACTL7A Products

Research Areas for ACTL7A Antibody (NBP1-86014)

Find related products by research area.

Blogs on ACTL7A

There are no specific blogs for ACTL7A, but you can read our latest blog posts.

Customers Who Bought This Also Bought

Contact Information

Product PDFs

Calculators

Concentration Calculator

The concentration calculator allows you to quickly calculate the volume, mass or concentration of your vial. Simply enter your mass, volume, or concentration values for your reagent and the calculator will determine the rest.

=
÷

Review this Product

Be the first to review our ACTL7A Antibody - BSA Free and receive a gift card or discount.

Bioinformatics

Gene Symbol ACTL7A