ZNF322A Antibody - BSA Free

Images

 
Western Blot: ZNF322A Antibody [NBP2-33384] - Lane 1: Marker [kDa] 250, 130, 95, 72, 55, 36, 28, 17, 10. Lane 2: Human cell line RT-4. Lane 3: Human cell line U-251MG
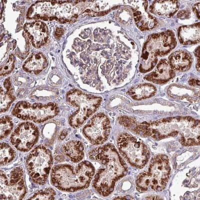
Immunohistochemistry: ZNF322A Antibody [NBP2-33384] - Staining of human kidney shows strong cytoplasmic positivity in cells in tubules.

Product Details

Summary
Reactivity Hu, Mu, RtSpecies Glossary
Applications WB, IHC
Clonality
Polyclonal
Host
Rabbit
Conjugate
Unconjugated
Format
BSA Free

Order Details

View Available Formulations
Catalog# & Formulation Size Price

ZNF322A Antibody - BSA Free Summary

Description
Novus Biologicals Rabbit ZNF322A Antibody - BSA Free (NBP2-33384) is a polyclonal antibody validated for use in IHC and WB. Anti-ZNF322A Antibody: Cited in 1 publication. All Novus Biologicals antibodies are covered by our 100% guarantee.
Immunogen
This antibody was developed against a recombinant protein corresponding to amino acids: QRIHMEEKPHQWSACESGFLLGMDFVAQQKMRTQTEELHYKYTVCD
Predicted Species
Mouse (91%), Rat (91%). Backed by our 100% Guarantee.
Isotype
IgG
Clonality
Polyclonal
Host
Rabbit
Gene
ZNF322
Purity
Affinity purified
Innovator's Reward
Test in a species/application not listed above to receive a full credit towards a future purchase.

Applications/Dilutions

Dilutions
  • Immunohistochemistry 1:50 - 1:200
  • Immunohistochemistry-Paraffin 1:50 - 1:200
  • Western Blot 0.04-0.4 ug/ml
Application Notes
For IHC-Paraffin, HIER pH 6 retrieval is recommended.
Control Peptide
ZNF322A Protein (NBP2-33384PEP)
Publications
Read Publication using
NBP2-33384 in the following applications:

Packaging, Storage & Formulations

Storage
Store at 4C short term. Aliquot and store at -20C long term. Avoid freeze-thaw cycles.
Buffer
PBS (pH 7.2) and 40% Glycerol
Preservative
0.02% Sodium Azide
Purity
Affinity purified

Alternate Names for ZNF322A Antibody - BSA Free

  • FLJ23393
  • HCG12
  • HLA complex group 12
  • zinc finger protein 322
  • zinc finger protein 322A
  • zinc finger protein 388
  • zinc finger protein 489
  • ZNF322A
  • ZNF388
  • ZNF489

Background

ZNF322A is a member of the zinc-finger transcription factor family and may regulate transcriptional activation in MAPK(see MAPK1; MIM 176948) signaling pathways (Li et al., 2004 (PubMed 15555580)).(supplied by OMIM)

Limitations

This product is for research use only and is not approved for use in humans or in clinical diagnosis. Primary Antibodies are guaranteed for 1 year from date of receipt.

Customers Who Viewed This Item Also Viewed...

NBP2-25160
Species: Bv, Ca, Eq, Hu, Mu, Po, Rt
Applications: ICC/IF, IHC, WB
AF3194
Species: Hu
Applications: ICC, Simple Western, WB
NBP1-87769
Species: Hu
Applications: ICC/IF, IHC,  IHC-P, WB
AF7980
Species: Hu
Applications: ICC
NBP2-50037
Species: Hu, Mu, Rt
Applications: ICC/IF, IHC, KO, WB
AF2214
Species: Hu
Applications: ICC, IHC, WB
NBP2-67471
Species: Hu, Mu, Rt
Applications: ICC/IF, IHC,  IHC-P, WB
NBP3-16602
Species: Hu, Mu, Rt
Applications: IHC,  IHC-P, IP, WB
NBP1-89544
Species: Hu
Applications: ChIP-EXO-SEQ, ICC/IF, IHC,  IHC-P, WB
NBP1-94047
Species: Hu
Applications: ICC/IF, IHC,  IHC-P, WB
NB600-261
Species: Hu, Mu
Applications: ChIP, Flow, GS, IP, WB
NBP1-58359
Species: Hu
Applications: IHC,  IHC-P, WB

Publications for ZNF322A Antibody (NBP2-33384)(1)

We have publications tested in 1 confirmed species: Human.

We have publications tested in 1 application: Western Blot.


Filter By Application
Western Blot
(1)
All Applications
Filter By Species
Human
(1)
All Species

Reviews for ZNF322A Antibody (NBP2-33384) (0)

There are no reviews for ZNF322A Antibody (NBP2-33384). By submitting a review you will receive an Amazon e-Gift Card or Novus Product Discount.
  • Review with no image -- $10/€7/£6/$10 CAD/¥70 Yuan/¥1110 Yen
  • Review with an image -- $25/€18/£15/$25 CAD/¥150 Yuan/¥2500 Yen

Product General Protocols

Find general support by application which include: protocols, troubleshooting, illustrated assays, videos and webinars.

Video Protocols

WB Video Protocol

FAQs for ZNF322A Antibody (NBP2-33384) (0)

There are no specific FAQs related to this product. Read our general customer & technical service FAQs.

Customers Who Bought This Also Bought

Contact Information

Product PDFs

Calculators

Concentration Calculator

The concentration calculator allows you to quickly calculate the volume, mass or concentration of your vial. Simply enter your mass, volume, or concentration values for your reagent and the calculator will determine the rest.

=
÷

Review this Product

Be the first to review our ZNF322A Antibody - BSA Free and receive a gift card or discount.

Bioinformatics

Gene Symbol ZNF322
Uniprot