ZNF212 Antibody - BSA Free

Images

 
Western Blot: ZNF212 Antibody [NBP2-88655] - WB Suggested Anti-ZNF212 Antibody Titration: 0.2-1 ug/ml. Positive Control: Jurkat cell lysate
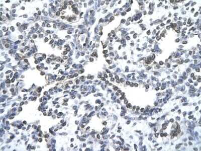
Immunohistochemistry-Paraffin: ZNF212 Antibody [NBP2-88655] - Rabbit Anti-ZNF212 antibody. Paraffin Embedded Tissue: Human Lung cell Cellular Data: alveolar cell of renal tubule. Antibody Concentration: 4.0-8.0 ug/ml. ...read more

Product Details

Summary
Reactivity HuSpecies Glossary
Applications WB, IHC
Clonality
Polyclonal
Host
Rabbit
Conjugate
Unconjugated
Format
BSA Free
Concentration
0.5 mg/ml

Order Details

ZNF212 Antibody - BSA Free Summary

Description
Novus Biologicals Rabbit ZNF212 Antibody - BSA Free (NBP2-88655) is a polyclonal antibody validated for use in IHC and WB. All Novus Biologicals antibodies are covered by our 100% guarantee.
Immunogen
The immunogen is a synthetic peptide directed towards the N-terminal region of human ZNF212. Peptide sequence: RSLENDGVCFTEQEWENLEDWQKELYRNVMESNYETLVSLKVLGQTEGEA The peptide sequence for this immunogen was taken from within the described region.
Clonality
Polyclonal
Host
Rabbit
Gene
ZNF212
Purity
Affinity purified
Innovator's Reward
Test in a species/application not listed above to receive a full credit towards a future purchase.

Applications/Dilutions

Dilutions
  • Immunohistochemistry
  • Immunohistochemistry-Paraffin
  • Western Blot 1.0 ug/ml

Packaging, Storage & Formulations

Storage
Store at 4C short term. Aliquot and store at -20C long term. Avoid freeze-thaw cycles.
Buffer
PBS, 2% Sucrose
Preservative
0.09% Sodium Azide
Concentration
0.5 mg/ml
Purity
Affinity purified

Alternate Names for ZNF212 Antibody - BSA Free

  • C2H2-150
  • zinc finger protein 212
  • Zinc finger protein C2H2-150
  • ZNF182
  • ZNFC150MGC9707

Background

The ZNF212 gene belongs to the C2H2-type zinc finger gene family. The zinc finger proteins are involved in gene regulation and development, and are quite conserved throughout evolution. Like this gene product, a third of the zinc finger proteins containing C2H2

Limitations

This product is for research use only and is not approved for use in humans or in clinical diagnosis. Primary Antibodies are guaranteed for 1 year from date of receipt.

Customers Who Viewed This Item Also Viewed...

MAB3481
Species: Hu
Applications: CyTOF-ready, ELISA(Cap), ELISA(Det), ELISA(Sta), Flow, Neut
NBP2-42190
Species: Hu, Mu, Rt
Applications: ICC/IF, IHC, WB
NBP1-80968
Species: Hu, Mu, Rt
Applications: ICC/IF, IHC,  IHC-P, WB
NBP2-49585
Species: Hu
Applications: ICC/IF, IHC,  IHC-P
NBP1-87691
Species: Hu
Applications: IHC,  IHC-P, WB
NBP2-32840
Species: Hu, Pm, Mu, Rt
Applications: Flow, ICC/IF, IHC,  IHC-P, WB
NBP2-46744
Species: Hu
Applications: IHC,  IHC-P
NBP1-90098
Species: Hu
Applications: ICC/IF, IHC,  IHC-P
NBP3-14088
Species: Hu
Applications: ELISA, Flow, ICC/IF, IP, PA, WB
NBP2-84353
Species: Hu
Applications: WB
NB100-56618
Species: Hu, Mu
Applications: Flow-CS, Flow, ICC/IF, IHC,  IHC-P, WB
AF3499
Species: Hu
Applications: WB

Publications for ZNF212 Antibody (NBP2-88655) (0)

There are no publications for ZNF212 Antibody (NBP2-88655).
By submitting your publication information earn gift cards and discounts for future purchases.

Reviews for ZNF212 Antibody (NBP2-88655) (0)

There are no reviews for ZNF212 Antibody (NBP2-88655). By submitting a review you will receive an Amazon e-Gift Card or Novus Product Discount.
  • Review with no image -- $10/€7/£6/$10 CAD/¥70 Yuan/¥1110 Yen
  • Review with an image -- $25/€18/£15/$25 CAD/¥150 Yuan/¥2500 Yen

Product General Protocols

Find general support by application which include: protocols, troubleshooting, illustrated assays, videos and webinars.

Video Protocols

WB Video Protocol

FAQs for ZNF212 Antibody (NBP2-88655) (0)

There are no specific FAQs related to this product. Read our general customer & technical service FAQs.

Customers Who Bought This Also Bought

Contact Information

Product PDFs

Calculators

Concentration Calculator

The concentration calculator allows you to quickly calculate the volume, mass or concentration of your vial. Simply enter your mass, volume, or concentration values for your reagent and the calculator will determine the rest.

=
÷

Review this Product

Be the first to review our ZNF212 Antibody - BSA Free and receive a gift card or discount.

Bioinformatics

Gene Symbol ZNF212