UNC84B Antibody (JG39-52)

Images

 
Western Blot: UNC84B Antibody (JG39-52) [NBP2-75696] - Analysis of SUN2 on rat kidney tissue lysate using anti-SUN2 antibody at 1/2,000 dilution.
Immunocytochemistry/ Immunofluorescence: UNC84B Antibody (JG39-52) [NBP2-75696] - Staining SUN2 (green) in SK-Br-3 cells. The nuclear counter stain is DAPI (blue). Cells were fixed in paraformaldehyde, permeabilised ...read more
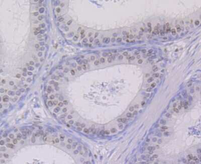
Immunohistochemistry-Paraffin: UNC84B Antibody (JG39-52) [NBP2-75696] - Analysis of paraffin-embedded rat epididymis tissue using anti-SUN2 antibody. Counter stained with hematoxylin.
Flow Cytometry: UNC84B Antibody (JG39-52) [NBP2-75696] - Analysis of SK-Br-3 cells with SUN2 antibody at 1/100 dilution (purple) compared with an unlabelled control (cells without incubation with primary antibody; ...read more
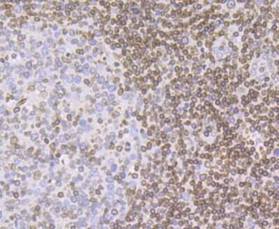
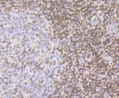
Immunohistochemistry-Paraffin: UNC84B Antibody (JG39-52) [NBP2-75696] - Analysis of paraffin-embedded human tonsil tissue using anti-SUN2 antibody. Counter stained with hematoxylin.
Immunohistochemistry-Paraffin: UNC84B Antibody (JG39-52) [NBP2-75696] - Analysis of paraffin-embedded human colon tissue using anti-SUN2 antibody. Counter stained with hematoxylin.
Immunohistochemistry-Paraffin: UNC84B Antibody (JG39-52) [NBP2-75696] - Analysis of paraffin-embedded human prostate cancer tissue using anti-SUN2 antibody. Counter stained with hematoxylin.
Immunohistochemistry-Paraffin: UNC84B Antibody (JG39-52) [NBP2-75696] - Analysis of paraffin-embedded mouse liver tissue using anti-SUN2 antibody. Counter stained with hematoxylin.

Product Details

Summary
Product Discontinued
View other related UNC84B Primary Antibodies

Order Details


    • Catalog Number
      NBP2-75696
    • Availability
      Product Discontinued

    Can't find what you are looking for? Use our Antibody Concierge Service & we will help you locate your antibody!

    Or feel free to contact us for alternative products.

UNC84B Antibody (JG39-52) Summary

Additional Information
Recombinant Monoclonal Antibody.
Immunogen
Recombinant protein within Human UNC84B aa 591-717 / 717. (SwissProt: Q9UH99 Human; SwissProt: Q8BJS4 Mouse)
Localization
Endosome. Nucleus inner membrane.
Isotype
IgG
Clonality
Monoclonal
Host
Rabbit
Gene
SUN2
Purity
Protein A purified
Innovator's Reward
Test in a species/application not listed above to receive a full credit towards a future purchase.

Applications/Dilutions

Dilutions
  • Flow Cytometry 1:50-1:100
  • Immunocytochemistry/ Immunofluorescence 1:50-1:100
  • Immunohistochemistry-Paraffin 1:50-1:200
  • Western Blot 1:500-1:2000
Theoretical MW
80 kDa.
Disclaimer note: The observed molecular weight of the protein may vary from the listed predicted molecular weight due to post translational modifications, post translation cleavages, relative charges, and other experimental factors.

Packaging, Storage & Formulations

Storage
Store at 4C short term. Aliquot and store at -20C long term. Avoid freeze-thaw cycles.
Buffer
TBS (pH7.4), 0.05% BSA, 40% Glycerol
Preservative
0.05% Sodium Azide
Concentration
1 mg/ml
Purity
Protein A purified

Alternate Names for UNC84B Antibody (JG39-52)

  • FRIGG
  • KIAA0668
  • MGC133055
  • MGC133056
  • nuclear envelope protein
  • Protein unc-84 homolog B
  • Rab5-interacting protein
  • rab5IP
  • Sad1 and UNC84 domain containing 2
  • Sad1 unc-84 domain protein 2
  • Sad1/unc-84 protein-like 2
  • SUN domain-containing protein 2
  • unc-84 homolog B (C. elegans)
  • unc-84 homolog B
  • UNC84B

Limitations

This product is for research use only and is not approved for use in humans or in clinical diagnosis. Primary Antibodies are guaranteed for 1 year from date of receipt.

Customers Who Viewed This Item Also Viewed...

NB100-74451
Species: Bv, Hu, Mu, Po, Rt
Applications: ICC/IF, IHC, IHC-Fr, WB
NBP1-87396
Species: Hu
Applications: ICC/IF, IHC,  IHC-P, IP, Simple Western, WB
NBP2-42886
Species: Hu, Mu, Rt
Applications: ICC/IF, IHC, IHC-Fr,  IHC-P, WB
NBP1-87692
Species: Ha, Hu, Mu, Rt
Applications: ICC/IF, IHC,  IHC-P, KD, WB
NBP1-89349
Species: Hu
Applications: ICC/IF, IHC,  IHC-P
DY4517-05
Species: Mu
Applications: ELISA
NBP2-59783
Species: Hu
Applications: ICC/IF, IHC,  IHC-P, WB
H00003930-B01P
Species: Hu, Mu
Applications: ICC/IF, IHC,  IHC-P, WB
NB100-2388
Species: Hu
Applications: WB
NBP2-73636
Species: Ca, Hu, Pm, Mu, Pm, Rt
Applications: CyTOF-ready, Flow, WB
NBP3-03780
Species: Hu, Mu, Rt
Applications: IHC,  IHC-P, WB
NBP2-76978
Species: Hu, Mu, Rt
Applications: Flow, ICC/IF, IHC,  IHC-P, WB
NBP1-84132
Species: Hu
Applications: IHC,  IHC-P
NB300-223
Species: Bv, Ca, Ch, Eq, Hu, Mu, Po, Rt
Applications: ICC/IF, IHC, IHC-Fr,  IHC-P, WB
NBP2-13399
Species: Hu
Applications: IHC,  IHC-P
NBP2-02211
Species: Ca, Hu, Pm, Mu, Rt
Applications: Flow, ICC/IF, IHC,  IHC-P, IP, WB
NBP1-89946
Species: Hu
Applications: ICC/IF, IHC,  IHC-P
NBP2-75696
Species: Hu, Mu, Rt
Applications: WB, Flow, ICC/IF, IHC

Publications for UNC84B Antibody (NBP2-75696) (0)

There are no publications for UNC84B Antibody (NBP2-75696).
By submitting your publication information earn gift cards and discounts for future purchases.

Reviews for UNC84B Antibody (NBP2-75696) (0)

There are no reviews for UNC84B Antibody (NBP2-75696). By submitting a review you will receive an Amazon e-Gift Card or Novus Product Discount.
  • Review with no image -- $10/€7/£6/$10 CAD/¥70 Yuan/¥1110 Yen
  • Review with an image -- $25/€18/£15/$25 CAD/¥150 Yuan/¥2500 Yen

Product General Protocols

Find general support by application which include: protocols, troubleshooting, illustrated assays, videos and webinars.

Video Protocols

WB Video Protocol
ICC/IF Video Protocol

FAQs for UNC84B Antibody (NBP2-75696) (0)

There are no specific FAQs related to this product. Read our general customer & technical service FAQs.

Secondary Antibodies

 

Isotype Controls

Additional UNC84B Products

Research Areas for UNC84B Antibody (NBP2-75696)

Find related products by research area.

Blogs on UNC84B

There are no specific blogs for UNC84B, but you can read our latest blog posts.

Contact Information

Product PDFs

Calculators

Concentration Calculator

The concentration calculator allows you to quickly calculate the volume, mass or concentration of your vial. Simply enter your mass, volume, or concentration values for your reagent and the calculator will determine the rest.

=
÷

Review this Product

Be the first to review our UNC84B Antibody (JG39-52) and receive a gift card or discount.

Bioinformatics

Gene Symbol SUN2