ZBTB48 Antibody

Images

 
Western Blot: ZBTB48 Antibody [NBP2-75720] - Analysis of ZBTB48 on mouse spleen tissue lysate using anti-ZBTB48 antibody at 1/1,000 dilution.
Immunocytochemistry/ Immunofluorescence: ZBTB48 Antibody [NBP2-75720] - Staining ZBTB48 in PC-3M cells (green). The nuclear counter stain is DAPI (blue). Cells were fixed in paraformaldehyde, permeabilised with 0.25% ...read more
Immunohistochemistry-Paraffin: ZBTB48 Antibody [NBP2-75720] - Analysis of paraffin-embedded rat kidney tissue using anti-ZBTB48 antibody. Counter stained with hematoxylin.
Flow Cytometry: ZBTB48 Antibody [NBP2-75720] - Analysis of Hela cells with ZBTB48 antibody at 1/50 dilution (red) compared with an unlabelled control (cells without incubation with primary antibody; black). Alexa Fluor ...read more
Immunocytochemistry/ Immunofluorescence: ZBTB48 Antibody [NBP2-75720] - Staining ZBTB48 in SH-SY5Y cells (green). The nuclear counter stain is DAPI (blue). Cells were fixed in paraformaldehyde, permeabilised with 0.25% ...read more
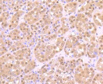
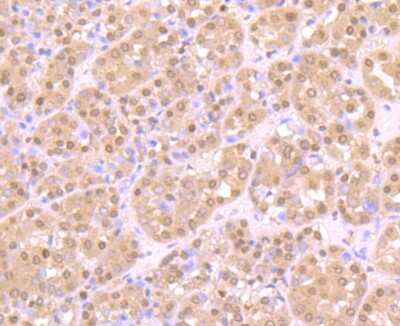
Immunohistochemistry-Paraffin: ZBTB48 Antibody [NBP2-75720] - Analysis of paraffin-embedded human liver cancer tissue using anti-ZBTB48 antibody. Counter stained with hematoxylin.
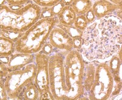
Immunohistochemistry-Paraffin: ZBTB48 Antibody [NBP2-75720] - Analysis of paraffin-embedded human kidney tissue using anti-ZBTB48 antibody. Counter stained with hematoxylin.
Immunohistochemistry-Paraffin: ZBTB48 Antibody [NBP2-75720] - Analysis of paraffin-embedded mouse kidney tissue using anti-ZBTB48 antibody. Counter stained with hematoxylin.

Product Details

Summary
Product Discontinued
View other related ZBTB48 Primary Antibodies

Order Details


    • Catalog Number
      NBP2-75720
    • Availability
      Product Discontinued

    Can't find what you are looking for? Use our Antibody Concierge Service & we will help you locate your antibody!

    Or feel free to contact us for alternative products.

ZBTB48 Antibody Summary

Immunogen
Synthetic peptide within Human ZBTB48 aa 584-633 / 688. (SwissProt: P10074 Human; SwissProt: Q1H9T6 Mouse)
Localization
Nucleus.
Isotype
IgG
Clonality
Polyclonal
Host
Rabbit
Gene
ZBTB48
Purity
Immunogen affinity purified
Innovator's Reward
Test in a species/application not listed above to receive a full credit towards a future purchase.

Applications/Dilutions

Dilutions
  • Flow Cytometry 1:50-1:200
  • Immunocytochemistry/ Immunofluorescence 1:50-1:200
  • Immunohistochemistry
  • Immunohistochemistry-Paraffin 1:50-1:200
  • Western Blot 1:500-1:1000
Theoretical MW
77 kDa.
Disclaimer note: The observed molecular weight of the protein may vary from the listed predicted molecular weight due to post translational modifications, post translation cleavages, relative charges, and other experimental factors.

Packaging, Storage & Formulations

Storage
Store at 4C short term. Aliquot and store at -20C long term. Avoid freeze-thaw cycles.
Buffer
PBS (pH7.4), 0.2% BSA, 50% Glycerol
Preservative
0.05% Sodium Azide
Concentration
1 mg/ml
Purity
Immunogen affinity purified

Alternate Names for ZBTB48 Antibody

  • GLI-Kruppel family member HKR3
  • HKR3zinc finger and BTB domain-containing protein 48
  • Krueppel-related zinc finger protein 3
  • Protein HKR3
  • zinc finger and BTB domain containing 48
  • Zinc finger protein 855
  • ZNF855pp9964

Background

ZBTB48 binds to and regulates the J and/or S elements in MHC II promoter

Limitations

This product is for research use only and is not approved for use in humans or in clinical diagnosis. Primary Antibodies are guaranteed for 1 year from date of receipt.

Customers Who Viewed This Item Also Viewed...

NBP2-30949
Species: Hu
Applications: IHC,  IHC-P
NBP1-81293
Species: Hu
Applications: ICC/IF, IHC,  IHC-P, KD, WB
NBP1-97512
Species: Mu
Applications: ICC/IF, IHC, IHC-Fr,  IHC-P, IP, WB
NBP3-47902
Species: Hu, Mu, Rt
Applications: ELISA, IHC, WB
NBP1-62583
Species: Hu
Applications: WB
NB100-74635
Species: Hu
Applications: IHC,  IHC-P, IP, WB (-)
NBP2-44520
Species: Ca(-), Hu, Rt(-)
Applications: Flow-IC, Flow, ICC/IF, IF, IHC,  IHC-P, MI, WB
NBP2-38770
Species: Hu, Mu
Applications:  IHC-P, WB
MAB1675
Species: Ch, Hu, Mu, Rt
Applications: ICC, IHC
NBP1-90095
Species: Hu
Applications: IHC,  IHC-P
AF755
Species: Mu
Applications: Block, WB
NBP2-02136
Species: Hu, Mu, Rt
Applications: Flow, ICC/IF, IHC,  IHC-P, WB
NBP2-46321
Species: Hu, Mu, Rt
Applications: IHC,  IHC-P, WB
NBP1-87040
Species: Hu
Applications: ICC/IF, IHC,  IHC-P, WB
MAB229
Species: Hu
Applications: AgAct, CyTOF-ready, Flow, WB
NBP3-17040
Species: Hu
Applications: IHC,  IHC-P, WB
DRT200
Species: Hu
Applications: ELISA
NB600-607
Species: Hu, Rt
Applications: ELISA, IHC,  IHC-P, WB
NBP2-92609
Species: Hu, Mu
Applications: ELISA, ICC/IF, WB
943-D3
Species: Hu
Applications: Bind

Publications for ZBTB48 Antibody (NBP2-75720) (0)

There are no publications for ZBTB48 Antibody (NBP2-75720).
By submitting your publication information earn gift cards and discounts for future purchases.

Reviews for ZBTB48 Antibody (NBP2-75720) (0)

There are no reviews for ZBTB48 Antibody (NBP2-75720). By submitting a review you will receive an Amazon e-Gift Card or Novus Product Discount.
  • Review with no image -- $10/€7/£6/$10 CAD/¥70 Yuan/¥1110 Yen
  • Review with an image -- $25/€18/£15/$25 CAD/¥150 Yuan/¥2500 Yen

Product General Protocols

Find general support by application which include: protocols, troubleshooting, illustrated assays, videos and webinars.

Video Protocols

WB Video Protocol
ICC/IF Video Protocol

FAQs for ZBTB48 Antibody (NBP2-75720) (0)

There are no specific FAQs related to this product. Read our general customer & technical service FAQs.

Contact Information

Product PDFs

Calculators

Concentration Calculator

The concentration calculator allows you to quickly calculate the volume, mass or concentration of your vial. Simply enter your mass, volume, or concentration values for your reagent and the calculator will determine the rest.

=
÷

Review this Product

Be the first to review our ZBTB48 Antibody and receive a gift card or discount.

Bioinformatics

Gene Symbol ZBTB48