UGT2B15 Antibody - Azide and BSA Free

Images

 
Western Blot: UGT2B15 Antibody [NBP2-94747] - Analysis of extracts of various cell lines, using UGT2B15 at 1:1000 dilution. Secondary antibody: HRP Goat Anti-Rabbit IgG (H+L) at 1:10000 dilution. Lysates/proteins: 25ug ...read more
Immunohistochemistry-Paraffin: UGT2B15 Antibody [NBP2-94747] - Rat kidney using UGT2B15 antibody at dilution of 1:100 (40x lens).
Immunohistochemistry-Paraffin: UGT2B15 Antibody [NBP2-94747] - Human oophoroma using UGT2B15 antibody at dilution of 1:100 (40x lens).
Immunohistochemistry-Paraffin: UGT2B15 Antibody [NBP2-94747] - Mouse spleen using UGT2B15 antibody at dilution of 1:100 (40x lens).
Expression of UGT2B15 in breast cancer cell lines. (A) Total RNA was obtained from confluent T47D and MCF7 cells and UGT2B15 mRNA levels were measured by RT-QPCR. A value of 1 was assigned to the UGT2B15 mRNA levels in ...read more
Expression of UGT2B15 in endometrial cancer cell lines. (A) Total RNA was obtained from confluent USPC-1 and USPC-2 endometrial cancer cell lines and UGT2B15 mRNA levels were measured by RT-QPCR. A value of 1 was ...read more
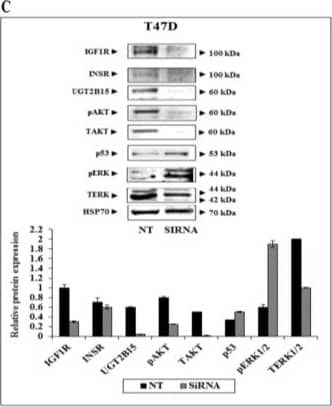
Effect of UGT2B15 abrogation on IGF1R signaling and cellular proliferation. MCF7 (A,B) and T47D (C,D) were treated with siRNA against UGT2B15 (or NT for control purposes) for 72-h (MCF7) or 96 h (T47D). At the end of ...read more
Effect of IGF1R and INSR inhibition on UGT2B15 gene expression. (A) MCF7 cells were treated with the selective IGF1R inhibitor AEW541 (10 mM) for 48 h (or left untreated, C), after which cells were harvested, total ...read more

Product Details

Summary
Reactivity Hu, Mu, RtSpecies Glossary
Applications WB, IHC
Clonality
Polyclonal
Host
Rabbit
Conjugate
Unconjugated
Format
Azide and BSA Free

Order Details

View Available Formulations
Catalog# & Formulation Size Price

UGT2B15 Antibody - Azide and BSA Free Summary

Description
Novus Biologicals Rabbit UGT2B15 Antibody - Azide and BSA Free (NBP2-94747) is a polyclonal antibody validated for use in IHC and WB. All Novus Biologicals antibodies are covered by our 100% guarantee.
Immunogen
Recombinant fusion protein containing a sequence corresponding to amino acids 60-190 of human UGT2B15 (NP_001067.2). ASTLVNASKSSAIKLEVYPTSLTKNYLEDSLLKILDRWIYGVSKNTFWSYFSQLQELCWEYYDYSNKLCKDAVLNKKLMMKLQESKFDVILADALNPCGELLAELFNIPFLYSLRFSVGYTFEKNGGGFLF
Isotype
IgG
Clonality
Polyclonal
Host
Rabbit
Gene
UGT2B15
Purity
Affinity purified
Innovator's Reward
Test in a species/application not listed above to receive a full credit towards a future purchase.

Applications/Dilutions

Dilutions
  • Immunohistochemistry 1:100-1:200
  • Immunohistochemistry-Paraffin
  • Western Blot 1:500-1:2000
Theoretical MW
61 kDa.
Disclaimer note: The observed molecular weight of the protein may vary from the listed predicted molecular weight due to post translational modifications, post translation cleavages, relative charges, and other experimental factors.

Packaging, Storage & Formulations

Storage
Store at -20C. Avoid freeze-thaw cycles.
Buffer
PBS (pH 7.3), 50% glycerol
Preservative
0.01% Thimerosal
Purity
Affinity purified

Alternate Names for UGT2B15 Antibody - Azide and BSA Free

  • EC 2.4.1
  • EC 2.4.1.17
  • HLUG4
  • UDP glucuronosyltransferase 2 family, polypeptide B15
  • UDP glycosyltransferase 2 family, polypeptide B15
  • UDP glycosyltransferase 2B15
  • UDP-glucuronosyltransferase 2B15
  • UDP-glucuronosyltransferase 2B8
  • UDP-glucuronosyltransferase UGT2B15
  • UDP-glucuronyltransferase, family 2, beta-15
  • UDPGT 2B15
  • UDPGT 2B8
  • UDPGTH3
  • UDPGTh-3
  • UGT2B8UDPGT2B15

Background

The UGTs are of major importance in the conjugation and subsequent elimination of potentially toxic xenobiotics and endogenous compounds. UGT2B8 demonstrates reactivity with estriol. See UGT2B4 (MIM 600067).[supplied by OMIM]

Limitations

This product is for research use only and is not approved for use in humans or in clinical diagnosis. Primary Antibodies are guaranteed for 1 year from date of receipt.

Customers Who Viewed This Item Also Viewed...

NBP1-80642
Species: Hu
Applications: IHC,  IHC-P
NBP3-45649
Species: Hu, Mu
Applications: ELISA, ICC/IF, IHC, IP, WB
NBP3-03338
Species: Hu, Mu, Rt
Applications: ICC/IF, IHC,  IHC-P, WB
NBP3-09985
Species: Hu
Applications: WB
H00054600-B01P
Species: Hu, Mu
Applications: IHC,  IHC-P, WB
NBP1-33743
Species: Hu, Mu
Applications: IHC,  IHC-P, WB
H00054659-M02
Species: Hu
Applications: ELISA, WB
NBP3-45650
Species: Hu
Applications: ELISA, ICC/IF, IHC, WB
H00054657-Q01
Species: Hu
Applications: ELISA, AP, PA, PAGE, WB
NBP1-72063
Species: Rt
Applications: PEP-ELISA, WB
NBP2-06724
Species: Hu
Applications: WB
NBP1-91335
Species: Hu
Applications: IHC,  IHC-P, WB
NB100-56603
Species: Ca, Hu, Mu, Pm, Rt
Applications: IHC,  IHC-P, WB
NBP2-03227
Species: Hu
Applications: Flow, ICC/IF, IHC,  IHC-P, WB
NBP1-91818
Species: Hu
Applications: IHC,  IHC-P, WB
NBP2-93266
Species: Hu, Mu, Rt
Applications: WB
NBP1-59786
Species: Hu
Applications: WB
NBP1-89146
Species: Hu
Applications: ICC/IF, IHC,  IHC-P
⚠ WARNING: This product can expose you to chemicals including Methotrexate, which is known to the State of California to cause reproductive toxicity with developmental effects. For more information, go to www.P65Warnings.ca.gov

Publications for UGT2B15 Antibody (NBP2-94747) (0)

There are no publications for UGT2B15 Antibody (NBP2-94747).
By submitting your publication information earn gift cards and discounts for future purchases.

Reviews for UGT2B15 Antibody (NBP2-94747) (0)

There are no reviews for UGT2B15 Antibody (NBP2-94747). By submitting a review you will receive an Amazon e-Gift Card or Novus Product Discount.
  • Review with no image -- $10/€7/£6/$10 CAD/¥70 Yuan/¥1110 Yen
  • Review with an image -- $25/€18/£15/$25 CAD/¥150 Yuan/¥2500 Yen

Product General Protocols

Find general support by application which include: protocols, troubleshooting, illustrated assays, videos and webinars.

Video Protocols

WB Video Protocol

FAQs for UGT2B15 Antibody (NBP2-94747) (0)

There are no specific FAQs related to this product. Read our general customer & technical service FAQs.

Secondary Antibodies

 

Isotype Controls

Additional UGT2B15 Products

Research Areas for UGT2B15 Antibody (NBP2-94747)

Find related products by research area.

Blogs on UGT2B15

There are no specific blogs for UGT2B15, but you can read our latest blog posts.

Customers Who Bought This Also Bought

Contact Information

Product PDFs

Calculators

Concentration Calculator

The concentration calculator allows you to quickly calculate the volume, mass or concentration of your vial. Simply enter your mass, volume, or concentration values for your reagent and the calculator will determine the rest.

=
÷

Review this Product

Be the first to review our UGT2B15 Antibody - Azide and BSA Free and receive a gift card or discount.

Bioinformatics

Gene Symbol UGT2B15