XK X-linked Kx blood group Antibody

Images

 
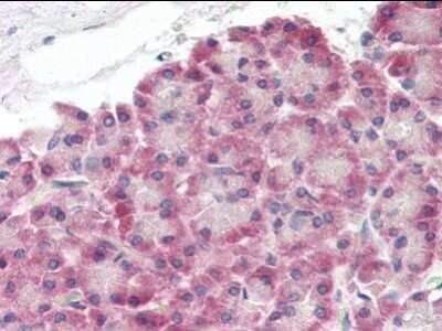
Immunohistochemistry-Paraffin: XK X-linked Kx blood group Antibody [NBP1-50522] - Analysis of anti-XK antibody with human pancreas at concentration 10 ug/ml.
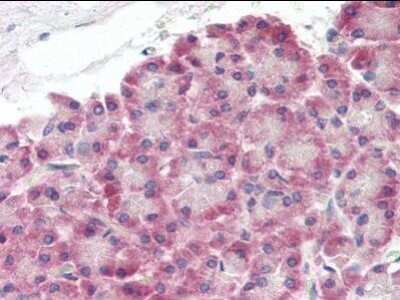
Immunohistochemistry-Paraffin: XK X-linked Kx blood group Antibody [NBP1-50522] - Analysis of anti-XK antibody with human pancreas at concentration 10 ug/ml.

Product Details

Summary
Product Discontinued
View other related XK X-linked Kx blood group Primary Antibodies

Order Details


    • Catalog Number
      NBP1-50522
    • Availability
      Product Discontinued

    Can't find what you are looking for? Use our Antibody Concierge Service & we will help you locate your antibody!

    Or feel free to contact us for alternative products.

XK X-linked Kx blood group Antibody Summary

Immunogen
Synthetic peptide from human XK X-linked Kx blood group.
Specificity
KLH conjugated synthetic peptide comprising amino acids 22 - 38 [LSLSSTYRSGGDRMWQA] of the human McLeod syndrome-associated Kell blood group protein (XK) protein.
Isotype
IgG
Clonality
Polyclonal
Host
Rabbit
Gene
XK
Purity
Protein G purified
Innovator's Reward
Test in a species/application not listed above to receive a full credit towards a future purchase.

Applications/Dilutions

Dilutions
  • ELISA 1:1000
  • Immunohistochemistry
  • Immunohistochemistry-Paraffin 10 ug/ml

Reactivity Notes

Predicted cross-reactivity based on sequence identity: Rat (82%),Canine (82%), Rabbit (82%).

Packaging, Storage & Formulations

Storage
Store at 4C short term. Aliquot and store at -20C long term. Avoid freeze-thaw cycles.
Buffer
PBS
Preservative
0.09% Sodium Azide
Concentration
1 mg/ml
Purity
Protein G purified

Alternate Names for XK X-linked Kx blood group Antibody

  • Kell blood group precursor (McLeod phenotype)
  • Kell complex 37 kDa component
  • Kx antigen
  • Kx
  • membrane transport protein XK
  • X1k
  • XK, Kell blood group complex subunit (McLeod syndrome)
  • XKR1XK-related protein 1
  • X-linked Kx blood group (McLeod syndrome)
  • XRG1

Background

This locus controls the synthesis of the Kell blood group 'precursor substance' (Kx). Mutations in this gene have been associated with McLeod syndrome, an X-linked, recessive disorder characterized by abnormalities in the neuromuscular and hematopoietic systems. The encoded protein has structural characteristics of prokaryotic and eukaryotic membrane transport proteins.

Limitations

This product is for research use only and is not approved for use in humans or in clinical diagnosis. Primary Antibodies are guaranteed for 1 year from date of receipt.

Customers Who Viewed This Item Also Viewed...

NBP2-41291
Species: Hu, Mu, Rt
Applications: ELISA, ICC/IF, IHC,  IHC-P, WB
NBP3-16735
Species: Hu, Mu, Rt
Applications: ELISA, ICC/IF, IHC,  IHC-P, WB
NBP3-48709
Species: Hu, Mu, Rt
Applications: ICC/IF, IHC,  IHC-P, WB
NBP3-00319
Species: Hu
Applications: ELISA, IHC,  IHC-P, IP, WB
AF1914
Species: Hu
Applications: CyTOF-ready, Flow, IP, WB
NBP1-85641
Species: Hu, Mu
Applications: ICC/IF, IHC,  IHC-P, WB
NBP3-17923
Species: Hu
Applications: IHC,  IHC-P
NBP2-84247
Species: Hu
Applications: WB
NBP1-87408
Species: Hu, Mu
Applications: ICC/IF, IHC,  IHC-P, Simple Western, WB
NBP2-02164
Species: Hu, Mu, Rt
Applications: Flow, ICC/IF, IHC,  IHC-P, WB
NBP1-89953
Species: Hu, Mu
Applications: ICC/IF, IHC,  IHC-P
H00001908-M01
Species: Hu
Applications: ELISA, IP, WB
NBP1-90233
Species: Hu
Applications: IHC,  IHC-P, WB
H00000126-D01P
Species: Hu, Mu
Applications: WB
NBP2-00649
Species: Ca, Hu, Rt
Applications: Flow, ICC/IF, IHC,  IHC-P, WB
NBP3-35880
Species: Hu, Mu, Rt
Applications: ELISA, ICC/IF, WB

Publications for XK X-linked Kx blood group Antibody (NBP1-50522) (0)

There are no publications for XK X-linked Kx blood group Antibody (NBP1-50522).
By submitting your publication information earn gift cards and discounts for future purchases.

Reviews for XK X-linked Kx blood group Antibody (NBP1-50522) (0)

There are no reviews for XK X-linked Kx blood group Antibody (NBP1-50522). By submitting a review you will receive an Amazon e-Gift Card or Novus Product Discount.
  • Review with no image -- $10/€7/£6/$10 CAD/¥70 Yuan/¥1110 Yen
  • Review with an image -- $25/€18/£15/$25 CAD/¥150 Yuan/¥2500 Yen

Product General Protocols

Find general support by application which include: protocols, troubleshooting, illustrated assays, videos and webinars.

FAQs for XK X-linked Kx blood group Antibody (NBP1-50522) (0)

There are no specific FAQs related to this product. Read our general customer & technical service FAQs.

Secondary Antibodies

 

Isotype Controls

Additional XK X-linked Kx blood group Products

Research Areas for XK X-linked Kx blood group Antibody (NBP1-50522)

Find related products by research area.

Blogs on XK X-linked Kx blood group

There are no specific blogs for XK X-linked Kx blood group, but you can read our latest blog posts.

Contact Information

Product PDFs

Calculators

Concentration Calculator

The concentration calculator allows you to quickly calculate the volume, mass or concentration of your vial. Simply enter your mass, volume, or concentration values for your reagent and the calculator will determine the rest.

=
÷

Review this Product

Be the first to review our XK X-linked Kx blood group Antibody and receive a gift card or discount.

Bioinformatics

Gene Symbol XK
Entrez
Uniprot