UNC13A/Munc13-1 Antibody

Images

 
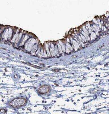
Immunohistochemistry-Paraffin: UNC13A/Munc13-1 Antibody [NBP1-87895] - Staining of human nasopharynx shows distinct membranous positivity in respiratory epithelial cells.

Product Details

Summary
Product Discontinued
View other related UNC13A/Munc13-1 Primary Antibodies

Order Details


    • Catalog Number
      NBP1-87895
    • Availability
      Product Discontinued

    Can't find what you are looking for? Use our Antibody Concierge Service & we will help you locate your antibody!

    Or feel free to contact us for alternative products.

UNC13A/Munc13-1 Antibody Summary

Immunogen
This antibody was developed against Recombinant Protein corresponding to amino acids: QLSEDFDPDEHSLQGSDMEDERDRDSYHSCHSSVSYHKDSPRWDQDEEELEEDLEDFLEEEE
Isotype
IgG
Clonality
Polyclonal
Host
Rabbit
Gene
UNC13A
Purity
Immunogen affinity purified
Innovator's Reward
Test in a species/application not listed above to receive a full credit towards a future purchase.

Applications/Dilutions

Dilutions
  • Immunohistochemistry 1:50 - 1:200
  • Immunohistochemistry-Paraffin 1:50 - 1:200
Application Notes
For IHC-Paraffin, HIER pH 6 retrieval is recommended.

Reactivity Notes

Immunogen displays the following percentage of sequence identity for non-tested species: Mouse (84%)

Packaging, Storage & Formulations

Storage
Store at 4C short term. Aliquot and store at -20C long term. Avoid freeze-thaw cycles.
Buffer
PBS (pH 7.2) and 40% Glycerol
Preservative
0.02% Sodium Azide
Purity
Immunogen affinity purified

Alternate Names for UNC13A/Munc13-1 Antibody

  • KIAA1032Munc13-1protein unc-13 homolog A
  • Munc13-1
  • unc-13 homolog A (C. elegans)
  • UNC13A

Background

Munc13-1, a protein of the UNC13 family (UNC13A), are diacylglycerol and phorbol ester receptors with ligand affinities similar to those of protein kinase C (see PRKCA; MIM 176960). Rodent Munc13-1 is a presynaptic protein with an essential role in synaptic vesicle priming (Rossner et al., 2004 [PubMed 15123597]).

Limitations

This product is for research use only and is not approved for use in humans or in clinical diagnosis. Primary Antibodies are guaranteed for 1 year from date of receipt.

Customers Who Viewed This Item Also Viewed...

NBP1-33037
Species: Hu, Rt
Applications: ICC/IF, IHC,  IHC-P, WB
NBP3-30337
Species: Hu, Mu
Applications: WB
AF6868
Species: Hu
Applications: IHC, KO, WB
NBP1-33714
Species: Hu, Mu, Rt, Ze
Applications: ICC/IF, IHC-WhMt, IHC, IHC-Fr,  IHC-P, Simple Western, WB
NB100-79809
Species: Hu, Mu
Applications: ChIP, ICC/IF, IP
MAB1417
Species: Bv, Hu, Mu
Applications: ICC, IHC
NBP2-82026
Species: Hu, Mu, Rt
Applications: ELISA, ICC/IF, IHC,  IHC-P, WB
NB120-13249
Species: Hu, Mu, Rt
Applications: ICC/IF, IHC, IHC-Fr,  IHC-P, IP, WB
NBP2-19676
Species: Hu
Applications: ICC/IF, IHC,  IHC-P, WB
NBP1-88177
Species: Hu
Applications: WB
NBP2-01819
Species: Hu
Applications: Flow, IHC,  IHC-P, WB
AF5675
Species: Hu, Mu, Rt
Applications: IHC, IP, KO, WB
NB120-13249
Species: Hu, Mu, Rt
Applications: ICC/IF, IHC, IHC-Fr,  IHC-P, IP, WB
AF7904
Species: Hu, Mu
Applications: WB
NBP3-13179
Species: Mu, Rt
Applications: ICC/IF, IHC, IHC-Fr,  IHC-P, WB
NBP1-90250
Species: Hu
Applications: ICC/IF, IHC,  IHC-P
NBP1-77323
Species: Hu, Mu, Rt
Applications: ELISA, ICC/IF, IHC,  IHC-P, WB
NBP1-87895
Species: Hu
Applications: IHC

Publications for UNC13A/Munc13-1 Antibody (NBP1-87895) (0)

There are no publications for UNC13A/Munc13-1 Antibody (NBP1-87895).
By submitting your publication information earn gift cards and discounts for future purchases.

Reviews for UNC13A/Munc13-1 Antibody (NBP1-87895) (0)

There are no reviews for UNC13A/Munc13-1 Antibody (NBP1-87895). By submitting a review you will receive an Amazon e-Gift Card or Novus Product Discount.
  • Review with no image -- $10/€7/£6/$10 CAD/¥70 Yuan/¥1110 Yen
  • Review with an image -- $25/€18/£15/$25 CAD/¥150 Yuan/¥2500 Yen

Product General Protocols

Find general support by application which include: protocols, troubleshooting, illustrated assays, videos and webinars.

FAQs for UNC13A/Munc13-1 Antibody (NBP1-87895) (0)

There are no specific FAQs related to this product. Read our general customer & technical service FAQs.

Secondary Antibodies

 

Isotype Controls

Additional UNC13A/Munc13-1 Products

Array NBP1-87895

Blogs on UNC13A/Munc13-1

There are no specific blogs for UNC13A/Munc13-1, but you can read our latest blog posts.

Contact Information

Product PDFs

Calculators

Concentration Calculator

The concentration calculator allows you to quickly calculate the volume, mass or concentration of your vial. Simply enter your mass, volume, or concentration values for your reagent and the calculator will determine the rest.

=
÷

Review this Product

Be the first to review our UNC13A/Munc13-1 Antibody and receive a gift card or discount.

Bioinformatics

Gene Symbol UNC13A