ZNF124 Antibody - BSA Free

Images

 
Western Blot: ZNF124 Antibody [NBP2-20961] - Sample (30 ug of whole cell lysate) A: Jurkat B: Raji C: K562 10% SDS PAGE gel, diluted at 1:2000.
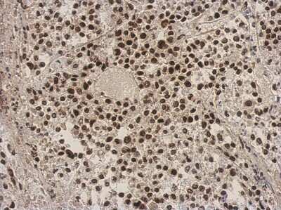
Immunohistochemistry-Paraffin: ZNF124 Antibody [NBP2-20961] - Immunohistochemical analysis of paraffin-embedded D54MG xenograft, using antibody at 1:500 dilution.
ZNF124 antibody detects ZNF124 protein at nucleus by immunofluorescent analysis.Sample: HeLa cells were fixed in 4% paraformaldehyde at RT for 15 min.Green: ZNF124 protein stained by ZNF124 antibody (NBP2-20961) diluted ...read more

Product Details

Summary
Reactivity HuSpecies Glossary
Applications WB, ICC/IF, IHC
Clonality
Polyclonal
Host
Rabbit
Conjugate
Unconjugated
Format
BSA Free

Order Details

ZNF124 Antibody - BSA Free Summary

Description
Novus Biologicals Rabbit ZNF124 Antibody - BSA Free (NBP2-20961) is a polyclonal antibody validated for use in IHC, WB and ICC/IF. All Novus Biologicals antibodies are covered by our 100% guarantee.
Immunogen
Recombinant protein encompassing a sequence within the center region of human ZNF124. The exact sequence is proprietary.
Localization
Nucleus
Isotype
IgG
Clonality
Polyclonal
Host
Rabbit
Gene
ZNF124
Purity
Antigen Affinity-purified
Innovator's Reward
Test in a species/application not listed above to receive a full credit towards a future purchase.

Applications/Dilutions

Dilutions
  • Immunocytochemistry/ Immunofluorescence 1:100-1:1000
  • Immunohistochemistry 1:100-1:1000
  • Immunohistochemistry-Paraffin 1:100-1:1000
  • Western Blot 1:500-1:3000
Theoretical MW
40 kDa.
Disclaimer note: The observed molecular weight of the protein may vary from the listed predicted molecular weight due to post translational modifications, post translation cleavages, relative charges, and other experimental factors.

Packaging, Storage & Formulations

Storage
Aliquot and store at -20C or -80C. Avoid freeze-thaw cycles.
Buffer
PBS, 20% Glycerol
Preservative
0.01% Thimerosal
Purity
Antigen Affinity-purified

Alternate Names for ZNF124 Antibody - BSA Free

  • HZF16
  • HZF-16
  • MGC117046
  • zinc finger protein 124 (HZF-16)
  • zinc finger protein 124
  • Zinc finger protein HZF-16

Background

May be involved in transcriptional regulation.

Limitations

This product is for research use only and is not approved for use in humans or in clinical diagnosis. Primary Antibodies are guaranteed for 1 year from date of receipt.

Customers Who Viewed This Item Also Viewed...

DVE00
Species: Hu
Applications: ELISA
H00007695-M03
Species: Hu
Applications: ELISA, ICC/IF, WB
NBP1-79358
Species: Hu
Applications: WB
NBP2-21020
Species: Hu
Applications: ICC/IF, IHC,  IHC-P, WB
NBP1-82897
Species: Hu
Applications: ICC/IF, IHC,  IHC-P, WB
NBP2-30747
Species: Hu
Applications: ChIP-EXO-SEQ, ICC/IF, IHC,  IHC-P
H00051710-M01
Species: Hu
Applications: ELISA, IHC,  IHC-P, S-ELISA, WB
AF2156
Species: Hu, Mu
Applications: ICC, IHC, WB
NBP1-80599
Species: Hu
Applications: IHC,  IHC-P
NB100-2134
Species: Hu, Mu
Applications: IHC,  IHC-P, IP (-), IP, Simple Western, WB
NBP1-91886
Species: Hu
Applications: ICC/IF, IHC,  IHC-P, WB
NBP1-47657
Species: Hu, Mu, Rt
Applications: Flow, ICC/IF, IHC,  IHC-P, WB
NBP1-81219
Species: Hu
Applications: IHC,  IHC-P, WB
NBP2-82381
Species: Hu
Applications: WB
NBP1-90446
Species: Hu
Applications: IHC,  IHC-P
⚠ WARNING: This product can expose you to chemicals including mercury, which is known to the State of California to cause reproductive toxicity with developmental effects.  For more information go to www.P65Warnings.ca.gov.

Publications for ZNF124 Antibody (NBP2-20961) (0)

There are no publications for ZNF124 Antibody (NBP2-20961).
By submitting your publication information earn gift cards and discounts for future purchases.

Reviews for ZNF124 Antibody (NBP2-20961) (0)

There are no reviews for ZNF124 Antibody (NBP2-20961). By submitting a review you will receive an Amazon e-Gift Card or Novus Product Discount.
  • Review with no image -- $10/€7/£6/$10 CAD/¥70 Yuan/¥1110 Yen
  • Review with an image -- $25/€18/£15/$25 CAD/¥150 Yuan/¥2500 Yen

Product General Protocols

Find general support by application which include: protocols, troubleshooting, illustrated assays, videos and webinars.

Video Protocols

WB Video Protocol
ICC/IF Video Protocol

FAQs for ZNF124 Antibody (NBP2-20961) (0)

There are no specific FAQs related to this product. Read our general customer & technical service FAQs.

Customers Who Bought This Also Bought

Contact Information

Product PDFs

Calculators

Concentration Calculator

The concentration calculator allows you to quickly calculate the volume, mass or concentration of your vial. Simply enter your mass, volume, or concentration values for your reagent and the calculator will determine the rest.

=
÷

Review this Product

Be the first to review our ZNF124 Antibody - BSA Free and receive a gift card or discount.

Bioinformatics

Gene Symbol ZNF124
Uniprot