ZBBX Antibody - BSA Free

Images

 
Immunohistochemistry-Paraffin: ZBBX Antibody [NBP2-38294] - Staining of human cerebral cortex.
Immunohistochemistry: ZBBX Antibody [NBP2-38294] - Staining of human fallopian tube shows strong positivity in ciliated cells.
Immunohistochemistry-Paraffin: ZBBX Antibody [NBP2-38294] - Staining of human colon shows low expression as expected.
Immunohistochemistry-Paraffin: ZBBX Antibody [NBP2-38294] - Staining of human fallopian tube shows high expression.
Orthogonal Strategies: Immunohistochemistry-Paraffin: ZBBX Antibody [NBP2-38294] - Staining in human fallopian tube and colon tissues using anti-ZBBX antibody. Corresponding ZBBX RNA-seq data are presented for ...read more
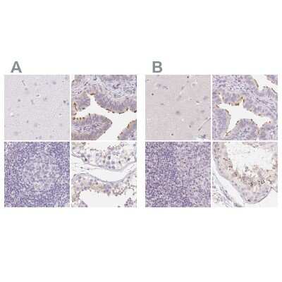
Independent Antibodies: Immunohistochemistry-Paraffin: ZBBX Antibody [NBP2-38294] - Staining of human cerebral cortex, fallopian tube, lymph node and testis using Anti-ZBBX antibody NBP2-38294 (A) shows similar ...read more
Immunohistochemistry-Paraffin: ZBBX Antibody [NBP2-38294] - Staining of human testis.
Immunohistochemistry-Paraffin: ZBBX Antibody [NBP2-38294] - Staining of human lymph node.

Product Details

Summary
Reactivity HuSpecies Glossary
Applications IHC
Clonality
Polyclonal
Host
Rabbit
Conjugate
Unconjugated
Format
BSA Free

Order Details

View Available Formulations
Catalog# & Formulation Size Price

ZBBX Antibody - BSA Free Summary

Description
Novus Biologicals Rabbit ZBBX Antibody - BSA Free (NBP2-38294) is a polyclonal antibody validated for use in IHC. All Novus Biologicals antibodies are covered by our 100% guarantee.
Immunogen
This antibody was developed against a recombinant protein corresponding to amino acids: QHTLDNLEKELQVLRSLADTSEKLYSLTSEEFPDFSSQSLNISQISTDFLKTSHVRGPCGVEELSCSGRDTKIQSLLSLSESSTDEEEEDFLNKQ
Isotype
IgG
Clonality
Polyclonal
Host
Rabbit
Gene
ZBBX
Purity
Immunogen affinity purified
Innovator's Reward
Test in a species/application not listed above to receive a full credit towards a future purchase.

Applications/Dilutions

Dilutions
  • Immunohistochemistry 1:1000 - 1:2500
  • Immunohistochemistry-Paraffin 1:1000 - 1:2500
Application Notes
For IHC-Paraffin, HIER pH 6 retrieval is recommended.
Control Peptide
ZBBX Protein (NBP2-38294PEP)

Packaging, Storage & Formulations

Storage
Store at 4C short term. Aliquot and store at -20C long term. Avoid freeze-thaw cycles.
Buffer
PBS (pH 7.2) and 40% Glycerol
Preservative
0.02% Sodium Azide
Purity
Immunogen affinity purified

Alternate Names for ZBBX Antibody - BSA Free

  • zinc finger, B-box domain containing

Background

ZBBX is a gene that codes for a protein with two isoforms, measuring 800 and 839 amino acids in length with weights of approximately 91 and 96 kDa respectively. Current research is being done on diseases and disorders linked to this gene including attention deficit hyperactivity disorder.

Limitations

This product is for research use only and is not approved for use in humans or in clinical diagnosis. Primary Antibodies are guaranteed for 1 year from date of receipt.

Customers Who Viewed This Item Also Viewed...

MAB3067
Species: Hu, Mu
Applications: WB
NBP3-35468
Species: Hu, Mu, Rt
Applications: ELISA, IHC,  IHC-P, WB
NBP1-77128
Species: Hu, Mu, Rt
Applications: ELISA, IHC,  IHC-P, WB
NBP1-87486
Species: Hu
Applications: IHC,  IHC-P, WB
AF3457
Species: Hu
Applications: ICC, WB
H00022954-M09
Species: Hu, Mu
Applications: ELISA, ICC/IF, IHC, KD, WB
NBP1-83656
Species: Hu, Mu, Rt
Applications: ICC/IF, IHC,  IHC-P, KD, WB
MAB8286
Species: Hu
Applications: IHC
AF5085
Species: Hu, Mu, Rt
Applications: ICC, WB
NBP1-59195
Species: Hu
Applications: ICC/IF, WB
NBP1-91003
Species: Hu, Tr
Applications: IHC,  IHC-P
NBP1-83242
Species: Hu, Mu
Applications: ICC/IF, IHC,  IHC-P, WB

Publications for ZBBX Antibody (NBP2-38294) (0)

There are no publications for ZBBX Antibody (NBP2-38294).
By submitting your publication information earn gift cards and discounts for future purchases.

Reviews for ZBBX Antibody (NBP2-38294) (0)

There are no reviews for ZBBX Antibody (NBP2-38294). By submitting a review you will receive an Amazon e-Gift Card or Novus Product Discount.
  • Review with no image -- $10/€7/£6/$10 CAD/¥70 Yuan/¥1110 Yen
  • Review with an image -- $25/€18/£15/$25 CAD/¥150 Yuan/¥2500 Yen

Product General Protocols

Find general support by application which include: protocols, troubleshooting, illustrated assays, videos and webinars.

FAQs for ZBBX Antibody (NBP2-38294) (0)

There are no specific FAQs related to this product. Read our general customer & technical service FAQs.

Customers Who Bought This Also Bought

Contact Information

Product PDFs

Calculators

Concentration Calculator

The concentration calculator allows you to quickly calculate the volume, mass or concentration of your vial. Simply enter your mass, volume, or concentration values for your reagent and the calculator will determine the rest.

=
÷

Review this Product

Be the first to review our ZBBX Antibody - BSA Free and receive a gift card or discount.

Bioinformatics

Gene Symbol ZBBX
Uniprot