14-3-3 tau/theta Antibody (1A1) - BSA Free

Images

 
Western Blot: 14-3-3 tau/theta Antibody (1A1) [NBP1-21301] - The cell lysates (40ug) were resolved by SDS-PAGE, transferred to PDVF membrane and probed with anti-human 14-3-3 tau antibody (1:1000). Proteins were ...read more
Immunocytochemistry/ Immunofluorescence: 14-3-3 tau/theta Antibody (1A1) [NBP1-21301] - Analysis in HeLa cells line, stained with DAPI (Blue) for nucleus staining and 1:100 with goat anti-mouse IgG-Alexa fluor 488 ...read more
Western Blot: 14-3-3 tau/theta Antibody (1A1) [NBP1-21301] - 14-3-3 tau/theta Antibody (1A1) Cell lysates of Jurkat (20ug) were resolved by SDS-PAGE, transferred to NC membrane and probed with anti-human 14-3-3 theta ...read more
Western Blot: 14-3-3 tau/theta Antibody (1A1) [NBP1-21301] - The recombinant proteins (50ng) were resolved by SDSPAGE, transferred to PDVF membrane and probed with antihuman 14-3-3 tau antibody (1:1000). Proteins were ...read more

Product Details

Summary
Reactivity HuSpecies Glossary
Applications WB, ELISA, ICC/IF
Clone
1A1
Clonality
Monoclonal
Host
Mouse
Conjugate
Unconjugated
Format
BSA Free
Concentration
1.0 mg/ml

Order Details

14-3-3 tau/theta Antibody (1A1) - BSA Free Summary

Description
Novus Biologicals Mouse 14-3-3 tau/theta Antibody (1A1) - BSA Free (NBP1-21301) is a monoclonal antibody validated for use in WB, ELISA and ICC/IF. Anti-14-3-3 tau/theta Antibody: Cited in 1 publication. All Novus Biologicals antibodies are covered by our 100% guarantee.
Immunogen
Recombinant human 14-3-3 tau/theta (1-245aa) purified from E. coli (NP_006817).
Isotype
IgG1 Kappa
Clonality
Monoclonal
Host
Mouse
Gene
YWHAQ
Purity
Protein G purified
Innovator's Reward
Test in a species/application not listed above to receive a full credit towards a future purchase.

Applications/Dilutions

Dilutions
  • ELISA 1:100-1:2000
  • Immunocytochemistry/ Immunofluorescence 1:100
  • Western Blot 1:1000-1:2000
Theoretical MW
28 kDa.
Disclaimer note: The observed molecular weight of the protein may vary from the listed predicted molecular weight due to post translational modifications, post translation cleavages, relative charges, and other experimental factors.
Reviewed Applications
Read 1 Review rated 5
using
NBP1-21301 in the following applications:

Publications
Read Publications using
NBP1-21301 in the following applications:

Packaging, Storage & Formulations

Storage
Store at 4C short term. Aliquot and store at -20C long term. Avoid freeze-thaw cycles.
Buffer
PBS (pH 7.4), 10% Glycerol
Preservative
0.02% Sodium Azide
Concentration
1.0 mg/ml
Purity
Protein G purified

Alternate Names for 14-3-3 tau/theta Antibody (1A1) - BSA Free

  • 14-3-3 protein tau
  • 14-3-3 protein T-cell
  • 14-3-3 protein theta
  • 1433 theta
  • 14-3-3 theta
  • 14-3-3,1C5
  • HS1 protein
  • HS1
  • Protein HS1
  • protein tau
  • tyrosine 3-monooxygenase/tryptophan 5-monooxygenase activation protein, thetapolypeptide
  • YWHAQ

Background

14-3-3 theta belongs to the 14-3-3 family of proteins that mediate signal transduction by binding to phosphoserine-containing proteins. This highly conserved protein family is found in both plants and mammals, and it is 99% identical to the mouse and rat orthologs. 14-3-3 theta is upregulated in patients with amyotrophic lateral sclerosis (1).

Limitations

This product is for research use only and is not approved for use in humans or in clinical diagnosis. Primary Antibodies are guaranteed for 1 year from date of receipt.

Customers Who Viewed This Item Also Viewed...

NB300-109
Species: Ch, Dr, Hu, I, Ma, Mu, Rt
Applications: Dual ISH-IHC, ICC/IF, IHC-FrFl, IHC-WhMt, IHC, IHC-Fr,  IHC-P, KO, Simple Western, WB
NBP2-25162
Species: Bv, Eq, Hu, Mu, Po, Rt
Applications: ICC/IF, IHC, PLA, WB
NB100-56605
Species: Av, Bv, Sh
Applications: WB
AF887
Species: Hu, Mu, Rt
Applications: CyTOF-ready, IHC, ICFlow, Simple Western, WB
7954-GM/CF
Species: Hu
Applications: BA
NBP2-42388
Species: Hu
Applications: ICC/IF, IHC,  IHC-P, KD, WB
MAB4540
Species: Hu, Mu, Rt
Applications: IHC, Simple Western, WB
AF1230
Species: Hu, Mu, Rt
Applications: IHC, KO, WB
NB100-56104
Species: Ca, Hu, Mu, Rt
Applications: IHC, IHC-Fr,  IHC-P, IP, WB
NB100-56080
Species: Hu
Applications: ICC/IF, IHC,  IHC-P, IP, WB
MAB4459
Species: Hu, Mu, Rt
Applications: WB
H00003059-M02
Species: Hu
Applications: ELISA, IHC,  IHC-P, KD, PLA, S-ELISA, WB
NB100-56077
Species: Hu
Applications: IHC,  IHC-P, IP, WB
NBP2-22203
Species: Hu, Pm, Mu, Rt
Applications: ELISA, Flow, ICC/IF, IHC,  IHC-P, WB
MAB6210
Species: Hu
Applications: Simple Western, WB
NB100-464
Species: Hu, Mu
Applications: IHC,  IHC-P, IP, WB
NBP1-82257
Species: Hu
Applications: ICC/IF, IHC,  IHC-P, Simple Western
NBP1-21301
Species: Hu
Applications: WB, ELISA, ICC/IF

Publications for 14-3-3 tau/theta Antibody (NBP1-21301)(2)

We have publications tested in 2 confirmed species: Human, Monkey.

We have publications tested in 2 applications: ICC/IF, WB.


Filter By Application
ICC/IF
(2)
WB
(1)
All Applications
Filter By Species
Human
(2)
Monkey
(1)
All Species
Showing Publications 1 - 2 of 2.
Publications using NBP1-21301 Applications Species
Brandwein D Investigating 14-3-3 Protein Subcellular Localization, Colocalization with Subcellular Markers and Interaction with Rac1 Thesis (ICC/IF, WB, Human, Monkey) ICC/IF, WB Human, Monkey
Abdrabou A, Brandwein D, Wang Z Differential Subcellular Distribution and Translocation of Seven 14-3-3 Isoforms in Response to EGF and During the Cell Cycle Int J Mol Sci 2020-01-02 [PMID: 31906564] (ICC/IF, Human) ICC/IF Human

Review for 14-3-3 tau/theta Antibody (NBP1-21301) (1) 51

Average Rating: 5
(Based on 1 review)
We have 1 review tested in 1 species: Human.

Reviews using NBP1-21301:
Filter by Applications
WB
(1)
All Applications
Filter by Species
Human
(1)
All Species
Images Ratings Applications Species Date Details
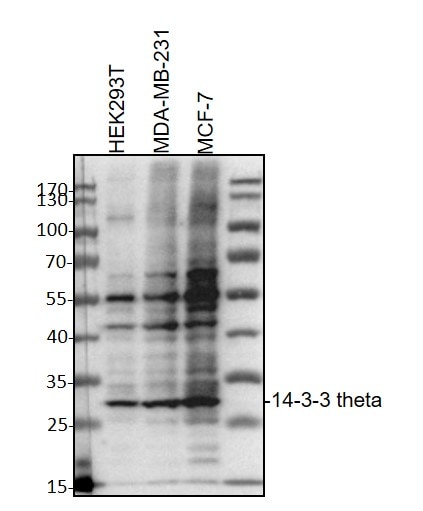
Western Blot 14-3-3 tau/theta NBP1-21301
Enlarge
5
reviewed by:
Yongkang Yang
WB Human 03/20/2021
View

Summary

ApplicationWestern Blot
Sample Tested293T and MCF-7 cells-whole cell lysate,MDA MB 231 cells
SpeciesHuman
LotA1814601

Product General Protocols

Find general support by application which include: protocols, troubleshooting, illustrated assays, videos and webinars.

Video Protocols

WB Video Protocol
ICC/IF Video Protocol

FAQs for 14-3-3 tau/theta Antibody (NBP1-21301) (0)

There are no specific FAQs related to this product. Read our general customer & technical service FAQs.

Secondary Antibodies

 

Isotype Controls

Additional 14-3-3 tau/theta Products

Research Areas for 14-3-3 tau/theta Antibody (NBP1-21301)

Find related products by research area.

Blogs on 14-3-3 tau/theta

There are no specific blogs for 14-3-3 tau/theta, but you can read our latest blog posts.

Customers Who Bought This Also Bought

Contact Information

Product PDFs

Calculators

Concentration Calculator

The concentration calculator allows you to quickly calculate the volume, mass or concentration of your vial. Simply enter your mass, volume, or concentration values for your reagent and the calculator will determine the rest.

=
÷

Recent Reviews

5
5
1
4
0
3
0
2
0
1
0

Yongkang Yang
03/20/2021
Application: WB
Species: Human

Bioinformatics

Gene Symbol YWHAQ
Entrez
Uniprot